JavaScript is disabled in your browser. Please enable JavaScript to view this website.
AB99891

Anti-BOB1 antibody [SP92]

Be the first to review this product! Submit a review

|

(1 Publication)

Anti-BOB1 antibody [SP92] (ab99891) is a rabbit monoclonal antibody detecting BOB1 in Western Blot, IHC-P. Suitable for Human.

- Biophysical QC for unrivalled batch-batch consistency
- Trusted since 2010

View Alternative Names

BOB1, OBF1, POU2AF1, POU domain class 2-associating factor 1, B-cell-specific coactivator OBF-1, BOB-1, OCA-B, OCT-binding factor 1

3 Images
Immunohistochemistry (Formalin/PFA-fixed paraffin-embedded sections) - Anti-BOB1 antibody [SP92] (AB99891)
  • IHC-P

Unknown

Immunohistochemistry (Formalin/PFA-fixed paraffin-embedded sections) - Anti-BOB1 antibody [SP92] (AB99891)

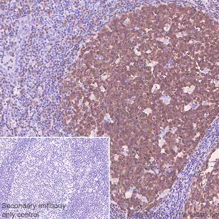
Immunohistochemistry (Formalin/PFA-fixed paraffin-embedded sections) analysis of Human tonsil tissue sections labeling BOB1 with Purified ab99891 at 1/100 dilution (0.96 μg/ml). Heat mediated antigen retrieval was performed Heat mediated antigen retrieval with Bond™ Epitope Retrieval Solution 1 (pH 6.0) for 20mins. Goat Anti-Rabbit & Mouse IgG (HRP) was used as the secondary antibody.

Negative control : PBS instead of the primary antibody. Hematoxylin was used as a counterstain.

Immunohistochemistry (Formalin/PFA-fixed paraffin-embedded sections) - Anti-BOB1 antibody [SP92] (AB99891)
  • IHC-P

Supplier Data

Immunohistochemistry (Formalin/PFA-fixed paraffin-embedded sections) - Anti-BOB1 antibody [SP92] (AB99891)

Staining of Human BOB1 in a Formalin/PFA-fixed paraffin-embedded section of Human Tonsil using ab99891 at a dilution of 1/100.

Western blot - Anti-BOB1 antibody [SP92] (AB99891)
  • WB

Unknown

Western blot - Anti-BOB1 antibody [SP92] (AB99891)

All lanes:

Western blot - Anti-BOB1 antibody [SP92] (ab99891) at 1/100 dilution

All lanes:

lysate prepared from Ramos cells

Predicted band size: 27 kDa

Observed band size: 35 kDa

false

Key facts

Host species

Rabbit

Clonality

Monoclonal

Clone number

SP92

Isotype

IgG

Carrier free

No

Reacts with

Human

Applications

IHC-P, WB

applications

Immunogen

The exact immunogen used to generate this antibody is proprietary information.

Reactivity data

{ "title": "Reactivity Data", "filters": { "stats": ["", "Species", "Dilution Info", "Notes"], "tabs": { "all-applications": {"fullname" : "All Applications", "shortname": "All Applications"}, "WB" : {"fullname" : "Western blot", "shortname":"WB"}, "IHCP" : {"fullname" : "Immunohistochemistry (Formalin/PFA-fixed paraffin-embedded sections)", "shortname":"IHC-P"} }, "product-promise": { "all": "all", "testedAndGuaranteed": "tested", "guaranteed": "expected", "predicted": "predicted", "notRecommended": "not-recommended" } }, "values": { "Human": { "WB-species-checked": "testedAndGuaranteed", "WB-species-dilution-info": "", "WB-species-notes": "<p></p>", "IHCP-species-checked": "testedAndGuaranteed", "IHCP-species-dilution-info": "1/100", "IHCP-species-notes": "<p>Boil tissue section in 10mM Citrate buffer, pH 6.0 for 10 min followed by cooling at RT for 20 min.</p>" } } }

Product details

What is this antibody validated in?
Anti-BOB1 antibody [SP92] (ab99891) is a rabbit recombinant monoclonal antibody and is validated for use in Western Blot (WB), Immunohistochemistry (IHC-P) in Human samples.

Collaboration
Anti-BOB1 [SP92] (ab99891) is a clone from the portfolio of Spring Bioscience (Roche) SP clones which have been optimised for immunohistochemistry (IHC).

Other related products
We have a range of other formats of antibody clone [SP92] also available for your convenience: ab99891, Carrier free - ab239921, ab279436, Alexa Fluor® 488 - ab320611, Alexa Fluor® 647 - ab320612, Alexa Fluor® 555 - ab320613, Alexa Fluor® 594 - ab320614, PE - ab320615, APC - ab320616, Alexa Fluor® 750 - ab321780

What are the advantages of a recombinant monoclonal antibody?
This product is a recombinant monoclonal antibody, which offers several advantages including:

  • - High batch-to-batch consistency and reproducibility
  • - Improved sensitivity and specificity
  • - Long-term security of supply
  • - Animal-free batch production

For more information, read more on recombinant antibodies.

Properties and storage information

Form
Liquid
Purification technique
Affinity purification Protein A/G
Purification notes
Purified from TCS by protein A/G.
Storage buffer
pH: 7.6 Preservative: 0.1% Sodium azide Constituents: PBS, 1% BSA
Shipped at conditions
Blue Ice
Appropriate short-term storage conditions
+4°C
Appropriate long-term storage conditions
+4°C

Product protocols

For this product, it's our understanding that no specific protocols are required. You can visit:

Target data

Transcriptional coactivator that specifically associates with either POU2F1/OCT1 or POU2F2/OCT2 (PubMed : 7859290). It boosts the POU2F1/OCT1 mediated promoter activity and to a lesser extent, that of POU2F2/OCT2 (PubMed : 7779176). It recognizes the POU domains of POU2F1/OCT1 and POU2F2/OCT2 (PubMed : 7779176). It is essential for the response of B-cells to antigens and required for the formation of germinal centers (PubMed : 7623806, PubMed : 7859290). Regulates IL6 expression in B cells as POU2F2/OCT2 coactivator (By similarity).
See full target information POU2AF1

Publications (1)

Recent publications for all applications. Explore the full list and refine your search

Modern pathology : an official journal of the Unit 30:1144-1151 PubMed28548127

2017

Mismatch repair deficiency commonly precedes adenoma formation in Lynch Syndrome-Associated colorectal tumorigenesis.

Applications

Unspecified application

Species

Unspecified reactive species

Shigeki Sekine,Taisuke Mori,Reiko Ogawa,Masahiro Tanaka,Hiroshi Yoshida,Hirokazu Taniguchi,Takeshi Nakajima,Kokichi Sugano,Teruhiko Yoshida,Mamoru Kato,Eisaku Furukawa,Atsushi Ochiai,Nobuyoshi Hiraoka
View all publications

Product promise

We are committed to supporting your work with high-quality reagents, and we're here for you every step of the way. In the unlikely event that one of our products does not perform as expected, you're protected by our Product Promise.
For full details, please see our Terms & Conditions

Please note: All products are 'FOR RESEARCH USE ONLY. NOT FOR USE IN DIAGNOSTIC OR THERAPEUTIC PROCEDURES'.

For licensing inquiries, please contact partnerships@abcam.com