JavaScript is disabled in your browser. Please enable JavaScript to view this website.
AB39973

Anti-BMP4 antibody

4

(14 Reviews)

|

(98 Publications)

Anti-BMP4 antibody (ab39973) is a rabbit polyclonal antibody detecting BMP4 in Western Blot, ICC/IF. Suitable for Human, Mouse, Rat.

- Over 90 publications
- Trusted since 2008

View Alternative Names

BMP2B, DVR4, BMP4, Bone morphogenetic protein 4, BMP-4, Bone morphogenetic protein 2B, BMP-2B

4 Images
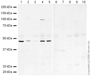
Western blot - Anti-BMP4 antibody (AB39973)
  • WB

Ap

Western blot - Anti-BMP4 antibody (AB39973)

ab39973 detects a 47kDa band that we believe corresponds to the pre-cleaved form of BMP4 with the immunizing peptide raised against a region located in the propeptide. Abcam welcomes customer feedback and would appreciate any comments regarding this product and the data presented above.

All lanes:

Western blot - Anti-BMP4 antibody (ab39973) at 1 µg/mL

Lane 1:

Human brain tissue lysate - total protein (<a href='/en-us/products/unavailable/human-brain-tissue-lysate-total-protein-ab29466'>ab29466</a>) at 10 µg

Lane 2:

Brain (Mouse) Mouse Tissue Lysate at 10 µg

Lane 3:

Human liver tissue lysate - total protein (<a href='/en-us/products/unavailable/human-liver-tissue-lysate-total-protein-ab29889'>ab29889</a>) at 10 µg

Lane 4:

Human heart tissue lysate - total protein (<a href='/en-us/products/unavailable/human-heart-tissue-lysate-total-protein-ab29431'>ab29431</a>) at 10 µg

Lane 5:

Human skeletal muscle tissue lysate - total protein (<a href='/en-us/products/unavailable/human-skeletal-muscle-tissue-lysate-total-protein-ab29330'>ab29330</a>) at 10 µg

Lane 6:

Human brain tissue lysate - total protein (<a href='/en-us/products/unavailable/human-brain-tissue-lysate-total-protein-ab29466'>ab29466</a>) at 10 µg with Human BMP4 peptide (<a href='/en-us/products/unavailable/human-bmp4-peptide-ab40140'>ab40140</a>)

Lane 8:

Human liver tissue lysate - total protein (<a href='/en-us/products/unavailable/human-liver-tissue-lysate-total-protein-ab29889'>ab29889</a>) at 10 µg with Human BMP4 peptide (<a href='/en-us/products/unavailable/human-bmp4-peptide-ab40140'>ab40140</a>)

Lane 9:

Human heart tissue lysate - total protein (<a href='/en-us/products/unavailable/human-heart-tissue-lysate-total-protein-ab29431'>ab29431</a>) at 10 µg with Human BMP4 peptide (<a href='/en-us/products/unavailable/human-bmp4-peptide-ab40140'>ab40140</a>)

Lane 10:

Human skeletal muscle tissue lysate - total protein (<a href='/en-us/products/unavailable/human-skeletal-muscle-tissue-lysate-total-protein-ab29330'>ab29330</a>) at 10 µg with Human BMP4 peptide (<a href='/en-us/products/unavailable/human-bmp4-peptide-ab40140'>ab40140</a>)

Secondary

All lanes:

IRDye 680 Conjugated Goat Anti-Rabbit IgG (H+L) at 1/10000 dilution

Predicted band size: 47 kDa

Observed band size: 100 kDa,47 kDa

false

Western blot - Anti-BMP4 antibody (AB39973)
  • WB

Unknown

Western blot - Anti-BMP4 antibody (AB39973)

All lanes:

Western blot - Anti-BMP4 antibody (ab39973) at 1 µg/mL

Lane 1:

Human brain tissue lysate - total protein (<a href='/en-us/products/unavailable/human-brain-tissue-lysate-total-protein-ab29466'>ab29466</a>) at 10 µg

Lane 2:

Brain (Mouse) Tissue Lysate at 10 µg

Lane 3:

Brain (Rat) Tissue Lysate at 10 µg

Secondary

All lanes:

Western blot - Goat Anti-Rabbit IgG H&L (HRP) preadsorbed (<a href='/en-us/products/secondary-antibodies/goat-rabbit-igg-h-l-hrp-preadsorbed-ab97080'>ab97080</a>) at 1/5000 dilution

Predicted band size: 47 kDa

Observed band size: 42 kDa,47 kDa

false

Immunocytochemistry/ Immunofluorescence - Anti-BMP4 antibody (AB39973)
  • ICC/IF

Collaborator

Immunocytochemistry/ Immunofluorescence - Anti-BMP4 antibody (AB39973)

ICC/IF image of ab39973 staining primary Rat hippocampal neurons. The cells were 4% PFA fixed (10 min) and then incubated in 1%BSA / 5% normal donkey serum / 0.3M glycine in 0.1% PBS-Tritonx100 for 1h to permeabilise the cells and block non-specific protein-protein interactions. The cells were then incubated with the antibody (ab39973, 1μg/ml) overnight at +4°C. The secondary antibody (green) was Alexa Fluor® 488donkey anti-rabbit IgG (H+L) used at a 1/1000 dilution for 1h. DAPI was used to stain the cell nuclei (blue) at a concentration of 1.43μM.

This image is courtesy of Ruma Raha-Chowdhury, University Of Cambridge, United Kingdom

Western blot - Anti-BMP4 antibody (AB39973)
  • WB

Unknown

Western blot - Anti-BMP4 antibody (AB39973)

All lanes:

Western blot - Anti-BMP4 antibody (ab39973) at 1/1000 dilution

All lanes:

mouse brain at 20 µg

Secondary

All lanes:

Dako Cytomation P0260 Conjugation: HRP at 1/3000 dilution

Predicted band size: 47 kDa

true

Exposure time: 1min

This image is courtesy of Ruma Raha-Chowdhury, University Of Cambridge, United Kingdom

Key facts

Host species

Rabbit

Clonality

Polyclonal

Isotype

IgG

Carrier free

No

Reacts with

Mouse, Rat, Human

Applications

WB, ICC/IF

applications

Immunogen

The exact immunogen used to generate this antibody is proprietary information.

Specificity

Replenishment batches of our polyclonal antibody, ab39973 are tested in WB. Previous batches were additionally validated in ICC/IF. This application is still expected to work and is covered by our Abpromise guarantee. You may also be interested in our alternative recombinant antibody, ab124715.

Reactivity data

{ "title": "Reactivity Data", "filters": { "stats": ["", "Species", "Dilution Info", "Notes"], "tabs": { "all-applications": {"fullname" : "All Applications", "shortname": "All Applications"}, "WB" : {"fullname" : "Western blot", "shortname":"WB"}, "ICCIF" : {"fullname" : "Immunocytochemistry/ Immunofluorescence", "shortname":"ICC/IF"} }, "product-promise": { "all": "all", "testedAndGuaranteed": "tested", "guaranteed": "expected", "predicted": "predicted", "notRecommended": "not-recommended" } }, "values": { "Human": { "WB-species-checked": "testedAndGuaranteed", "WB-species-dilution-info": "1 µg/mL", "WB-species-notes": "<p></p>", "ICCIF-species-checked": "guaranteed", "ICCIF-species-dilution-info": "", "ICCIF-species-notes": "" }, "Mouse": { "WB-species-checked": "testedAndGuaranteed", "WB-species-dilution-info": "1 µg/mL", "WB-species-notes": "<p></p>", "ICCIF-species-checked": "guaranteed", "ICCIF-species-dilution-info": "", "ICCIF-species-notes": "" }, "Rat": { "WB-species-checked": "guaranteed", "WB-species-dilution-info": "", "WB-species-notes": "", "ICCIF-species-checked": "testedAndGuaranteed", "ICCIF-species-dilution-info": "1 µg/mL", "ICCIF-species-notes": "<p></p>" } } }

Have you thought about this alternative?

AB124715

Anti-BMP4 antibody [EPR6211]

0
0 Reviews
View product

We’re constantly upgrading our range to offer the highest quality products. We have selected this alternative product for your review because it gives improved performance, is easier and more convenient to use, or is available faster.

Product details

What is this antibody validated in?
Anti-BMP4 antibody (ab39973) is a rabbit polyclonal antibody and is validated for use in Western Blot (WB), Immunocytochemistry/immunofluorescence (ICC/IF) in Human, Mouse, Rat samples.

What is the molecular weight of BMP4?
Anti-BMP4 (ab39973) specifically detects a band for BMP4 (UniProt: P12644) at a molecular weight of 47kDa.

Trusted by the scientific community
Anti-BMP4 (ab39973) was first used in a scientific publication in 2008 and has been cited over 90 times in peer-reviewed journals.

Reviewed by scientists
Anti-BMP4 (ab39973) has over 10 independent reviews from customers.

Properties and storage information

Form
Liquid
Purification technique
Affinity purification Immunogen
Storage buffer
pH: 7.4 Preservative: 0.02% Sodium azide Constituents: 98.98% PBS, 1% BSA
Shipped at conditions
Blue Ice
Appropriate short-term storage duration
1-2 weeks
Appropriate short-term storage conditions
+4°C
Appropriate long-term storage conditions
-20°C
Aliquoting information
Upon delivery aliquot
Storage information
Avoid freeze / thaw cycle

Product protocols

For this product, it's our understanding that no specific protocols are required. You can visit:

Target data

Growth factor of the TGF-beta superfamily that plays essential roles in many developmental processes, including neurogenesis, vascular development, angiogenesis and osteogenesis (PubMed : 31363885). Acts in concert with PTHLH/PTHRP to stimulate ductal outgrowth during embryonic mammary development and to inhibit hair follicle induction (By similarity). Initiates the canonical BMP signaling cascade by associating with type I receptor BMPR1A and type II receptor BMPR2 (PubMed : 25868050, PubMed : 8006002). Once all three components are bound together in a complex at the cell surface, BMPR2 phosphorylates and activates BMPR1A. In turn, BMPR1A propagates signal by phosphorylating SMAD1/5/8 that travel to the nucleus and act as activators and repressors of transcription of target genes (PubMed : 25868050, PubMed : 29212066). Positively regulates the expression of odontogenic development regulator MSX1 via inducing the IPO7-mediated import of SMAD1 to the nucleus (By similarity). Required for MSX1-mediated mesenchymal molar tooth bud development beyond the bud stage, via promoting Wnt signaling (By similarity). Acts as a positive regulator of odontoblast differentiation during mesenchymal tooth germ formation, expression is repressed during the bell stage by MSX1-mediated inhibition of CTNNB1 signaling (By similarity). Able to induce its own expression in dental mesenchymal cells and also in the neighboring dental epithelial cells via an MSX1-mediated pathway (By similarity). Can also signal through non-canonical BMP pathways such as ERK/MAP kinase, PI3K/Akt, or SRC cascades (PubMed : 31363885). For example, induces SRC phosphorylation which, in turn, activates VEGFR2, leading to an angiogenic response (PubMed : 31363885).
See full target information BMP4

Publications (98)

Recent publications for all applications. Explore the full list and refine your search

Disease models & mechanisms 16: PubMed37577930

2023

Disrupting Hedgehog signaling in melanocytes by SUFU knockout leads to ocular melanocytosis and anterior segment malformation.

Applications

Unspecified application

Species

Unspecified reactive species

Weizhuo Wang,Feiyang Li,Jing Wang,Zuimeng Liu,Meiyu Tian,Zhenhang Wang,Huirong Li,Jia Qu,Yu Chen,Ling Hou

Joint diseases and related surgery 34:413-424 PubMed37462646

2023

The effects of cephalexin on fracture healing in a rat femur fracture model.

Applications

Unspecified application

Species

Unspecified reactive species

Muhammed Uslu,Bilal Yılmaz,Hamisi Mwarindano Mraja,Mustafa Fatih Daşcı,Elif Yaprak Saraç,Bedri Onur Küçükyıldırım,Mehmet Akif Güleç,Serdar Yüksel

iScience 26:106272 PubMed36915676

2023

-mediated angiogenesis facilitates the beiging of white adipose tissue in mice.

Applications

Unspecified application

Species

Unspecified reactive species

Chenguang Wang,Yalan Wu,Yangxian Li,Yang Zhang,Yee Lok Fung,Ka Kui Tong,Chi Wai Lau,Li Xiang,Kin Ming Kwan,Li-Ru You,Yu Huang,Xiao Yu Tian

Cellular and molecular life sciences : CMLS 80:58 PubMed36746787

2023

Hypermethylation of the Bmp4 promoter dampens binding of HIF-1α and impairs its cardiac protective effects from oxidative stress in prenatally GC-exposed offspring.

Applications

Unspecified application

Species

Unspecified reactive species

Ling-Tong Gao,Jian-Qiang Yuan,Zhi-Yu Zhang,Hou-Ming Zhao,Lu Gao

Disease models & mechanisms 16: PubMed36518009

2023

Infiltrating circulating monocytes provide an important source of BMP4 at the early stage of spinal cord injury.

Applications

Unspecified application

Species

Unspecified reactive species

Weiyun Shen,Shuxin Liu,Xiaojing Wei,Yaping Wang,Lin Yang

Cancers 15: PubMed36612143

2022

Activin B and Activin C Have Opposing Effects on Prostate Cancer Progression and Cell Growth.

Applications

Unspecified application

Species

Unspecified reactive species

Karen L Reader,Simon John-McHaffie,Sylvia Zellhuber-McMillan,Tim Jowett,David G Mottershead,Heather E Cunliffe,Elspeth J Gold

Frontiers in pharmacology 13:1019755 PubMed36618911

2022

FGF10 ameliorates lipopolysaccharide-induced acute lung injury in mice the BMP4-autophagy pathway.

Applications

Unspecified application

Species

Unspecified reactive species

Xiaoxia Kong,Liling Lu,Daopeng Lin,Lei Chong,Shunhang Wen,Yaokai Shi,Lidan Lin,Liqin Zhou,Hongyu Zhang,Hailin Zhang

International journal of molecular medicine 51: PubMed36524372

2022

Activin A rescues preterm brain injury through a novel Noggin/BMP4/Id2 signaling pathway.

Applications

Unspecified application

Species

Unspecified reactive species

Xiaojuan Su,Junjie Ying,Dongqiong Xiao,Xia Qiu,Shiping Li,Fengyan Zhao,Jun Tang

TheScientificWorldJournal 2022:6740853 PubMed36561943

2022

The Cytokine and Bone Protein Expression by Ellagic Acid-Hydroxyapatite in Bone Remodelling Model.

Applications

Unspecified application

Species

Unspecified reactive species

Dyah Noviana Primasari,Intan Nirwana,Hendrik Setia Budi,Agung Satria Wardhana,Annisa Fitria Sari,Novita Novita,Andika Putri Setyawan,Meircurius Dwi Condro Surboyo,Khairul Anuar Shariff

Development (Cambridge, England) 149: PubMed36448532

2022

Loss of WNT4 in the gubernaculum causes unilateral cryptorchidism and fertility defects.

Applications

Unspecified application

Species

Unspecified reactive species

Abhishek Seth,Juan C Bournat,Olga Medina-Martinez,Armando Rivera,Joshua Moore,Hunter Flores,Jill A Rosenfeld,Liya Hu,Carolina J Jorgez
View all publications

Product promise

We are committed to supporting your work with high-quality reagents, and we're here for you every step of the way. In the unlikely event that one of our products does not perform as expected, you're protected by our Product Promise.
For full details, please see our Terms & Conditions

Associated Products

Select an associated product type
Alternative Product
Primary Antibodies

AB202526

Alexa Fluor® 594 Anti-BMP4 antibody [EPR6211]

primary-antibodies

alexa-fluor-594-bmp4-antibody-epr6211-ab202526

0

(0 reviews)

Alternative Product
Primary Antibodies

AB200794

Alexa Fluor® 488 Anti-BMP4 antibody [EPR6211]

primary-antibodies

alexa-fluor-488-bmp4-antibody-epr6211-ab200794

0

(0 reviews)

Alternative Product
Primary Antibodies

AB200795

HRP Anti-BMP4 antibody [EPR6211]

primary-antibodies

hrp-bmp4-antibody-epr6211-ab200795

0

(0 reviews)

Alternative Product
Primary Antibodies

AB200796

Alexa Fluor® 647 Anti-BMP4 antibody [EPR6211]

primary-antibodies

alexa-fluor-647-bmp4-antibody-epr6211-ab200796

0

(0 reviews)

Alternative Product
Primary Antibodies

AB216455

Anti-BMP4 antibody [EPR6211] - Low endotoxin, Azide free

primary-antibodies

bmp4-antibody-epr6211-low-endotoxin-azide-free-ab216455

0

(0 reviews)

Please note: All products are 'FOR RESEARCH USE ONLY. NOT FOR USE IN DIAGNOSTIC OR THERAPEUTIC PROCEDURES'.

For licensing inquiries, please contact partnerships@abcam.com