JavaScript is disabled in your browser. Please enable JavaScript to view this website.
AB284395

Anti-BMP2 antibody [EPR24209-61] - BSA and Azide free

Be the first to review this product! Submit a review

|

(1 Publication)

Rabbit Recombinant Monoclonal BMP2 antibody. Carrier free. Suitable for IP, WB, ICC/IF, Flow Cyt (Intra) and reacts with Human, Mouse, Rat samples. Cited in 1 publication.

View Alternative Names

BMP2A, BMP2, Bone morphogenetic protein 2, BMP-2, Bone morphogenetic protein 2A, BMP-2A

6 Images
Flow Cytometry (Intracellular) - Anti-BMP2 antibody [EPR24209-61] - BSA and Azide free (AB284395)
  • Flow Cyt (Intra)

Lab

Flow Cytometry (Intracellular) - Anti-BMP2 antibody [EPR24209-61] - BSA and Azide free (AB284395)

This data was developed using ab284387, the same antibody clone in a different buffer formulation.

Flow cytometric analysis of 4% paraformaldehyde fixed 90% methanol permeabilized Caco-2 (human colorectal adenocarcinoma epithelial cell) cells labelling BMP2 with ab284387 at 1/500 dilution (0.1ug)/ (Red) compared with a Rabbit monoclonal IgG (ab172730) (Black) isotype control and an unlabelled control (cells without incubation with primary antibody and secondary antibody) (Blue). A Goat Anti-Rabbit IgG (Alexa Fluor® 488, ab150081) at 1/2000 dilution was used as the secondary antibody.

Immunocytochemistry/ Immunofluorescence - Anti-BMP2 antibody [EPR24209-61] - BSA and Azide free (AB284395)
  • ICC/IF

Lab

Immunocytochemistry/ Immunofluorescence - Anti-BMP2 antibody [EPR24209-61] - BSA and Azide free (AB284395)

This data was developed using ab284387, the same antibody clone in a different buffer formulation.Immunofluorescent analysis of 4% Paraformaldehyde-fixed, 0.1% TritonX-100 permeabilized Caco-2 cells labelling BMP2 with ab284387 at 1/100 dilution, followed by ab150081 Goat Anti-Rabbit IgG H&L (Alexa Fluor® 488) preadsorbed antibody at 1/1000 dilution (Green). Confocal image showing cytoplasmic staining in Caco-2 cells is observed. ab195889 Anti-alpha Tubulin mouse monoclonal antibody - Microtubule Marker (Alexa Fluor® 594) was used to counterstain tubulin at 1/200 dilution (Red). The Nuclear counterstain was DAPI (Blue).

Secondary antibody only control : Secondary antibody is ab150081 Goat Anti-Rabbit IgG H&L (Alexa Fluor® 488) preadsorbed at 1/1000 dilution.

Immunoprecipitation - Anti-BMP2 antibody [EPR24209-61] - BSA and Azide free (AB284395)
  • IP

Lab

Immunoprecipitation - Anti-BMP2 antibody [EPR24209-61] - BSA and Azide free (AB284395)

This data was developed using ab284387, the same antibody clone in a different buffer formulation.

BMP2 was immunoprecipitated from 0.35 mg Saos-2 (human osteosarcoma epithelial) whole cell lysate 10 ug with ab284387 at 1/30 dilution (2ug in 0.35mg lysates). Western blot was performed on the immunoprecipitate using ab284387 at 1/1000 dilution. VeriBlot for IP secondary antibody (HRP) (ab131366) was used at 1/5000 dilution.

Lane 1 : Saos-2 (human osteosarcoma epithelial) whole cell lysate 10 ug

Lane 2 : ab284387 IP in Saos-2 whole cell lysate

Lane 3 : Rabbit monoclonal IgG (ab172730) instead of ab284387 in Saos-2 whole cell lysate

Blocking and dilution buffer and concentration : 5% NFDM/TBST.

Exposure time : 24 seconds.

All lanes:

Immunoprecipitation - Anti-BMP2 antibody [EPR24209-61] (<a href='/en-us/products/primary-antibodies/bmp2-antibody-epr24209-61-ab284387'>ab284387</a>)

Predicted band size: 44 kDa

false

Flow Cytometry (Intracellular) - Anti-BMP2 antibody [EPR24209-61] - BSA and Azide free (AB284395)
  • Flow Cyt (Intra)

Lab

Flow Cytometry (Intracellular) - Anti-BMP2 antibody [EPR24209-61] - BSA and Azide free (AB284395)

This data was developed using ab284387, the same antibody clone in a different buffer formulation.

Flow cytometric analysis of 4% paraformaldehyde fixed 90% methanol permeabilized RAW264.7 (mouse Abelson murine leukemia virus-induced tumor macrophage) cells labelling BMP2 with ab284387 at 1/500 dilution (0.1ug) (Red) compared with a Rabbit monoclonal IgG (ab172730) (Black) isotype control and an unlabelled control (cells without incubation with primary antibody and secondary antibody) (Blue). A Goat Anti-Rabbit IgG (Alexa Fluor® 488, ab150081) at 1/2000 dilution was used as the secondary antibody.

Immunocytochemistry/ Immunofluorescence - Anti-BMP2 antibody [EPR24209-61] - BSA and Azide free (AB284395)
  • ICC/IF

Lab

Immunocytochemistry/ Immunofluorescence - Anti-BMP2 antibody [EPR24209-61] - BSA and Azide free (AB284395)

This data was developed using ab284387, the same antibody clone in a different buffer formulation.Immunofluorescent analysis of 4% Paraformaldehyde-fixed, 0.1% TritonX-100 permeabilized RAW 264.7 cells labelling BMP2 with ab284387 at 1/100 dilution, followed by ab150081 Goat Anti-Rabbit IgG H&L (Alexa Fluor® 488) preadsorbed antibody at 1/1000 dilution (Green). Confocal image showing cytoplasmic staining in RAW 264.7 cells is observed. ab195889 Anti-alpha Tubulin mouse monoclonal antibody - Microtubule Marker (Alexa Fluor® 594) was used to counterstain tubulin at 1/200 dilution (Red). The Nuclear counterstain was DAPI (Blue).

Secondary antibody only control : Secondary antibody is ab150081 Goat Anti-Rabbit IgG H&L (Alexa Fluor® 488) preadsorbed at 1/1000 dilution.

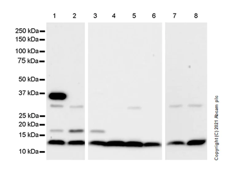
Western blot - Anti-BMP2 antibody [EPR24209-61] - BSA and Azide free (AB284395)
  • WB

Lab

Western blot - Anti-BMP2 antibody [EPR24209-61] - BSA and Azide free (AB284395)

This data was developed using ab284387, the same antibody clone in a different buffer formulation.

Blocking and diluting buffer and concentration : 5% NFDM/TBST

The molecular weight observed is consistent with literature.

Bands observed at 14KD are monomers (PMID : 12819188, PMID : 3200834).

Bands observed at 18KD are glycosylated monomers (PMID : 12819188, PMID : 8117284, PMID : 16261447, PMID : 3200834).

Bands observed at ~30KD are dimers or glycosylated dimers) (PMID : 22508088, PMID : 16261447, PMID : 3200834).

Bands observed at ~38kD is another isoform (PMID : 20230640)

Exposure time : Lanes 1-2 : 37 seconds; Lanes 3-6 : 8 seconds; Lanes 7-8 : 37 seconds

All lanes:

Western blot - Anti-BMP2 antibody [EPR24209-61] (<a href='/en-us/products/primary-antibodies/bmp2-antibody-epr24209-61-ab284387'>ab284387</a>) at 1/1000 dilution

Lane 1:

Caco-2 (human colorectal adenocarcinoma epithelial cell) whole cell lysate at 20 µg

Lane 2:

Saos-2 (human osteosarcoma epithelial) whole cell lysate at 20 µg

Lane 3:

LNCaP (human prostate carcinoma epithelial cell) whole cell lysate at 20 µg

Lane 4:

C2C12 (mouse myoblasts myoblast) whole cell lysate at 20 µg

Lane 5:

RAW 264.7 (mouse abelson murine leukemia virus-induced tumor macrophage) whole cell lysate at 20 µg

Lane 6:

C6 (rat glial tumor glial cell) whole cell lysate at 20 µg

Lane 7:

Mouse lung tissue lysate at 20 µg

Lane 8:

Rat spleen tissue lysate at 20 µg

Secondary

All lanes:

Goat Anti-Rabbit IgG, (H+L), Peroxidase conjugated (<a href='/en-us/products/secondary-antibodies/goat-rabbit-igg-h-l-hrp-ab97051'>ab97051</a>) at 1/50000 dilution

Predicted band size: 44 kDa

false

Key facts

Host species

Rabbit

Clonality

Monoclonal

Clone number

EPR24209-61

Isotype

IgG

Carrier free

Yes

Reacts with

Mouse, Human, Rat

Applications

IP, WB, Flow Cyt (Intra), ICC/IF

applications

Immunogen

The exact immunogen used to generate this antibody is proprietary information.

Reactivity data

{ "title": "Reactivity Data", "filters": { "stats": ["", "Species", "Dilution Info", "Notes"], "tabs": { "all-applications": {"fullname" : "All Applications", "shortname": "All Applications"}, "IP" : {"fullname" : "Immunoprecipitation", "shortname":"IP"}, "WB" : {"fullname" : "Western blot", "shortname":"WB"}, "ICCIF" : {"fullname" : "Immunocytochemistry/ Immunofluorescence", "shortname":"ICC/IF"}, "FlowCytIntra" : {"fullname" : "Flow Cytometry (Intracellular)", "shortname":"Flow Cyt (Intra)"}, "IHCP" : {"fullname" : "Immunohistochemistry (Formalin/PFA-fixed paraffin-embedded sections)", "shortname":"IHC-P"} }, "product-promise": { "all": "all", "testedAndGuaranteed": "tested", "guaranteed": "expected", "predicted": "predicted", "notRecommended": "not-recommended" } }, "values": { "Human": { "IP-species-checked": "testedAndGuaranteed", "IP-species-dilution-info": "", "IP-species-notes": "<p></p>", "WB-species-checked": "testedAndGuaranteed", "WB-species-dilution-info": "", "WB-species-notes": "<p></p>", "ICCIF-species-checked": "guaranteed", "ICCIF-species-dilution-info": "", "ICCIF-species-notes": "<p></p>", "FlowCytIntra-species-checked": "testedAndGuaranteed", "FlowCytIntra-species-dilution-info": "", "FlowCytIntra-species-notes": "<p></p>", "IHCP-species-checked": "notRecommended", "IHCP-species-dilution-info": "", "IHCP-species-notes": "<p></p>" }, "Mouse": { "IP-species-checked": "guaranteed", "IP-species-dilution-info": "", "IP-species-notes": "", "WB-species-checked": "testedAndGuaranteed", "WB-species-dilution-info": "", "WB-species-notes": "<p></p>", "ICCIF-species-checked": "guaranteed", "ICCIF-species-dilution-info": "", "ICCIF-species-notes": "<p></p>", "FlowCytIntra-species-checked": "testedAndGuaranteed", "FlowCytIntra-species-dilution-info": "", "FlowCytIntra-species-notes": "<p></p>", "IHCP-species-checked": "notRecommended", "IHCP-species-dilution-info": "", "IHCP-species-notes": "<p></p>" }, "Rat": { "IP-species-checked": "guaranteed", "IP-species-dilution-info": "", "IP-species-notes": "", "WB-species-checked": "testedAndGuaranteed", "WB-species-dilution-info": "", "WB-species-notes": "<p></p>", "ICCIF-species-checked": "guaranteed", "ICCIF-species-dilution-info": "", "ICCIF-species-notes": "<p></p>", "FlowCytIntra-species-checked": "guaranteed", "FlowCytIntra-species-dilution-info": "", "FlowCytIntra-species-notes": "", "IHCP-species-checked": "notRecommended", "IHCP-species-dilution-info": "", "IHCP-species-notes": "<p></p>" } } }

Product details

Patented technology
Our RabMAb® technology is a patented hybridoma-based technology for making rabbit monoclonal antibodies. For details on our patents, please refer to RabMAb® patents.

What are the advantages of a recombinant monoclonal antibody?
This product is a recombinant monoclonal antibody, which offers several advantages including:

  • - High batch-to-batch consistency and reproducibility
  • - Improved sensitivity and specificity
  • - Long-term security of supply
  • - Animal-free batch production

For more information, read more on recombinant antibodies.

Conjugation ready
Our carrier-free antibodies are typically supplied in a PBS-only formulation, purified and free of BSA, sodium azide and glycerol. This conjugation-ready format is designed for use with fluorochromes, metal isotopes, oligonucleotides, and enzymes, which makes them ideal for antibody labelling, functional and cell-based assays, flow-based assays (e.g. mass cytometry) and Multiplex Imaging applications.

Use our conjugation kits for antibody conjugates that are ready-to-use in as little as 20 minutes with 1 minute hands-on-time and 100% antibody recovery: available for fluorescent dyes, HRP, biotin and gold.

Properties and storage information

Form
Liquid
Purification technique
Affinity purification Protein A
Storage buffer
Constituents: PBS
Shipped at conditions
Blue Ice
Appropriate short-term storage conditions
+4°C
Appropriate long-term storage conditions
+4°C
Storage information
Do Not Freeze

Product protocols

For this product, it's our understanding that no specific protocols are required. You can visit:

Target data

Growth factor of the TGF-beta superfamily that plays essential roles in many developmental processes, including cardiogenesis, neurogenesis, and osteogenesis (PubMed : 18436533, PubMed : 24362451, PubMed : 31019025). Induces cartilage and bone formation (PubMed : 3201241). Initiates the canonical BMP signaling cascade by associating with type I receptor BMPR1A and type II receptor BMPR2 (PubMed : 15064755, PubMed : 17295905, PubMed : 18436533). Once all three components are bound together in a complex at the cell surface, BMPR2 phosphorylates and activates BMPR1A (PubMed : 7791754). In turn, BMPR1A propagates signal by phosphorylating SMAD1/5/8 that travel to the nucleus and act as activators and repressors of transcription of target genes. Also acts to promote expression of HAMP, via the interaction with its receptor BMPR1A/ALK3 (PubMed : 31800957). Can also signal through non-canonical pathways such as ERK/MAP kinase signaling cascade that regulates osteoblast differentiation (PubMed : 16771708, PubMed : 20851880). Also stimulates the differentiation of myoblasts into osteoblasts via the EIF2AK3-EIF2A-ATF4 pathway by stimulating EIF2A phosphorylation which leads to increased expression of ATF4 which plays a central role in osteoblast differentiation (PubMed : 24362451). Acts as a positive regulator of odontoblast differentiation during mesenchymal tooth germ formation, expression is repressed during the bell stage by MSX1-mediated inhibition of CTNNB1 signaling (By similarity).
See full target information BMP2

Publications (1)

Recent publications for all applications. Explore the full list and refine your search

Science advances 9:eadg0478 PubMed37267365

2023

Activation of Piezo1 promotes osteogenic differentiation of aortic valve interstitial cell through YAP-dependent glutaminolysis.

Applications

Unspecified application

Species

Unspecified reactive species

Guoheng Zhong,Shuwen Su,Juncong Li,Hengli Zhao,Dongtu Hu,Jun Chen,Shichao Li,Yingwen Lin,Liming Wen,Xiangjie Lin,Gaopeng Xian,Dingli Xu,Qingchun Zeng
View all publications

Product promise

We are committed to supporting your work with high-quality reagents, and we're here for you every step of the way. In the unlikely event that one of our products does not perform as expected, you're protected by our Product Promise.
For full details, please see our Terms & Conditions

Please note: All products are 'FOR RESEARCH USE ONLY. NOT FOR USE IN DIAGNOSTIC OR THERAPEUTIC PROCEDURES'.

For licensing inquiries, please contact partnerships@abcam.com