JavaScript is disabled in your browser. Please enable JavaScript to view this website.
AB231261

Anti-BMP15 antibody

Be the first to review this product! Submit a review

|

(1 Publication)

Rabbit Polyclonal BMP15 antibody. Suitable for WB, IHC-P and reacts with Mouse samples. Cited in 1 publication. Immunogen corresponding to Recombinant Fragment Protein within Mouse Bmp15 aa 250 to C-terminus.

View Alternative Names

Gdf9b, Bmp15, Bone morphogenetic protein 15, BMP-15, Growth/differentiation factor 9B, GDF-9B

6 Images
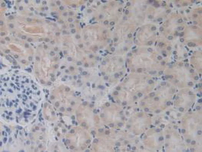
Immunohistochemistry (Formalin/PFA-fixed paraffin-embedded sections) - Anti-BMP15 antibody (AB231261)
  • IHC-P

Supplier Data

Immunohistochemistry (Formalin/PFA-fixed paraffin-embedded sections) - Anti-BMP15 antibody (AB231261)

Formalin-fixed, paraffin-embedded mouse kidney tissue stained for BMP15 using ab231261 at 20 μg/mL in immunohistochemical analysis. DAB-staining.

Immunohistochemistry (Formalin/PFA-fixed paraffin-embedded sections) - Anti-BMP15 antibody (AB231261)
  • IHC-P

Supplier Data

Immunohistochemistry (Formalin/PFA-fixed paraffin-embedded sections) - Anti-BMP15 antibody (AB231261)

Formalin-fixed, paraffin-embedded mouse brain tissue stained for BMP15 using ab231261 at 20 μg/mL in immunohistochemical analysis. DAB-staining.

Immunohistochemistry (Formalin/PFA-fixed paraffin-embedded sections) - Anti-BMP15 antibody (AB231261)
  • IHC-P

Supplier Data

Immunohistochemistry (Formalin/PFA-fixed paraffin-embedded sections) - Anti-BMP15 antibody (AB231261)

Formalin-fixed, paraffin-embedded mouse testis tissue stained for BMP15 using ab231261 at 20 μg/mL in immunohistochemical analysis. DAB-staining.

Immunohistochemistry (Formalin/PFA-fixed paraffin-embedded sections) - Anti-BMP15 antibody (AB231261)
  • IHC-P

Supplier Data

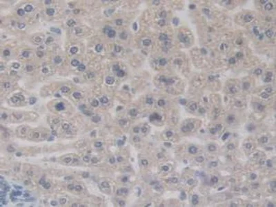
Immunohistochemistry (Formalin/PFA-fixed paraffin-embedded sections) - Anti-BMP15 antibody (AB231261)

Formalin-fixed, paraffin-embedded mouse liver tissue stained for BMP15 using ab231261 at 20 μg/mL in immunohistochemical analysis. DAB-staining.

Western blot - Anti-BMP15 antibody (AB231261)
  • WB

Supplier Data

Western blot - Anti-BMP15 antibody (AB231261)

All lanes:

Western blot - Anti-BMP15 antibody (ab231261) at 2 µg/mL

All lanes:

Recombinant mouse BMP15 protein

Predicted band size: 45 kDa

false

Western blot - Anti-BMP15 antibody (AB231261)
  • WB

Supplier Data

Western blot - Anti-BMP15 antibody (AB231261)

All lanes:

Western blot - Anti-BMP15 antibody (ab231261) at 1 µg/mL

All lanes:

Mouse testis tissue lysate

Secondary

All lanes:

HRP-Linked Guinea pig Anti-Rabbit at 1/2000 dilution

Predicted band size: 26 kDa,45 kDa,62 kDa,93 kDa

true

Key facts

Host species

Rabbit

Clonality

Polyclonal

Isotype

IgG

Carrier free

No

Reacts with

Mouse

Applications

IHC-P, WB

applications

Immunogen

Recombinant Fragment Protein within Mouse Bmp15 aa 250 to C-terminus. The exact immunogen used to generate this antibody is proprietary information.

Q9Z0L4

Reactivity data

{ "title": "Reactivity Data", "filters": { "stats": ["", "Species", "Dilution Info", "Notes"], "tabs": { "all-applications": {"fullname" : "All Applications", "shortname": "All Applications"}, "WB" : {"fullname" : "Western blot", "shortname":"WB"}, "IHCP" : {"fullname" : "Immunohistochemistry (Formalin/PFA-fixed paraffin-embedded sections)", "shortname":"IHC-P"} }, "product-promise": { "all": "all", "testedAndGuaranteed": "tested", "guaranteed": "expected", "predicted": "predicted", "notRecommended": "not-recommended" } }, "values": { "Mouse": { "WB-species-checked": "testedAndGuaranteed", "WB-species-dilution-info": "0.5-2 µg/mL", "WB-species-notes": "<p></p>", "IHCP-species-checked": "testedAndGuaranteed", "IHCP-species-dilution-info": "5-20 µg/mL", "IHCP-species-notes": "<p></p>" } } }

Properties and storage information

Form
Liquid
Purification technique
Affinity purification Protein A
Purification notes
Antigen-specific affinity chromatography followed by Protein A affinity chromatography.
Storage buffer
pH: 7.4 Preservative: 0.011% Proclin 300 Constituents: PBS, 55.77% Glycerol (glycerin, glycerine)
Shipped at conditions
Blue Ice
Appropriate short-term storage duration
1-2 weeks
Appropriate short-term storage conditions
+4°C
Appropriate long-term storage conditions
-20°C
Aliquoting information
Upon delivery aliquot
Storage information
Avoid freeze / thaw cycle

Product protocols

For this product, it's our understanding that no specific protocols are required. You can visit:

Target data

May be involved in follicular development. Oocyte-specific growth/differentiation factor that stimulates folliculogenesis and granulosa cell (GC) growth (By similarity).
See full target information Bmp15

Publications (1)

Recent publications for all applications. Explore the full list and refine your search

Biomolecules 13: PubMed37238701

2023

Lipoxin A4 (LXA4) Reduces Alkali-Induced Corneal Inflammation and Neovascularization and Upregulates a Repair Transcriptome.

Applications

Unspecified application

Species

Unspecified reactive species

Jiucheng He,Thang L Pham,Azucena H Kakazu,Abhilash Ponnath,Khanh V Do,Haydee E P Bazan
View all publications

Product promise

We are committed to supporting your work with high-quality reagents, and we're here for you every step of the way. In the unlikely event that one of our products does not perform as expected, you're protected by our Product Promise.
For full details, please see our Terms & Conditions

Please note: All products are 'FOR RESEARCH USE ONLY. NOT FOR USE IN DIAGNOSTIC OR THERAPEUTIC PROCEDURES'.

For licensing inquiries, please contact partnerships@abcam.com