JavaScript is disabled in your browser. Please enable JavaScript to view this website.
AB219098

Anti-BPIFB1 antibody [2A5]

Be the first to review this product! Submit a review

|

(4 Publications)

Mouse Monoclonal BPIFB1 antibody. Suitable for WB, IHC-P, ICC/IF and reacts with Recombinant full length protein - Human, Human samples. Cited in 4 publications. Immunogen corresponding to Recombinant Fragment Protein within Human BPIFB1.

View Alternative Names

C20orf114, LPLUNC1, UNQ706/PRO1357, BPIFB1, BPI fold-containing family B member 1, von Ebner minor salivary gland protein, VEMSGP

3 Images
Immunocytochemistry/ Immunofluorescence - Anti-BPIFB1 antibody [2A5] (AB219098)
  • ICC/IF

Supplier Data

Immunocytochemistry/ Immunofluorescence - Anti-BPIFB1 antibody [2A5] (AB219098)

Immunocytochemistry/ Immunofluorescence analysis of HeLa cells labeling BPIFB1 (green) with ab219098 at a 1/1000 dilution. Blue : DRAQ5 fluorescent DNA dye. Red : Actin filaments have been labeled with Alexa Fluor-555 phalloidin.

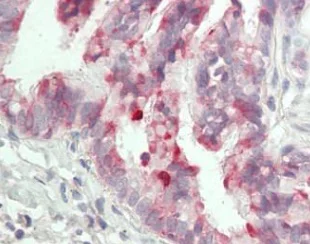
Immunohistochemistry (Formalin/PFA-fixed paraffin-embedded sections) - Anti-BPIFB1 antibody [2A5] (AB219098)
  • IHC-P

Supplier Data

Immunohistochemistry (Formalin/PFA-fixed paraffin-embedded sections) - Anti-BPIFB1 antibody [2A5] (AB219098)

Immunohistochemical analysis of formalin-fixed paraffin-embedded human lung tissue (respiratory epithelium) sections labeling BPIFB1 with ab219098 at 10 μg/mL.

Western blot - Anti-BPIFB1 antibody [2A5] (AB219098)
  • WB

Supplier Data

Western blot - Anti-BPIFB1 antibody [2A5] (AB219098)

All lanes:

Western blot - Anti-BPIFB1 antibody [2A5] (ab219098) at 1/500 dilution

All lanes:

Recombinant BPIFB1

Predicted band size: 52 kDa

false

Key facts

Host species

Mouse

Clonality

Monoclonal

Clone number

2A5

Isotype

IgG1

Carrier free

No

Reacts with

Human

Applications

IHC-P, ICC/IF, WB

applications

Immunogen

Recombinant Fragment Protein within Human BPIFB1. The exact immunogen used to generate this antibody is proprietary information.

Q8TDL5

Reactivity data

{ "title": "Reactivity Data", "filters": { "stats": ["", "Species", "Dilution Info", "Notes"], "tabs": { "all-applications": {"fullname" : "All Applications", "shortname": "All Applications"}, "WB" : {"fullname" : "Western blot", "shortname":"WB"}, "IHCP" : {"fullname" : "Immunohistochemistry (Formalin/PFA-fixed paraffin-embedded sections)", "shortname":"IHC-P"}, "ICCIF" : {"fullname" : "Immunocytochemistry/ Immunofluorescence", "shortname":"ICC/IF"} }, "product-promise": { "all": "all", "testedAndGuaranteed": "tested", "guaranteed": "expected", "predicted": "predicted", "notRecommended": "not-recommended" } }, "values": { "Human": { "WB-species-checked": "guaranteed", "WB-species-dilution-info": "", "WB-species-notes": "", "IHCP-species-checked": "testedAndGuaranteed", "IHCP-species-dilution-info": "10 µg/mL", "IHCP-species-notes": "<p></p>", "ICCIF-species-checked": "testedAndGuaranteed", "ICCIF-species-dilution-info": "1/1000", "ICCIF-species-notes": "<p></p>" }, "Recombinant full length protein - Human": { "WB-species-checked": "testedAndGuaranteed", "WB-species-dilution-info": "1/500 - 1/2000", "WB-species-notes": "<p></p>", "IHCP-species-checked": "notRecommended", "IHCP-species-dilution-info": "", "IHCP-species-notes": "", "ICCIF-species-checked": "notRecommended", "ICCIF-species-dilution-info": "", "ICCIF-species-notes": "" } } }

Properties and storage information

Form
Liquid
Purification technique
Affinity purification Protein G
Storage buffer
Preservative: 0.05% Sodium azide Constituents: PBS
Shipped at conditions
Blue Ice
Appropriate short-term storage duration
1-2 weeks
Appropriate short-term storage conditions
+4°C
Appropriate long-term storage conditions
-20°C
Aliquoting information
Upon delivery aliquot
Storage information
Avoid freeze / thaw cycle

Product protocols

For this product, it's our understanding that no specific protocols are required. You can visit:

Target data

May play a role in innate immunity in mouth, nose and lungs. Binds bacterial lipopolysaccharide (LPS) and modulates the cellular responses to LPS.
See full target information BPIFB1

Publications (4)

Recent publications for all applications. Explore the full list and refine your search

Journal of thoracic disease 16:6955-6968 PubMed39552876

2024

CLCA1 and BPIFB1 are potential novel biomarkers for asthma: an iTRAQ analysis.

Applications

Unspecified application

Species

Unspecified reactive species

Tianci Chai,Yinji Liu,Yuwei Zeng,Sung-Yoon Kang,Jie Li

Cardiovascular research 120:2208-2219 PubMed39259837

2024

Cardiac automaticity is modulated by IKACh in sinoatrial node during pregnancy.

Applications

Unspecified application

Species

Unspecified reactive species

Valérie Long,Gracia El Gebeily,Élisabeth Leblanc,Marwa Senhadji,Céline Fiset

Respiratory research 24:99 PubMed37005656

2023

Morphologically intact airways in lung fibrosis have an abnormal proteome.

Applications

Unspecified application

Species

Unspecified reactive species

Jeremy A Herrera,Lewis A Dingle,M Angeles Monetero,Rajamiyer V Venkateswaran,John F Blaikley,Felice Granato,Stella Pearson,Craig Lawless,David J Thornton

Cancer science 114:870-884 PubMed36382614

2022

LPLUNC1 reduces glycolysis in nasopharyngeal carcinoma cells through the PHB1-p53/c-Myc axis.

Applications

Unspecified application

Species

Unspecified reactive species

Linda Oyang,Lei Ouyang,Lixia Yang,Jinguan Lin,Longzheng Xia,Shiming Tan,Nayiyuan Wu,Yaqian Han,Yiqing Yang,Jian Li,Xiaohui Chen,Yanyan Tang,Min Su,Xia Luo,Jinyun Li,Wei Xiong,Zhaoyang Zeng,Qianjin Liao,Yujuan Zhou
View all publications

Product promise

We are committed to supporting your work with high-quality reagents, and we're here for you every step of the way. In the unlikely event that one of our products does not perform as expected, you're protected by our Product Promise.
For full details, please see our Terms & Conditions

Please note: All products are 'FOR RESEARCH USE ONLY. NOT FOR USE IN DIAGNOSTIC OR THERAPEUTIC PROCEDURES'.

For licensing inquiries, please contact partnerships@abcam.com