JavaScript is disabled in your browser. Please enable JavaScript to view this website.
AB185339

Anti-BOLA3 antibody

Be the first to review this product! Submit a review

|

(2 Publications)

Rabbit Polyclonal BOLA3 antibody. Suitable for IHC-P and reacts with Human samples. Cited in 2 publications. Immunogen corresponding to Recombinant Fragment Protein within Human BOLA3 aa 1 to C-terminus.

View Alternative Names

BolA-like protein 3, BOLA3

1 Images
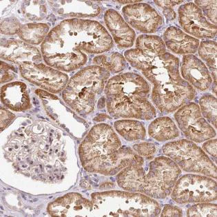
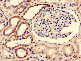
Immunohistochemistry (Formalin/PFA-fixed paraffin-embedded sections) - Anti-BOLA3 antibody (AB185339)
  • IHC-P

Supplier Data

Immunohistochemistry (Formalin/PFA-fixed paraffin-embedded sections) - Anti-BOLA3 antibody (AB185339)

Immunohistochemistry analysis of Human kidney tissue labeling BOLA3 with ab185339 at 1/200 dilution.

Key facts

Host species

Rabbit

Clonality

Polyclonal

Isotype

IgG

Carrier free

No

Reacts with

Human

Applications

IHC-P

applications

Immunogen

Recombinant Fragment Protein within Human BOLA3 aa 1 to C-terminus. The exact immunogen used to generate this antibody is proprietary information.

Q53S33

Reactivity data

{ "title": "Reactivity Data", "filters": { "stats": ["", "Species", "Dilution Info", "Notes"], "tabs": { "all-applications": {"fullname" : "All Applications", "shortname": "All Applications"}, "IHCP" : {"fullname" : "Immunohistochemistry (Formalin/PFA-fixed paraffin-embedded sections)", "shortname":"IHC-P"} }, "product-promise": { "all": "all", "testedAndGuaranteed": "tested", "guaranteed": "expected", "predicted": "predicted", "notRecommended": "not-recommended" } }, "values": { "Human": { "IHCP-species-checked": "testedAndGuaranteed", "IHCP-species-dilution-info": "1/200 - 1/500", "IHCP-species-notes": "<p></p> Perform heat-mediated antigen retrieval with citrate buffer pH 6 before commencing with IHC staining protocol." }, "Mouse": { "IHCP-species-checked": "predicted", "IHCP-species-dilution-info": "", "IHCP-species-notes": "" } } }

Properties and storage information

Form
Liquid
Purification technique
Affinity purification Immunogen
Storage buffer
pH: 7.2 Preservative: 0.02% Sodium azide Constituents: 59% PBS, 40% Glycerol (glycerin, glycerine)
Shipped at conditions
Blue Ice
Appropriate short-term storage duration
1-2 weeks
Appropriate short-term storage conditions
+4°C
Appropriate long-term storage conditions
-20°C
Aliquoting information
Upon delivery aliquot
Storage information
Avoid freeze / thaw cycle

Product protocols

For this product, it's our understanding that no specific protocols are required. You can visit:

Target data

Acts as a mitochondrial iron-sulfur (Fe-S) cluster assembly factor that facilitates (Fe-S) cluster insertion into a subset of mitochondrial proteins. Probably acts together with NFU1 (PubMed : 27532772).
See full target information BOLA3

Publications (2)

Recent publications for all applications. Explore the full list and refine your search

Journal of neuroinflammation 21:47 PubMed38347588

2024

Progranulin haploinsufficiency mediates cytoplasmic TDP-43 aggregation with lysosomal abnormalities in human microglia.

Applications

Unspecified application

Species

Unspecified reactive species

Wonjae Sung,Min-Young Noh,Minyeop Nahm,Yong Sung Kim,Chang-Seok Ki,Young-Eun Kim,Hee-Jin Kim,Seung Hyun Kim

BioMed research international 2022:8360481 PubMed36017386

2022

Prognostic Values of BolA Family Member Expression in Hepatocellular Carcinoma.

Applications

Unspecified application

Species

Unspecified reactive species

Dong Wang,ZhiMing Wang,YiMing Tao
View all publications

Product promise

We are committed to supporting your work with high-quality reagents, and we're here for you every step of the way. In the unlikely event that one of our products does not perform as expected, you're protected by our Product Promise.
For full details, please see our Terms & Conditions

Please note: All products are 'FOR RESEARCH USE ONLY. NOT FOR USE IN DIAGNOSTIC OR THERAPEUTIC PROCEDURES'.

For licensing inquiries, please contact partnerships@abcam.com