JavaScript is disabled in your browser. Please enable JavaScript to view this website.
AB59409

Anti-BMX (phospho Y566) antibody

Be the first to review this product! Submit a review

|

(3 Publications)

Rabbit Polyclonal BMX phospho Y566 antibody. Suitable for WB, IHC-P and reacts with Human samples. Cited in 3 publications. Immunogen corresponding to Synthetic Peptide within Human Cytoplasmic tyrosine-protein kinase BMX phospho Y566 aa 500-600.

View Alternative Names

Cytoplasmic tyrosine-protein kinase BMX, Bone marrow tyrosine kinase gene in chromosome X protein, Epithelial and endothelial tyrosine kinase, NTK38, ETK, BMX

3 Images
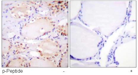
Immunohistochemistry (Formalin/PFA-fixed paraffin-embedded sections) - Anti-BMX (phospho Y566) antibody (AB59409)
  • IHC-P

Unknown

Immunohistochemistry (Formalin/PFA-fixed paraffin-embedded sections) - Anti-BMX (phospho Y566) antibody (AB59409)

Immunohistochemical analysis of paraffin embedded human thyroid gland tissue using ab59409 at a 1/50 dilution, in the presence (right) and absence (left) of immunizing phosphopeptide.

Western blot - Anti-BMX (phospho Y566) antibody (AB59409)
  • WB

Unknown

Western blot - Anti-BMX (phospho Y566) antibody (AB59409)

All lanes:

Western blot - Anti-BMX (phospho Y566) antibody (ab59409) at 1 µg/mL

All lanes:

HeLa (Human epithelial carcinoma cell line) Whole Cell Lysate at 10 µg

Secondary

All lanes:

Goat polyclonal to Rabbit IgG - H&L - Pre-Adsorbed (HRP) at 1/3000 dilution

Predicted band size: 78 kDa

Observed band size: 74 kDa

false

Western blot - Anti-BMX (phospho Y566) antibody (AB59409)
  • WB

Unknown

Western blot - Anti-BMX (phospho Y566) antibody (AB59409)

All lanes:

Western blot - Anti-BMX (phospho Y566) antibody (ab59409)

Lane 1:

Extracts from HeLa cells treated with Serum 20% 15'

Lane 2:

Extracts from HeLa cells treated with Serum 20% 15' and with the synthesized peptide.

Predicted band size: 78 kDa

false

Key facts

Host species

Rabbit

Clonality

Polyclonal

Isotype

IgG

Carrier free

No

Reacts with

Human

Applications

WB, IHC-P

applications

Immunogen

Synthetic Peptide within Human Cytoplasmic tyrosine-protein kinase BMX phospho Y566 aa 500-600. The exact immunogen used to generate this antibody is proprietary information.

P51813

Specificity

This antibody detects endogenous levels of ETK only when phosphorylated at tyrosine 566.

Reactivity data

{ "title": "Reactivity Data", "filters": { "stats": ["", "Species", "Dilution Info", "Notes"], "tabs": { "all-applications": {"fullname" : "All Applications", "shortname": "All Applications"}, "WB" : {"fullname" : "Western blot", "shortname":"WB"}, "IHCP" : {"fullname" : "Immunohistochemistry (Formalin/PFA-fixed paraffin-embedded sections)", "shortname":"IHC-P"} }, "product-promise": { "all": "all", "testedAndGuaranteed": "tested", "guaranteed": "expected", "predicted": "predicted", "notRecommended": "not-recommended" } }, "values": { "Human": { "WB-species-checked": "testedAndGuaranteed", "WB-species-dilution-info": "1/3000", "WB-species-notes": "<p></p>", "IHCP-species-checked": "testedAndGuaranteed", "IHCP-species-dilution-info": "", "IHCP-species-notes": "<p></p>" }, "Mouse": { "WB-species-checked": "predicted", "WB-species-dilution-info": "", "WB-species-notes": "", "IHCP-species-checked": "predicted", "IHCP-species-dilution-info": "", "IHCP-species-notes": "" } } }

Properties and storage information

Form
Liquid
Purification technique
Affinity purification Immunogen
Purification notes
Affinity purified from rabbit antiserum by affinity chromatography using epitope specific phosphopeptide. The antibody against non phosphopeptide was removed by chromatography using non phosphopeptide corresponding to the phosphorylation site.
Storage buffer
pH: 7.4 Preservative: 0.02% Sodium azide Constituents: PBS, 50% Glycerol (glycerin, glycerine), 0.87% Sodium chloride
Shipped at conditions
Blue Ice
Appropriate short-term storage conditions
+4°C
Appropriate long-term storage conditions
-20°C
Storage information
Stable for 12 months at -20°C

Product protocols

For this product, it's our understanding that no specific protocols are required. You can visit:

Target data

Non-receptor tyrosine kinase that plays central but diverse modulatory roles in various signaling processes involved in the regulation of actin reorganization, cell migration, cell proliferation and survival, cell adhesion, and apoptosis. Participates in signal transduction stimulated by growth factor receptors, cytokine receptors, G-protein coupled receptors, antigen receptors and integrins. Induces tyrosine phosphorylation of BCAR1 in response to integrin regulation. Activation of BMX by integrins is mediated by PTK2/FAK1, a key mediator of integrin signaling events leading to the regulation of actin cytoskeleton and cell motility. Plays a critical role in TNF-induced angiogenesis, and implicated in the signaling of TEK and FLT1 receptors, 2 important receptor families essential for angiogenesis. Required for the phosphorylation and activation of STAT3, a transcription factor involved in cell differentiation. Also involved in interleukin-6 (IL6) induced differentiation. Also plays a role in programming adaptive cytoprotection against extracellular stress in different cell systems, salivary epithelial cells, brain endothelial cells, and dermal fibroblasts. May be involved in regulation of endocytosis through its interaction with an endosomal protein RUFY1. May also play a role in the growth and differentiation of hematopoietic cells; as well as in signal transduction in endocardial and arterial endothelial cells.
See full target information Cytoplasmic tyrosine-protein kinase BMX phospho Y566

Publications (3)

Recent publications for all applications. Explore the full list and refine your search

The Journal of clinical investigation 133: PubMed36647826

2023

BMX controls 3βHSD1 and sex steroid biosynthesis in cancer.

Applications

Unspecified application

Species

Unspecified reactive species

Xiuxiu Li,Michael Berk,Christopher Goins,Mohammad Alyamani,Yoon-Mi Chung,Chenyao Wang,Monaben Patel,Nityam Rathi,Ziqi Zhu,Belinda Willard,Shaun Stauffer,Eric Klein,Nima Sharifi

Proceedings of the National Academy of Sciences of 112:13063-8 PubMed26430242

2015

Endothelial Bmx tyrosine kinase activity is essential for myocardial hypertrophy and remodeling.

Applications

Unspecified application

Species

Unspecified reactive species

Tanja Holopainen,Markus Räsänen,Andrey Anisimov,Tomi Tuomainen,Wei Zheng,Denis Tvorogov,Juha J Hulmi,Leif C Andersson,Bruno Cenni,Pasi Tavi,Eero Mervaala,Riikka Kivelä,Kari Alitalo

Cancer cell 19:498-511 PubMed21481791

2011

Nonreceptor tyrosine kinase BMX maintains self-renewal and tumorigenic potential of glioblastoma stem cells by activating STAT3.

Applications

ICC/IF, WB

Species

Mouse, Mouse

Olga A Guryanova,Qiulian Wu,Lin Cheng,Justin D Lathia,Zhi Huang,Jinbo Yang,Jennifer MacSwords,Christine E Eyler,Roger E McLendon,John M Heddleston,Weinian Shou,Dolores Hambardzumyan,Jeongwu Lee,Anita B Hjelmeland,Andrew E Sloan,Markus Bredel,George R Stark,Jeremy N Rich,Shideng Bao
View all publications

Product promise

We are committed to supporting your work with high-quality reagents, and we're here for you every step of the way. In the unlikely event that one of our products does not perform as expected, you're protected by our Product Promise.
For full details, please see our Terms & Conditions

Please note: All products are 'FOR RESEARCH USE ONLY. NOT FOR USE IN DIAGNOSTIC OR THERAPEUTIC PROCEDURES'.

For licensing inquiries, please contact partnerships@abcam.com