JavaScript is disabled in your browser. Please enable JavaScript to view this website.
AB85688

Anti-Bmi1 antibody

3

(1 Review)

|

(7 Publications)

Rabbit Polyclonal BMI1 antibody. Suitable for IHC-P, IP, WB, ICC/IF and reacts with Human, Mouse samples. Cited in 7 publications. Immunogen corresponding to Synthetic Peptide within Human BMI1 aa 250 to C-terminus.

View Alternative Names

PCGF4, RNF51, BMI1, Polycomb complex protein BMI-1, Polycomb group RING finger protein 4, RING finger protein 51

3 Images
Immunoprecipitation - Anti-Bmi1 antibody (AB85688)
  • IP

Unknown

Immunoprecipitation - Anti-Bmi1 antibody (AB85688)

Detection of Human Bmi1 by mmunoprecipitation. Sample : HeLa Whole cell lysate (1 mg for IP, 20% of IP loaded). ab85688 at 3 ug/mg lysate was used for IP, and at 1ug/ml for subsequent WB detection.

All lanes:

Immunoprecipitation - Anti-Bmi1 antibody (ab85688)

Predicted band size: 36 kDa

false

Western blot - Anti-Bmi1 antibody (AB85688)
  • WB

Unknown

Western blot - Anti-Bmi1 antibody (AB85688)

All lanes:

Western blot - Anti-Bmi1 antibody (ab85688) at 0.1 µg/mL

Lane 1:

HeLa cell lysate at 50 µg

Lane 2:

HeLa cell lysate at 15 µg

Lane 3:

HeLa cell lysate at 5 µg

Lane 4:

293T cell lysate at 50 µg

Lane 5:

NIH3T3 cell lysate at 50 µg

Predicted band size: 36 kDa

Observed band size: 140 kDa,40 kDa,55 kDa

false

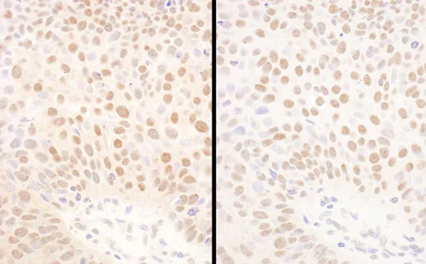
Immunohistochemistry (Formalin/PFA-fixed paraffin-embedded sections) - Anti-Bmi1 antibody (AB85688)
  • IHC-P

Unknown

Immunohistochemistry (Formalin/PFA-fixed paraffin-embedded sections) - Anti-Bmi1 antibody (AB85688)

Immunohistochemistry (Formalin/PFA-fixed paraffin-embedded sections) analysis of human lung carcinoma tissue labelling Bmi1 with ab85688 at 1/1000 (1µg/ml). Detection : DAB.

Key facts

Host species

Rabbit

Clonality

Polyclonal

Isotype

IgG

Carrier free

No

Reacts with

Human, Mouse

Applications

WB, IP, IHC-P, ICC/IF

applications

Immunogen

Synthetic Peptide within Human BMI1 aa 250 to C-terminus. The exact immunogen used to generate this antibody is proprietary information.

P35226

Reactivity data

{ "title": "Reactivity Data", "filters": { "stats": ["", "Species", "Dilution Info", "Notes"], "tabs": { "all-applications": {"fullname" : "All Applications", "shortname": "All Applications"}, "IHCP" : {"fullname" : "Immunohistochemistry (Formalin/PFA-fixed paraffin-embedded sections)", "shortname":"IHC-P"}, "IP" : {"fullname" : "Immunoprecipitation", "shortname":"IP"}, "WB" : {"fullname" : "Western blot", "shortname":"WB"}, "ICCIF" : {"fullname" : "Immunocytochemistry/ Immunofluorescence", "shortname":"ICC/IF"} }, "product-promise": { "all": "all", "testedAndGuaranteed": "tested", "guaranteed": "expected", "predicted": "predicted", "notRecommended": "not-recommended" } }, "values": { "Human": { "IHCP-species-checked": "testedAndGuaranteed", "IHCP-species-dilution-info": "1/500.00000 - 1/2000.00000", "IHCP-species-notes": "<p></p>", "IP-species-checked": "testedAndGuaranteed", "IP-species-dilution-info": "2.00000-5.00000 µg/mg of lysate", "IP-species-notes": "<p></p>", "WB-species-checked": "testedAndGuaranteed", "WB-species-dilution-info": "1/2000.00000 - 1/10000.00000", "WB-species-notes": "<p></p>", "ICCIF-species-checked": "guaranteed", "ICCIF-species-dilution-info": "", "ICCIF-species-notes": "<p></p>" }, "Mouse": { "IHCP-species-checked": "predicted", "IHCP-species-dilution-info": "", "IHCP-species-notes": "", "IP-species-checked": "predicted", "IP-species-dilution-info": "", "IP-species-notes": "", "WB-species-checked": "predicted", "WB-species-dilution-info": "", "WB-species-notes": "", "ICCIF-species-checked": "guaranteed", "ICCIF-species-dilution-info": "", "ICCIF-species-notes": "<p></p>" }, "Rat": { "IHCP-species-checked": "predicted", "IHCP-species-dilution-info": "", "IHCP-species-notes": "", "IP-species-checked": "predicted", "IP-species-dilution-info": "", "IP-species-notes": "", "WB-species-checked": "predicted", "WB-species-dilution-info": "", "WB-species-notes": "", "ICCIF-species-checked": "predicted", "ICCIF-species-dilution-info": "", "ICCIF-species-notes": "" }, "Chicken": { "IHCP-species-checked": "predicted", "IHCP-species-dilution-info": "", "IHCP-species-notes": "", "IP-species-checked": "predicted", "IP-species-dilution-info": "", "IP-species-notes": "", "WB-species-checked": "predicted", "WB-species-dilution-info": "", "WB-species-notes": "", "ICCIF-species-checked": "predicted", "ICCIF-species-dilution-info": "", "ICCIF-species-notes": "" }, "Chimpanzee": { "IHCP-species-checked": "predicted", "IHCP-species-dilution-info": "", "IHCP-species-notes": "", "IP-species-checked": "predicted", "IP-species-dilution-info": "", "IP-species-notes": "", "WB-species-checked": "predicted", "WB-species-dilution-info": "", "WB-species-notes": "", "ICCIF-species-checked": "predicted", "ICCIF-species-dilution-info": "", "ICCIF-species-notes": "" }, "Cow": { "IHCP-species-checked": "predicted", "IHCP-species-dilution-info": "", "IHCP-species-notes": "", "IP-species-checked": "predicted", "IP-species-dilution-info": "", "IP-species-notes": "", "WB-species-checked": "predicted", "WB-species-dilution-info": "", "WB-species-notes": "", "ICCIF-species-checked": "predicted", "ICCIF-species-dilution-info": "", "ICCIF-species-notes": "" }, "Dog": { "IHCP-species-checked": "predicted", "IHCP-species-dilution-info": "", "IHCP-species-notes": "", "IP-species-checked": "predicted", "IP-species-dilution-info": "", "IP-species-notes": "", "WB-species-checked": "predicted", "WB-species-dilution-info": "", "WB-species-notes": "", "ICCIF-species-checked": "predicted", "ICCIF-species-dilution-info": "", "ICCIF-species-notes": "" }, "Gorilla": { "IHCP-species-checked": "predicted", "IHCP-species-dilution-info": "", "IHCP-species-notes": "", "IP-species-checked": "predicted", "IP-species-dilution-info": "", "IP-species-notes": "", "WB-species-checked": "predicted", "WB-species-dilution-info": "", "WB-species-notes": "", "ICCIF-species-checked": "predicted", "ICCIF-species-dilution-info": "", "ICCIF-species-notes": "" }, "Guinea pig": { "IHCP-species-checked": "predicted", "IHCP-species-dilution-info": "", "IHCP-species-notes": "", "IP-species-checked": "predicted", "IP-species-dilution-info": "", "IP-species-notes": "", "WB-species-checked": "predicted", "WB-species-dilution-info": "", "WB-species-notes": "", "ICCIF-species-checked": "predicted", "ICCIF-species-dilution-info": "", "ICCIF-species-notes": "" }, "Horse": { "IHCP-species-checked": "predicted", "IHCP-species-dilution-info": "", "IHCP-species-notes": "", "IP-species-checked": "predicted", "IP-species-dilution-info": "", "IP-species-notes": "", "WB-species-checked": "predicted", "WB-species-dilution-info": "", "WB-species-notes": "", "ICCIF-species-checked": "predicted", "ICCIF-species-dilution-info": "", "ICCIF-species-notes": "" }, "Orangutan": { "IHCP-species-checked": "predicted", "IHCP-species-dilution-info": "", "IHCP-species-notes": "", "IP-species-checked": "predicted", "IP-species-dilution-info": "", "IP-species-notes": "", "WB-species-checked": "predicted", "WB-species-dilution-info": "", "WB-species-notes": "", "ICCIF-species-checked": "predicted", "ICCIF-species-dilution-info": "", "ICCIF-species-notes": "" }, "Pig": { "IHCP-species-checked": "predicted", "IHCP-species-dilution-info": "", "IHCP-species-notes": "", "IP-species-checked": "predicted", "IP-species-dilution-info": "", "IP-species-notes": "", "WB-species-checked": "predicted", "WB-species-dilution-info": "", "WB-species-notes": "", "ICCIF-species-checked": "predicted", "ICCIF-species-dilution-info": "", "ICCIF-species-notes": "" }, "Platypus": { "IHCP-species-checked": "predicted", "IHCP-species-dilution-info": "", "IHCP-species-notes": "", "IP-species-checked": "predicted", "IP-species-dilution-info": "", "IP-species-notes": "", "WB-species-checked": "predicted", "WB-species-dilution-info": "", "WB-species-notes": "", "ICCIF-species-checked": "predicted", "ICCIF-species-dilution-info": "", "ICCIF-species-notes": "" }, "Rabbit": { "IHCP-species-checked": "predicted", "IHCP-species-dilution-info": "", "IHCP-species-notes": "", "IP-species-checked": "predicted", "IP-species-dilution-info": "", "IP-species-notes": "", "WB-species-checked": "predicted", "WB-species-dilution-info": "", "WB-species-notes": "", "ICCIF-species-checked": "predicted", "ICCIF-species-dilution-info": "", "ICCIF-species-notes": "" }, "Rhesus monkey": { "IHCP-species-checked": "predicted", "IHCP-species-dilution-info": "", "IHCP-species-notes": "", "IP-species-checked": "predicted", "IP-species-dilution-info": "", "IP-species-notes": "", "WB-species-checked": "predicted", "WB-species-dilution-info": "", "WB-species-notes": "", "ICCIF-species-checked": "predicted", "ICCIF-species-dilution-info": "", "ICCIF-species-notes": "" }, "Xenopus tropicalis": { "IHCP-species-checked": "predicted", "IHCP-species-dilution-info": "", "IHCP-species-notes": "", "IP-species-checked": "predicted", "IP-species-dilution-info": "", "IP-species-notes": "", "WB-species-checked": "predicted", "WB-species-dilution-info": "", "WB-species-notes": "", "ICCIF-species-checked": "predicted", "ICCIF-species-dilution-info": "", "ICCIF-species-notes": "" } } }

You may be interested in:

AB272210

Human BMI1 ELISA Kit

0

0 Reviews

View product

We recommend this product because it’s often used in the same experiment or related research.

We advise that you always check the datasheet to ensure it fits your experiments, or contact ourtechnical teamfor help.

Properties and storage information

Form
Liquid
Purification technique
Affinity purification Immunogen
Storage buffer
pH: 7 - 8 Preservative: 0.09% Sodium azide Constituents: Tris buffered saline, 0.1% BSA
Shipped at conditions
Blue Ice
Appropriate short-term storage conditions
+4°C
Appropriate long-term storage conditions
-20°C
Aliquoting information
Upon delivery aliquot
Storage information
Avoid freeze / thaw cycle

Supplementary information

This supplementary information is collated from multiple sources and compiled automatically.

Bmi1 also known as B-cell-specific Moloney murine leukemia virus integration site 1 is a member of the Polycomb group of proteins. It has an approximate molecular mass of 37 kDa. Bmi1 is expressed in many tissues including the brain bone marrow and hematopoietic cells. It functions as a transcriptional repressor. Bmi1 plays an important role in chromatin remodeling influencing gene silencing and regulation of developmental processes. Bmi1 ELISA assays are commonly used for quantifying its levels in various research applications.
Biological function summary

The functions of Bmi1 extend into maintaining stem cell renewal and differentiation. It acts as part of the Polycomb repressive complex 1 (PRC1) partnering with other proteins to regulate gene expression by altering chromatin structure. Bmi1 protein regulates cell proliferation and inhibits senescence by repressing the INK4a/ARF locus which encodes tumor suppressor proteins like p16INK4a and p14ARF.

Pathways

Bmi1 plays significant roles in processes such as the DNA damage response and the self-renewal of hematopoietic stem cells. It is involved in the modulation of the Wnt and Notch signaling pathways. Bmi1 protein interacts closely with proteins such as CBX2 and RNF2 within these pathways affecting the transcriptional landscape that governs cell fate decisions.

Bmi1 overexpression links to cancer particularly breast cancer and leukemia. In MCF7 breast cancer cells alterations in Bmi1 activity contribute to oncogenesis and tumor progression. Its dysregulation can connect to Myc a well-known oncogenic protein. Additionally Bmi1's influence in Cas9-based gene editing models highlights its potential in cancer therapy research. Bmi1 has also been implicated in neurodegenerative disorders with connections to proteins like p21CIP1 affecting neuronal survival and aging.

Product protocols

For this product, it's our understanding that no specific protocols are required. You can visit:

Target data

Component of a Polycomb group (PcG) multiprotein PRC1-like complex, a complex class required to maintain the transcriptionally repressive state of many genes, including Hox genes, throughout development. PcG PRC1 complex acts via chromatin remodeling and modification of histones; it mediates monoubiquitination of histone H2A 'Lys-119', rendering chromatin heritably changed in its expressibility (PubMed : 15386022, PubMed : 16359901, PubMed : 16714294, PubMed : 21772249, PubMed : 25355358, PubMed : 26151332, PubMed : 27827373). The complex composed of RNF2, UB2D3 and BMI1 binds nucleosomes, and has activity only with nucleosomal histone H2A (PubMed : 21772249, PubMed : 25355358). In the PRC1-like complex, regulates the E3 ubiquitin-protein ligase activity of RNF2/RING2 (PubMed : 15386022, PubMed : 21772249, PubMed : 26151332).
See full target information BMI1

Publications (7)

Recent publications for all applications. Explore the full list and refine your search

Nature communications 11:6274 PubMed33293552

2020

SAMMY-seq reveals early alteration of heterochromatin and deregulation of bivalent genes in Hutchinson-Gilford Progeria Syndrome.

Applications

Unspecified application

Species

Unspecified reactive species

Endre Sebestyén,Fabrizia Marullo,Federica Lucini,Cristiano Petrini,Andrea Bianchi,Sara Valsoni,Ilaria Olivieri,Laura Antonelli,Francesco Gregoretti,Gennaro Oliva,Francesco Ferrari,Chiara Lanzuolo

American journal of physiology. Heart and circulatory physiology 316:H61-H69 PubMed30359076

2018

BMI1 promotes cardiac fibrosis in ischemia-induced heart failure via the PTEN-PI3K/Akt-mTOR signaling pathway.

Applications

Unspecified application

Species

Unspecified reactive species

Wenbo Yang,Zhijun Wu,Ke Yang,Yanxin Han,Yanjia Chen,Weilin Zhao,Fanyi Huang,Yao Jin,Wei Jin

Technology in cancer research & treatment 16:828-834 PubMed28425347

2017

Expression and Clinicopathological Significance of Mel-18 and Bmi-1 in Esophageal Squamous Cell Carcinoma.

Applications

Unspecified application

Species

Unspecified reactive species

Huaijun Ji,Ming Cao,Kunlun Ren,Ningbo Sun,Wei Wang,Qiang Zhu,Qi Zang,Zhongmin Jiang

Oncology letters 13:4349-4356 PubMed28599437

2017

B-cell specific Moloney leukemia virus insert site 1 and peptidyl arginine deiminase IV positively regulate carcinogenesis and progression of esophageal squamous cell carcinoma.

Applications

Unspecified application

Species

Unspecified reactive species

Wei Wang,Huai-Jun Ji,Ning-Bo Sun,Xiao-Tian Chang,Bing Xu,Yao Wang,Ming Cao,Qiang Zhu,Qi Zang,Zhong-Min Jiang

Human molecular genetics 26:753-767 PubMed28040729

2017

Polycomb repressive complex 1 provides a molecular explanation for repeat copy number dependency in FSHD muscular dystrophy.

Applications

ChIP, WB

Species

Unspecified reactive species, Unspecified reactive species

Valentina Casa,Valeria Runfola,Stefano Micheloni,Arif Aziz,F Jeffrey Dilworth,Davide Gabellini

International journal of molecular medicine 38:172-82 PubMed27246838

2016

Jumonji AT-rich interactive domain 1B overexpression is associated with the development and progression of glioma.

Applications

WB

Species

Human

Liping Fang,Jiuhan Zhao,Dan Wang,Liyu Zhu,Jian Wang,Kui Jiang

PloS one 10:e0134212 PubMed26285154

2015

Ablation of Doublecortin-Like Kinase 1 in the Colonic Epithelium Exacerbates Dextran Sulfate Sodium-Induced Colitis.

Applications

IHC

Species

Mouse

Dongfeng Qu,Nathaniel Weygant,Randal May,Parthasarathy Chandrakesan,Mohammad Madhoun,Naushad Ali,Sripathi M Sureban,Guangyu An,Michael J Schlosser,Courtney W Houchen
View all publications

Product promise

We are committed to supporting your work with high-quality reagents, and we're here for you every step of the way. In the unlikely event that one of our products does not perform as expected, you're protected by our Product Promise.
For full details, please see our Terms & Conditions

Associated Products

Select an associated product type
Alternative Product
Primary Antibodies

AB213723

Anti-Bmi1 (phospho T275) antibody [EPR19848]

primary-antibodies

bmi1-phospho-t275-antibody-epr19848-ab213723

0

(0 reviews)

Alternative Product
Primary Antibodies

AB126783

Anti-Bmi1 antibody [EPR3745(2)]

primary-antibodies

bmi1-antibody-epr37452-ab126783

3

(3 reviews)

Alternative Product
Primary Antibodies

AB216444

Anti-Bmi1 antibody [EPR3745(2)] - BSA and Azide free

primary-antibodies

bmi1-antibody-epr37452-bsa-and-azide-free-ab216444

0

(0 reviews)

Alternative Product
Primary Antibodies

AB228458

Anti-Bmi1 (phospho T275) antibody [EPR19848] - BSA and Azide free

primary-antibodies

bmi1-phospho-t275-antibody-epr19848-bsa-and-azide-free-ab228458

0

(0 reviews)

Please note: All products are 'FOR RESEARCH USE ONLY. NOT FOR USE IN DIAGNOSTIC OR THERAPEUTIC PROCEDURES'.

For licensing inquiries, please contact partnerships@abcam.com