JavaScript is disabled in your browser. Please enable JavaScript to view this website.
AB279649

Anti-BLBP antibody [EPR24033-13]

  • BOND RX™ Validated
  • 20ul selling size
  • RabMAb
  • Recombinant
  • What is this?

5

(3 Reviews)

|

(4 Publications)

Rabbit Recombinant Monoclonal BLBP antibody. Suitable for ICC/IF, IP, WB, IHC-Fr, Flow Cyt (Intra), IHC-P and reacts with Mouse, Rat, Human samples. Cited in 4 publications.

View Alternative Names

BLBP, FABPB, MRG, FABP7, Brain lipid-binding protein, Brain-type fatty acid-binding protein, Fatty acid-binding protein 7, Mammary-derived growth inhibitor related, B-FABP

15 Images
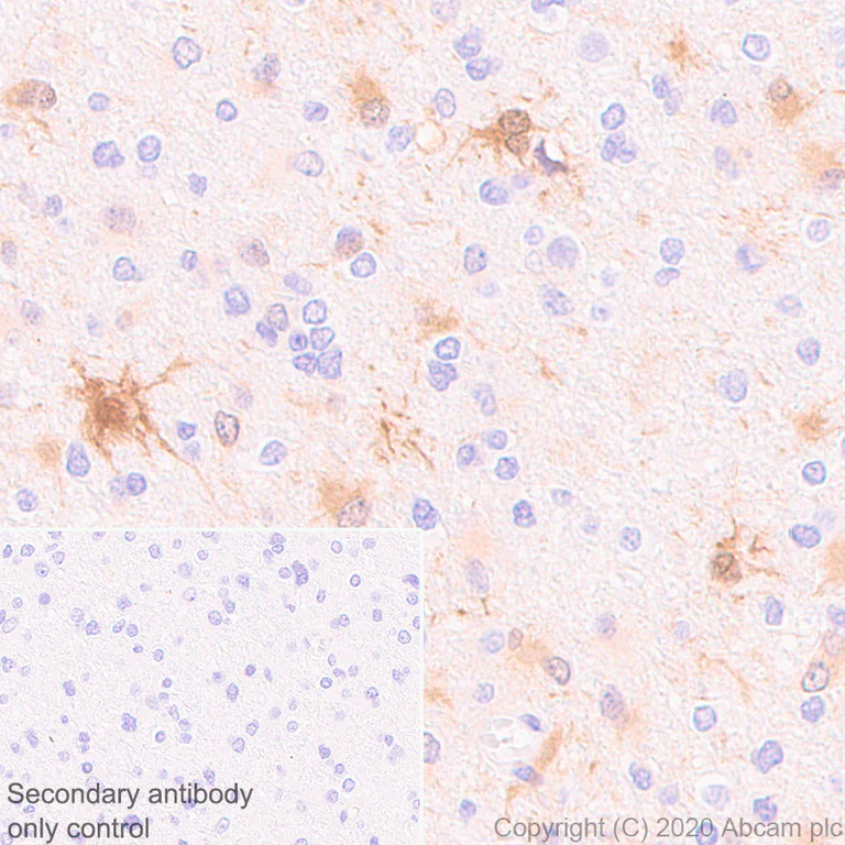
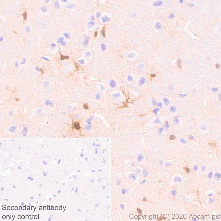
Immunohistochemistry (Formalin/PFA-fixed paraffin-embedded sections) - Anti-BLBP antibody [EPR24033-13] (AB279649)
  • IHC-P

Supplier Data

Immunohistochemistry (Formalin/PFA-fixed paraffin-embedded sections) - Anti-BLBP antibody [EPR24033-13] (AB279649)

Immunohistochemical analysis of paraffin-embedded human cerebrum tissue labeling BLBP with ab279649 at 1/500 dilution followed by ready to use LeicaDS9800 (Bond™ Polymer Refine Detection). Positive staining on human cerebrum (PMID : 16623952). The section was incubated with ab279649 for 30 mins at room temperature. The immunostaining was performed on a Leica Biosystems BOND® RX instrument. Counterstained with Hematoxylin.

Secondary antibody only control : Secondary antibody is ready to use LeicaDS9800 (Bond™ Polymer Refine Detection) was used.

Heat mediated antigen retrieval with Tris-EDTA buffer (pH 9.0, epitope retrieval solution2) for 20 mins.

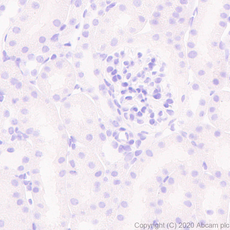
Immunohistochemistry (Formalin/PFA-fixed paraffin-embedded sections) - Anti-BLBP antibody [EPR24033-13] (AB279649)
  • IHC-P

Supplier Data

Immunohistochemistry (Formalin/PFA-fixed paraffin-embedded sections) - Anti-BLBP antibody [EPR24033-13] (AB279649)

Immunohistochemical analysis of paraffin-embedded human kidney tissue labeling BLBP with ab279649 at 1/500 dilution followed by ready to use LeicaDS9800 (Bond™ Polymer Refine Detection). The section was incubated with ab279649 for 30 mins at room temperature. The immunostaining was performed on a Leica Biosystems BOND® RX instrument. Counterstained with Hematoxylin.

Negative control : no staining on human kidney (PMID : 9375786).

Heat mediated antigen retrieval with Tris-EDTA buffer (pH 9.0, epitope retrieval solution2) for 20 mins.

Immunohistochemistry (Formalin/PFA-fixed paraffin-embedded sections) - Anti-BLBP antibody [EPR24033-13] (AB279649)
  • IHC-P

Supplier Data

Immunohistochemistry (Formalin/PFA-fixed paraffin-embedded sections) - Anti-BLBP antibody [EPR24033-13] (AB279649)

Immunohistochemical analysis of paraffin-embedded human astrocytoma labeling BLBP with ab279649 at 1/500 dilution followed by ready to use LeicaDS9800 (Bond™ Polymer Refine Detection). Positive staining on human astrocytoma (PMID : 16623952). The section was incubated with ab279649 for 30 mins at room temperature. The immunostaining was performed on a Leica Biosystems BOND® RX instrument. Counterstained with Hematoxylin.

Secondary antibody only control : Secondary antibody is a ready to use LeicaDS9800 (Bond™ Polymer Refine Detection) was used.

Heat mediated antigen retrieval with Tris-EDTA buffer (pH 9.0, epitope retrieval solution2) for 20 mins.

Immunocytochemistry/ Immunofluorescence - Anti-BLBP antibody [EPR24033-13] (AB279649)
  • ICC/IF

Supplier Data

Immunocytochemistry/ Immunofluorescence - Anti-BLBP antibody [EPR24033-13] (AB279649)

Immunofluorescent analysis of 4% Paraformaldehyde-fixed, 0.1% Triton X-100 permeabilized mouse primary neural/glia cells labelling BLBP with ab279649 at 1/250 dilution, followed by ab150077 Goat Anti-Rabbit IgG H&L (Alexa Fluor® 488) antibody at 1/1000 dilution (Green). Confocal image showing positive staining in mouse primary gliocyte. Confocal scanning Z step was set as 0.3 μm followed by image processing with maximum Z projection is observed. Anti-Glial Fibrillary Acidic Protein (GFAP) mouse monoclonal antibody was used to counterstain tubulin at 1/100 dilution, followed by ab150120 Goat Anti-Mouse IgG H&L (Alexa Fluor® 594) at a 1/1000 dilution (Red). The nuclear counterstain was DAPI (Blue).

Negative control 1 : ab279649 at a 1/250 dilution followed by ab150120 at a 1/1000 dilution.

Negative control 2 : Anti-Glial Fibrillary Acidic Protein (GFAP) mouse monoclonal antibody at a 1/100 dilution followed by ab150077 at a 1/1000 dilution.

Immunohistochemistry (Formalin/PFA-fixed paraffin-embedded sections) - Anti-BLBP antibody [EPR24033-13] (AB279649)
  • IHC-P

Supplier Data

Immunohistochemistry (Formalin/PFA-fixed paraffin-embedded sections) - Anti-BLBP antibody [EPR24033-13] (AB279649)

Immunohistochemical analysis of paraffin-embedded mouse cerebrum tissue labeling BLBP with ab279649 at 1/2000 dilution followed by ready to use LeicaDS9800 (Bond™ Polymer Refine Detection). Positive staining on mouse cerebrum. The section was incubated with ab279649 for 30 mins at room temperature. The immunostaining was performed on a Leica Biosystems BOND® RX instrument. Counterstained with Hematoxylin.

Secondary antibody only control : Secondary antibody is a ready to use LeicaDS9800 (Bond™ Polymer Refine Detection) was used.

Heat mediated antigen retrieval with Tris-EDTA buffer (pH 9.0, epitope retrieval solution2) for 20 mins.

Immunohistochemistry (Frozen sections) - Anti-BLBP antibody [EPR24033-13] (AB279649)
  • IHC-Fr

Supplier Data

Immunohistochemistry (Frozen sections) - Anti-BLBP antibody [EPR24033-13] (AB279649)

Immunohistochemical analysis of 4% PFA-fixed, 0.2% Triton X-100 permeabilized frozen mouse cerebellum tissue labeling BLBP with ab279649 at 1/50 dilution followed by ab150077 Goat Anti-Rabbit IgG H&L (Alexa Fluor® 488) at 1/1000 dilution (Green). Positive staining on mouse cerebellum, which partially co-stained with GFAP (Red) is observed. The nuclear counterstain was DAPI (Blue).

Secondary antibody control : Secondary antibody is ab150077 Goat Anti-Rabbit IgG H&L (Alexa Fluor® 488) at 1 : 1000 dilution.

Heat mediated antigen retrieval using sodium citrate buffer (10mM citrate pH 6.0 + 0.05% Tween-20).dilution.

Flow Cytometry (Intracellular) - Anti-BLBP antibody [EPR24033-13] (AB279649)
  • Flow Cyt (Intra)

Supplier Data

Flow Cytometry (Intracellular) - Anti-BLBP antibody [EPR24033-13] (AB279649)

Flow cytometric analysis of 4% paraformaldehyde fixed 0.1% Tween-20 permeabilized mouse primary neural/glia cells labeling BLBP with ab279649 at 1/500 dilution (Right panel) compared with Rabbit monoclonal IgG Isotype Control (ab172730) (Left panel). Goat anti rabbit IgG (Alexa Fluor® 647, ab150079) at 1/2000 dilution was used as the secondary antibody.

Flow Cytometry (Intracellular) - Anti-BLBP antibody [EPR24033-13] (AB279649)
  • Flow Cyt (Intra)

Supplier Data

Flow Cytometry (Intracellular) - Anti-BLBP antibody [EPR24033-13] (AB279649)

Flow cytometric analysis of 4% paraformaldehyde fixed 0.1% Tween-20 permeabilized rat primary neural/glia cells labeling BLBP with ab279649 at 1/500 dilution (Right panel) compared with Rabbit monoclonal IgG Isotype Control (ab172730) (Left panel). Goat anti rabbit IgG (Alexa Fluor® 488, ab150077 at 1/2000 dilution was used as the secondary antibody.

Immunohistochemistry (Formalin/PFA-fixed paraffin-embedded sections) - Anti-BLBP antibody [EPR24033-13] (AB279649)
  • IHC-P

Supplier Data

Immunohistochemistry (Formalin/PFA-fixed paraffin-embedded sections) - Anti-BLBP antibody [EPR24033-13] (AB279649)

Immunohistochemical analysis of paraffin-embedded rat cerebrum tissue labeling BLBP with ab279649 at 1/2000 dilution followed by ready to use LeicaDS9800 (Bond™ Polymer Refine Detection). Positive staining on rat cerebrum. The section was incubated with ab279649 for 30 mins at room temperature. The immunostaining was performed on a Leica Biosystems BOND® RX instrument. Counterstained with Hematoxylin.

Secondary antibody only control : Secondary antibody is a ready to use LeicaDS9800 (Bond™ Polymer Refine Detection) was used.

Heat mediated antigen retrieval with Tris-EDTA buffer (pH 9.0, epitope retrieval solution2) for 20 mins.

Immunohistochemistry (Formalin/PFA-fixed paraffin-embedded sections) - Anti-BLBP antibody [EPR24033-13] (AB279649)
  • IHC-P

Supplier Data

Immunohistochemistry (Formalin/PFA-fixed paraffin-embedded sections) - Anti-BLBP antibody [EPR24033-13] (AB279649)

Immunohistochemical analysis of paraffin-embedded mouse kidney tissue labeling BLBP with ab279649 at 1/2000 dilution followed by ready to use LeicaDS9800 (Bond™ Polymer Refine Detection). The section was incubated with ab279649 for 30 mins at room temperature. The immunostaining was performed on a Leica Biosystems BOND® RX instrument. Counterstained with Hematoxylin.

Negative control : no staining on mouse kidney.

Heat mediated antigen retrieval with Tris-EDTA buffer (pH 9.0, epitope retrieval solution2) for 20 mins.

Immunocytochemistry/ Immunofluorescence - Anti-BLBP antibody [EPR24033-13] (AB279649)
  • ICC/IF

Supplier Data

Immunocytochemistry/ Immunofluorescence - Anti-BLBP antibody [EPR24033-13] (AB279649)

Immunofluorescent analysis of 4% Paraformaldehyde-fixed, 0.1% Triton X-100 permeabilized rat primary neural/glia cells labelling BLBP with ab279649 at 1/250 dilution, followed by ab150077 Goat Anti-Rabbit IgG H&L (Alexa Fluor® 488) antibody at 1/1000 dilution (Green). Confocal image showing positive staining in rat primary gliocyte. Confocal scanning Z step was set as 0.3 μm followed by image processing with maximum Z projection is observed. Anti-Glial Fibrillary Acidic Protein (GFAP) mouse monoclonal antibody was used to counterstain tubulin at 1/100 dilution, followed by ab150120 Goat Anti-Mouse IgG H&L (Alexa Fluor® 594) at a 1/1000 dilution (Red). The nuclear counterstain was DAPI (Blue).

Negative control 1 : ab279649 at a 1/250 dilution followed by ab150120 at a 1/1000 dilution.

Negative control 2 : Anti-Glial Fibrillary Acidic Protein (GFAP) mouse monoclonal antibody at a 1/100 dilution followed by ab150077 at a 1/1000 dilution.

Immunoprecipitation - Anti-BLBP antibody [EPR24033-13] (AB279649)
  • IP

Supplier Data

Immunoprecipitation - Anti-BLBP antibody [EPR24033-13] (AB279649)

BLBP was immunoprecipitated from 0.35 mg mouse cerebellum tissue lysate 10 μg with ab279649 at 1/30 dilution (2μg in 0.35mg lysates). Western blot was performed on the immunoprecipitate using ab279649 at 1/1000 dilution. VeriBlot for IP Detection Reagent (HRP)(ab131366) was used at 1/5000 dilution.

Lane 1 : Mouse cerebellum tissue lysate 10 μg

Lane 2 : ab279649 IP in mouse cerebellum tissue lysate

Lane 3 : Rabbit monoclonal IgG (ab172730) instead of ab279649 in mouse cerebellum tissue lysate

Blocking and dilution buffer and concentration : 5% NFDM/TBST.

Exposure time : 10 seconds.

All lanes:

Immunoprecipitation - Anti-BLBP antibody [EPR24033-13] (ab279649)

Predicted band size: 14 kDa

Observed band size: 15 kDa

false

Western blot - Anti-BLBP antibody [EPR24033-13] (AB279649)
  • WB

Lab

Western blot - Anti-BLBP antibody [EPR24033-13] (AB279649)

Blocking and diluting buffer and concentration : 5% NFDM/TBST

Negative control : spleen, kidney (PMID : 16618771)

Exposure time : 10 seconds

All lanes:

Western blot - Anti-BLBP antibody [EPR24033-13] (ab279649) at 1/1000 dilution

Lane 1:

Human cerebellum tissue lysate at 20 µg

Lane 2:

Human spleen tissue lysate at 20 µg

Lane 3:

Human kidney tissue lysate at 20 µg

Secondary

All lanes:

Western blot - VeriBlot for IP Detection Reagent (HRP) (<a href='/en-us/products/reagents/veriblot-for-ip-detection-reagent-hrp-ab131366'>ab131366</a>) at 1/1000 dilution

Predicted band size: 14 kDa

Observed band size: 14 kDa

false

Western blot - Anti-BLBP antibody [EPR24033-13] (AB279649)
  • WB

Lab

Western blot - Anti-BLBP antibody [EPR24033-13] (AB279649)

Blocking and diluting buffer and concentration : 5% NFDM/TBST

Exposure times :

Lane 1 : 3 seconds

Lane 2 : 26 seconds

All lanes:

Western blot - Anti-BLBP antibody [EPR24033-13] (ab279649) at 1/1000 dilution

Lane 1:

Rat brain cortex tissue lysate at 20 µg

Lane 2:

Rat cerebellum tissue lysate at 20 µg

Secondary

All lanes:

Western blot - Goat Anti-Rabbit IgG H&L (HRP) (<a href='/en-us/products/secondary-antibodies/goat-rabbit-igg-h-l-hrp-ab97051'>ab97051</a>) at 1/20000 dilution

Predicted band size: 14 kDa

Observed band size: 14 kDa

false

Western blot - Anti-BLBP antibody [EPR24033-13] (AB279649)
  • WB

Lab

Western blot - Anti-BLBP antibody [EPR24033-13] (AB279649)

Blocking and diluting buffer and concentration : 5% NFDM/TBST

Negative control : spleen, kidney (PMID : 16618771)

Exposure time : 6 seconds

All lanes:

Western blot - Anti-BLBP antibody [EPR24033-13] (ab279649) at 1/1000 dilution

Lane 1:

Mouse brain tissue lysate at 20 µg

Lane 2:

Mouse cerebellum tissue lysate at 20 µg

Lane 3:

Mouse spleen tissue lysate at 20 µg

Lane 4:

Mouse kidney tissue lysate at 20 µg

Secondary

All lanes:

Western blot - Goat Anti-Rabbit IgG H&L (HRP) (<a href='/en-us/products/secondary-antibodies/goat-rabbit-igg-h-l-hrp-ab97051'>ab97051</a>) at 1/20000 dilution

Predicted band size: 14 kDa

Observed band size: 14 kDa

false

Key facts

Host species

Rabbit

Clonality

Monoclonal

Clone number

EPR24033-13

Isotype

IgG

Carrier free

No

Reacts with

Mouse, Rat, Human

Applications

Flow Cyt (Intra), IHC-Fr, WB, IHC-P, IP, ICC/IF

applications

Immunogen

The exact immunogen used to generate this antibody is proprietary information.

Reactivity data

{ "title": "Reactivity Data", "filters": { "stats": ["", "Species", "Dilution Info", "Notes"], "tabs": { "all-applications": {"fullname" : "All Applications", "shortname": "All Applications"}, "ICCIF" : {"fullname" : "Immunocytochemistry/ Immunofluorescence", "shortname":"ICC/IF"}, "IP" : {"fullname" : "Immunoprecipitation", "shortname":"IP"}, "WB" : {"fullname" : "Western blot", "shortname":"WB"}, "IHCFr" : {"fullname" : "Immunohistochemistry (Frozen sections)", "shortname":"IHC-Fr"}, "FlowCytIntra" : {"fullname" : "Flow Cytometry (Intracellular)", "shortname":"Flow Cyt (Intra)"}, "IHCP" : {"fullname" : "Immunohistochemistry (Formalin/PFA-fixed paraffin-embedded sections)", "shortname":"IHC-P"} }, "product-promise": { "all": "all", "testedAndGuaranteed": "tested", "guaranteed": "expected", "predicted": "predicted", "notRecommended": "not-recommended" } }, "values": { "Human": { "ICCIF-species-checked": "notRecommended", "ICCIF-species-dilution-info": "1/250", "ICCIF-species-notes": "<p></p>", "IP-species-checked": "notRecommended", "IP-species-dilution-info": "1/30", "IP-species-notes": "<p></p>", "WB-species-checked": "testedAndGuaranteed", "WB-species-dilution-info": "1/1000", "WB-species-notes": "<p></p>", "IHCFr-species-checked": "guaranteed", "IHCFr-species-dilution-info": "", "IHCFr-species-notes": "", "FlowCytIntra-species-checked": "guaranteed", "FlowCytIntra-species-dilution-info": "", "FlowCytIntra-species-notes": "", "IHCP-species-checked": "testedAndGuaranteed", "IHCP-species-dilution-info": "1/500", "IHCP-species-notes": "<p></p>" }, "Mouse": { "ICCIF-species-checked": "testedAndGuaranteed", "ICCIF-species-dilution-info": "1/250", "ICCIF-species-notes": "<p></p>", "IP-species-checked": "testedAndGuaranteed", "IP-species-dilution-info": "1/30", "IP-species-notes": "<p></p>", "WB-species-checked": "testedAndGuaranteed", "WB-species-dilution-info": "1/1000", "WB-species-notes": "<p></p>", "IHCFr-species-checked": "testedAndGuaranteed", "IHCFr-species-dilution-info": "1/50", "IHCFr-species-notes": "<p>Heat mediated antigen retrieval using sodium citrate buffer (10mM citrate pH 6.0 + 0.05% Tween-20)</p>", "FlowCytIntra-species-checked": "testedAndGuaranteed", "FlowCytIntra-species-dilution-info": "1/500", "FlowCytIntra-species-notes": "<p></p>", "IHCP-species-checked": "testedAndGuaranteed", "IHCP-species-dilution-info": "1/500", "IHCP-species-notes": "<p></p>" }, "Rat": { "ICCIF-species-checked": "testedAndGuaranteed", "ICCIF-species-dilution-info": "1/250", "ICCIF-species-notes": "<p></p>", "IP-species-checked": "guaranteed", "IP-species-dilution-info": "", "IP-species-notes": "", "WB-species-checked": "testedAndGuaranteed", "WB-species-dilution-info": "1/1000", "WB-species-notes": "<p></p>", "IHCFr-species-checked": "notRecommended", "IHCFr-species-dilution-info": "1/30", "IHCFr-species-notes": "<p>Heat mediated antigen retrieval using sodium citrate buffer (10mM citrate pH 6.0 + 0.05% Tween-20)</p>", "FlowCytIntra-species-checked": "testedAndGuaranteed", "FlowCytIntra-species-dilution-info": "1/500", "FlowCytIntra-species-notes": "<p></p>", "IHCP-species-checked": "testedAndGuaranteed", "IHCP-species-dilution-info": "1/500", "IHCP-species-notes": "<p></p>" } } }

Product details

Patented technology
Our RabMAb® technology is a patented hybridoma-based technology for making rabbit monoclonal antibodies. For details on our patents, please refer to RabMAb® patents.

What are the advantages of a recombinant monoclonal antibody?
This product is a recombinant monoclonal antibody, which offers several advantages including:

  • - High batch-to-batch consistency and reproducibility
  • - Improved sensitivity and specificity
  • - Long-term security of supply
  • - Animal-free batch production

For more information, read more on recombinant antibodies.

Properties and storage information

Form
Liquid
Purification technique
Affinity purification Protein A
Storage buffer
Preservative: 0.01% Sodium azide Constituents: PBS, 40% Glycerol (glycerin, glycerine), 0.05% BSA
Shipped at conditions
Blue Ice
Appropriate short-term storage duration
1-2 weeks
Appropriate short-term storage conditions
+4°C
Appropriate long-term storage conditions
-20°C
Aliquoting information
Upon delivery aliquot
Storage information
Avoid freeze / thaw cycle

Product protocols

For this product, it's our understanding that no specific protocols are required. You can visit:

Target data

B-FABP could be involved in the transport of a so far unknown hydrophobic ligand with potential morphogenic activity during CNS development. It is required for the establishment of the radial glial fiber system in developing brain, a system that is necessary for the migration of immature neurons to establish cortical layers (By similarity).
See full target information FABP7

Publications (4)

Recent publications for all applications. Explore the full list and refine your search

Cell death & disease 16:577 PubMed40739083

2025

Astrocytic YAP prevents the glutamate neurotoxicity by upregulation of EAAT2 expression and promotes the gain of stemness in astrocytes in ischemic stroke mice.

Applications

Unspecified application

Species

Unspecified reactive species

Xuan Luo,Zhoule Zhu,Tianwen Zheng,Dongmei Li,Yan Wei,Hui Yang,Hong Yu,Jiaqi Han,Ying Wang,Lipei Wang,Zhihui Huang

Molecular cancer 24:40 PubMed39901247

2025

Cancer cells avoid ferroptosis induced by immune cells via fatty acid binding proteins.

Applications

Unspecified application

Species

Unspecified reactive species

Maria Angelica Freitas-Cortez,Fatemeh Masrorpour,Hong Jiang,Iqbal Mahmud,Yue Lu,Ailing Huang,Lisa K Duong,Qi Wang,Tiffany A Voss,Claudia S Kettlun Leyton,Bo Wei,Wai-Kin Chan,Kevin Lin,Jie Zhang,Efrosini Tsouko,Shonik Ganjoo,Hampartsoum B Barsoumian,Thomas S Riad,Yun Hu,Carola Leuschner,Nahum Puebla-Osorio,Jing Wang,Jian Hu,Michael A Davies,Vinay K Puduvalli,Cyrielle Billon,Thomas P Burris,Philip L Lorenzi,Boyi Gan,James W Welsh

Scientific reports 13:3657 PubMed36871060

2023

Sympathetic neurons secrete retrogradely transported TrkA on extracellular vesicles.

Applications

Unspecified application

Species

Unspecified reactive species

Ashley J Mason,Austin B Keeler,Farah Kabir,Bettina Winckler,Christopher Deppmann

International journal of molecular sciences 24: PubMed36613632

2022

Ameliorative Effect of Ethanolic against Hyperthyroidism-Induced Oxidative Stress via AMRK and PPAR Signal Pathway Using Transcriptomics and Network Pharmacology Analysis.

Applications

Unspecified application

Species

Unspecified reactive species

Yingli Zhu,Jianjun Zhang,Chun Wang,Ting Zheng,Songrui Di,Yinyin Wang,Wenting Fei,Weican Liang,Linyuan Wang
View all publications

Product promise

We are committed to supporting your work with high-quality reagents, and we're here for you every step of the way. In the unlikely event that one of our products does not perform as expected, you're protected by our Product Promise.
For full details, please see our Terms & Conditions

Please note: All products are 'FOR RESEARCH USE ONLY. NOT FOR USE IN DIAGNOSTIC OR THERAPEUTIC PROCEDURES'.

For licensing inquiries, please contact partnerships@abcam.com