JavaScript is disabled in your browser. Please enable JavaScript to view this website.
AB269929

Anti-BORIS antibody [EP12204] - BSA and Azide free

Be the first to review this product! Submit a review

|

(0 Publication)

Rabbit Recombinant Monoclonal BORIS antibody. Carrier free. Suitable for IHC-P and reacts with Mouse, Rat, Human samples.

View Alternative Names

BORIS, CTCFL, Transcriptional repressor CTCFL, Brother of the regulator of imprinted sites, CCCTC-binding factor, CTCF paralog, CTCF-like protein, Cancer/testis antigen 27, Zinc finger protein CTCF-T, CT27

3 Images
Immunohistochemistry (Formalin/PFA-fixed paraffin-embedded sections) - Anti-BORIS antibody [EP12204] - BSA and Azide free (AB269929)
  • IHC-P

Supplier Data

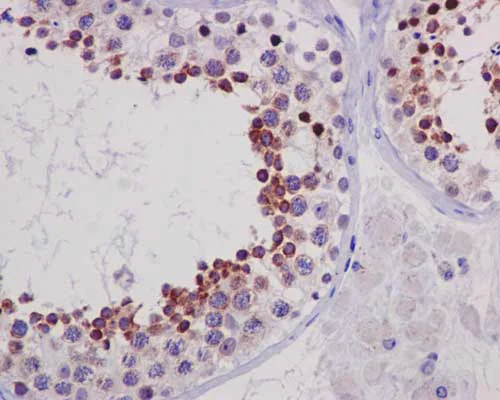
Immunohistochemistry (Formalin/PFA-fixed paraffin-embedded sections) - Anti-BORIS antibody [EP12204] - BSA and Azide free (AB269929)

Immunohistochemical analysis of paraffin-embedded mouse testis tissue labeling BORIS with ab187163 at 1/1000 dilution, followed by prediluted HRP Polymer for Rabbit IgG. Counterstained with hematoxylin.

Perform heat mediated antigen retrieval with EDTA buffer pH 9 before commencing with IHC staining protocol.

This data was developed using the same antibody clone in a different buffer formulation containing PBS, BSA, glycerol, and sodium azide (ab187163).

Immunohistochemistry (Formalin/PFA-fixed paraffin-embedded sections) - Anti-BORIS antibody [EP12204] - BSA and Azide free (AB269929)
  • IHC-P

Supplier Data

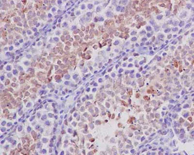
Immunohistochemistry (Formalin/PFA-fixed paraffin-embedded sections) - Anti-BORIS antibody [EP12204] - BSA and Azide free (AB269929)

Immunohistochemical analysis of paraffin-embedded rat testis tissue labeling BORIS with ab187163 at 1/1000 dilution, followed by prediluted HRP Polymer for Rabbit IgG. Counterstained with hematoxylin.

Perform heat mediated antigen retrieval with EDTA buffer pH 9 before commencing with IHC staining protocol.

This data was developed using the same antibody clone in a different buffer formulation containing PBS, BSA, glycerol, and sodium azide (ab187163).

Immunohistochemistry (Formalin/PFA-fixed paraffin-embedded sections) - Anti-BORIS antibody [EP12204] - BSA and Azide free (AB269929)
  • IHC-P

Supplier Data

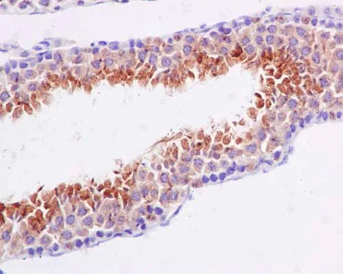
Immunohistochemistry (Formalin/PFA-fixed paraffin-embedded sections) - Anti-BORIS antibody [EP12204] - BSA and Azide free (AB269929)

Immunohistochemical analysis of paraffin-embedded human testis tissue labeling BORIS with ab187163 at 1/1000 dilution, followed by prediluted HRP Polymer for Rabbit IgG. Counterstained with hematoxylin.

Perform heat mediated antigen retrieval with EDTA buffer pH 9 before commencing with IHC staining protocol.

This data was developed using the same antibody clone in a different buffer formulation containing PBS, BSA, glycerol, and sodium azide (ab187163).

Key facts

Host species

Rabbit

Clonality

Monoclonal

Clone number

EP12204

Isotype

IgG

Carrier free

Yes

Reacts with

Mouse, Rat, Human

Applications

IHC-P

applications

Immunogen

The exact immunogen used to generate this antibody is proprietary information.

Specificity

We don't recommend WB application for this antibody as it detects extra bands.

Reactivity data

{ "title": "Reactivity Data", "filters": { "stats": ["", "Species", "Dilution Info", "Notes"], "tabs": { "all-applications": {"fullname" : "All Applications", "shortname": "All Applications"}, "IHCP" : {"fullname" : "Immunohistochemistry (Formalin/PFA-fixed paraffin-embedded sections)", "shortname":"IHC-P"} }, "product-promise": { "all": "all", "testedAndGuaranteed": "tested", "guaranteed": "expected", "predicted": "predicted", "notRecommended": "not-recommended" } }, "values": { "Human": { "IHCP-species-checked": "testedAndGuaranteed", "IHCP-species-dilution-info": "1/1000", "IHCP-species-notes": "<p></p> Perform heat-mediated antigen retrieval with Tris/EDTA buffer pH 9.0 before commencing with IHC staining protocol." }, "Mouse": { "IHCP-species-checked": "testedAndGuaranteed", "IHCP-species-dilution-info": "1/1000", "IHCP-species-notes": "<p></p> Perform heat-mediated antigen retrieval with Tris/EDTA buffer pH 9.0 before commencing with IHC staining protocol." }, "Rat": { "IHCP-species-checked": "testedAndGuaranteed", "IHCP-species-dilution-info": "1/1000", "IHCP-species-notes": "<p></p> Perform heat-mediated antigen retrieval with Tris/EDTA buffer pH 9.0 before commencing with IHC staining protocol." } } }

Product details

ab269929 is the carrier-free version of ab187163.

Patented technology
Our RabMAb® technology is a patented hybridoma-based technology for making rabbit monoclonal antibodies. For details on our patents, please refer to RabMAb® patents.

What are the advantages of a recombinant monoclonal antibody?
This product is a recombinant monoclonal antibody, which offers several advantages including:

  • - High batch-to-batch consistency and reproducibility
  • - Improved sensitivity and specificity
  • - Long-term security of supply
  • - Animal-free batch production

For more information, read more on recombinant antibodies.

Conjugation ready
Our carrier-free antibodies are typically supplied in a PBS-only formulation, purified and free of BSA, sodium azide and glycerol. This conjugation-ready format is designed for use with fluorochromes, metal isotopes, oligonucleotides, and enzymes, which makes them ideal for antibody labelling, functional and cell-based assays, flow-based assays (e.g. mass cytometry) and Multiplex Imaging applications.

Use our conjugation kits for antibody conjugates that are ready-to-use in as little as 20 minutes with 1 minute hands-on-time and 100% antibody recovery: available for fluorescent dyes, HRP, biotin and gold.

Compatibility
This product is compatible with the Maxpar® Antibody Labeling Kit from Fluidigm, without the need for antibody preparation. Maxpar® is a trademark of Fluidigm Canada Inc.

Properties and storage information

Form
Liquid
Purification technique
Affinity purification Protein A
Storage buffer
pH: 7.2 - 7.4 Constituents: PBS
Shipped at conditions
Blue Ice
Appropriate short-term storage conditions
+4°C
Appropriate long-term storage conditions
+4°C
Storage information
Do Not Freeze

Product protocols

For this product, it's our understanding that no specific protocols are required. You can visit:

Target data

Testis-specific DNA binding protein responsible for insulator function, nuclear architecture and transcriptional control, which probably acts by recruiting epigenetic chromatin modifiers. Plays a key role in gene imprinting in male germline, by participating in the establishment of differential methylation at the IGF2/H19 imprinted control region (ICR). Directly binds the unmethylated H19 ICR and recruits the PRMT7 methyltransferase, leading to methylate histone H4 'Arg-3' to form H4R3sme2. This probably leads to recruit de novo DNA methyltransferases at these sites (By similarity). Seems to act as tumor suppressor. In association with DNMT1 and DNMT3B, involved in activation of BAG1 gene expression by binding to its promoter. Required for dimethylation of H3 lysine 4 (H3K4me2) of MYC and BRCA1 promoters.
See full target information CTCFL

Product promise

We are committed to supporting your work with high-quality reagents, and we're here for you every step of the way. In the unlikely event that one of our products does not perform as expected, you're protected by our Product Promise.
For full details, please see our Terms & Conditions

Please note: All products are 'FOR RESEARCH USE ONLY. NOT FOR USE IN DIAGNOSTIC OR THERAPEUTIC PROCEDURES'.

For licensing inquiries, please contact partnerships@abcam.com