JavaScript is disabled in your browser. Please enable JavaScript to view this website.
AB32418

Anti-BLNK antibody [Y491]

Be the first to review this product! Submit a review

|

(2 Publications)

Rabbit Recombinant Monoclonal BLNK antibody. Suitable for IHC-P, WB and reacts with Human samples. Cited in 2 publications.

View Alternative Names

BASH, SLP65, BLNK, B-cell linker protein, B-cell adapter containing a SH2 domain protein, B-cell adapter containing a Src homology 2 domain protein, Cytoplasmic adapter protein, Src homology 2 domain-containing leukocyte protein of 65 kDa, SLP-65

2 Images
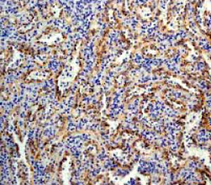
Immunohistochemistry (Formalin/PFA-fixed paraffin-embedded sections) - Anti-BLNK antibody [Y491] (AB32418)
  • IHC-P

Unknown

Immunohistochemistry (Formalin/PFA-fixed paraffin-embedded sections) - Anti-BLNK antibody [Y491] (AB32418)

ab32418 at a 1 : 50 dilution staining BLNK in human spleen tissue using Immunohistochemistry Paraffin Embedded Tissue.

Perform heat mediated antigen retrieval with citrate buffer pH 6 before commencing with IHC staining protocol.

Western blot - Anti-BLNK antibody [Y491] (AB32418)
  • WB

Unknown

Western blot - Anti-BLNK antibody [Y491] (AB32418)

All lanes:

Western blot - Anti-BLNK antibody [Y491] (ab32418) at 1/500 dilution

All lanes:

Raji cell lysate

Predicted band size: 50 kDa

Observed band size: 68 kDa

false

  • Carrier free

    Anti-BLNK antibody [Y491] - BSA and Azide free

Key facts

Host species

Rabbit

Clonality

Monoclonal

Clone number

Y491

Isotype

IgG

Carrier free

No

Reacts with

Human

Applications

WB, IHC-P

applications

Immunogen

The exact immunogen used to generate this antibody is proprietary information.

Reactivity data

{ "title": "Reactivity Data", "filters": { "stats": ["", "Species", "Dilution Info", "Notes"], "tabs": { "all-applications": {"fullname" : "All Applications", "shortname": "All Applications"}, "IHCP" : {"fullname" : "Immunohistochemistry (Formalin/PFA-fixed paraffin-embedded sections)", "shortname":"IHC-P"}, "FlowCyt" : {"fullname" : "Flow Cytometry", "shortname":"Flow Cyt"}, "WB" : {"fullname" : "Western blot", "shortname":"WB"} }, "product-promise": { "all": "all", "testedAndGuaranteed": "tested", "guaranteed": "expected", "predicted": "predicted", "notRecommended": "not-recommended" } }, "values": { "Human": { "IHCP-species-checked": "testedAndGuaranteed", "IHCP-species-dilution-info": "", "IHCP-species-notes": "<p></p> Perform heat-mediated antigen retrieval with citrate buffer pH 6 before commencing with IHC staining protocol.", "FlowCyt-species-checked": "notRecommended", "FlowCyt-species-dilution-info": "", "FlowCyt-species-notes": "<p></p>", "WB-species-checked": "testedAndGuaranteed", "WB-species-dilution-info": "1/500", "WB-species-notes": "<p></p>" }, "Mouse": { "IHCP-species-checked": "predicted", "IHCP-species-dilution-info": "", "IHCP-species-notes": "", "FlowCyt-species-checked": "notRecommended", "FlowCyt-species-dilution-info": "", "FlowCyt-species-notes": "", "WB-species-checked": "predicted", "WB-species-dilution-info": "", "WB-species-notes": "" }, "Rat": { "IHCP-species-checked": "predicted", "IHCP-species-dilution-info": "", "IHCP-species-notes": "", "FlowCyt-species-checked": "notRecommended", "FlowCyt-species-dilution-info": "", "FlowCyt-species-notes": "", "WB-species-checked": "predicted", "WB-species-dilution-info": "", "WB-species-notes": "" } } }

Product details

The production method for this product has been changed from hybridoma to recombinant on 18th June 2024.

Patented technology
Our RabMAb® technology is a patented hybridoma-based technology for making rabbit monoclonal antibodies. For details on our patents, please refer to RabMAb® patents.

What are the advantages of a recombinant monoclonal antibody?
This product is a recombinant monoclonal antibody, which offers several advantages including:

  • - High batch-to-batch consistency and reproducibility
  • - Improved sensitivity and specificity
  • - Long-term security of supply
  • - Animal-free batch production

For more information, read more on recombinant antibodies.

Properties and storage information

Form
Liquid
Purification technique
Affinity purification Protein A
Storage buffer
pH: 7.2 - 7.4 Preservative: 0.01% Sodium azide Constituents: PBS, 40% Glycerol (glycerin, glycerine), 0.05% BSA
Shipped at conditions
Blue Ice
Appropriate short-term storage conditions
+4°C
Appropriate long-term storage conditions
-20°C
Aliquoting information
Upon delivery aliquot
Storage information
Avoid freeze / thaw cycle

Product protocols

For this product, it's our understanding that no specific protocols are required. You can visit:

Target data

Functions as a central linker protein, downstream of the B-cell receptor (BCR), bridging the SYK kinase to a multitude of signaling pathways and regulating biological outcomes of B-cell function and development. Plays a role in the activation of ERK/EPHB2, MAP kinase p38 and JNK. Modulates AP1 activation. Important for the activation of NF-kappa-B and NFAT. Plays an important role in BCR-mediated PLCG1 and PLCG2 activation and Ca(2+) mobilization and is required for trafficking of the BCR to late endosomes. However, does not seem to be required for pre-BCR-mediated activation of MAP kinase and phosphatidyl-inositol 3 (PI3) kinase signaling. May be required for the RAC1-JNK pathway. Plays a critical role in orchestrating the pro-B cell to pre-B cell transition. May play an important role in BCR-induced B-cell apoptosis.
See full target information BLNK

Publications (2)

Recent publications for all applications. Explore the full list and refine your search

Journal of tissue engineering 16:20417314251315185 PubMed39882545

2025

Therapeutic potential and mechanisms of umbilical cord mesenchymal stem cells differentiating into tendon cells and promotion of rotator cuff tendon-bone healing.

Applications

Unspecified application

Species

Unspecified reactive species

Youliang Shen,Yuelei Wang,Yidan Xu,Jie Wang,Chuqiang Yin,Zengshuai Han,Feng Shen,Ting Wang

World journal of gastroenterology 28:5865-5880 PubMed36353208

2022

Curcumin alleviates experimental colitis a potential mechanism involving memory B cells and Bcl-6-Syk-BLNK signaling.

Applications

Unspecified application

Species

Unspecified reactive species

Si-Yi Wei,Tian-Tian Wu,Jia-Qi Huang,Zeng-Ping Kang,Meng-Xue Wang,You-Bao Zhong,Wei Ge,Bu-Gao Zhou,Hai-Mei Zhao,Hai-Yan Wang,Duan-Yong Liu
View all publications

Product promise

We are committed to supporting your work with high-quality reagents, and we're here for you every step of the way. In the unlikely event that one of our products does not perform as expected, you're protected by our Product Promise.
For full details, please see our Terms & Conditions

Please note: All products are 'FOR RESEARCH USE ONLY. NOT FOR USE IN DIAGNOSTIC OR THERAPEUTIC PROCEDURES'.

For licensing inquiries, please contact partnerships@abcam.com