JavaScript is disabled in your browser. Please enable JavaScript to view this website.
AB324596

Anti-BOTOX antibody [EPR28067-534]

Be the first to review this product! Submit a review

|

(0 Publication)

Rabbit Recombinant Monoclonal BXA1 antibody. Suitable for WB, I-ELISA and reacts with Transfected cell lysate, Recombinant fragment samples.

View Alternative Names

atx, bonT, botA, Botulinum neurotoxin type A, BoNT/A, Bontoxilysin-A, Botulinum neurotoxin type A1, BOTOX

2 Images
Indirect ELISA - Anti-BOTOX antibody [EPR28067-534] (AB324596)
  • I-ELISA

Supplier Data

Indirect ELISA - Anti-BOTOX antibody [EPR28067-534] (AB324596)

Indirect ELISA analysis of ab324596 at 1000-0 ng/ml. The Secondary antibody used was Alkaline Phosphatase-conjugated AffiniPure Goat Anti-Rabbit IgG (H+L) at 1 : 2500 dilution dilution.

Antigen : His-tagged BOTOX fragment.

Antigen concentration : 1000 ng/ml

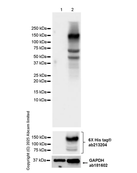
Western blot - Anti-BOTOX antibody [EPR28067-534] (AB324596)
  • WB

Supplier Data

Western blot - Anti-BOTOX antibody [EPR28067-534] (AB324596)

Blocking and diluting buffer and concentration : 5% NFDM/TBST.

The identity of the lower MW bands at approximately 75 kDa and 50 kDa are unknown.

The antibody recognise the full length of the Botulinum neurotoxin A.

In Western blot, Anti-6X His tag® antibody [EPR20547] - ChIP Grade (ab213204) staining at 1/5000 dilution.

All lanes:

Western blot - Anti-BOTOX antibody [EPR28067-534] (ab324596) at 1/1000 dilution

Lane 1:

293T cells transfected with an empty vector containing a His-tag, whole cell lysate at 20 µg

Lane 2:

293T cells transfected with a BOTOX expression vector containing a His-tag, whole cell lysate at 20 µg

Secondary

All lanes:

Western blot - Goat Anti-Rabbit IgG H&L (HRP) (<a href='/en-us/products/secondary-antibodies/goat-rabbit-igg-h-l-hrp-ab97051'>ab97051</a>) at 1/100000 dilution

Observed band size: 150 kDa,36 kDa

false

Exposure time: 6s

Key facts

Host species

Rabbit

Clonality

Monoclonal

Clone number

EPR28067-534

Isotype

IgG

Carrier free

No

Applications

WB, I-ELISA

applications

Immunogen

The exact immunogen used to generate this antibody is proprietary information.

Specificity

The immunogen is targeting the light chain of Botulinum neurotoxin A.

Reactivity data

{ "title": "Reactivity Data", "filters": { "stats": ["", "Species", "Dilution Info", "Notes"], "tabs": { "all-applications": {"fullname" : "All Applications", "shortname": "All Applications"}, "WB" : {"fullname" : "Western blot", "shortname":"WB"}, "IELISA" : {"fullname" : "Indirect ELISA", "shortname":"I-ELISA"} }, "product-promise": { "all": "all", "testedAndGuaranteed": "tested", "guaranteed": "expected", "predicted": "predicted", "notRecommended": "not-recommended" } }, "values": { "Recombinant fragment": { "WB-species-checked": "notRecommended", "WB-species-dilution-info": "", "WB-species-notes": "", "IELISA-species-checked": "testedAndGuaranteed", "IELISA-species-dilution-info": "31.25 ng/mL", "IELISA-species-notes": "<p></p>" }, "Transfected cell lysate": { "WB-species-checked": "testedAndGuaranteed", "WB-species-dilution-info": "1/1000", "WB-species-notes": "<p></p>", "IELISA-species-checked": "notRecommended", "IELISA-species-dilution-info": "", "IELISA-species-notes": "" } } }

Product details

Patented technology
Our RabMAb® technology is a patented hybridoma-based technology for making rabbit monoclonal antibodies. For details on our patents, please refer to RabMAb® patents.

What are the advantages of a recombinant monoclonal antibody?
This product is a recombinant monoclonal antibody, which offers several advantages including:

  • - High batch-to-batch consistency and reproducibility
  • - Improved sensitivity and specificity
  • - Long-term security of supply
  • - Animal-free batch production

For more information, read more on recombinant antibodies.

Properties and storage information

Form
Liquid
Purification technique
Affinity purification Protein A
Storage buffer
pH: 7.2 - 7.4 Preservative: 0.01% Sodium azide Constituents: PBS, 40% Glycerol (glycerin, glycerine), 0.05% BSA
Shipped at conditions
Blue Ice
Appropriate short-term storage duration
1-2 weeks
Appropriate short-term storage conditions
+4°C
Appropriate long-term storage conditions
-20°C
Aliquoting information
Upon delivery aliquot
Storage information
Avoid freeze / thaw cycle

Product protocols

For this product, it's our understanding that no specific protocols are required. You can visit:

Target data

Botulinum neurotoxin type A. Botulinum toxin causes flaccid paralysis by inhibiting neurotransmitter (acetylcholine) release from the presynaptic membranes of nerve terminals of the eukaryotic host skeletal and autonomic nervous system, with frequent heart or respiratory failure (PubMed : 15394302, PubMed : 7578132). Precursor of botulinum neurotoxin A which has 2 coreceptors; complex polysialylated gangliosides found on neural tissue and specific membrane-anchored proteins of synaptic vesicles. Receptor proteins are exposed on host presynaptic cell membrane during neurotransmitter release, when the toxin heavy chain (HC) binds to them. Upon synaptic vesicle recycling the toxin is taken up via the endocytic pathway. When the pH of the toxin-containing endosome drops a structural rearrangement occurs so that the N-terminus of the HC forms pores that allows the light chain (LC) to translocate into the cytosol (PubMed : 17666397, PubMed : 19096517). Once in the cytosol the disulfide bond linking the 2 subunits is reduced and LC cleaves its target protein on synaptic vesicles, preventing their fusion with the cytoplasmic membrane and thus neurotransmitter release. Toxin activity requires polysialylated gangliosides; GT1b supports activity better than GD1a (PubMed : 12089155). Binds to host peripheral neuronal presynaptic membranes via the synaptic vesicle glycoproteins SV2A, SV2B and SV2C (PubMed : 16543415). It binds directly to the largest lumenal (intravesicular) loop of SV2A, SV2B and SV2C that is transiently exposed outside of cells during exocytosis; gangliosides enhance binding (PubMed : 16543415, PubMed : 16545378, PubMed : 18815274). Recognizes an N-linked glycan on SV2 proteins (PubMed : 18815274, PubMed : 27294781). May also use FGFR3 as a receptor (PubMed : 23696738). Toxin uptake into neural cells requires stimulation (incubation with K(+) to stimulate receptor exposure) to be internalized by receptor-mediated endocytosis (PubMed : 16543415, PubMed : 19650874, PubMed : 21632541, PubMed : 21832053). Subsequently the toxin colocalizes with its receptor in host cells (PubMed : 16543415, PubMed : 19650874). Toxin uptake can be blocked by the appropriate SV2 protein fragments in cell culture (PubMed : 16543415).. Botulinum neurotoxin A light chain. Has proteolytic activity (PubMed : 7578132). After translocation into the eukaryotic host cytosol LC hydrolyzes the '197-Gln-|-Arg-198' bond in SNAP25, blocking neurotransmitter release (PubMed : 10694409, PubMed : 11700044, PubMed : 11827515, PubMed : 19351593, PubMed : 7578132, PubMed : 8243676, PubMed : 9886085). Recognizes the '146-Met--Gly-155' region of SNAP25, which confers substrate specificity (PubMed : 15592454, PubMed : 9886085). Hydrolyzes the '202-Thr-|-Arg-203' bond of mouse SNAP23, but not in human which has a different sequence (PubMed : 9886085). Reduction of the interchain disulfide bond occurs in the host cytosol and probably prevents retrotranslocation into the synaptic vesicle (PubMed : 17666397). Has slow (occurs over 4 weeks) autocatalytic cleavage, however it is not clear if this is physiologically relevant (PubMed : 11565902).. Botulinum neurotoxin A heavy chain. Responsible for host epithelial cell transcytosis, host nerve cell targeting and translocation of botulinum neurotoxin A light chain (LC) into host cytosol. Composed of 3 subdomains; the translocation domain (TD), and N-terminus and C-terminus of the receptor-binding domain (RBD) (PubMed : 19096517). The RBD is responsible for binding to host epithelial cells and transcytosis across them; this uses different receptors than those on nerve cells (PubMed : 21106906). RBD is also responsible for adherence of toxin to host nerve cell surface; HC alone prevents uptake of whole toxin by neural cells, and delays paralysis onset by 75% (PubMed : 10413679, PubMed : 6694738). Isolated RBD also delays paralysis onset (PubMed : 21106906). The N-terminus of the RBD binds to phosphatidylinositol, which might play a role in membrane-binding (PubMed : 19161982). Binds to host protein receptor synaptic vesicle glycoproteins SV2A, SV2B and SV2C via lumenal loop 4 (PubMed : 16545378, PubMed : 19650874, PubMed : 24240280, PubMed : 27294781, PubMed : 27313224, PubMed : 6370252). Binding can be inhibited by protein fragments from either the HC or SV2C (PubMed : 24240280). Isolated HC significantly decreases uptake and toxicity of whole BoNT/A, but also interferes with uptake of BoNT/E and to a lesser extent BoNT/F (PubMed : 19650874). The RBD recognizes the N-linked glycan on 'Asn-559' of SV2A, SV2B and SV2C; hydrogen-bonding occurs via 10 well-defined water molecules and stacking of hydrophobic residues (PubMed : 27294781). Binds one host GT1b ganglioside, which serves as a coreceptor (PubMed : 14731268, PubMed : 18704164, PubMed : 27958736). Modeling shows the HC can bind both coreceptors (a ganglioside and SV2 protein) simultaneously at different sites (PubMed : 24240280). Crystals of the RBD with a GT1b analog can be grown at pH 5.5, indicating the toxin-ganglioside complex could be stable within the endosome (PubMed : 18704164). Isolated RBD binds NTNHA (a bacterial protein that protects toxin) with high affinity at pH 6.0 but not at pH 7.5 (PubMed : 22363010). The N-terminal belt (residues 449-545) wraps around the perimeter of the LC, probably protecting Zn(2+) in the active site; it is not required for channel formation by the TD domain but may serve to prevent premature LC dissociation from the translocation channel and to protect toxin prior to translocation (PubMed : 17907800, PubMed : 19351593, PubMed : 22158863). The isolated TD forms transmembrane channels of about 15 Angstroms in the absence of a pH gradient; LC translocation requires a pH and redox gradient (pH 5.0/oxidizing in the cis compartment, pH 7.0/reducing in the trans compartment), LC does not unfold unless the cis pH is 6.0 or less (PubMed : 17666397, PubMed : 19096517, PubMed : 2446925). Pores are presumably made by 1-2 toxin molecules (PubMed : 23471747). While interaction with the RBD modulates the pH threshold for membrane insertion, the RBD is not essential for toxin degradation of SNAP25 in neural cells (PubMed : 19096517).
See full target information botA

Product promise

We are committed to supporting your work with high-quality reagents, and we're here for you every step of the way. In the unlikely event that one of our products does not perform as expected, you're protected by our Product Promise.
For full details, please see our Terms & Conditions

Please note: All products are 'FOR RESEARCH USE ONLY. NOT FOR USE IN DIAGNOSTIC OR THERAPEUTIC PROCEDURES'.

For licensing inquiries, please contact partnerships@abcam.com