JavaScript is disabled in your browser. Please enable JavaScript to view this website.
AB8399

Anti-BNIP3L/NIX antibody

4

(3 Reviews)

|

(30 Publications)

Rabbit Polyclonal BNIP3L/NIX antibody. Suitable for WB, IHC-P, ICC/IF and reacts with Human samples. Cited in 30 publications. Immunogen corresponding to Synthetic Peptide within Human BNIP3L aa 50-100.

View Alternative Names

BNIP3A, BNIP3H, NIX, BNIP3L, BCL2/adenovirus E1B 19 kDa protein-interacting protein 3-like, Adenovirus E1B19K-binding protein B5, BCL2/adenovirus E1B 19 kDa protein-interacting protein 3A, NIP3-like protein X, NIP3L

3 Images
Immunocytochemistry/ Immunofluorescence - Anti-BNIP3L/NIX antibody (AB8399)
  • ICC/IF

Unknown

Immunocytochemistry/ Immunofluorescence - Anti-BNIP3L/NIX antibody (AB8399)

Immunofluorescence of Bnip3L/NIX in Human Kidney cells using ab8399 at 10 ug/ml.

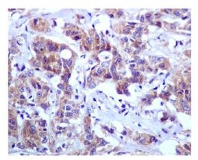
Immunohistochemistry (Formalin/PFA-fixed paraffin-embedded sections) - Anti-BNIP3L/NIX antibody (AB8399)
  • IHC-P

Unknown

Immunohistochemistry (Formalin/PFA-fixed paraffin-embedded sections) - Anti-BNIP3L/NIX antibody (AB8399)

ab8399 at 2μg/ml staining BNIP3L/NIX in human kidney tissue by IHC

Western blot - Anti-BNIP3L/NIX antibody (AB8399)
  • WB

Unknown

Western blot - Anti-BNIP3L/NIX antibody (AB8399)

The approximate 40 kDa top band represents monomer of Bnip3L/NIX.

All lanes:

Western blot - Anti-BNIP3L/NIX antibody (ab8399) at 1 µg/mL

Lane 1:

K562 whole cell lysate with absence of immunogenic peptide

Lane 2:

K562 whole cell lysate with presence of immunogenic peptide

Predicted band size: 24 kDa

false

Key facts

Host species

Rabbit

Clonality

Polyclonal

Isotype

IgG

Light chain type

unknown

Carrier free

No

Reacts with

Human

Applications

ICC/IF, WB, IHC-P

applications

Immunogen

Synthetic Peptide within Human BNIP3L aa 50-100. The exact immunogen used to generate this antibody is proprietary information.

O60238

Reactivity data

{ "title": "Reactivity Data", "filters": { "stats": ["", "Species", "Dilution Info", "Notes"], "tabs": { "all-applications": {"fullname" : "All Applications", "shortname": "All Applications"}, "WB" : {"fullname" : "Western blot", "shortname":"WB"}, "IHCP" : {"fullname" : "Immunohistochemistry (Formalin/PFA-fixed paraffin-embedded sections)", "shortname":"IHC-P"}, "ICCIF" : {"fullname" : "Immunocytochemistry/ Immunofluorescence", "shortname":"ICC/IF"} }, "product-promise": { "all": "all", "testedAndGuaranteed": "tested", "guaranteed": "expected", "predicted": "predicted", "notRecommended": "not-recommended" } }, "values": { "Human": { "WB-species-checked": "testedAndGuaranteed", "WB-species-dilution-info": "0.5-1 µg/mL", "WB-species-notes": "<p>To reduce possible background load less sample and or use more diluted antibody.</p>", "IHCP-species-checked": "testedAndGuaranteed", "IHCP-species-dilution-info": "2 µg/mL", "IHCP-species-notes": "<p></p>", "ICCIF-species-checked": "testedAndGuaranteed", "ICCIF-species-dilution-info": "", "ICCIF-species-notes": "<p>See Abreview.</p>" }, "Mouse": { "WB-species-checked": "predicted", "WB-species-dilution-info": "", "WB-species-notes": "", "IHCP-species-checked": "predicted", "IHCP-species-dilution-info": "", "IHCP-species-notes": "", "ICCIF-species-checked": "predicted", "ICCIF-species-dilution-info": "", "ICCIF-species-notes": "" }, "Rat": { "WB-species-checked": "predicted", "WB-species-dilution-info": "", "WB-species-notes": "", "IHCP-species-checked": "predicted", "IHCP-species-dilution-info": "", "IHCP-species-notes": "", "ICCIF-species-checked": "predicted", "ICCIF-species-dilution-info": "", "ICCIF-species-notes": "" } } }

Product details

Members in the Bcl-2 family are critical regulators of apoptosis by either inhibiting or promoting cell death. Bcl-2 homology 3 (BH3) domain is a potent death domain. BH3 domain containing pro-apoptotic proteins, including Bad, Bax, Bid, Bik, Hrk, Nip3, and Bim, form a growingsubclass of the Bcl-2 family. A novel BH3 domaincontaining protein was recently identified and designated Bnip3L/NIX, Bnip3a, and Nix (for Nip3-like protein X) (Matsushima, M. et al.; Yasuda, M. et al.; Chen, G, et al.).Bnip3L/Bnip3a/Nix is a homolog of the E1B 19K/Bcl-2 binding and pro-apoptotic protein Bnip3. Over expression of Bnip3L/NIX induces apoptosis (Yasuda, M. et al.; Chen, G, et al.). Bnip3L/NIX interacts withand overcomes suppresses by Bcl-2 and Bcl-xL. Bnip3L/NIX is localized in mitochondria. The messenger RNA of Bnip3L/NIX is ubiquitously expressed in human tissues (Matsushima, M. et al.; Yasuda, M. et al.). Bnip3L/NIX and Bnip3 form a new subfamily of the pro-apoptotic mitochondrial proteins.

Properties and storage information

Form
Liquid
Purification technique
Affinity purification
Storage buffer
pH: 7.2 Preservative: 0.02% Sodium azide
Shipped at conditions
Blue Ice
Appropriate short-term storage conditions
+4°C
Appropriate long-term storage conditions
+4°C

Product protocols

For this product, it's our understanding that no specific protocols are required. You can visit:

Target data

Induces apoptosis. Interacts with viral and cellular anti-apoptosis proteins. Can overcome the suppressors BCL-2 and BCL-XL, although high levels of BCL-XL expression will inhibit apoptosis. Inhibits apoptosis induced by BNIP3. Involved in mitochondrial quality control via its interaction with SPATA18/MIEAP : in response to mitochondrial damage, participates in mitochondrial protein catabolic process (also named MALM) leading to the degradation of damaged proteins inside mitochondria. The physical interaction of SPATA18/MIEAP, BNIP3 and BNIP3L/NIX at the mitochondrial outer membrane regulates the opening of a pore in the mitochondrial double membrane in order to mediate the translocation of lysosomal proteins from the cytoplasm to the mitochondrial matrix. May function as a tumor suppressor.
See full target information BNIP3L

Publications (30)

Recent publications for all applications. Explore the full list and refine your search

Aging cell 23:e14186 PubMed38761001

2024

Elimination of damaged mitochondria during UVB-induced senescence is orchestrated by NIX-dependent mitophagy.

Applications

Unspecified application

Species

Unspecified reactive species

Maria Cavinato,Ines Martic,Sophia Wedel,Annabella Pittl,Rafal Koziel,Regina Weinmmüllner,Markus Schosserer,Brigitte Jenewein,Madhusudhan Reddy Bobbili,Elsa Arcalis,Johannes Haybaeck,Gerhard Pierer,Christian Ploner,Martin Hermann,Nikolaus Romani,Matthias Schmuth,Johannes Grillari,Pidder Jansen-Dürr

Clinical and translational medicine 12:e719 PubMed35092699

2022

Methionine oxidation of CLK4 promotes the metabolic switch and redox homeostasis in esophageal carcinoma via inhibiting MITF selective autophagy.

Applications

Unspecified application

Species

Unspecified reactive species

Yaxing Shen,Heng Zhang,Shihua Yao,Feng Su,Hao Wang,Jun Yin,Yong Fang,Lijie Tan,Kaiguang Zhang,Xiangshan Fan,Ming Zhong,Qingxin Zhou,Jie He,Zhiyong Zhang

Scientific reports 11:16512 PubMed34389795

2021

Mitochondrial dysfunction associated with autophagy and mitophagy in cerebrospinal fluid cells of patients with delayed cerebral ischemia following subarachnoid hemorrhage.

Applications

Unspecified application

Species

Unspecified reactive species

Dong Hyuk Youn,Youngmi Kim,Bong Jun Kim,Myeong Seon Jeong,Jooeun Lee,Jong Kook Rhim,Heung Cheol Kim,Jin Pyeong Jeon

Cancers 13: PubMed34439183

2021

Receptor-Mediated Mitophagy Rescues Cancer Cells under Hypoxic Conditions.

Applications

Unspecified application

Species

Unspecified reactive species

Alibek Abdrakhmanov,Maria A Yapryntseva,Vitaliy O Kaminskyy,Boris Zhivotovsky,Vladimir Gogvadze

International journal of molecular medicine 46:2126-2136 PubMed33125104

2020

Hyperoxia exposure arrests alveolarization in neonatal rats via PTEN‑induced putative kinase 1‑Parkin and Nip3‑like protein X‑mediated mitophagy disorders.

Applications

Unspecified application

Species

Unspecified reactive species

Xuefei Yu,Yanli Sun,Qing Cai,Xinyi Zhao,Ziyun Liu,Xindong Xue,Jianhua Fu

Oncology reports 44:1627-1637 PubMed32945512

2020

MicroRNA‑137 exerts protective effects on hypoxia‑induced cell injury by inhibiting autophagy/mitophagy and maintaining mitochondrial function in breast cancer stem‑like cells.

Applications

Unspecified application

Species

Unspecified reactive species

Qiongying Hu,Yun Yuan,Yeke Wu,Yongliang Huang,Ziyi Zhao,Chong Xiao

Journal of the American Heart Association 9:e014814 PubMed32301368

2020

Interleukin-22 Directly Activates Myocardial STAT3 (Signal Transducer and Activator of Transcription-3) Signaling Pathway and Prevents Myocardial Ischemia Reperfusion Injury.

Applications

Unspecified application

Species

Unspecified reactive species

Jinya Takahashi,Mai Yamamoto,Hideo Yasukawa,Shoichiro Nohara,Takanobu Nagata,Koutatsu Shimozono,Toshiyuki Yanai,Tomoko Sasaki,Kota Okabe,Tatsuhiro Shibata,Kazutoshi Mawatari,Tatsuyuki Kakuma,Hiroki Aoki,Yoshihiro Fukumoto

Frontiers in pharmacology 11:367 PubMed32292345

2020

Berberine Protects Against Simulated Ischemia/Reperfusion Injury-Induced H9C2 Cardiomyocytes Apoptosis and Myocardial Ischemia/Reperfusion-Induced Apoptosis by Regulating the Mitophagy-Mediated HIF-1α/BNIP3 Pathway.

Applications

Unspecified application

Species

Unspecified reactive species

Na Zhu,Jiang Li,Yongli Li,Yuwei Zhang,Qiubo Du,Peiyuan Hao,Jinying Li,Xueming Cao,Li Li

Stem cells (Dayton, Ohio) 37:555-567 PubMed30629785

2019

Hypoxia Prevents Mitochondrial Dysfunction and Senescence in Human c-Kit Cardiac Progenitor Cells.

Applications

Unspecified application

Species

Unspecified reactive species

Kelli I Korski,Dieter A Kubli,Bingyan J Wang,Farid G Khalafalla,Megan M Monsanto,Fareheh Firouzi,Oscar H Echeagaray,Taeyong Kim,Robert M Adamson,Walter P Dembitsky,Åsa B Gustafsson,Mark A Sussman

Nature communications 8:15676 PubMed28607490

2017

Multiple truncated isoforms of MAVS prevent its spontaneous aggregation in antiviral innate immune signalling.

Applications

Unspecified application

Species

Unspecified reactive species

Nan Qi,Yuheng Shi,Rui Zhang,Wenting Zhu,Bofeng Yuan,Xiaoyan Li,Changwan Wang,Xuewu Zhang,Fajian Hou
View all publications

Product promise

We are committed to supporting your work with high-quality reagents, and we're here for you every step of the way. In the unlikely event that one of our products does not perform as expected, you're protected by our Product Promise.
For full details, please see our Terms & Conditions

Please note: All products are 'FOR RESEARCH USE ONLY. NOT FOR USE IN DIAGNOSTIC OR THERAPEUTIC PROCEDURES'.

For licensing inquiries, please contact partnerships@abcam.com