JavaScript is disabled in your browser. Please enable JavaScript to view this website.
AB269678

Anti-Bmi1 antibody [BMI1/2823]

Be the first to review this product! Submit a review

|

(5 Publications)

Mouse Monoclonal BMI1 antibody. Suitable for WB, Protein Array, ICC/IF, IHC-P and reacts with Mouse, Human, Recombinant full length protein - Human samples. Cited in 5 publications. Immunogen corresponding to Recombinant Fragment Protein within Human BMI1 aa 100 to C-terminus.

View Alternative Names

PCGF4, RNF51, BMI1, Polycomb complex protein BMI-1, Polycomb group RING finger protein 4, RING finger protein 51

7 Images
Immunocytochemistry/ Immunofluorescence - Anti-Bmi1 antibody [BMI1/2823] (AB269678)
  • ICC/IF

Supplier Data

Immunocytochemistry/ Immunofluorescence - Anti-Bmi1 antibody [BMI1/2823] (AB269678)

PFA-fixed HeLa (human epithelial cell line from cervix adenocarcinoma) cells labeling Bmi1 using ab269678 at 2 μg/ml in ICC/IF. The secondary antibody is a Goat anti-mouse IgG-CF488 conjugate (Green). The membrane is stained with Phalloidin (Red).

Immunohistochemistry (Formalin/PFA-fixed paraffin-embedded sections) - Anti-Bmi1 antibody [BMI1/2823] (AB269678)
  • IHC-P

Supplier Data

Immunohistochemistry (Formalin/PFA-fixed paraffin-embedded sections) - Anti-Bmi1 antibody [BMI1/2823] (AB269678)

Formalin-fixed, paraffin-embedded human colon carcinoma tissue stained for Bmi1 using ab269678 at 2 μg/ml in immunohistochemical analysis.

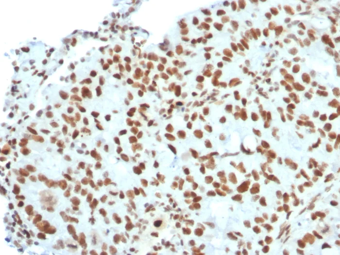
Immunohistochemistry (Formalin/PFA-fixed paraffin-embedded sections) - Anti-Bmi1 antibody [BMI1/2823] (AB269678)
  • IHC-P

Supplier Data

Immunohistochemistry (Formalin/PFA-fixed paraffin-embedded sections) - Anti-Bmi1 antibody [BMI1/2823] (AB269678)

Formalin-fixed, paraffin-embedded human prostate carcinoma tissue stained for Bmi1 using ab269678 at 2 μg/ml in immunohistochemical analysis.

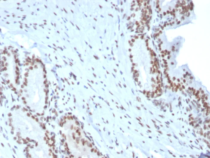
Immunohistochemistry (Formalin/PFA-fixed paraffin-embedded sections) - Anti-Bmi1 antibody [BMI1/2823] (AB269678)
  • IHC-P

Supplier Data

Immunohistochemistry (Formalin/PFA-fixed paraffin-embedded sections) - Anti-Bmi1 antibody [BMI1/2823] (AB269678)

Formalin-fixed, paraffin-embedded human breast carcinoma tissue stained for Bmi1 using ab269678 at 2 μg/ml in immunohistochemical analysis.

Western blot - Anti-Bmi1 antibody [BMI1/2823] (AB269678)
  • WB

Lab

Western blot - Anti-Bmi1 antibody [BMI1/2823] (AB269678)

Lanes 1- 4 : Merged signal (red and green). Green - ab269678 observed at 36 kDa. Red - Anti-alpha Tubulin antibody [EP1332Y] - Microtubule Marker (ab52866) observed at 50 kDa.

ab269678 was shown to react with Bmi1 in wild-type MCF7 cells in western blot. Loss of signal was observed when knockout cell line ab262319 (knockout cell lysate ab256851) was used. Wild-type MCF7 and BMI1 knockout MCF7 cell lysates were subjected to SDS-PAGE. Membrane was blocked for 1 hour at room temperature in 0.1% TBST with 3% non-fat dried milk. ab269678 and Anti-alpha Tubulin antibody [EP1332Y] - Microtubule Marker (ab52866) overnight at 4°C at a 2 μg/ml and a 1 in 20000 dilution respectively. Blots were developed with Goat anti-Mouse IgG H&L (IRDye®800CW) preadsorbed (ab216772) and Goat Anti-Rabbit IgG H&L (IRDye®680RD) preadsorbed (ab216777) secondary antibodies at 1 in 20000 dilution for 1 hour at room temperature before imaging.

All lanes:

Western blot - Anti-Bmi1 antibody [BMI1/2823] (ab269678) at 2 µg/mL

Lane 1:

Wild-type MCF7 cell lysate at 20 µg

Lane 1:

Western blot - Human BMI1 knockout MCF7 cell lysate (<a href='/en-us/products/cell-lysates/human-bmi1-knockout-mcf7-cell-lysate-ab256851'>ab256851</a>)

Lane 2:

BMI1 knockout MCF7 cell lysate at 20 µg

Lane 2:

Western blot - Human BMI1 knockout MCF7 cell line (<a href='/en-us/products/cell-lines/human-bmi1-knockout-mcf7-cell-line-ab262319'>ab262319</a>)

Lane 3:

A431 cell lysate at 20 µg

Lane 4:

HEK-293 cell lysate at 20 µg

Predicted band size: 36 kDa

Observed band size: 36 kDa

false

Protein Array - Anti-Bmi1 antibody [BMI1/2823] (AB269678)
  • Protein Array

Supplier Data

Protein Array - Anti-Bmi1 antibody [BMI1/2823] (AB269678)

Analysis of Protein Array containing more than 19,000 full-length human proteins using ab269678.

Z- and S- Score : The Z-score represents the strength of a signal that a monoclonal antibody (MAb) (in combination with a fluorescently-tagged anti-IgG secondary antibody) produces when binding to a particular protein on the HuProtTM array. Z-scores are described in units of standard deviations (SD's) above the mean value of all signals generated on that array. If targets on HuProtTM are arranged in descending order of the Z-score, the S-score is the difference (also in units of SD's) between the Z-score. S-score therefore represents the relative target specificity of a MAb to its intended target. A MAb is considered to specific to its intended target, if the MAb has an S-score of at least 2.5. For example, if a MAb binds to protein X with a Z-score of 43 and to protein Y with a Z-score of 14, then the S-score for the binding of that MAb to protein X is equal to 29.

Western blot - Anti-Bmi1 antibody [BMI1/2823] (AB269678)
  • WB

Supplier Data

Western blot - Anti-Bmi1 antibody [BMI1/2823] (AB269678)

All lanes:

Western blot - Anti-Bmi1 antibody [BMI1/2823] (ab269678) at 2 µg/mL

All lanes:

NIH/3T3 (mouse embryo fibroblast cell line) cell lysate

Predicted band size: 36 kDa

false

Key facts

Host species

Mouse

Clonality

Monoclonal

Clone number

BMI1/2823

Isotype

IgG1

Light chain type

kappa

Carrier free

No

Reacts with

Mouse, Human

Applications

IHC-P, Protein Array, ICC/IF, WB

applications

Immunogen

Recombinant Fragment Protein within Human BMI1 aa 100 to C-terminus. The exact immunogen used to generate this antibody is proprietary information.

P35226

Reactivity data

{ "title": "Reactivity Data", "filters": { "stats": ["", "Species", "Dilution Info", "Notes"], "tabs": { "all-applications": {"fullname" : "All Applications", "shortname": "All Applications"}, "WB" : {"fullname" : "Western blot", "shortname":"WB"}, "ProteinArray" : {"fullname" : "Protein Array", "shortname":"Protein Array"}, "ICCIF" : {"fullname" : "Immunocytochemistry/ Immunofluorescence", "shortname":"ICC/IF"}, "IHCP" : {"fullname" : "Immunohistochemistry (Formalin/PFA-fixed paraffin-embedded sections)", "shortname":"IHC-P"} }, "product-promise": { "all": "all", "testedAndGuaranteed": "tested", "guaranteed": "expected", "predicted": "predicted", "notRecommended": "not-recommended" } }, "values": { "Human": { "WB-species-checked": "testedAndGuaranteed", "WB-species-dilution-info": "1-2 µg/mL", "WB-species-notes": "<p></p>", "ProteinArray-species-checked": "guaranteed", "ProteinArray-species-dilution-info": "", "ProteinArray-species-notes": "", "ICCIF-species-checked": "testedAndGuaranteed", "ICCIF-species-dilution-info": "1-2 µg/mL", "ICCIF-species-notes": "<p></p>", "IHCP-species-checked": "testedAndGuaranteed", "IHCP-species-dilution-info": "1-2 µg/mL", "IHCP-species-notes": "<p></p>" }, "Mouse": { "WB-species-checked": "testedAndGuaranteed", "WB-species-dilution-info": "1-2 µg/mL", "WB-species-notes": "<p></p>", "ProteinArray-species-checked": "guaranteed", "ProteinArray-species-dilution-info": "", "ProteinArray-species-notes": "", "ICCIF-species-checked": "guaranteed", "ICCIF-species-dilution-info": "", "ICCIF-species-notes": "", "IHCP-species-checked": "guaranteed", "IHCP-species-dilution-info": "", "IHCP-species-notes": "" }, "Recombinant full length protein - Human": { "WB-species-checked": "notRecommended", "WB-species-dilution-info": "", "WB-species-notes": "", "ProteinArray-species-checked": "testedAndGuaranteed", "ProteinArray-species-dilution-info": "", "ProteinArray-species-notes": "<p></p>", "ICCIF-species-checked": "notRecommended", "ICCIF-species-dilution-info": "", "ICCIF-species-notes": "", "IHCP-species-checked": "notRecommended", "IHCP-species-dilution-info": "", "IHCP-species-notes": "" } } }

Properties and storage information

Form
Liquid
Purification technique
Affinity purification Protein A/G
Purification notes
Purified from bioreactor concentrate.
Storage buffer
pH: 7.2 - 7.4 Preservative: 0.05% Sodium azide Constituents: PBS, 0.05% BSA
Shipped at conditions
Blue Ice
Appropriate short-term storage duration
1-2 weeks
Appropriate short-term storage conditions
+4°C
Appropriate long-term storage conditions
-20°C
Aliquoting information
Upon delivery aliquot
Storage information
Avoid freeze / thaw cycle

Supplementary information

This supplementary information is collated from multiple sources and compiled automatically.

Bmi1 also known as B-cell-specific Moloney murine leukemia virus integration site 1 is a member of the Polycomb group of proteins. It has an approximate molecular mass of 37 kDa. Bmi1 is expressed in many tissues including the brain bone marrow and hematopoietic cells. It functions as a transcriptional repressor. Bmi1 plays an important role in chromatin remodeling influencing gene silencing and regulation of developmental processes. Bmi1 ELISA assays are commonly used for quantifying its levels in various research applications.
Biological function summary

The functions of Bmi1 extend into maintaining stem cell renewal and differentiation. It acts as part of the Polycomb repressive complex 1 (PRC1) partnering with other proteins to regulate gene expression by altering chromatin structure. Bmi1 protein regulates cell proliferation and inhibits senescence by repressing the INK4a/ARF locus which encodes tumor suppressor proteins like p16INK4a and p14ARF.

Pathways

Bmi1 plays significant roles in processes such as the DNA damage response and the self-renewal of hematopoietic stem cells. It is involved in the modulation of the Wnt and Notch signaling pathways. Bmi1 protein interacts closely with proteins such as CBX2 and RNF2 within these pathways affecting the transcriptional landscape that governs cell fate decisions.

Bmi1 overexpression links to cancer particularly breast cancer and leukemia. In MCF7 breast cancer cells alterations in Bmi1 activity contribute to oncogenesis and tumor progression. Its dysregulation can connect to Myc a well-known oncogenic protein. Additionally Bmi1's influence in Cas9-based gene editing models highlights its potential in cancer therapy research. Bmi1 has also been implicated in neurodegenerative disorders with connections to proteins like p21CIP1 affecting neuronal survival and aging.

Product protocols

For this product, it's our understanding that no specific protocols are required. You can visit:

Target data

Component of a Polycomb group (PcG) multiprotein PRC1-like complex, a complex class required to maintain the transcriptionally repressive state of many genes, including Hox genes, throughout development. PcG PRC1 complex acts via chromatin remodeling and modification of histones; it mediates monoubiquitination of histone H2A 'Lys-119', rendering chromatin heritably changed in its expressibility (PubMed : 15386022, PubMed : 16359901, PubMed : 16714294, PubMed : 21772249, PubMed : 25355358, PubMed : 26151332, PubMed : 27827373). The complex composed of RNF2, UB2D3 and BMI1 binds nucleosomes, and has activity only with nucleosomal histone H2A (PubMed : 21772249, PubMed : 25355358). In the PRC1-like complex, regulates the E3 ubiquitin-protein ligase activity of RNF2/RING2 (PubMed : 15386022, PubMed : 21772249, PubMed : 26151332).
See full target information BMI1

Publications (5)

Recent publications for all applications. Explore the full list and refine your search

Gynecologic oncology reports 59:101758 PubMed40487855

2025

Low density of intratumoral M1-macrophage infiltration may correlate with worse prognosis in low-grade early-stage uterine endometrioid carcinoma.

Applications

Unspecified application

Species

Unspecified reactive species

Michiko Nagamine,Hiroshi Ogi,Maki Hirai,Ikoi Omatsu,Sanzo Moriwaki,Saya Shibata,Satoru Yasukawa,Kaori Yoriki,Motohiro Kojima,Taisuke Mori,Kyoko Itoh,Eiichi Konishi

Cancer cell international 24:121 PubMed38555451

2024

β-hydroxybutyrate inhibits malignant phenotypes of prostate cancer cells through β-hydroxybutyrylation of indoleacetamide-N-methyltransferase.

Applications

Unspecified application

Species

Unspecified reactive species

Yifan Zhang,Yunlong Li

Stem cells international 2022:7494354 PubMed36411870

2022

YTHDC1 Promotes Stemness Maintenance and Malignant Progression in Head and Neck Squamous Cell Carcinoma.

Applications

Unspecified application

Species

Unspecified reactive species

Junquan Weng,Haidong Fan,Huijuan Liu,Su Tang,Yuyan Zheng

American journal of translational research 13:5866-5879 PubMed34306331

2021

ZNRD1-AS1 knockdown alleviates malignant phenotype of retinoblastoma through miR-128-3p/BMI1 axis.

Applications

Unspecified application

Species

Unspecified reactive species

Guanghua Yang,Chen Zeng,Yang Liu,Dongliang Li,Juanjuan Cui

JCI insight 5: PubMed32427590

2020

MUC1-C drives stemness in progression of colitis to colorectal cancer.

Applications

Unspecified application

Species

Unspecified reactive species

Wei Li,Ning Zhang,Caining Jin,Mark D Long,Hasan Rajabi,Yota Yasumizu,Atsushi Fushimi,Nami Yamashita,Masayuki Hagiwara,Rongbin Zheng,Jin Wang,Ling Kui,Harpal Singh,Surender Kharbanda,Qiang Hu,Song Liu,Donald Kufe
View all publications

Product promise

We are committed to supporting your work with high-quality reagents, and we're here for you every step of the way. In the unlikely event that one of our products does not perform as expected, you're protected by our Product Promise.
For full details, please see our Terms & Conditions

Please note: All products are 'FOR RESEARCH USE ONLY. NOT FOR USE IN DIAGNOSTIC OR THERAPEUTIC PROCEDURES'.

For licensing inquiries, please contact partnerships@abcam.com