JavaScript is disabled in your browser. Please enable JavaScript to view this website.
AB189320

Anti-BLK antibody - N-terminal

Be the first to review this product! Submit a review

|

(1 Publication)

Goat Polyclonal BLK antibody. N-terminal. Suitable for WB, IHC-P and reacts with Human samples. Cited in 1 publication. Immunogen corresponding to Synthetic Peptide within Human Tyrosine-protein kinase Blk aa 1-50.

View Alternative Names

Tyrosine-protein kinase Blk, B lymphocyte kinase, p55-Blk, BLK

2 Images
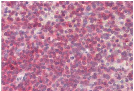
Immunohistochemistry (Formalin/PFA-fixed paraffin-embedded sections) - Anti-BLK antibody - N-terminal (AB189320)
  • IHC-P

Supplier Data

Immunohistochemistry (Formalin/PFA-fixed paraffin-embedded sections) - Anti-BLK antibody - N-terminal (AB189320)

Immunohistochemical analysis of formalin fixed, paraffin embedded Human spleen tissue labeling BLK with ab189320 at 3.75 μg/ml.

Western blot - Anti-BLK antibody - N-terminal (AB189320)
  • WB

Supplier Data

Western blot - Anti-BLK antibody - N-terminal (AB189320)

All lanes:

Western blot - Anti-BLK antibody - N-terminal (ab189320) at 0.1 µg

All lanes:

Human thymus tissue lysate (in RIPA buffer) at 35 µg

Predicted band size: 57 kDa

Observed band size: 50 kDa

true

Key facts

Host species

Goat

Clonality

Polyclonal

Isotype

IgG

Carrier free

No

Reacts with

Human

Applications

IHC-P, WB

applications

Immunogen

Synthetic Peptide within Human Tyrosine-protein kinase Blk aa 1-50. The exact immunogen used to generate this antibody is proprietary information.

P51451

Reactivity data

{ "title": "Reactivity Data", "filters": { "stats": ["", "Species", "Dilution Info", "Notes"], "tabs": { "all-applications": {"fullname" : "All Applications", "shortname": "All Applications"}, "WB" : {"fullname" : "Western blot", "shortname":"WB"}, "IHCP" : {"fullname" : "Immunohistochemistry (Formalin/PFA-fixed paraffin-embedded sections)", "shortname":"IHC-P"} }, "product-promise": { "all": "all", "testedAndGuaranteed": "tested", "guaranteed": "expected", "predicted": "predicted", "notRecommended": "not-recommended" } }, "values": { "Human": { "WB-species-checked": "testedAndGuaranteed", "WB-species-dilution-info": "0.1-0.3 µg/mL", "WB-species-notes": "<p></p>", "IHCP-species-checked": "testedAndGuaranteed", "IHCP-species-dilution-info": "3.75 µg/mL", "IHCP-species-notes": "<p></p>" }, "Monkey": { "WB-species-checked": "predicted", "WB-species-dilution-info": "", "WB-species-notes": "", "IHCP-species-checked": "predicted", "IHCP-species-dilution-info": "", "IHCP-species-notes": "" } } }

Properties and storage information

Form
Liquid
Purification technique
Affinity purification Immunogen
Storage buffer
pH: 7.3 Preservative: 0.02% Sodium azide Constituents: 99% Tris buffered saline, 0.5% BSA
Shipped at conditions
Blue Ice
Appropriate short-term storage duration
1-2 weeks
Appropriate short-term storage conditions
+4°C
Appropriate long-term storage conditions
-20°C
Aliquoting information
Upon delivery aliquot
Storage information
Avoid freeze / thaw cycle

Product protocols

For this product, it's our understanding that no specific protocols are required. You can visit:

Target data

Non-receptor tyrosine kinase involved in B-lymphocyte development, differentiation and signaling (By similarity). B-cell receptor (BCR) signaling requires a tight regulation of several protein tyrosine kinases and phosphatases, and associated coreceptors (By similarity). Binding of antigen to the B-cell antigen receptor (BCR) triggers signaling that ultimately leads to B-cell activation (By similarity). Signaling through BLK plays an important role in transmitting signals through surface immunoglobulins and supports the pro-B to pre-B transition, as well as the signaling for growth arrest and apoptosis downstream of B-cell receptor (By similarity). Specifically binds and phosphorylates CD79A at 'Tyr-188'and 'Tyr-199', as well as CD79B at 'Tyr-196' and 'Tyr-207' (By similarity). Phosphorylates also the immunoglobulin G receptors FCGR2A, FCGR2B and FCGR2C (PubMed : 8756631). With FYN and LYN, plays an essential role in pre-B-cell receptor (pre-BCR)-mediated NF-kappa-B activation (By similarity). Contributes also to BTK activation by indirectly stimulating BTK intramolecular autophosphorylation (By similarity). In pancreatic islets, acts as a modulator of beta-cells function through the up-regulation of PDX1 and NKX6-1 and consequent stimulation of insulin secretion in response to glucose (PubMed : 19667185). Phosphorylates CGAS, promoting retention of CGAS in the cytosol (PubMed : 30356214).
See full target information Tyrosine-protein kinase Blk

Publications (1)

Recent publications for all applications. Explore the full list and refine your search

Genome biology 19:37 PubMed29548335

2018

Mutational signatures reveal the role of RAD52 in p53-independent p21-driven genomic instability.

Applications

Unspecified application

Species

Unspecified reactive species

Panagiotis Galanos,George Pappas,Alexander Polyzos,Athanassios Kotsinas,Ioanna Svolaki,Nickolaos N Giakoumakis,Christina Glytsou,Ioannis S Pateras,Umakanta Swain,Vassilis L Souliotis,Alexandros G Georgakilas,Nicholas Geacintov,Luca Scorrano,Claudia Lukas,Jiri Lukas,Zvi Livneh,Zoi Lygerou,Dipanjan Chowdhury,Claus Storgaard Sørensen,Jiri Bartek,Vassilis G Gorgoulis
View all publications

Product promise

We are committed to supporting your work with high-quality reagents, and we're here for you every step of the way. In the unlikely event that one of our products does not perform as expected, you're protected by our Product Promise.
For full details, please see our Terms & Conditions

Please note: All products are 'FOR RESEARCH USE ONLY. NOT FOR USE IN DIAGNOSTIC OR THERAPEUTIC PROCEDURES'.

For licensing inquiries, please contact partnerships@abcam.com