JavaScript is disabled in your browser. Please enable JavaScript to view this website.
AB216444

Anti-Bmi1 antibody [EPR3745(2)] - BSA and Azide free

  • Recombinant
  • KO Validated
  • Advanced Validation
  • RabMAb
  • What is this?

Be the first to review this product! Submit a review

|

(5 Publications)

Rabbit Recombinant Monoclonal BMI1 antibody. Carrier free. Suitable for ChIC/CUT&RUN-seq, IHC-P, IP, WB, ICC/IF and reacts with Human, Rat samples. Cited in 5 publications.

View Alternative Names

PCGF4, RNF51, BMI1, Polycomb complex protein BMI-1, Polycomb group RING finger protein 4, RING finger protein 51

12 Images
Immunocytochemistry/ Immunofluorescence - Anti-Bmi1 antibody [EPR3745(2)] - BSA and Azide free (AB216444)
  • ICC/IF

Lab

Immunocytochemistry/ Immunofluorescence - Anti-Bmi1 antibody [EPR3745(2)] - BSA and Azide free (AB216444)

Immunocytochemistry/Immunofluorescence analysis of HeLa cells labelling Bmi1 with purified ab126783 at 1/500. Cells were fixed with 4% paraformaldehyde and permeabilized with 0.1% Triton X-100. ab150077, an Alexa Fluor® 488-conjugated goat anti-rabbit IgG (1/500) was used as the secondary antibody. DAPI (blue) was used as the nuclear counterstain. ab7291, a mouse anti-tubulin (1/1000) and ab150120, an Alexa Fluor® 594-conjugated goat anti-mouse IgG (1/500) were also used.

Control 1 : primary antibody (1/500) and secondary antibody, ab150120, an Alexa Fluor® 594-conjugated goat anti-mouse IgG (1/500).

Control 2 : ab7291 (1/1000) and secondary antibody, ab150077, an Alexa Fluor® 488-conjugated goat anti-rabbit IgG (1/500).

This data was developed using the same antibody clone in a different buffer formulation containing PBS, BSA, glycerol, and sodium azide (ab126783).

Immunohistochemistry (Formalin/PFA-fixed paraffin-embedded sections) - Anti-Bmi1 antibody [EPR3745(2)] - BSA and Azide free (AB216444)
  • IHC-P

Lab

Immunohistochemistry (Formalin/PFA-fixed paraffin-embedded sections) - Anti-Bmi1 antibody [EPR3745(2)] - BSA and Azide free (AB216444)

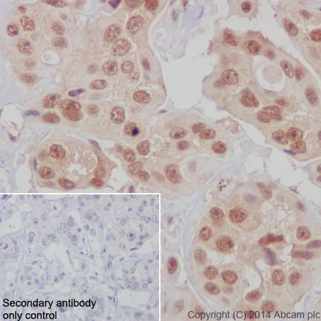
Immunohistochemistry (Formalin/PFA-fixed paraffin-embedded sections) analysis of human breast carcinoma tissue labelling Bmi1 with purified ab126783 at 1/500. Heat mediated antigen retrieval was performed using Tris/EDTA buffer pH 9. ab97051, a HRP-conjugated goat anti-rabbit IgG (H+L) was used as the secondary antibody (1/500). Negative control using PBS instead of primary antibody. Counterstained with hematoxylin.

This data was developed using the same antibody clone in a different buffer formulation containing PBS, BSA, glycerol, and sodium azide (ab126783).

Immunocytochemistry/ Immunofluorescence - Anti-Bmi1 antibody [EPR3745(2)] - BSA and Azide free (AB216444)
  • ICC/IF

Unknown

Immunocytochemistry/ Immunofluorescence - Anti-Bmi1 antibody [EPR3745(2)] - BSA and Azide free (AB216444)

Immunocytochemistry/Immunofluorescence analysis of SW480 cells labelling Bmi1 with unpurified ab126783 at a dilution of 1/100.

This data was developed using the same antibody clone in a different buffer formulation containing PBS, BSA, glycerol, and sodium azide (ab126783).

Immunohistochemistry (Formalin/PFA-fixed paraffin-embedded sections) - Anti-Bmi1 antibody [EPR3745(2)] - BSA and Azide free (AB216444)
  • IHC-P

Unknown

Immunohistochemistry (Formalin/PFA-fixed paraffin-embedded sections) - Anti-Bmi1 antibody [EPR3745(2)] - BSA and Azide free (AB216444)

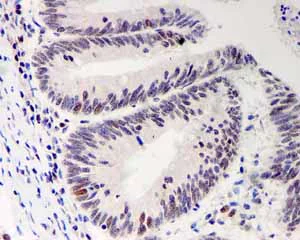
Immunohistochemistry (Formalin/PFA-fixed paraffin-embedded sections) analysis of human colonic adenocarcinoma tissue labelling Bmi1 with unpurifiied ab126783.

This data was developed using the same antibody clone in a different buffer formulation containing PBS, BSA, glycerol, and sodium azide (ab126783).

Perform heat mediated antigen retrieval before commencing with IHC staining protocol.

Immunohistochemistry (Formalin/PFA-fixed paraffin-embedded sections) - Anti-Bmi1 antibody [EPR3745(2)] - BSA and Azide free (AB216444)
  • IHC-P

Unknown

Immunohistochemistry (Formalin/PFA-fixed paraffin-embedded sections) - Anti-Bmi1 antibody [EPR3745(2)] - BSA and Azide free (AB216444)

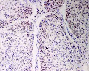
Immunohistochemistry (Formalin/PFA-fixed paraffin-embedded sections) analysis of human thyroid gland carcinoma tissue labelling Bmi1 with unpurifiied ab126783.

This data was developed using the same antibody clone in a different buffer formulation containing PBS, BSA, glycerol, and sodium azide (ab126783).

Perform heat mediated antigen retrieval before commencing with IHC staining protocol.

ChIC/CUT&RUN sequencing - Anti-Bmi1 antibody [EPR3745(2)] - BSA and Azide free (AB216444)
  • ChIC/CUT&RUN-seq

Supplier Data

ChIC/CUT&RUN sequencing - Anti-Bmi1 antibody [EPR3745(2)] - BSA and Azide free (AB216444)

ChIC/CUT&RUN was performed using a pAG-MNAse at a final concentration of 700 ng/mL, 2 x 10^5 NCCIT (Human pluripotent embryonic carcinoma cell line) cells and 5 µg of ab126783 [EPR3745(2)]. The resulting DNA was sequenced on the Illumina NovaSeq 6000 to a depth of 10 million reads. The negative IgG control ab172730 is also shown. Additional screenshots of mapped reads can be found in the Protocol booklet in the Product Protocol section. The University of Geneva owns patents relevant to ChIC (Chromatin Immuno-Cleavage) methods. This data was developed using the same antibody clone in a different buffer formulation (ab126783).

Immunohistochemistry (Formalin/PFA-fixed paraffin-embedded sections) - Anti-Bmi1 antibody [EPR3745(2)] - BSA and Azide free (AB216444)
  • IHC-P

Unknown

Immunohistochemistry (Formalin/PFA-fixed paraffin-embedded sections) - Anti-Bmi1 antibody [EPR3745(2)] - BSA and Azide free (AB216444)

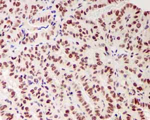
Immunohistochemistry (Formalin/PFA-fixed paraffin-embedded sections) analysis of human lung adenocarcinoma tissue labelling Bmi1 with unpurifiied ab126783.

This data was developed using the same antibody clone in a different buffer formulation containing PBS, BSA, glycerol, and sodium azide (ab126783).

Perform heat mediated antigen retrieval before commencing with IHC staining protocol.

Immunohistochemistry (Formalin/PFA-fixed paraffin-embedded sections) - Anti-Bmi1 antibody [EPR3745(2)] - BSA and Azide free (AB216444)
  • IHC-P

Unknown

Immunohistochemistry (Formalin/PFA-fixed paraffin-embedded sections) - Anti-Bmi1 antibody [EPR3745(2)] - BSA and Azide free (AB216444)

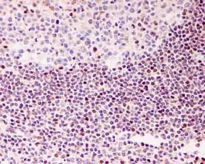
Immunohistochemistry (Formalin/PFA-fixed paraffin-embedded sections) analysis of human normal tonsil tissue labelling Bmi1 with unpurifiied ab126783.

This data was developed using the same antibody clone in a different buffer formulation containing PBS, BSA, glycerol, and sodium azide (ab126783).

Perform heat mediated antigen retrieval before commencing with IHC staining protocol.

Immunoprecipitation - Anti-Bmi1 antibody [EPR3745(2)] - BSA and Azide free (AB216444)
  • IP

Lab

Immunoprecipitation - Anti-Bmi1 antibody [EPR3745(2)] - BSA and Azide free (AB216444)

ab126783 (purified) at 1/500 immunoprecipitating Bmi1 in 10 μg K-562 (Human chronic myelogenous leukemia lymphoblast) whole cell lysate (Lanes 1 and 2, observed at 43 kDa). Lane 3 - Rabbit monoclonal IgG (ab172730) instead of ab126783 in K-562 whole cell lysate. For western blotting, VeriBlot for IP Detection Reagent (HRP) (ab131366), was used for detection at 1/1000 dilution.

Blocking/Dilution buffer and concentration : 5% NFDM/TBST.

This data was developed using the same antibody clone in a different buffer formulation containing PBS, BSA, glycerol, and sodium azide (ab126783).

All lanes:

Immunoprecipitation - Anti-Bmi1 antibody [EPR3745(2)] (<a href='/en-us/products/primary-antibodies/bmi1-antibody-epr37452-ab126783'>ab126783</a>)

Predicted band size: 36 kDa

false

Western blot - Anti-Bmi1 antibody [EPR3745(2)] - BSA and Azide free (AB216444)
  • WB

Lab

Western blot - Anti-Bmi1 antibody [EPR3745(2)] - BSA and Azide free (AB216444)

ab197620 was shown to recognize Bmi1 in wild-type HAP1 cells as signal was lost at the expected MW in COMMD3-BMI1 knockout cells. Additional cross-reactive bands were observed in the wild-type and knockout cells. Wild-type and COMMD3-BMI1 knockout samples were subjected to SDS-PAGE. ab197620 and ab130007 (Mouse anti-Vinculin loading control) were incubated overnight at 4°C at 1/1000 dilution and 1/20000 dilution respectively. The loading control was imaged using the Licor Odyssey CLx prior to blots being developed with ECL technique.

This data was developed using the same antibody clone in a different buffer formulation containing PBS, BSA, glycerol, and sodium azide (ab197620).

All lanes:

Anti-Bmi1 antibody [EPR3745(2)] (HRP) (<a href='/en-us/products/unavailable/bmi1-antibody-epr37452-hrp-ab197620'>ab197620</a>) at 1/1000 dilution

Lane 1:

Wild-type HAP1 whole cell lysate at 20 µg

Lane 2:

COMMD3-BMI1 knockout HAP1 whole cell lysate at 20 µg

Predicted band size: 36 kDa

false

Western blot - Anti-Bmi1 antibody [EPR3745(2)] - BSA and Azide free (AB216444)
  • WB

Lab

Western blot - Anti-Bmi1 antibody [EPR3745(2)] - BSA and Azide free (AB216444)

This data was developed using the same antibody clone in a different buffer formulation (ab126783).

Lanes 1- 3 : Merged signal (red and green). Green - ab126783 observed at 37 kDa. Red - Anti-alpha Tubulin antibody [DM1A] - Loading Control (ab7291) observed at 50 kDa.

ab126783 was shown to react with Bmi1 in wild-type MCF7 cells in western blot. Loss of signal was observed when knockout cell line ab262319 (knockout cell lysate ab256851) was used. Wild-type MCF7 and BMI1 knockout MCF7 cell lysates were subjected to SDS-PAGE. Membrane was blocked for 1 hour at room temperature in 0.1% TBST with 3% non-fat dried milk. ab126783 and Anti-alpha Tubulin antibody [DM1A] - Loading Control (ab7291) overnight at 4°C at a 1 in 10000 dilution and a 1 in 20000 dilution respectively. Blots were developed with Goat anti-Rabbit IgG H&L (IRDye®800CW) preadsorbed (ab216773) and Goat anti-Mouse IgG H&L (IRDye®680RD) preadsorbed (ab216776) secondary antibodies at 1 in 20000 dilution for 1 hour at room temperature before imaging.

All lanes:

Western blot - Anti-Bmi1 antibody [EPR3745(2)] (<a href='/en-us/products/primary-antibodies/bmi1-antibody-epr37452-ab126783'>ab126783</a>) at 1/10000 dilution

Lane 1:

Wild-type MCF7 cell lysate at 20 µg

Lane 2:

BMI1 knockout MCF7 cell lysate at 20 µg

Lane 2:

Western blot - Human BMI1 knockout MCF7 cell line (<a href='/en-us/products/cell-lines/human-bmi1-knockout-mcf7-cell-line-ab262319'>ab262319</a>)

Lane 3:

A431 cell lysate at 20 µg

Predicted band size: 171 kDa,36 kDa,43 kDa,67 kDa

Observed band size: 175 kDa,37 kDa,67 kDa

false

Western blot - Anti-Bmi1 antibody [EPR3745(2)] - BSA and Azide free (AB216444)
  • WB

Lab

Western blot - Anti-Bmi1 antibody [EPR3745(2)] - BSA and Azide free (AB216444)

This data was developed using the same antibody clone in a different buffer formulation (ab126783).

Lanes 1-3 : Merged signal (red and green). Green - ab126783 observed at 37 kDa. Red - loading control ab7291 observed at 50 kDa.

ab126783 Anti-Bmi1 antibody [EPR3745(2)] was shown to specifically react with Bmi1 in wild-type HEK293T cells. Loss of signal was observed when knockout cell line ab266514 (knockout cell lysate ab256850) was used. Wild-type and Bmi1 knockout samples were subjected to SDS-PAGE. ab126783 and Anti-alpha Tubulin antibody [DM1A] - Loading Control (ab7291) were incubated at room temperature for 2. 5 hours at 1 in 1000 dilution and 1 in 20000 dilution respectively. Blots were developed with Goat anti-Rabbit IgG H&L (IRDye® 800CW) preadsorbed (ab216773) and Goat anti-Mouse IgG H&L (IRDye® 680RD) preadsorbed (ab216776) secondary antibodies at 1 in 20000 dilution for 1 hour at room temperature before imaging.

All lanes:

Western blot - Anti-Bmi1 antibody [EPR3745(2)] (<a href='/en-us/products/primary-antibodies/bmi1-antibody-epr37452-ab126783'>ab126783</a>) at 1/1000 dilution

Lane 1:

Wild-type HEK293T cell lysate at 20 µg

Lane 2:

BMI1 knockout HEK293T cell lysate at 20 µg

Lane 2:

Western blot - Human BMI1 knockout HEK-293T cell line (<a href='/en-us/products/cell-lines/human-bmi1-knockout-hek-293t-cell-line-ab266514'>ab266514</a>)

Lane 3:

MOLT-4 cell lysate at 20 µg

Secondary

All lanes:

Western blot - Goat anti-Rabbit IgG H&L (IRDye® 800CW) preadsorbed (<a href='/en-us/products/secondary-antibodies/goat-rabbit-igg-h-l-irdye-800cw-preadsorbed-ab216773'>ab216773</a>) at 1/10000 dilution

Predicted band size: 36 kDa

Observed band size: 37 kDa

false

Key facts

Host species

Rabbit

Clonality

Monoclonal

Clone number

EPR3745(2)

Isotype

IgG

Carrier free

Yes

Reacts with

Rat, Human

Applications

IP, WB, ChIC/CUT&RUN-seq, IHC-P, ICC/IF

applications

Immunogen

The exact immunogen used to generate this antibody is proprietary information.

Reactivity data

{ "title": "Reactivity Data", "filters": { "stats": ["", "Species", "Dilution Info", "Notes"], "tabs": { "all-applications": {"fullname" : "All Applications", "shortname": "All Applications"}, "ChICCUTRUNseq" : {"fullname" : "ChIC/CUT&RUN sequencing", "shortname":"ChIC/CUT&RUN-seq"}, "IHCP" : {"fullname" : "Immunohistochemistry (Formalin/PFA-fixed paraffin-embedded sections)", "shortname":"IHC-P"}, "IP" : {"fullname" : "Immunoprecipitation", "shortname":"IP"}, "WB" : {"fullname" : "Western blot", "shortname":"WB"}, "ICCIF" : {"fullname" : "Immunocytochemistry/ Immunofluorescence", "shortname":"ICC/IF"} }, "product-promise": { "all": "all", "testedAndGuaranteed": "tested", "guaranteed": "expected", "predicted": "predicted", "notRecommended": "not-recommended" } }, "values": { "Human": { "ChICCUTRUNseq-species-checked": "testedAndGuaranteed", "ChICCUTRUNseq-species-dilution-info": "", "ChICCUTRUNseq-species-notes": "<p></p>", "IHCP-species-checked": "testedAndGuaranteed", "IHCP-species-dilution-info": "", "IHCP-species-notes": "<p></p>", "IP-species-checked": "testedAndGuaranteed", "IP-species-dilution-info": "", "IP-species-notes": "<p></p>", "WB-species-checked": "testedAndGuaranteed", "WB-species-dilution-info": "", "WB-species-notes": "<p></p>", "ICCIF-species-checked": "testedAndGuaranteed", "ICCIF-species-dilution-info": "", "ICCIF-species-notes": "<p></p>" }, "Rat": { "ChICCUTRUNseq-species-checked": "guaranteed", "ChICCUTRUNseq-species-dilution-info": "", "ChICCUTRUNseq-species-notes": "", "IHCP-species-checked": "guaranteed", "IHCP-species-dilution-info": "", "IHCP-species-notes": "", "IP-species-checked": "guaranteed", "IP-species-dilution-info": "", "IP-species-notes": "", "WB-species-checked": "testedAndGuaranteed", "WB-species-dilution-info": "", "WB-species-notes": "<p></p>", "ICCIF-species-checked": "guaranteed", "ICCIF-species-dilution-info": "", "ICCIF-species-notes": "" } } }

Product details

ab216444 is the carrier-free version of ab126783.

Mouse: Internal data indicated that the antibody is not suitable for WB application in mouse species.

Patented technology
Our RabMAb® technology is a patented hybridoma-based technology for making rabbit monoclonal antibodies. For details on our patents, please refer to RabMAb® patents.

What are the advantages of a recombinant monoclonal antibody?
This product is a recombinant monoclonal antibody, which offers several advantages including:

  • - High batch-to-batch consistency and reproducibility
  • - Improved sensitivity and specificity
  • - Long-term security of supply
  • - Animal-free batch production

For more information, read more on recombinant antibodies.

Conjugation ready
Our carrier-free antibodies are typically supplied in a PBS-only formulation, purified and free of BSA, sodium azide and glycerol. This conjugation-ready format is designed for use with fluorochromes, metal isotopes, oligonucleotides, and enzymes, which makes them ideal for antibody labelling, functional and cell-based assays, flow-based assays (e.g. mass cytometry) and Multiplex Imaging applications.

Use our conjugation kits for antibody conjugates that are ready-to-use in as little as 20 minutes with 1 minute hands-on-time and 100% antibody recovery: available for fluorescent dyes, HRP, biotin and gold.

Compatibility
This product is compatible with the Maxpar® Antibody Labeling Kit from Fluidigm, without the need for antibody preparation. Maxpar® is a trademark of Fluidigm Canada Inc.

Properties and storage information

Form
Liquid
Purification technique
Affinity purification Protein A
Storage buffer
pH: 7.2 - 7.4 Constituents: PBS
Shipped at conditions
Blue Ice
Appropriate short-term storage conditions
+4°C
Appropriate long-term storage conditions
+4°C
Storage information
Do Not Freeze

Supplementary information

This supplementary information is collated from multiple sources and compiled automatically.

Bmi1 also known as B-cell-specific Moloney murine leukemia virus integration site 1 is a member of the Polycomb group of proteins. It has an approximate molecular mass of 37 kDa. Bmi1 is expressed in many tissues including the brain bone marrow and hematopoietic cells. It functions as a transcriptional repressor. Bmi1 plays an important role in chromatin remodeling influencing gene silencing and regulation of developmental processes. Bmi1 ELISA assays are commonly used for quantifying its levels in various research applications.
Biological function summary

The functions of Bmi1 extend into maintaining stem cell renewal and differentiation. It acts as part of the Polycomb repressive complex 1 (PRC1) partnering with other proteins to regulate gene expression by altering chromatin structure. Bmi1 protein regulates cell proliferation and inhibits senescence by repressing the INK4a/ARF locus which encodes tumor suppressor proteins like p16INK4a and p14ARF.

Pathways

Bmi1 plays significant roles in processes such as the DNA damage response and the self-renewal of hematopoietic stem cells. It is involved in the modulation of the Wnt and Notch signaling pathways. Bmi1 protein interacts closely with proteins such as CBX2 and RNF2 within these pathways affecting the transcriptional landscape that governs cell fate decisions.

Bmi1 overexpression links to cancer particularly breast cancer and leukemia. In MCF7 breast cancer cells alterations in Bmi1 activity contribute to oncogenesis and tumor progression. Its dysregulation can connect to Myc a well-known oncogenic protein. Additionally Bmi1's influence in Cas9-based gene editing models highlights its potential in cancer therapy research. Bmi1 has also been implicated in neurodegenerative disorders with connections to proteins like p21CIP1 affecting neuronal survival and aging.

Product protocols

For this product, it's our understanding that no specific protocols are required. You can visit:

Target data

Component of a Polycomb group (PcG) multiprotein PRC1-like complex, a complex class required to maintain the transcriptionally repressive state of many genes, including Hox genes, throughout development. PcG PRC1 complex acts via chromatin remodeling and modification of histones; it mediates monoubiquitination of histone H2A 'Lys-119', rendering chromatin heritably changed in its expressibility (PubMed : 15386022, PubMed : 16359901, PubMed : 16714294, PubMed : 21772249, PubMed : 25355358, PubMed : 26151332, PubMed : 27827373). The complex composed of RNF2, UB2D3 and BMI1 binds nucleosomes, and has activity only with nucleosomal histone H2A (PubMed : 21772249, PubMed : 25355358). In the PRC1-like complex, regulates the E3 ubiquitin-protein ligase activity of RNF2/RING2 (PubMed : 15386022, PubMed : 21772249, PubMed : 26151332).
See full target information BMI1

Publications (5)

Recent publications for all applications. Explore the full list and refine your search

Cell biology international 39:283-90 PubMed25262972

2014

Bmi-1 regulates the migration and invasion of glioma cells through p16.

Applications

Unspecified application

Species

Unspecified reactive species

Jun Liang,Peng Wang,Shao Xie,Weifeng Wang,Xiuping Zhou,Jinxia Hu,Qiong Shi,Xianli Zhang,Rutong Yu

Clinical cancer research : an official journal of the American Association for Cancer Research 20:100-9 PubMed24150235

2013

Genes upregulated in prostate cancer reactive stroma promote prostate cancer progression in vivo.

Applications

Unspecified application

Species

Unspecified reactive species

Olga Dakhova,David Rowley,Michael Ittmann

Cell death & disease 4:e857 PubMed24136221

2013

Single-cell clones of liver cancer stem cells have the potential of differentiating into different types of tumor cells.

Applications

Flow Cyt

Species

Human

H Liu,W Zhang,Y Jia,Q Yu,G E Grau,L Peng,Y Ran,Z Yang,H Deng,J Lou

BMC cancer 13:380 PubMed23937621

2013

Nrf2 is required to maintain the self-renewal of glioma stem cells.

Applications

ICC/IF

Species

Unspecified reactive species

Jianhong Zhu,Handong Wang,Qing Sun,Xiangjun Ji,Lin Zhu,Zixiang Cong,Yuan Zhou,Huandong Liu,Mengliang Zhou

PloS one 8:e65750 PubMed23776540

2013

Identification of cancer stem-like side population cells in purified primary cultured human laryngeal squamous cell carcinoma epithelia.

Applications

WB

Species

Human

Chun-Ping Wu,Liang Zhou,Ming Xie,Huai-Dong Du,Jie Tian,Shan Sun,Jin-Yan Li
View all publications
chicCutRunSequencingBooklet
en

Product promise

We are committed to supporting your work with high-quality reagents, and we're here for you every step of the way. In the unlikely event that one of our products does not perform as expected, you're protected by our Product Promise.
For full details, please see our Terms & Conditions

Please note: All products are 'FOR RESEARCH USE ONLY. NOT FOR USE IN DIAGNOSTIC OR THERAPEUTIC PROCEDURES'.

For licensing inquiries, please contact partnerships@abcam.com