JavaScript is disabled in your browser. Please enable JavaScript to view this website.
AB155058

Anti-BMPR1B antibody

Be the first to review this product! Submit a review

|

(7 Publications)

Rabbit Polyclonal BMPR1B antibody. Suitable for WB, IHC-P, IHC-Fr and reacts with Human, Mouse, Rat samples. Cited in 7 publications. Immunogen corresponding to Recombinant Fragment Protein within Human Bone morphogenetic protein receptor type-1B aa 200 to C-terminus.

View Alternative Names

CDw293, Bone morphogenetic protein receptor type-1B, BMP type-1B receptor, BMPR-1B, BMPR1B

5 Images
Immunohistochemistry (Formalin/PFA-fixed paraffin-embedded sections) - Anti-BMPR1B antibody (AB155058)
  • IHC-P

Supplier Data

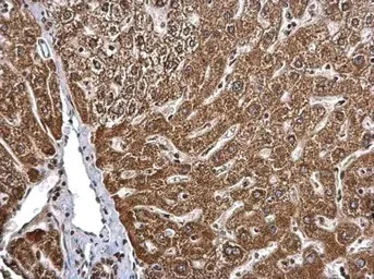
Immunohistochemistry (Formalin/PFA-fixed paraffin-embedded sections) - Anti-BMPR1B antibody (AB155058)

Immunohistochemical analysis of paraffin-embedded human hepatoma tissue stained for BMPR1B protein with ab155058 at a 1/500 dilution.

Antigen retrieval : EDTA based, pH 8.

Immunohistochemistry (Frozen sections) - Anti-BMPR1B antibody (AB155058)
  • IHC-Fr

Supplier Data

Immunohistochemistry (Frozen sections) - Anti-BMPR1B antibody (AB155058)

Immunohistochemical analysis of Frozen sectioned adult mouse retina staining BMPR1B with ab155058 at a dilution of 1/250 (Green). beta Tubulin 3 stained by anti beta Tubulin 3/ TUJ1 antibody diluted at 1/250 dilution (Red). The nuclear staining is DAPI (Blue).
Antigen Retrieval : Citrate buffer, pH 6.0, 15 min

Western blot - Anti-BMPR1B antibody (AB155058)
  • WB

Supplier Data

Western blot - Anti-BMPR1B antibody (AB155058)

Samples were separated by 10% SDS-PAGE.

All lanes:

Western blot - Anti-BMPR1B antibody (ab155058) at 1/5000 dilution

Lane 1:

Non-transfected 293T whole cell extract at 30 µg

Lane 2:

Transfected 293T whole cell extract at 30 µg

Secondary

All lanes:

HRP-conjugated anti-rabbit IgG

Predicted band size: 57 kDa

false

Western blot - Anti-BMPR1B antibody (AB155058)
  • WB

Supplier Data

Western blot - Anti-BMPR1B antibody (AB155058)

Samples were separated by 10% SDS-PAGE.

All lanes:

Western blot - Anti-BMPR1B antibody (ab155058) at 1/1000 dilution

All lanes:

Rat2 Whole cell extract at 30 µg

Secondary

All lanes:

HRP-conjugated anti-rabbit IgG

Predicted band size: 57 kDa

false

Western blot - Anti-BMPR1B antibody (AB155058)
  • WB

Supplier Data

Western blot - Anti-BMPR1B antibody (AB155058)

Samples were separated by 10% SDS-PAGE.

All lanes:

Western blot - Anti-BMPR1B antibody (ab155058) at 1/1000 dilution

Lane 1:

Neuro2A whole cell extract at 30 µg

Lane 2:

CBD30 whole cell extract at 30 µg

Lane 3:

NIH-3T3 whole cell extract at 30 µg

Secondary

All lanes:

HRP-conjugated anti-rabbit IgG

Predicted band size: 57 kDa

false

Key facts

Host species

Rabbit

Clonality

Polyclonal

Isotype

IgG

Carrier free

No

Reacts with

Mouse, Rat, Human

Applications

WB, IHC-Fr, IHC-P

applications

Immunogen

Recombinant Fragment Protein within Human Bone morphogenetic protein receptor type-1B aa 200 to C-terminus. The exact immunogen used to generate this antibody is proprietary information.

O00238

Reactivity data

{ "title": "Reactivity Data", "filters": { "stats": ["", "Species", "Dilution Info", "Notes"], "tabs": { "all-applications": {"fullname" : "All Applications", "shortname": "All Applications"}, "WB" : {"fullname" : "Western blot", "shortname":"WB"}, "IHCP" : {"fullname" : "Immunohistochemistry (Formalin/PFA-fixed paraffin-embedded sections)", "shortname":"IHC-P"}, "IHCFr" : {"fullname" : "Immunohistochemistry (Frozen sections)", "shortname":"IHC-Fr"} }, "product-promise": { "all": "all", "testedAndGuaranteed": "tested", "guaranteed": "expected", "predicted": "predicted", "notRecommended": "not-recommended" } }, "values": { "Human": { "WB-species-checked": "testedAndGuaranteed", "WB-species-dilution-info": "1/500 - 1/10000", "WB-species-notes": "<p></p>", "IHCP-species-checked": "testedAndGuaranteed", "IHCP-species-dilution-info": "1/100 - 1/1000", "IHCP-species-notes": "<p></p>", "IHCFr-species-checked": "guaranteed", "IHCFr-species-dilution-info": "", "IHCFr-species-notes": "" }, "Mouse": { "WB-species-checked": "testedAndGuaranteed", "WB-species-dilution-info": "1/500 - 1/10000", "WB-species-notes": "<p></p>", "IHCP-species-checked": "guaranteed", "IHCP-species-dilution-info": "", "IHCP-species-notes": "", "IHCFr-species-checked": "testedAndGuaranteed", "IHCFr-species-dilution-info": "1/100 - 1/1000", "IHCFr-species-notes": "<p></p>" }, "Rat": { "WB-species-checked": "testedAndGuaranteed", "WB-species-dilution-info": "1/500 - 1/10000", "WB-species-notes": "<p></p>", "IHCP-species-checked": "guaranteed", "IHCP-species-dilution-info": "", "IHCP-species-notes": "", "IHCFr-species-checked": "guaranteed", "IHCFr-species-dilution-info": "", "IHCFr-species-notes": "" }, "Chicken": { "WB-species-checked": "predicted", "WB-species-dilution-info": "", "WB-species-notes": "", "IHCP-species-checked": "predicted", "IHCP-species-dilution-info": "", "IHCP-species-notes": "", "IHCFr-species-checked": "predicted", "IHCFr-species-dilution-info": "", "IHCFr-species-notes": "" }, "Cow": { "WB-species-checked": "predicted", "WB-species-dilution-info": "", "WB-species-notes": "", "IHCP-species-checked": "predicted", "IHCP-species-dilution-info": "", "IHCP-species-notes": "", "IHCFr-species-checked": "predicted", "IHCFr-species-dilution-info": "", "IHCFr-species-notes": "" }, "Dog": { "WB-species-checked": "predicted", "WB-species-dilution-info": "", "WB-species-notes": "", "IHCP-species-checked": "predicted", "IHCP-species-dilution-info": "", "IHCP-species-notes": "", "IHCFr-species-checked": "predicted", "IHCFr-species-dilution-info": "", "IHCFr-species-notes": "" }, "Pig": { "WB-species-checked": "predicted", "WB-species-dilution-info": "", "WB-species-notes": "", "IHCP-species-checked": "predicted", "IHCP-species-dilution-info": "", "IHCP-species-notes": "", "IHCFr-species-checked": "predicted", "IHCFr-species-dilution-info": "", "IHCFr-species-notes": "" }, "Xenopus tropicalis": { "WB-species-checked": "predicted", "WB-species-dilution-info": "", "WB-species-notes": "", "IHCP-species-checked": "predicted", "IHCP-species-dilution-info": "", "IHCP-species-notes": "", "IHCFr-species-checked": "predicted", "IHCFr-species-dilution-info": "", "IHCFr-species-notes": "" } } }

Properties and storage information

Form
Liquid
Purification technique
Affinity purification Immunogen
Storage buffer
pH: 7 Preservative: 0.025% Proclin 300 Constituents: PBS, 20% Glycerol (glycerin, glycerine)
Shipped at conditions
Blue Ice
Appropriate short-term storage conditions
+4°C
Appropriate long-term storage conditions
-20°C
Aliquoting information
Upon delivery aliquot
Storage information
Avoid freeze / thaw cycle

Product protocols

For this product, it's our understanding that no specific protocols are required. You can visit:

Target data

On ligand binding, forms a receptor complex consisting of two type II and two type I transmembrane serine/threonine kinases. Type II receptors phosphorylate and activate type I receptors which autophosphorylate, then bind and activate SMAD transcriptional regulators. Receptor for BMP7/OP-1 and GDF5. Positively regulates chondrocyte differentiation through GDF5 interaction.
See full target information Bone morphogenetic protein receptor type-1B

Publications (7)

Recent publications for all applications. Explore the full list and refine your search

Frontiers in cell and developmental biology 13:1623135 PubMed40666290

2025

ELK1 regulates BMPR1B transcriptional activity in ovine granulosa cells.

Applications

Unspecified application

Species

Unspecified reactive species

Anwar Abdurahman,Yuling Ga,Xuehai Ma

Frontiers in genetics 13:989912 PubMed36212145

2022

miR-1306 induces cell apoptosis by targeting BMPR1B gene in the ovine granulosa cells.

Applications

Unspecified application

Species

Unspecified reactive species

Anwar Abdurahman,Wusimanjiang Aierken,Fei Zhang,Rahmantay Obulkasim,Jueken Aniwashi,Ablat Sulayman

International journal of molecular sciences 20: PubMed31167348

2019

Smad4 Feedback Enhances BMPR1B Transcription in Ovine Granulosa Cells.

Applications

Unspecified application

Species

Unspecified reactive species

Anwar Abdurahman,Xing Du,Yilong Yao,Yiming Sulaiman,Jueken Aniwashi,Qifa Li

PLoS biology 16:e2004425 PubMed29949573

2018

Intracellular attenuation of BMP signaling via CKIP-1/Smurf1 is essential during neural crest induction.

Applications

Unspecified application

Species

Unspecified reactive species

Michael L Piacentino,Marianne E Bronner

Cellular physiology and biochemistry : internation 46:213-225 PubMed29587293

2018

Effects of MiR-375-BMPR2 as a Key Factor Downstream of BMP15/GDF9 on the Smad1/5/8 and Smad2/3 Signaling Pathways.

Applications

Unspecified application

Species

Unspecified reactive species

Chang Liu,Bao Yuan,Hongyan Chen,Mingqiang Xu,Xulei Sun,JiaJun Xu,Yan Gao,Chengzhen Chen,Hao Jiang,Jiabao Zhang

Cellular physiology and biochemistry : international journal of experimental cellular physiology, biochemistry, and pharmacology 41:439-450 PubMed28214889

2017

Regulatory Role of miRNA-375 in Expression of BMP15/GDF9 Receptors and its Effect on Proliferation and Apoptosis of Bovine Cumulus Cells.

Applications

Unspecified application

Species

Unspecified reactive species

Hongyan Chen,Chang Liu,Hao Jiang,Yan Gao,Mingqiang Xu,Jiawei Wang,Siyuan Liu,Yao Fu,Xulei Sun,Jiajun Xu,Jiabao Zhang,Lisheng Dai

The Journal of cell biology 206:799-811 PubMed25202030

2014

Activation of RhoA-ROCK-BMP signaling reprograms adult human corneal endothelial cells.

Applications

Unspecified application

Species

Human

Ying-Ting Zhu,Fu Li,Bo Han,Sean Tighe,Suzhen Zhang,Szu-Yu Chen,Xin Liu,Scheffer C G Tseng
View all publications

Product promise

We are committed to supporting your work with high-quality reagents, and we're here for you every step of the way. In the unlikely event that one of our products does not perform as expected, you're protected by our Product Promise.
For full details, please see our Terms & Conditions

Please note: All products are 'FOR RESEARCH USE ONLY. NOT FOR USE IN DIAGNOSTIC OR THERAPEUTIC PROCEDURES'.

For licensing inquiries, please contact partnerships@abcam.com