JavaScript is disabled in your browser. Please enable JavaScript to view this website.
AB248998

Anti-BNIP1 antibody [EPR10024] - BSA and Azide free

Be the first to review this product! Submit a review

|

(0 Publication)

Rabbit Recombinant Monoclonal BNIP1 antibody. Carrier free. Suitable for IHC-P, WB and reacts with Human, Rat samples.

View Alternative Names

NIP1, SEC20L, TRG8, BNIP1, Vesicle transport protein SEC20, BCL2/adenovirus E1B 19 kDa protein-interacting protein 1, Transformation-related gene 8 protein, TRG-8

2 Images
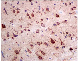
Immunohistochemistry (Formalin/PFA-fixed paraffin-embedded sections) - Anti-BNIP1 antibody [EPR10024] - BSA and Azide free (AB248998)
  • IHC-P

Unknown

Immunohistochemistry (Formalin/PFA-fixed paraffin-embedded sections) - Anti-BNIP1 antibody [EPR10024] - BSA and Azide free (AB248998)

This data was developed using ab151551, the same antibody clone in a different buffer formulation.

Immunohistochemical analysis of paraffin-embedded Human brain tissue labeling BNIP1 with ab151551 at 1/50 dilution.

Perform heat mediated antigen retrieval with citrate buffer pH 6 before commencing with IHC staining protocol.

Western blot - Anti-BNIP1 antibody [EPR10024] - BSA and Azide free (AB248998)
  • WB

Unknown

Western blot - Anti-BNIP1 antibody [EPR10024] - BSA and Azide free (AB248998)

This data was developed using ab151551, the same antibody clone in a different buffer formulation.

All lanes:

Western blot - Anti-BNIP1 antibody [EPR10024] (<a href='/en-us/products/primary-antibodies/bnip1-antibody-epr10024-ab151551'>ab151551</a>) at 1/1000 dilution

Lane 1:

C6 cell lysate at 10 µg

Lane 2:

L6 cell lysate at 10 µg

Lane 3:

PC12 cell lysate at 10 µg

Lane 4:

A431 cell lysate at 10 µg

Lane 5:

Ramos cell lysate at 10 µg

Lane 6:

HepG2 cell lysate at 10 µg

Lane 7:

Jurkat cell lysate at 10 µg

Secondary

All lanes:

HRP labeled goat anti-rabbit at 1/2000 dilution

Predicted band size: 26 kDa

false

Key facts

Host species

Rabbit

Clonality

Monoclonal

Clone number

EPR10024

Isotype

IgG

Carrier free

Yes

Reacts with

Rat, Human

Applications

WB, IHC-P

applications

Immunogen

The exact immunogen used to generate this antibody is proprietary information.

Reactivity data

{ "title": "Reactivity Data", "filters": { "stats": ["", "Species", "Dilution Info", "Notes"], "tabs": { "all-applications": {"fullname" : "All Applications", "shortname": "All Applications"}, "IHCP" : {"fullname" : "Immunohistochemistry (Formalin/PFA-fixed paraffin-embedded sections)", "shortname":"IHC-P"}, "ICCIF" : {"fullname" : "Immunocytochemistry/ Immunofluorescence", "shortname":"ICC/IF"}, "IP" : {"fullname" : "Immunoprecipitation", "shortname":"IP"}, "FlowCyt" : {"fullname" : "Flow Cytometry", "shortname":"Flow Cyt"}, "WB" : {"fullname" : "Western blot", "shortname":"WB"} }, "product-promise": { "all": "all", "testedAndGuaranteed": "tested", "guaranteed": "expected", "predicted": "predicted", "notRecommended": "not-recommended" } }, "values": { "Human": { "IHCP-species-checked": "testedAndGuaranteed", "IHCP-species-dilution-info": "", "IHCP-species-notes": "<p></p>", "ICCIF-species-checked": "notRecommended", "ICCIF-species-dilution-info": "", "ICCIF-species-notes": "<p></p>", "IP-species-checked": "notRecommended", "IP-species-dilution-info": "", "IP-species-notes": "<p></p>", "FlowCyt-species-checked": "notRecommended", "FlowCyt-species-dilution-info": "", "FlowCyt-species-notes": "<p></p>", "WB-species-checked": "guaranteed", "WB-species-dilution-info": "", "WB-species-notes": "" }, "Mouse": { "IHCP-species-checked": "predicted", "IHCP-species-dilution-info": "", "IHCP-species-notes": "", "ICCIF-species-checked": "notRecommended", "ICCIF-species-dilution-info": "", "ICCIF-species-notes": "", "IP-species-checked": "notRecommended", "IP-species-dilution-info": "", "IP-species-notes": "", "FlowCyt-species-checked": "notRecommended", "FlowCyt-species-dilution-info": "", "FlowCyt-species-notes": "", "WB-species-checked": "predicted", "WB-species-dilution-info": "", "WB-species-notes": "" }, "Rat": { "IHCP-species-checked": "guaranteed", "IHCP-species-dilution-info": "", "IHCP-species-notes": "", "ICCIF-species-checked": "notRecommended", "ICCIF-species-dilution-info": "", "ICCIF-species-notes": "<p></p>", "IP-species-checked": "notRecommended", "IP-species-dilution-info": "", "IP-species-notes": "<p></p>", "FlowCyt-species-checked": "notRecommended", "FlowCyt-species-dilution-info": "", "FlowCyt-species-notes": "<p></p>", "WB-species-checked": "testedAndGuaranteed", "WB-species-dilution-info": "", "WB-species-notes": "<p></p>" } } }

Product details

ab248998 is the carrier-free version of ab151551.

Patented technology
Our RabMAb® technology is a patented hybridoma-based technology for making rabbit monoclonal antibodies. For details on our patents, please refer to RabMAb® patents.

What are the advantages of a recombinant monoclonal antibody?
This product is a recombinant monoclonal antibody, which offers several advantages including:

  • - High batch-to-batch consistency and reproducibility
  • - Improved sensitivity and specificity
  • - Long-term security of supply
  • - Animal-free batch production

For more information, read more on recombinant antibodies.

Conjugation ready
Our carrier-free antibodies are typically supplied in a PBS-only formulation, purified and free of BSA, sodium azide and glycerol. This conjugation-ready format is designed for use with fluorochromes, metal isotopes, oligonucleotides, and enzymes, which makes them ideal for antibody labelling, functional and cell-based assays, flow-based assays (e.g. mass cytometry) and Multiplex Imaging applications.

Use our conjugation kits for antibody conjugates that are ready-to-use in as little as 20 minutes with 1 minute hands-on-time and 100% antibody recovery: available for fluorescent dyes, HRP, biotin and gold.

Compatibility
This product is compatible with the Maxpar® Antibody Labeling Kit from Fluidigm, without the need for antibody preparation. Maxpar® is a trademark of Fluidigm Canada Inc.

Properties and storage information

Form
Liquid
Purification technique
Affinity purification Protein A
Storage buffer
pH: 7.2 - 7.4 Constituents: PBS
Shipped at conditions
Blue Ice
Appropriate short-term storage conditions
+4°C
Appropriate long-term storage conditions
+4°C
Storage information
Do Not Freeze

Product protocols

For this product, it's our understanding that no specific protocols are required. You can visit:

Target data

As part of a SNARE complex may be involved in endoplasmic reticulum membranes fusion and be required for the maintenance of endoplasmic reticulum organization (PubMed : 15272311). Also plays a role in apoptosis (PubMed : 15272311, PubMed : 23896122, PubMed : 7954800). It is for instance required for endoplasmic reticulum stress-induced apoptosis (PubMed : 23896122). As a substrate of RNF185 interacting with SQSTM1, might also be involved in mitochondrial autophagy (Probable).
See full target information BNIP1

Product promise

We are committed to supporting your work with high-quality reagents, and we're here for you every step of the way. In the unlikely event that one of our products does not perform as expected, you're protected by our Product Promise.
For full details, please see our Terms & Conditions

Please note: All products are 'FOR RESEARCH USE ONLY. NOT FOR USE IN DIAGNOSTIC OR THERAPEUTIC PROCEDURES'.

For licensing inquiries, please contact partnerships@abcam.com