JavaScript is disabled in your browser. Please enable JavaScript to view this website.
AB254253

Anti-Bmi1 antibody [EPR22604-160] - ChIP Grade

  • BOND RX™ Validated
  • 20ul selling size
  • RabMAb
  • Advanced Validation
  • Recombinant
  • What is this?

Be the first to review this product! Submit a review

|

(3 Publications)

Rabbit Recombinant Monoclonal BMI1 antibody. Suitable for ChIC/CUT&RUN-seq, IP, ChIP-seq, ChIP, WB, ICC/IF, Flow Cyt (Intra), IHC-P and reacts with Human, Mouse samples. Cited in 3 publications.

View Alternative Names

PCGF4, RNF51, BMI1, Polycomb complex protein BMI-1, Polycomb group RING finger protein 4, RING finger protein 51

16 Images
Immunohistochemistry (Formalin/PFA-fixed paraffin-embedded sections) - Anti-Bmi1 antibody [EPR22604-160] - ChIP Grade (AB254253)
  • IHC-P

Unknown

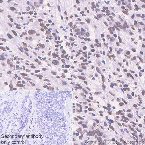
Immunohistochemistry (Formalin/PFA-fixed paraffin-embedded sections) - Anti-Bmi1 antibody [EPR22604-160] - ChIP Grade (AB254253)

Immunohistochemical analysis of paraffin-embedded human gastric cancer tissue labeling Bmi1 with ab254253 at 1/500 dilution, followed by a ready to use Rabbit specific IHC polymer detection kit HRP/DAB (ab209101). Nuclear staining on human gastric cancer is observed. Counter stained with Hematoxylin.

Secondary antibody only control : Used PBS instead of primary antibody, secondary antibody is the ready to use Rabbit specific IHC polymer detection kit HRP/DAB (ab209101).

Heat mediated antigen retrieval with Tris-EDTA buffer (pH 9.0, epitope retrieval solution 2) for 20 mins.

The section was incubated with ab254253 for 30 mins at RT. The immunostaining was performed on a Leica Biosystems BOND® RX instrument.

Immunocytochemistry/ Immunofluorescence - Anti-Bmi1 antibody [EPR22604-160] - ChIP Grade (AB254253)
  • ICC/IF

Unknown

Immunocytochemistry/ Immunofluorescence - Anti-Bmi1 antibody [EPR22604-160] - ChIP Grade (AB254253)

Immunofluorescent analysis of 4% paraformaldehyde-fixed, 0.1% tritonX-100 permeabilized, HeLa (human cervix adenocarcinoma epithelial cell) cells labeling Bmi1 with ab254253 at 1/50 dilution, followed by a AlexaFluor®488 Goat anti-Rabbit (ab150077) secondary antibody at 1/1000 dilution (green). Confocal image showing nuclear staining in Hela cells. DAPI was used as a nuclear counterstain (blue). Anti-alpha Tubulin antibody [DM1A] - Microtubule Marker (Alexa Fluor® 594, ab195889) at 1/200 was used as a counterstain.

Secondary antibody only control : Used PBS instead of primary antibody, secondary antibody is a AlexaFluor®488 Goat anti-Rabbit (ab150077) secondary antibody at 1/1000 dilution.

Flow Cytometry (Intracellular) - Anti-Bmi1 antibody [EPR22604-160] - ChIP Grade (AB254253)
  • Flow Cyt (Intra)

Unknown

Flow Cytometry (Intracellular) - Anti-Bmi1 antibody [EPR22604-160] - ChIP Grade (AB254253)

Intracellular flow cytometric analysis of 4% paraformaldehyde fixed, 90% methanol permeabilized HeLa (human cervix adenocarcinoma epithelial cell) cell line labeling Bmi1 with ab254253 at 1/60 (red) compared with a Rabbit monoclonal IgG (ab172730) (Black) and an unlabelled control (cells without incubation with primary antibody and secondary antibody) (Blue). Goat anti rabbit IgG (Alexa Fluor® 488, ab150077) at 1/2000 dilution was used as the secondary antibody.

Flow Cytometry (Intracellular) - Anti-Bmi1 antibody [EPR22604-160] - ChIP Grade (AB254253)
  • Flow Cyt (Intra)

Unknown

Flow Cytometry (Intracellular) - Anti-Bmi1 antibody [EPR22604-160] - ChIP Grade (AB254253)

Intracellular flow cytometric analysis of 4% paraformaldehyde fixed, 90% methanol permeabilized HeLa (human cervix adenocarcinoma epithelial cell) cell line labeling Bmi1 with ab254253 at 1/60 (red) compared with a Rabbit monoclonal IgG (ab172730) (Black) and an unlabelled control (cells without incubation with primary antibody and secondary antibody) (Blue). Goat anti rabbit IgG (Alexa Fluor® 488, ab150077) at 1/2000 dilution was used as the secondary antibody.

Immunohistochemistry (Formalin/PFA-fixed paraffin-embedded sections) - Anti-Bmi1 antibody [EPR22604-160] - ChIP Grade (AB254253)
  • IHC-P

Unknown

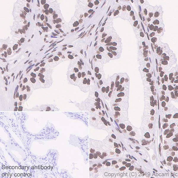
Immunohistochemistry (Formalin/PFA-fixed paraffin-embedded sections) - Anti-Bmi1 antibody [EPR22604-160] - ChIP Grade (AB254253)

Immunohistochemical analysis of paraffin-embedded human prostatic hyperplasia tissue labeling Bmi1 with ab254253 at 1/500 dilution, followed by a ready to use Rabbit specific IHC polymer detection kit HRP/DAB (ab209101). Nuclear staining on human prostatic hyperplasia is observed. Counter stained with Hematoxylin.

Secondary antibody only control : Used PBS instead of primary antibody, secondary antibody is the ready to use Rabbit specific IHC polymer detection kit HRP/DAB (ab209101).

Heat mediated antigen retrieval with Tris-EDTA buffer (pH 9.0, epitope retrieval solution 2) for 20 mins.

The section was incubated with ab254253 for 30 mins at RT. The immunostaining was performed on a Leica Biosystems BOND® RX instrument.

Immunoprecipitation - Anti-Bmi1 antibody [EPR22604-160] - ChIP Grade (AB254253)
  • IP

Unknown

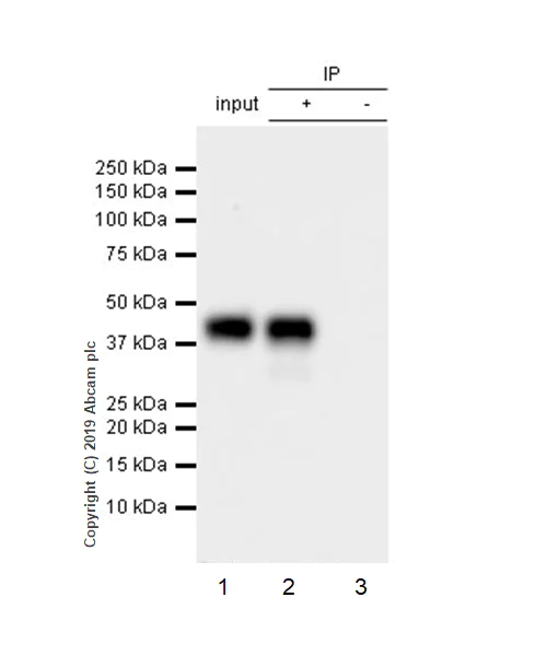
Immunoprecipitation - Anti-Bmi1 antibody [EPR22604-160] - ChIP Grade (AB254253)

Bmi1 was immunoprecipitated from 0.35mg of K562 (human chronic myelogenous leukemia lymphoblast) whole cell lysate with ab254253 at 1/30 dilution. Western blot was performed from the immunoprecipitate using ab254253 at 1/1000 dilution. VeriBlot for IP detection reagent (HRP) (ab131366) was used as secondary antibody at 1/5000 dilution.

Lane 1 : K562 whole cell lysate 10 μg (Input).

Lane 2 : ab254253 IP in K562 whole cell lysate.

Lane 3 : Rabbit monoclonal IgG (ab172730) instead of ab254253 in K562 whole cell lysate.

Blocking and dilution buffer and concentration : 5% NFDM/TBST

Exposure time : 15 seconds.

All lanes:

Immunoprecipitation - Anti-Bmi1 antibody [EPR22604-160] - ChIP Grade (ab254253)

Predicted band size: 36 kDa

false

ChIP-sequencing - Anti-Bmi1 antibody [EPR22604-160] - ChIP Grade (AB254253)
  • ChIP-seq

Lab

ChIP-sequencing - Anti-Bmi1 antibody [EPR22604-160] - ChIP Grade (AB254253)

Chromatin was prepared from NCCIT cells. Cells were fixed with 1% formaldehyde for 10 minutes. ChIP was performed with 10^7 NCCIT cells and 8 µg of ab254253 [EPR22604-160]. ChIP DNA was sequenced on the Illumina NovaSeq 6000 to a depth of 30 million reads. Additional screenshots of mapped reads can be downloaded here.

ChIP-sequencing - Anti-Bmi1 antibody [EPR22604-160] - ChIP Grade (AB254253)
  • ChIP-seq

Lab

ChIP-sequencing - Anti-Bmi1 antibody [EPR22604-160] - ChIP Grade (AB254253)

Chromatin was prepared from NCCIT cells. Cells were fixed with 1% formaldehyde for 10 minutes. ChIP was performed with 10^7 NCCIT cells and 8 µg of ab254253 [EPR22604-160]. ChIP DNA was sequenced on the Illumina NovaSeq 6000 to a depth of 30 million reads. Additional screenshots of mapped reads can be downloaded here.

ChIP-sequencing - Anti-Bmi1 antibody [EPR22604-160] - ChIP Grade (AB254253)
  • ChIP-seq

Lab

ChIP-sequencing - Anti-Bmi1 antibody [EPR22604-160] - ChIP Grade (AB254253)

Chromatin was prepared from NCCIT cells. Cells were fixed with 1% formaldehyde for 10 minutes. ChIP was performed with 10^7 NCCIT cells and 8 µg of ab254253 [EPR22604-160]. ChIP DNA was sequenced on the Illumina NovaSeq 6000 to a depth of 30 million reads. Additional screenshots of mapped reads can be downloaded here.

ChIP - Anti-Bmi1 antibody [EPR22604-160] - ChIP Grade (AB254253)
  • ChIP

Lab

ChIP - Anti-Bmi1 antibody [EPR22604-160] - ChIP Grade (AB254253)

Chromatin was prepared from NCCIT cells according to the Abcam X-ChIP protocol. Cells were fixed with formaldehyde for 10min.

The ChIP was performed with 25 μg of chromatin, 5 μg of ab254253 (red), and 20 μl of Protein A/G Sepharose beads. 5 μg of rabbit normal IgG was added to the beads control (gray). The immunoprecipitated DNA was quantified by real time PCR (sybr green approach).

Primers and probes are located in the first kb of the transcribed region.

ChIP-sequencing - Anti-Bmi1 antibody [EPR22604-160] - ChIP Grade (AB254253)
  • ChIP-seq

Lab

ChIP-sequencing - Anti-Bmi1 antibody [EPR22604-160] - ChIP Grade (AB254253)

Chromatin was prepared from NCCIT cells. Cells were fixed with 1% formaldehyde for 10 minutes. ChIP was performed with 10^7 NCCIT cells and 8 µg of ab254253 [EPR22604-160]. ChIP DNA was sequenced on the Illumina NovaSeq 6000 to a depth of 30 million reads. Additional screenshots of mapped reads can be downloaded here.

Immunocytochemistry/ Immunofluorescence - Anti-Bmi1 antibody [EPR22604-160] - ChIP Grade (AB254253)
  • ICC/IF

Unknown

Immunocytochemistry/ Immunofluorescence - Anti-Bmi1 antibody [EPR22604-160] - ChIP Grade (AB254253)

Immunofluorescent analysis of 4% paraformaldehyde, 0.1% triton X-100 fixed, NIH/3T3 (mouse embryonic fibroblast) cells labeling Bmi1 with ab254253 at 1/50 dilution, followed by AlexaFluor®488 Goat anti-Rabbit (ab150077) secondary antibody at 1/1000 dilution (green). Confocal image showing nuclear staining in NIH/3T3 cells. DAPI was used as a nuclear counterstain (blue). Anti-alpha Tubulin antibody [DM1A] - Microtubule Marker (Alexa Fluor® 594, ab195889) at 1/200 was used as a counterstain.

Secondary antibody only control : Used PBS instead of primary antibody, secondary antibody is a AlexaFluor®488 Goat anti-Rabbit (ab150077) secondary antibody at 1/1000 dilution.

Flow Cytometry (Intracellular) - Anti-Bmi1 antibody [EPR22604-160] - ChIP Grade (AB254253)
  • Flow Cyt (Intra)

Unknown

Flow Cytometry (Intracellular) - Anti-Bmi1 antibody [EPR22604-160] - ChIP Grade (AB254253)

Intracellular flow cytometric analysis of 4% paraformaldehyde fixed, 90% methanol permeabilized NIH/3T3 (mouse embryonic fibroblast) cell line labeling Bmi1 with ab254253 at 1/60 dilution (red) compared with a Rabbit monoclonal IgG (ab172730) (Black) and an unlabelled control (cells without incubation with primary antibody and secondary antibody) (Blue). Goat anti rabbit IgG (Alexa Fluor® 488, ab150077) at 1/2000 dilution was used as the secondary antibody.

Immunohistochemistry (Formalin/PFA-fixed paraffin-embedded sections) - Anti-Bmi1 antibody [EPR22604-160] - ChIP Grade (AB254253)
  • IHC-P

Unknown

Immunohistochemistry (Formalin/PFA-fixed paraffin-embedded sections) - Anti-Bmi1 antibody [EPR22604-160] - ChIP Grade (AB254253)

Immunohistochemical analysis of paraffin-embedded mouse colon tissue labeling Bmi1 with ab254253 at 1/500 dilution, followed by a ready to use Rabbit specific IHC polymer detection kit HRP/DAB (ab209101). Nuclear staining on mouse colon is observed. Counter stained with Hematoxylin.

Secondary antibody only control : Used PBS instead of primary antibody, secondary antibody is the ready to use Rabbit specific IHC polymer detection kit HRP/DAB (ab209101).

Heat mediated antigen retrieval with Tris-EDTA buffer (pH 9.0, epitope retrieval solution 2) for 20 mins.

The section was incubated with ab254253 for 30 mins at RT. The immunostaining was performed on a Leica Biosystems BOND® RX instrument.

Western blot - Anti-Bmi1 antibody [EPR22604-160] - ChIP Grade (AB254253)
  • WB

Unknown

Western blot - Anti-Bmi1 antibody [EPR22604-160] - ChIP Grade (AB254253)

Exposure time :
Lane 1 : 48 seconds
Lanes 2-5 : 10 seconds

Blocking/Diluting buffer and concentration : 5% NFDM/TBST

Molecular weight observed is consistent with what has been described in the literature (PMID : 26110620)

All lanes:

Western blot - Anti-Bmi1 antibody [EPR22604-160] - ChIP Grade (ab254253) at 1/5000 dilution

Lane 1:

K562 (human chronic myelogenous leukemia lymphoblast), whole cell lysate at 20 µg

Lane 2:

HeLa (human cervix adenocarcinoma epithelial cell), whole cell lysate at 20 µg

Lane 3:

MOLT-4 (human lymphoblastic leukemia T lymphoblast), whole cell lysate at 20 µg

Lane 4:

A549 (human lung carcinoma epithelial cell), whole cell lysate at 20 µg

Lane 5:

NIH/3T3 (mouse embryonic fibroblast), whole cell lysate at 20 µg

Secondary

All lanes:

Western blot - Goat Anti-Rabbit IgG H&L (HRP) (<a href='/en-us/products/secondary-antibodies/goat-rabbit-igg-h-l-hrp-ab97051'>ab97051</a>) at 1/100000 dilution

Predicted band size: 36 kDa

Observed band size: 42 kDa

false

ChIC/CUT&RUN sequencing - Anti-Bmi1 antibody [EPR22604-160] - ChIP Grade (AB254253)
  • ChIC/CUT&RUN-seq

Supplier Data

ChIC/CUT&RUN sequencing - Anti-Bmi1 antibody [EPR22604-160] - ChIP Grade (AB254253)

ChIC/CUT&RUN was performed using a pAG-MNAse at a final concentration of 700 ng/mL, 2 x 10^5 NCCIT (Human pluripotent embryonic carcinoma cell line) cells and 5µg of ab254253 [EPR22604-160]. The resulting DNA was sequenced on the Illumina NovaSeq 6000 to a depth of 10 million reads. The negative IgG control ab172730 is also shown. Additional screenshots of mapped reads can be found in the Protocol booklet in the Product Protocol section. The University of Geneva owns patents relevant to ChIC (Chromatin Immuno-Cleavage) methods.

  • Carrier free

    Anti-Bmi1 antibody [EPR22604-160] - ChIP Grade - BSA and Azide free

  • Carrier free

    Anti-Bmi1 antibody [EPR22604-160] - BSA and Azide free (Detector)

Key facts

Host species

Rabbit

Clonality

Monoclonal

Clone number

EPR22604-160

Isotype

IgG

Carrier free

No

Reacts with

Mouse, Human

Applications

ICC/IF, ChIC/CUT&RUN-seq, Flow Cyt (Intra), WB, IHC-P, ChIP-seq, IP, ChIP

applications

Immunogen

The exact immunogen used to generate this antibody is proprietary information.

Reactivity data

{ "title": "Reactivity Data", "filters": { "stats": ["", "Species", "Dilution Info", "Notes"], "tabs": { "all-applications": {"fullname" : "All Applications", "shortname": "All Applications"}, "ChICCUTRUNseq" : {"fullname" : "ChIC/CUT&RUN sequencing", "shortname":"ChIC/CUT&RUN-seq"}, "IP" : {"fullname" : "Immunoprecipitation", "shortname":"IP"}, "ChIPseq" : {"fullname" : "ChIP-sequencing", "shortname":"ChIP-seq"}, "ChIP" : {"fullname" : "ChIP", "shortname":"ChIP"}, "WB" : {"fullname" : "Western blot", "shortname":"WB"}, "ICCIF" : {"fullname" : "Immunocytochemistry/ Immunofluorescence", "shortname":"ICC/IF"}, "FlowCytIntra" : {"fullname" : "Flow Cytometry (Intracellular)", "shortname":"Flow Cyt (Intra)"}, "IHCP" : {"fullname" : "Immunohistochemistry (Formalin/PFA-fixed paraffin-embedded sections)", "shortname":"IHC-P"} }, "product-promise": { "all": "all", "testedAndGuaranteed": "tested", "guaranteed": "expected", "predicted": "predicted", "notRecommended": "not-recommended" } }, "values": { "Human": { "ChICCUTRUNseq-species-checked": "testedAndGuaranteed", "ChICCUTRUNseq-species-dilution-info": "5 µg", "ChICCUTRUNseq-species-notes": "<p></p>", "IP-species-checked": "testedAndGuaranteed", "IP-species-dilution-info": "1/30", "IP-species-notes": "<p></p>", "ChIPseq-species-checked": "testedAndGuaranteed", "ChIPseq-species-dilution-info": " for 10^7 Cells", "ChIPseq-species-notes": "<p></p>", "ChIP-species-checked": "testedAndGuaranteed", "ChIP-species-dilution-info": "", "ChIP-species-notes": "<p>5 μg</p>", "WB-species-checked": "testedAndGuaranteed", "WB-species-dilution-info": "1/5000", "WB-species-notes": "<p></p>", "ICCIF-species-checked": "testedAndGuaranteed", "ICCIF-species-dilution-info": "1/50", "ICCIF-species-notes": "<p></p>", "FlowCytIntra-species-checked": "testedAndGuaranteed", "FlowCytIntra-species-dilution-info": "1/60", "FlowCytIntra-species-notes": "<p></p>", "IHCP-species-checked": "testedAndGuaranteed", "IHCP-species-dilution-info": "1/500", "IHCP-species-notes": "<p></p>" }, "Mouse": { "ChICCUTRUNseq-species-checked": "guaranteed", "ChICCUTRUNseq-species-dilution-info": "", "ChICCUTRUNseq-species-notes": "", "IP-species-checked": "guaranteed", "IP-species-dilution-info": "", "IP-species-notes": "", "ChIPseq-species-checked": "guaranteed", "ChIPseq-species-dilution-info": "", "ChIPseq-species-notes": "", "ChIP-species-checked": "guaranteed", "ChIP-species-dilution-info": "", "ChIP-species-notes": "", "WB-species-checked": "testedAndGuaranteed", "WB-species-dilution-info": "1/5000", "WB-species-notes": "<p></p>", "ICCIF-species-checked": "testedAndGuaranteed", "ICCIF-species-dilution-info": "1/50", "ICCIF-species-notes": "<p></p>", "FlowCytIntra-species-checked": "testedAndGuaranteed", "FlowCytIntra-species-dilution-info": "1/60", "FlowCytIntra-species-notes": "<p></p>", "IHCP-species-checked": "testedAndGuaranteed", "IHCP-species-dilution-info": "1/500", "IHCP-species-notes": "<p></p>" } } }

Product details

Patented technology
Our RabMAb® technology is a patented hybridoma-based technology for making rabbit monoclonal antibodies. For details on our patents, please refer to RabMAb® patents.

What are the advantages of a recombinant monoclonal antibody?
This product is a recombinant monoclonal antibody, which offers several advantages including:

  • - High batch-to-batch consistency and reproducibility
  • - Improved sensitivity and specificity
  • - Long-term security of supply
  • - Animal-free batch production

For more information, read more on recombinant antibodies.

Properties and storage information

Form
Liquid
Purification technique
Affinity purification Protein A
Storage buffer
pH: 7.2 - 7.4 Preservative: 0.01% Sodium azide Constituents: PBS, 40% Glycerol (glycerin, glycerine), 0.05% BSA
Shipped at conditions
Blue Ice
Appropriate short-term storage duration
1-2 weeks
Appropriate short-term storage conditions
+4°C
Appropriate long-term storage conditions
-20°C
Aliquoting information
Upon delivery aliquot
Storage information
Avoid freeze / thaw cycle

Supplementary information

This supplementary information is collated from multiple sources and compiled automatically.

Bmi1 also known as B-cell-specific Moloney murine leukemia virus integration site 1 is a member of the Polycomb group of proteins. It has an approximate molecular mass of 37 kDa. Bmi1 is expressed in many tissues including the brain bone marrow and hematopoietic cells. It functions as a transcriptional repressor. Bmi1 plays an important role in chromatin remodeling influencing gene silencing and regulation of developmental processes. Bmi1 ELISA assays are commonly used for quantifying its levels in various research applications.
Biological function summary

The functions of Bmi1 extend into maintaining stem cell renewal and differentiation. It acts as part of the Polycomb repressive complex 1 (PRC1) partnering with other proteins to regulate gene expression by altering chromatin structure. Bmi1 protein regulates cell proliferation and inhibits senescence by repressing the INK4a/ARF locus which encodes tumor suppressor proteins like p16INK4a and p14ARF.

Pathways

Bmi1 plays significant roles in processes such as the DNA damage response and the self-renewal of hematopoietic stem cells. It is involved in the modulation of the Wnt and Notch signaling pathways. Bmi1 protein interacts closely with proteins such as CBX2 and RNF2 within these pathways affecting the transcriptional landscape that governs cell fate decisions.

Bmi1 overexpression links to cancer particularly breast cancer and leukemia. In MCF7 breast cancer cells alterations in Bmi1 activity contribute to oncogenesis and tumor progression. Its dysregulation can connect to Myc a well-known oncogenic protein. Additionally Bmi1's influence in Cas9-based gene editing models highlights its potential in cancer therapy research. Bmi1 has also been implicated in neurodegenerative disorders with connections to proteins like p21CIP1 affecting neuronal survival and aging.

Product protocols

For this product, it's our understanding that no specific protocols are required. You can visit:

Target data

Component of a Polycomb group (PcG) multiprotein PRC1-like complex, a complex class required to maintain the transcriptionally repressive state of many genes, including Hox genes, throughout development. PcG PRC1 complex acts via chromatin remodeling and modification of histones; it mediates monoubiquitination of histone H2A 'Lys-119', rendering chromatin heritably changed in its expressibility (PubMed : 15386022, PubMed : 16359901, PubMed : 16714294, PubMed : 21772249, PubMed : 25355358, PubMed : 26151332, PubMed : 27827373). The complex composed of RNF2, UB2D3 and BMI1 binds nucleosomes, and has activity only with nucleosomal histone H2A (PubMed : 21772249, PubMed : 25355358). In the PRC1-like complex, regulates the E3 ubiquitin-protein ligase activity of RNF2/RING2 (PubMed : 15386022, PubMed : 21772249, PubMed : 26151332).
See full target information BMI1

Publications (3)

Recent publications for all applications. Explore the full list and refine your search

Animal nutrition (Zhongguo xu mu shou yi xue hui) 19:226-239 PubMed39635418

2024

Effects of dietary methionine on the growth and protein synthesis of juvenile Chinese mitten crabs () fed fish meal-free diets.

Applications

Unspecified application

Species

Unspecified reactive species

Jiadai Liu,Erchao Li,Xinyu Li,Xiaodan Wang,Qincheng Huang,Han Wang,Yixin Miao,Qingchao Shi,Jianguang Qin,Liqiao Chen

Frontiers in immunology 14:1168444 PubMed37153618

2023

Design and selection of optimal ErbB-targeting bispecific antibodies in pancreatic cancer.

Applications

Unspecified application

Species

Unspecified reactive species

Emilia Rabia,Véronique Garambois,Christine Dhommée,Christel Larbouret,Laurie Lajoie,Yoan Buscail,Gabriel Jimenez-Dominguez,Sylvie Choblet-Thery,Emmanuelle Liaudet-Coopman,Martine Cerutti,Marta Jarlier,Patrice Ravel,Laurent Gros,Nelly Pirot,Gilles Thibault,Eugene A Zhukovsky,Pierre-Emmanuel Gérard,André Pèlegrin,Jacques Colinge,Thierry Chardès

Frontiers in nutrition 10:1141964 PubMed37139440

2023

Alpha-tocopherol enhances spermatogonial stem cell proliferation and restores mouse spermatogenesis by up-regulating BMI1.

Applications

Unspecified application

Species

Unspecified reactive species

Mei Peng,Jintao Wu,Weifan Wang,Tianlong Liao,Simeng Xu,Di Xiao,Zuping He,Xiaoping Yang
View all publications
chicCutRunSequencingBooklet
en

Product promise

We are committed to supporting your work with high-quality reagents, and we're here for you every step of the way. In the unlikely event that one of our products does not perform as expected, you're protected by our Product Promise.
For full details, please see our Terms & Conditions

Please note: All products are 'FOR RESEARCH USE ONLY. NOT FOR USE IN DIAGNOSTIC OR THERAPEUTIC PROCEDURES'.

For licensing inquiries, please contact partnerships@abcam.com