JavaScript is disabled in your browser. Please enable JavaScript to view this website.
AB203110

Anti-BOB1 antibody [EPR17685]

Be the first to review this product! Submit a review

|

(1 Publication)

Rabbit Recombinant Monoclonal BOB1 antibody. Suitable for WB, IHC-P and reacts with Human samples. Cited in 1 publication.

View Alternative Names

BOB1, OBF1, POU2AF1, POU domain class 2-associating factor 1, B-cell-specific coactivator OBF-1, BOB-1, OCA-B, OCT-binding factor 1

6 Images
Immunohistochemistry (Formalin/PFA-fixed paraffin-embedded sections) - Anti-BOB1 antibody [EPR17685] (AB203110)
  • IHC-P

Supplier Data

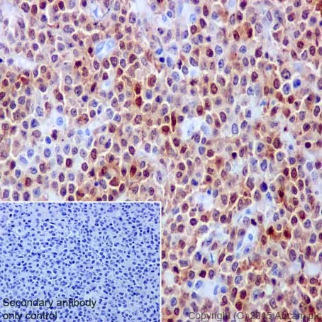
Immunohistochemistry (Formalin/PFA-fixed paraffin-embedded sections) - Anti-BOB1 antibody [EPR17685] (AB203110)

Immunohistochemical analysis of paraffin-embedded Human Non-Hodgkin lymphoma of B- lineage tissue labeling BOB1 Protein with ab230110 at 1/500 dilution followed by ab97051 Goat Anti-Rabbit IgG H&L (HRP) secondary antibody at a 1/500 dilution. Nuclear and weak cytoplasmic staining on Human non-hodgkin lymphoma of B- lineage tissue is observed. Counter stained with Hematoxylin.

Negative control : Used PBS instead of primary antibody secondary antibody is ab97051 Goat Anti-Rabbit IgG H&L (HRP).

Reference : Greiner A et al. Up-Regulation of BOB.1/OBF.1 Expression in Normal Germinal Center B Cells and Germinal Center-Derived Lymphomas. Am J Pathol. 2000 February; 156(2) : 501–507.

Perform heat mediated antigen retrieval with Tris/EDTA buffer pH 9.0 before commencing with IHC staining protocol.

Immunohistochemistry (Formalin/PFA-fixed paraffin-embedded sections) - Anti-BOB1 antibody [EPR17685] (AB203110)
  • IHC-P

Supplier Data

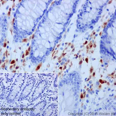
Immunohistochemistry (Formalin/PFA-fixed paraffin-embedded sections) - Anti-BOB1 antibody [EPR17685] (AB203110)

Immunohistochemical analysis of paraffin-embedded Human colon tissue labeling BOB1 Protein with ab230110 at 1/500 dilution followed by ab97051 Goat Anti-Rabbit IgG H&L (HRP) secondary antibody at a 1/500 dilution. Nuclear and weakly cytoplasmic staining on lymphocyte of Human colon lineage tissue is observed. Counter stained with Hematoxylin.

Negative control : Used PBS instead of primary antibody secondary antibody is ab97051 Goat Anti-Rabbit IgG H&L (HRP).

Reference : Greiner A et al. Up-Regulation of BOB.1/OBF.1 Expression in Normal Germinal Center B Cells and Germinal Center-Derived Lymphomas. Am J Pathol. 2000 February; 156(2) : 501–507.

Perform heat mediated antigen retrieval with Tris/EDTA buffer pH 9.0 before commencing with IHC staining protocol.

Immunohistochemistry (Formalin/PFA-fixed paraffin-embedded sections) - Anti-BOB1 antibody [EPR17685] (AB203110)
  • IHC-P

Supplier Data

Immunohistochemistry (Formalin/PFA-fixed paraffin-embedded sections) - Anti-BOB1 antibody [EPR17685] (AB203110)

Immunohistochemical analysis of paraffin-embedded Human cerebral cortex tissue labeling BOB1 Protein with ab230110 at 1/500 dilution followed by ab97051 Goat Anti-Rabbit IgG H&L (HRP) secondary antibody at a 1/500 dilution. Counter stained with Hematoxylin. No staining on Human cerebral cortex tissue (BOB1 Negative tissue) is observed.

Negative control : Used PBS instead of primary antibody secondary antibody is ab97051 Goat Anti-Rabbit IgG H&L (HRP).

Reference : Greiner A et al. Up-Regulation of BOB.1/OBF.1 Expression in Normal Germinal Center B Cells and Germinal Center-Derived Lymphomas. Am J Pathol. 2000 February; 156(2) : 501–507.

Perform heat mediated antigen retrieval with Tris/EDTA buffer pH 9.0 before commencing with IHC staining protocol.

Western blot - Anti-BOB1 antibody [EPR17685] (AB203110)
  • WB

Supplier Data

Western blot - Anti-BOB1 antibody [EPR17685] (AB203110)

Blocking/Dilution buffer : 5% NFDM/TBST.

The MW profile observed is consistent with what has been described in the literature PMID : 12857960.

All lanes:

Western blot - Anti-BOB1 antibody [EPR17685] (ab203110) at 1/10000 dilution

All lanes:

RAMOS (Human Burkitt's lymphoma cell line) whole cell lysate at 10 µg

Secondary

All lanes:

Western blot - Goat Anti-Rabbit IgG H&L (HRP) (<a href='/en-us/products/secondary-antibodies/goat-rabbit-igg-h-l-hrp-ab97051'>ab97051</a>) at 1/50000 dilution

Predicted band size: 27 kDa

Observed band size: 35 kDa

false

Exposure time: 5s

Western blot - Anti-BOB1 antibody [EPR17685] (AB203110)
  • WB

Supplier Data

Western blot - Anti-BOB1 antibody [EPR17685] (AB203110)

Blocking/dilution buffer 5% NFDM/TBST.

The MW profile observed is consistent with what has been described in the literature PMID : 12857960.

All lanes:

Western blot - Anti-BOB1 antibody [EPR17685] (ab203110) at 1/5000 dilution

All lanes:

Raji (Human Burkitt's lymphoma cell line) whole cell lysate at 20 µg

Secondary

All lanes:

Western blot - Goat Anti-Rabbit IgG H&L (HRP) (<a href='/en-us/products/secondary-antibodies/goat-rabbit-igg-h-l-hrp-ab97051'>ab97051</a>) at 1/50000 dilution

Predicted band size: 27 kDa

Observed band size: 35 kDa

false

Exposure time: 3min

Western blot - Anti-BOB1 antibody [EPR17685] (AB203110)
  • WB

Supplier Data

Western blot - Anti-BOB1 antibody [EPR17685] (AB203110)

Blocking/Dilution buffer : 5% NFDM/TBST.

The MW profile observed is consistent with what has been described in the literature PMID : 12857960.

All lanes:

Western blot - Anti-BOB1 antibody [EPR17685] (ab203110) at 1/200 dilution

Lane 1:

Human lymph node whole cell lysate at 10 µg

Lane 2:

Human bone marrow whole cell lysate at 10 µg

Secondary

All lanes:

Anti-Rabbit IgG (HRP), specific to the non-reduced form of IgG at 1/50000 dilution

Predicted band size: 27 kDa

Observed band size: 35 kDa

false

Exposure time: 3min

  • Carrier free

    Anti-BOB1 antibody [EPR17685] - BSA and Azide free

Key facts

Host species

Rabbit

Clonality

Monoclonal

Clone number

EPR17685

Isotype

IgG

Carrier free

No

Reacts with

Human

Applications

WB, IHC-P

applications

Immunogen

The exact immunogen used to generate this antibody is proprietary information.

Reactivity data

{ "title": "Reactivity Data", "filters": { "stats": ["", "Species", "Dilution Info", "Notes"], "tabs": { "all-applications": {"fullname" : "All Applications", "shortname": "All Applications"}, "WB" : {"fullname" : "Western blot", "shortname":"WB"}, "IHCP" : {"fullname" : "Immunohistochemistry (Formalin/PFA-fixed paraffin-embedded sections)", "shortname":"IHC-P"} }, "product-promise": { "all": "all", "testedAndGuaranteed": "tested", "guaranteed": "expected", "predicted": "predicted", "notRecommended": "not-recommended" } }, "values": { "Human": { "WB-species-checked": "testedAndGuaranteed", "WB-species-dilution-info": "1/5000", "WB-species-notes": "<p></p>", "IHCP-species-checked": "testedAndGuaranteed", "IHCP-species-dilution-info": "1/500", "IHCP-species-notes": "<p></p>" } } }

Product details

Patented technology
Our RabMAb® technology is a patented hybridoma-based technology for making rabbit monoclonal antibodies. For details on our patents, please refer to RabMAb® patents.

What are the advantages of a recombinant monoclonal antibody?
This product is a recombinant monoclonal antibody, which offers several advantages including:

  • - High batch-to-batch consistency and reproducibility
  • - Improved sensitivity and specificity
  • - Long-term security of supply
  • - Animal-free batch production

For more information, read more on recombinant antibodies.

Properties and storage information

Form
Liquid
Purification technique
Affinity purification Protein A
Storage buffer
pH: 7.2 - 7.4 Preservative: 0.01% Sodium azide Constituents: PBS, 40% Glycerol (glycerin, glycerine), 0.05% BSA
Shipped at conditions
Blue Ice
Appropriate short-term storage duration
1-2 weeks
Appropriate short-term storage conditions
+4°C
Appropriate long-term storage conditions
-20°C
Aliquoting information
Upon delivery aliquot
Storage information
Avoid freeze / thaw cycle

Product protocols

For this product, it's our understanding that no specific protocols are required. You can visit:

Target data

Transcriptional coactivator that specifically associates with either POU2F1/OCT1 or POU2F2/OCT2 (PubMed : 7859290). It boosts the POU2F1/OCT1 mediated promoter activity and to a lesser extent, that of POU2F2/OCT2 (PubMed : 7779176). It recognizes the POU domains of POU2F1/OCT1 and POU2F2/OCT2 (PubMed : 7779176). It is essential for the response of B-cells to antigens and required for the formation of germinal centers (PubMed : 7623806, PubMed : 7859290). Regulates IL6 expression in B cells as POU2F2/OCT2 coactivator (By similarity).
See full target information POU2AF1

Publications (1)

Recent publications for all applications. Explore the full list and refine your search

Bioactive materials 53:459-479 PubMed40747455

2025

Metformin carbon dots-based osteogenic and protein delivery system to promote bone regeneration in periodontitis.

Applications

Unspecified application

Species

Unspecified reactive species

Jingjing Wei,Kai Wang,Yongkai Li,Jiao Huang,Ping Deng,Xianbo Xia,Cong Yang,Ling Xu,Junji Xu
View all publications

Product promise

We are committed to supporting your work with high-quality reagents, and we're here for you every step of the way. In the unlikely event that one of our products does not perform as expected, you're protected by our Product Promise.
For full details, please see our Terms & Conditions

Please note: All products are 'FOR RESEARCH USE ONLY. NOT FOR USE IN DIAGNOSTIC OR THERAPEUTIC PROCEDURES'.

For licensing inquiries, please contact partnerships@abcam.com