JavaScript is disabled in your browser. Please enable JavaScript to view this website.
AB231793

Anti-BMAL1 antibody

Be the first to review this product! Submit a review

|

(5 Publications)

Rabbit Polyclonal BMAL1 antibody. Suitable for WB, IHC-P and reacts with Rat samples. Cited in 5 publications. Immunogen corresponding to Recombinant Fragment Protein within Rat Bmal1 aa 1-200.

View Alternative Names

Arntl, Tic, Bmal1, Basic helix-loop-helix ARNT-like protein 1, Aryl hydrocarbon receptor nuclear translocator-like protein 1, Brain and muscle ARNT-like 1

5 Images
Immunohistochemistry (Formalin/PFA-fixed paraffin-embedded sections) - Anti-BMAL1 antibody (AB231793)
  • IHC-P

Supplier Data

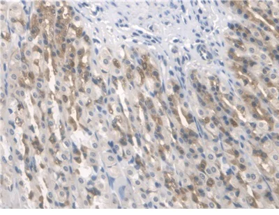
Immunohistochemistry (Formalin/PFA-fixed paraffin-embedded sections) - Anti-BMAL1 antibody (AB231793)

Formalin-fixed, paraffin-embedded rat lung tissue stained for BMAL1 using ab231793 at 20 μg/mL in immunohistochemical analysis. DAB-staining.

Immunohistochemistry (Formalin/PFA-fixed paraffin-embedded sections) - Anti-BMAL1 antibody (AB231793)
  • IHC-P

Supplier Data

Immunohistochemistry (Formalin/PFA-fixed paraffin-embedded sections) - Anti-BMAL1 antibody (AB231793)

Formalin-fixed, paraffin-embedded rat stomach tissue stained for BMAL1 using ab231793 at 20 μg/mL in immunohistochemical analysis. DAB-staining.

Immunohistochemistry (Formalin/PFA-fixed paraffin-embedded sections) - Anti-BMAL1 antibody (AB231793)
  • IHC-P

Supplier Data

Immunohistochemistry (Formalin/PFA-fixed paraffin-embedded sections) - Anti-BMAL1 antibody (AB231793)

Formalin-fixed, paraffin-embedded rat cerebrum tissue stained for BMAL1 using ab231793 at 20 μg/mL in immunohistochemical analysis. DAB-staining.

Western blot - Anti-BMAL1 antibody (AB231793)
  • WB

Supplier Data

Western blot - Anti-BMAL1 antibody (AB231793)

All lanes:

Western blot - Anti-BMAL1 antibody (ab231793) at 2 µg/mL

All lanes:

Recombinant rat BMAL1 protein

Predicted band size: 68 kDa

false

Western blot - Anti-BMAL1 antibody (AB231793)
  • WB

Supplier Data

Western blot - Anti-BMAL1 antibody (AB231793)

All lanes:

Western blot - Anti-BMAL1 antibody (ab231793) at 1 µg/mL

All lanes:

Rat serum

Predicted band size: 68 kDa

false

Key facts

Host species

Rabbit

Clonality

Polyclonal

Isotype

IgG

Carrier free

No

Reacts with

Rat

Applications

WB, IHC-P

applications

Immunogen

Recombinant Fragment Protein within Rat Bmal1 aa 1-200. The exact immunogen used to generate this antibody is proprietary information.

Q9EPW1

Reactivity data

{ "title": "Reactivity Data", "filters": { "stats": ["", "Species", "Dilution Info", "Notes"], "tabs": { "all-applications": {"fullname" : "All Applications", "shortname": "All Applications"}, "WB" : {"fullname" : "Western blot", "shortname":"WB"}, "IHCP" : {"fullname" : "Immunohistochemistry (Formalin/PFA-fixed paraffin-embedded sections)", "shortname":"IHC-P"} }, "product-promise": { "all": "all", "testedAndGuaranteed": "tested", "guaranteed": "expected", "predicted": "predicted", "notRecommended": "not-recommended" } }, "values": { "Human": { "WB-species-checked": "predicted", "WB-species-dilution-info": "", "WB-species-notes": "", "IHCP-species-checked": "predicted", "IHCP-species-dilution-info": "", "IHCP-species-notes": "" }, "Mouse": { "WB-species-checked": "predicted", "WB-species-dilution-info": "", "WB-species-notes": "", "IHCP-species-checked": "predicted", "IHCP-species-dilution-info": "", "IHCP-species-notes": "" }, "Rat": { "WB-species-checked": "testedAndGuaranteed", "WB-species-dilution-info": "0.2-2 µg/mL", "WB-species-notes": "<p></p>", "IHCP-species-checked": "testedAndGuaranteed", "IHCP-species-dilution-info": "5-20 µg/mL", "IHCP-species-notes": "<p></p>" }, "Horse": { "WB-species-checked": "predicted", "WB-species-dilution-info": "", "WB-species-notes": "", "IHCP-species-checked": "predicted", "IHCP-species-dilution-info": "", "IHCP-species-notes": "" }, "Orangutan": { "WB-species-checked": "predicted", "WB-species-dilution-info": "", "WB-species-notes": "", "IHCP-species-checked": "predicted", "IHCP-species-dilution-info": "", "IHCP-species-notes": "" } } }

Properties and storage information

Form
Liquid
Purification technique
Affinity purification Protein A
Purification notes
Antigen-specific affinity chromatography followed by Protein A affinity chromatography.
Storage buffer
pH: 7.4 Preservative: 0.011% Proclin 300 Constituents: PBS, 55.77% Glycerol (glycerin, glycerine)
Shipped at conditions
Blue Ice
Appropriate short-term storage duration
1-2 weeks
Appropriate short-term storage conditions
+4°C
Appropriate long-term storage conditions
-20°C
Aliquoting information
Upon delivery aliquot
Storage information
Avoid freeze / thaw cycle

Product protocols

For this product, it's our understanding that no specific protocols are required. You can visit:

Target data

Transcriptional activator which forms a core component of the circadian clock. The circadian clock, an internal time-keeping system, regulates various physiological processes through the generation of approximately 24 hour circadian rhythms in gene expression, which are translated into rhythms in metabolism and behavior. It is derived from the Latin roots 'circa' (about) and 'diem' (day) and acts as an important regulator of a wide array of physiological functions including metabolism, sleep, body temperature, blood pressure, endocrine, immune, cardiovascular, and renal function. Consists of two major components : the central clock, residing in the suprachiasmatic nucleus (SCN) of the brain, and the peripheral clocks that are present in nearly every tissue and organ system. Both the central and peripheral clocks can be reset by environmental cues, also known as Zeitgebers (German for 'timegivers'). The predominant Zeitgeber for the central clock is light, which is sensed by retina and signals directly to the SCN. The central clock entrains the peripheral clocks through neuronal and hormonal signals, body temperature and feeding-related cues, aligning all clocks with the external light/dark cycle. Circadian rhythms allow an organism to achieve temporal homeostasis with its environment at the molecular level by regulating gene expression to create a peak of protein expression once every 24 hours to control when a particular physiological process is most active with respect to the solar day. Transcription and translation of core clock components (CLOCK, NPAS2, BMAL1, BMAL2, PER1, PER2, PER3, CRY1 and CRY2) plays a critical role in rhythm generation, whereas delays imposed by post-translational modifications (PTMs) are important for determining the period (tau) of the rhythms (tau refers to the period of a rhythm and is the length, in time, of one complete cycle). A diurnal rhythm is synchronized with the day/night cycle, while the ultradian and infradian rhythms have a period shorter and longer than 24 hours, respectively. Disruptions in the circadian rhythms contribute to the pathology of cardiovascular diseases, cancer, metabolic syndromes and aging. A transcription/translation feedback loop (TTFL) forms the core of the molecular circadian clock mechanism. Transcription factors, CLOCK or NPAS2 and BMAL1 or BMAL2, form the positive limb of the feedback loop, act in the form of a heterodimer and activate the transcription of core clock genes and clock-controlled genes (involved in key metabolic processes), harboring E-box elements (5'-CACGTG-3') within their promoters. The core clock genes : PER1/2/3 and CRY1/2 which are transcriptional repressors form the negative limb of the feedback loop and interact with the CLOCK|NPAS2-BMAL1|BMAL2 heterodimer inhibiting its activity and thereby negatively regulating their own expression. This heterodimer also activates nuclear receptors NR1D1/2 and RORA/B/G, which form a second feedback loop and which activate and repress BMAL1 transcription, respectively. BMAL1 positively regulates myogenesis and negatively regulates adipogenesis via the transcriptional control of the genes of the canonical Wnt signaling pathway. Plays a role in normal pancreatic beta-cell function; regulates glucose-stimulated insulin secretion via the regulation of antioxidant genes NFE2L2/NRF2 and its targets SESN2, PRDX3, CCLC and CCLM. Negatively regulates the mTORC1 signaling pathway; regulates the expression of MTOR and DEPTOR. Controls diurnal oscillations of Ly6C inflammatory monocytes; rhythmic recruitment of the PRC2 complex imparts diurnal variation to chemokine expression that is necessary to sustain Ly6C monocyte rhythms. Regulates the expression of HSD3B2, STAR, PTGS2, CYP11A1, CYP19A1 and LHCGR in the ovary and also the genes involved in hair growth. Plays an important role in adult hippocampal neurogenesis by regulating the timely entry of neural stem/progenitor cells (NSPCs) into the cell cycle and the number of cell divisions that take place prior to cell-cycle exit. Regulates the circadian expression of CIART and KLF11. The CLOCK-BMAL1 heterodimer regulates the circadian expression of SERPINE1/PAI1, VWF, B3, CCRN4L/NOC, NAMPT, DBP, MYOD1, PPARGC1A, PPARGC1B, SIRT1, GYS2, F7, NGFR, GNRHR, BHLHE40/DEC1, ATF4, MTA1, KLF10 and also genes implicated in glucose and lipid metabolism. Promotes rhythmic chromatin opening, regulating the DNA accessibility of other transcription factors. May play a role in spermatogenesis; contributes to the chromatoid body assembly and physiology. The NPAS2-BMAL1 heterodimer positively regulates the expression of MAOA, F7 and LDHA and modulates the circadian rhythm of daytime contrast sensitivity by regulating the rhythmic expression of adenylate cyclase type 1 (ADCY1) in the retina. The preferred binding motif for the CLOCK-BMAL1 heterodimer is 5'-CACGTGA-3', which contains a flanking adenine nucleotide at the 3-prime end of the canonical 6-nucleotide E-box sequence (By similarity). CLOCK specifically binds to the half-site 5'-CAC-3', while BMAL1 binds to the half-site 5'-GTGA-3' (By similarity). The CLOCK-BMAL1 heterodimer also recognizes the non-canonical E-box motifs 5'-AACGTGA-3' and 5'-CATGTGA-3'. Essential for the rhythmic interaction of CLOCK with ASS1 and plays a critical role in positively regulating CLOCK-mediated acetylation of ASS1 (By similarity). Plays a role in protecting against lethal sepsis by limiting the expression of immune checkpoint protein CD274 in macrophages in a PKM2-dependent manner (By similarity). Regulates the diurnal rhythms of skeletal muscle metabolism via transcriptional activation of genes promoting triglyceride synthesis (DGAT2) and metabolic efficiency (COQ10B) (By similarity).
See full target information Bmal1

Publications (5)

Recent publications for all applications. Explore the full list and refine your search

NPJ Regenerative medicine 10:19 PubMed40253438

2025

Allogeneic RPE cell suspension manufactured at scale demonstrating preclinical safety and efficacy led to IND approval.

Applications

Unspecified application

Species

Unspecified reactive species

Lalitha Soundararajan,Harshini Surendran,Niharika Patlolla,Rajani Battu,Jonathan Stoddard,Sebastian Arrizabalaga,Zengping Liu,Gopal Lingam,Xinyi Su,Renee C Ryals,Rajarshi Pal

International journal of molecular sciences 25: PubMed38892255

2024

Metabolic Profile and Lipid Metabolism Phenotype in Mice with Conditional Deletion of Hepatic BMAL1.

Applications

Unspecified application

Species

Unspecified reactive species

Weijia Gu,Ting Li,Yuxin Huang,Ruiqing Wang,Lu Zhang,Rucheng Chen,Ran Li,Cuiqing Liu

Aging 13:24675-24685 PubMed34815366

2021

BMAL1 may be involved in angiogenesis and peritumoral cerebral edema of human glioma by regulating VEGF and ANG2.

Applications

Unspecified application

Species

Unspecified reactive species

Fan Wang,CaiYan Li,Fei Han,LvAn Chen,Ling Zhu

Experimental and therapeutic medicine 21:190 PubMed33488799

2021

Mechanism of circadian regulation of the NRF2/ARE pathway in renal ischemia-reperfusion.

Applications

Unspecified application

Species

Unspecified reactive species

Qian Sun,Cheng Zeng,Li Du,Chong Dong

Frontiers in pharmacology 11:527744 PubMed33041790

2020

Circadian Rhythm Protein Bmal1 Modulates Cartilage Gene Expression in Temporomandibular Joint Osteoarthritis the MAPK/ERK Pathway.

Applications

Unspecified application

Species

Unspecified reactive species

Guokun Chen,Haoming Zhao,Shixing Ma,Lei Chen,Gaoyi Wu,Yong Zhu,Jie Zhu,Chuan Ma,Huaqiang Zhao
View all publications

Product promise

We are committed to supporting your work with high-quality reagents, and we're here for you every step of the way. In the unlikely event that one of our products does not perform as expected, you're protected by our Product Promise.
For full details, please see our Terms & Conditions

Please note: All products are 'FOR RESEARCH USE ONLY. NOT FOR USE IN DIAGNOSTIC OR THERAPEUTIC PROCEDURES'.

For licensing inquiries, please contact partnerships@abcam.com