JavaScript is disabled in your browser. Please enable JavaScript to view this website.
AB247428

Anti-BOB1 antibody [EP3300] - BSA and Azide free

Be the first to review this product! Submit a review

|

(0 Publication)

Rabbit Recombinant Monoclonal BOB1 antibody. Carrier free. Suitable for IHC-P, WB, Flow Cyt (Intra) and reacts with Human samples.

View Alternative Names

BOB1, OBF1, POU2AF1, POU domain class 2-associating factor 1, B-cell-specific coactivator OBF-1, BOB-1, OCA-B, OCT-binding factor 1

4 Images
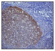
Immunohistochemistry (Formalin/PFA-fixed paraffin-embedded sections) - Anti-BOB1 antibody [EP3300] - BSA and Azide free (AB247428)
  • IHC-P

Unknown

Immunohistochemistry (Formalin/PFA-fixed paraffin-embedded sections) - Anti-BOB1 antibody [EP3300] - BSA and Azide free (AB247428)

This data was developed using ab76010, the same antibody clone in a different buffer formulation.

ab76010, at 1/100 dilution, staining BOB1 in human tonsil by immunohistochemistry using paraffin-embedded tissue.

Perform heat mediated antigen retrieval before commencing with IHC staining protocol.

Flow Cytometry (Intracellular) - Anti-BOB1 antibody [EP3300] - BSA and Azide free (AB247428)
  • Flow Cyt (Intra)

Unknown

Flow Cytometry (Intracellular) - Anti-BOB1 antibody [EP3300] - BSA and Azide free (AB247428)

This data was developed using ab76010, the same antibody clone in a different buffer formulation.

Intracellular Flow Cytometry analysis of Jurkat (human acute T cell leukemia) cells labeling BOB1 with unpurified ab76010 at 1/40 dilution (10ug/ml) (red). Cells were fixed with 4% paraformaldehyde and permeabilised with 90% methanol. A Goat anti rabbit IgG (Alexa Fluor® 488) (1/2000 dilution) was used as the secondary antibody. Rabbit monoclonal IgG (Black) was used as the isotype control, cells without incubation with primary antibody and secondary antibody (Blue) were used as the unlabeled control.

Western blot - Anti-BOB1 antibody [EP3300] - BSA and Azide free (AB247428)
  • WB

Unknown

Western blot - Anti-BOB1 antibody [EP3300] - BSA and Azide free (AB247428)

This data was developed using ab76010, the same antibody clone in a different buffer formulation.

All lanes:

Western blot - Anti-BOB1 antibody [EP3300] (<a href='/en-us/products/primary-antibodies/bob1-antibody-ep3300-ab76010'>ab76010</a>) at 1/30000 dilution

All lanes:

Ramos cell lysate at 10 µg

Secondary

All lanes:

Goat anti-rabbit HRP at 1/1000 dilution

Predicted band size: 27 kDa

Observed band size: 35 kDa

false

OI-RD Scanning - Anti-BOB1 antibody [EP3300] - BSA and Azide free (AB247428)
  • OI-RD Scanning

Unknown

OI-RD Scanning - Anti-BOB1 antibody [EP3300] - BSA and Azide free (AB247428)

We have systematically measured KD (the equilibrium dissociation constant between the antibody and its antigen), of more than 840 recombinant antibodies to assess not only their individual KD values but also to see the average affinity of antibody. Based on the comparison with published literature values for mouse monoclonal antibodies, Recombinant antibodies appear to be on average 1-2 order of magnitude higher affinity.

Key facts

Host species

Rabbit

Clonality

Monoclonal

Clone number

EP3300

Isotype

IgG

Carrier free

Yes

Reacts with

Human

Applications

IHC-P, WB, Flow Cyt (Intra)

applications

Immunogen

The exact immunogen used to generate this antibody is proprietary information.

Reactivity data

{ "title": "Reactivity Data", "filters": { "stats": ["", "Species", "Dilution Info", "Notes"], "tabs": { "all-applications": {"fullname" : "All Applications", "shortname": "All Applications"}, "IHCP" : {"fullname" : "Immunohistochemistry (Formalin/PFA-fixed paraffin-embedded sections)", "shortname":"IHC-P"}, "ICCIF" : {"fullname" : "Immunocytochemistry/ Immunofluorescence", "shortname":"ICC/IF"}, "IP" : {"fullname" : "Immunoprecipitation", "shortname":"IP"}, "WB" : {"fullname" : "Western blot", "shortname":"WB"}, "FlowCytIntra" : {"fullname" : "Flow Cytometry (Intracellular)", "shortname":"Flow Cyt (Intra)"} }, "product-promise": { "all": "all", "testedAndGuaranteed": "tested", "guaranteed": "expected", "predicted": "predicted", "notRecommended": "not-recommended" } }, "values": { "Human": { "IHCP-species-checked": "testedAndGuaranteed", "IHCP-species-dilution-info": "", "IHCP-species-notes": "<p></p> Perform heat-mediated antigen retrieval before commencing with IHC staining protocol.", "ICCIF-species-checked": "notRecommended", "ICCIF-species-dilution-info": "", "ICCIF-species-notes": "<p></p>", "IP-species-checked": "notRecommended", "IP-species-dilution-info": "", "IP-species-notes": "<p></p>", "WB-species-checked": "testedAndGuaranteed", "WB-species-dilution-info": "", "WB-species-notes": "<p></p>", "FlowCytIntra-species-checked": "testedAndGuaranteed", "FlowCytIntra-species-dilution-info": "", "FlowCytIntra-species-notes": "<p></p>" } } }

Product details

ab247428 is the carrier-free version of ab76010.

Species reactivity
Mouse, Rat: We have preliminary internal testing data to indicate this antibody may not react with these species.
Please contact us for more information.

Patented technology
Our RabMAb® technology is a patented hybridoma-based technology for making rabbit monoclonal antibodies. For details on our patents, please refer to RabMAb® patents.

What are the advantages of a recombinant monoclonal antibody?
This product is a recombinant monoclonal antibody, which offers several advantages including:

  • - High batch-to-batch consistency and reproducibility
  • - Improved sensitivity and specificity
  • - Long-term security of supply
  • - Animal-free batch production

For more information, read more on recombinant antibodies.

Conjugation ready
Our carrier-free antibodies are typically supplied in a PBS-only formulation, purified and free of BSA, sodium azide and glycerol. This conjugation-ready format is designed for use with fluorochromes, metal isotopes, oligonucleotides, and enzymes, which makes them ideal for antibody labelling, functional and cell-based assays, flow-based assays (e.g. mass cytometry) and Multiplex Imaging applications.

Use our conjugation kits for antibody conjugates that are ready-to-use in as little as 20 minutes with 1 minute hands-on-time and 100% antibody recovery: available for fluorescent dyes, HRP, biotin and gold.

Compatibility
This product is compatible with the Maxpar® Antibody Labeling Kit from Fluidigm, without the need for antibody preparation. Maxpar® is a trademark of Fluidigm Canada Inc.

Properties and storage information

Form
Liquid
Purification technique
Affinity purification Protein A
Storage buffer
pH: 7.2 - 7.4 Constituents: PBS
Shipped at conditions
Blue Ice
Appropriate short-term storage conditions
+4°C
Appropriate long-term storage conditions
+4°C
Storage information
Do Not Freeze

Product protocols

For this product, it's our understanding that no specific protocols are required. You can visit:

Target data

Transcriptional coactivator that specifically associates with either POU2F1/OCT1 or POU2F2/OCT2 (PubMed : 7859290). It boosts the POU2F1/OCT1 mediated promoter activity and to a lesser extent, that of POU2F2/OCT2 (PubMed : 7779176). It recognizes the POU domains of POU2F1/OCT1 and POU2F2/OCT2 (PubMed : 7779176). It is essential for the response of B-cells to antigens and required for the formation of germinal centers (PubMed : 7623806, PubMed : 7859290). Regulates IL6 expression in B cells as POU2F2/OCT2 coactivator (By similarity).
See full target information POU2AF1

Product promise

We are committed to supporting your work with high-quality reagents, and we're here for you every step of the way. In the unlikely event that one of our products does not perform as expected, you're protected by our Product Promise.
For full details, please see our Terms & Conditions

Please note: All products are 'FOR RESEARCH USE ONLY. NOT FOR USE IN DIAGNOSTIC OR THERAPEUTIC PROCEDURES'.

For licensing inquiries, please contact partnerships@abcam.com