JavaScript is disabled in your browser. Please enable JavaScript to view this website.
AB235786

Anti-Bone marrow stromal cell antigen 1 antibody

Be the first to review this product! Submit a review

|

(1 Publication)

Rabbit Polyclonal Bone marrow stromal cell antigen 1 antibody. Suitable for WB, IHC-P and reacts with Mouse, Human samples. Cited in 1 publication. Immunogen corresponding to Recombinant Fragment Protein within Human BST1 aa 1-300.

View Alternative Names

CD157, ADP-ribosyl cyclase/cyclic ADP-ribose hydrolase 2, ADP-ribosyl cyclase 2, Bone marrow stromal cell antigen 1, Cyclic ADP-ribose hydrolase 2, BST-1, cADPR hydrolase 2, BST1

2 Images
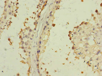
Immunohistochemistry (Formalin/PFA-fixed paraffin-embedded sections) - Anti-Bone marrow stromal cell antigen 1 antibody (AB235786)
  • IHC-P

Supplier Data

Immunohistochemistry (Formalin/PFA-fixed paraffin-embedded sections) - Anti-Bone marrow stromal cell antigen 1 antibody (AB235786)

Paraffin-embedded human testis tissue stained for Bone marrow stromal cell antigen 1 using ab235786 at 1/100 dilution in immunohistochemical analysis.

Western blot - Anti-Bone marrow stromal cell antigen 1 antibody (AB235786)
  • WB

Supplier Data

Western blot - Anti-Bone marrow stromal cell antigen 1 antibody (AB235786)

All lanes : ab235786 antibody at 1.47μg/ml + Mouse lung tissue lysate.

Secondary Goat polyclonal to rabbit IgG at 1/10000 dilution.

Predicted band size : 36, 30 kDa.
Observed band size : 36 kDa.

All lanes:

Western blot - Anti-Bone marrow stromal cell antigen 1 antibody (ab235786)

Predicted band size: 36 kDa

false

Key facts

Host species

Rabbit

Clonality

Polyclonal

Isotype

IgG

Carrier free

No

Reacts with

Human, Mouse

Applications

WB, IHC-P

applications

Immunogen

Recombinant Fragment Protein within Human BST1 aa 1-300. The exact immunogen used to generate this antibody is proprietary information.

Q10588

Reactivity data

{ "title": "Reactivity Data", "filters": { "stats": ["", "Species", "Dilution Info", "Notes"], "tabs": { "all-applications": {"fullname" : "All Applications", "shortname": "All Applications"}, "WB" : {"fullname" : "Western blot", "shortname":"WB"}, "IHCP" : {"fullname" : "Immunohistochemistry (Formalin/PFA-fixed paraffin-embedded sections)", "shortname":"IHC-P"} }, "product-promise": { "all": "all", "testedAndGuaranteed": "tested", "guaranteed": "expected", "predicted": "predicted", "notRecommended": "not-recommended" } }, "values": { "Human": { "WB-species-checked": "guaranteed", "WB-species-dilution-info": "", "WB-species-notes": "", "IHCP-species-checked": "testedAndGuaranteed", "IHCP-species-dilution-info": "1/20 - 1/200", "IHCP-species-notes": "<p></p>" }, "Mouse": { "WB-species-checked": "testedAndGuaranteed", "WB-species-dilution-info": "", "WB-species-notes": "<p></p>", "IHCP-species-checked": "guaranteed", "IHCP-species-dilution-info": "", "IHCP-species-notes": "" } } }

Properties and storage information

Form
Liquid
Purification technique
Affinity purification Immunogen
Storage buffer
pH: 7.3 Preservative: 0.02% Sodium azide Constituents: PBS, 50% Glycerol (glycerin, glycerine)
Shipped at conditions
Blue Ice
Appropriate short-term storage duration
1-2 weeks
Appropriate short-term storage conditions
+4°C
Appropriate long-term storage conditions
-20°C
Aliquoting information
Upon delivery aliquot
Storage information
Avoid freeze / thaw cycle

Supplementary information

This supplementary information is collated from multiple sources and compiled automatically.

Bone marrow stromal cell antigen 1 (BST-1) also known as CD157 is a glycosylphosphatidylinositol-anchored protein with a molecular weight of approximately 38-42 kDa. You find BST-1 expression on the surface of various cell types especially within bone marrow stromal cells and cells of the immune system such as monocytes and macrophages. This protein functions as an ecto-enzyme with ADP-ribosyl cyclase activity and is part of the NADase enzyme family. Its mechanical role involves metabolizing extracellular NAD+ influencing cellular calcium signaling and energy metabolism.
Biological function summary

BST-1 contributes to the regulation of cellular interactions and immune responses. It participates in the organization of leukocyte trafficking and the formation of signal transduction cascades. BST-1 operates as a single protein but interacts with other membrane proteins to coordinate cellular communication. You can observe its function in processes like cell adhesion and migration impacting the immune surveillance and response systems.

Pathways

BST-1 plays a role in immune signaling and calcium-signaling pathways. In the immune system pathway it associates with molecules such as integrins to modulate leukocyte adhesion and transmigration. The calcium-signaling pathway is another key area where BST-1 interacts with intracellular proteins influencing various cellular targets and affecting metabolic processes critical for cell survival and proliferation.

Scientists have linked BST-1 to various conditions such as leukemia and chronic inflammation. Its expression levels often change in these diseases emphasizing its potential role in their progression. Researchers also explore the connection between BST-1 and other proteins like CD38 in the context of leukemia where both proteins might participate in cancer cell proliferation and survival. Understanding BST-1 in disease contexts provides insights into disease mechanisms and potential therapeutic strategies.

Product protocols

For this product, it's our understanding that no specific protocols are required. You can visit:

Target data

Catalyzes both the synthesis of cyclic ADP-beta-D-ribose (cADPR) from NAD(+), and its hydrolysis to ADP-D-ribose (ADPR) (PubMed : 7805847). Cyclic ADPR is known to serve as an endogenous second messenger that elicits calcium release from intracellular stores, and thus regulates the mobilization of intracellular calcium (Probable). May be involved in pre-B-cell growth (Probable).
See full target information BST1

Publications (1)

Recent publications for all applications. Explore the full list and refine your search

OncoTargets and therapy 14:3721-3728 PubMed34140780

2021

G9a Regulates Cell Sensitivity to Radiotherapy via Histone H3 Lysine 9 Trimethylation and CCDC8 in Lung Cancer.

Applications

Unspecified application

Species

Unspecified reactive species

Yunfen Li,Zhengting Chen,Ke Cao,Lan Zhang,Yuhui Ma,Shuhui Yu,Hanyu Jin,Xiaoling Liu,Wenhui Li
View all publications

Product promise

We are committed to supporting your work with high-quality reagents, and we're here for you every step of the way. In the unlikely event that one of our products does not perform as expected, you're protected by our Product Promise.
For full details, please see our Terms & Conditions

Please note: All products are 'FOR RESEARCH USE ONLY. NOT FOR USE IN DIAGNOSTIC OR THERAPEUTIC PROCEDURES'.

For licensing inquiries, please contact partnerships@abcam.com