JavaScript is disabled in your browser. Please enable JavaScript to view this website.
AB72036

Anti-BPTF / FALZ antibody

Be the first to review this product! Submit a review

|

(10 Publications)

Rabbit Polyclonal BPTF / FALZ antibody. Suitable for IP, WB, IHC-P and reacts with Human samples. Cited in 10 publications.

View Alternative Names

FAC1, FALZ, BPTF, Nucleosome-remodeling factor subunit BPTF, Bromodomain and PHD finger-containing transcription factor, Fetal Alz-50 clone 1 protein, Fetal Alzheimer antigen

3 Images
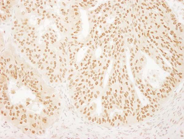
Immunohistochemistry (Formalin/PFA-fixed paraffin-embedded sections) - Anti-BPTF / FALZ antibody (AB72036)
  • IHC-P

Unknown

Immunohistochemistry (Formalin/PFA-fixed paraffin-embedded sections) - Anti-BPTF / FALZ antibody (AB72036)

Immunohistochemistry (Formalin/PFA-fixed paraffin-embedded sections) analysis of human ovarian carcinoma tissue labelling BPTF / FALZ with ab72036 at 1/200 (1µg/ml). Detection : DAB.

Immunoprecipitation - Anti-BPTF / FALZ antibody (AB72036)
  • IP

Unknown

Immunoprecipitation - Anti-BPTF / FALZ antibody (AB72036)

Immunoprecipitation/ Western Blot of FALZ / BPTF.
Lane 1 : ab72036 at 3μg/mg whole cell lysate for IP, and 0.1 μg/ml for subsequent WB.
Lane 2 : Control IgG.

Whole cell lysate from Hela cells at 1mg for IP, 20% of IP loaded.
Detection : Chemiluminescence with an exposure time of 1 second.

All lanes:

Immunoprecipitation - Anti-BPTF / FALZ antibody (ab72036)

Predicted band size: 338 kDa

false

Western blot - Anti-BPTF / FALZ antibody (AB72036)
  • WB

Unknown

Western blot - Anti-BPTF / FALZ antibody (AB72036)

Various other bands are detected from 117 to 460 kDa.

All lanes:

Western blot - Anti-BPTF / FALZ antibody (ab72036) at 0.04 µg/mL

Lane 1:

Whole cell lysate from Hela cells. at 50 µg

Lane 2:

Whole cell lysate from Hela cells. at 15 µg

Lane 3:

Whole cell lysate from Hela cells. at 5 µg

Predicted band size: 338 kDa

Observed band size: 324 kDa

false

Key facts

Host species

Rabbit

Clonality

Polyclonal

Isotype

IgG

Carrier free

No

Reacts with

Human

Applications

WB, IHC-P, IP

applications

Immunogen

The exact immunogen used to generate this antibody is proprietary information.

Reactivity data

{ "title": "Reactivity Data", "filters": { "stats": ["", "Species", "Dilution Info", "Notes"], "tabs": { "all-applications": {"fullname" : "All Applications", "shortname": "All Applications"}, "IP" : {"fullname" : "Immunoprecipitation", "shortname":"IP"}, "WB" : {"fullname" : "Western blot", "shortname":"WB"}, "IHCP" : {"fullname" : "Immunohistochemistry (Formalin/PFA-fixed paraffin-embedded sections)", "shortname":"IHC-P"} }, "product-promise": { "all": "all", "testedAndGuaranteed": "tested", "guaranteed": "expected", "predicted": "predicted", "notRecommended": "not-recommended" } }, "values": { "Human": { "IP-species-checked": "testedAndGuaranteed", "IP-species-dilution-info": "2-5 µg/mg of lysate", "IP-species-notes": "<p></p>", "WB-species-checked": "testedAndGuaranteed", "WB-species-dilution-info": "1/2000 - 1/10000", "WB-species-notes": "<p>Several other bands.</p>", "IHCP-species-checked": "testedAndGuaranteed", "IHCP-species-dilution-info": "1/100 - 1/500", "IHCP-species-notes": "<p></p>" }, "Chimpanzee": { "IP-species-checked": "predicted", "IP-species-dilution-info": "", "IP-species-notes": "", "WB-species-checked": "predicted", "WB-species-dilution-info": "", "WB-species-notes": "", "IHCP-species-checked": "predicted", "IHCP-species-dilution-info": "", "IHCP-species-notes": "" }, "Orangutan": { "IP-species-checked": "predicted", "IP-species-dilution-info": "", "IP-species-notes": "", "WB-species-checked": "predicted", "WB-species-dilution-info": "", "WB-species-notes": "", "IHCP-species-checked": "predicted", "IHCP-species-dilution-info": "", "IHCP-species-notes": "" } } }

Properties and storage information

Form
Liquid
Purification technique
Affinity purification Immunogen
Storage buffer
pH: 6.8 - 7.4 Preservative: 0.09% Sodium azide Constituents: Tris buffered saline, 0.1% BSA
Shipped at conditions
Blue Ice
Appropriate short-term storage conditions
+4°C
Appropriate long-term storage conditions
-20°C
Aliquoting information
Upon delivery aliquot
Storage information
Avoid freeze / thaw cycle

Product protocols

For this product, it's our understanding that no specific protocols are required. You can visit:

Target data

Regulatory subunit of the ATP-dependent NURF-1 and NURF-5 ISWI chromatin remodeling complexes, which form ordered nucleosome arrays on chromatin and facilitate access to DNA during DNA-templated processes such as DNA replication, transcription, and repair (PubMed : 14609955, PubMed : 28801535). The NURF-1 ISWI chromatin remodeling complex has a lower ATP hydrolysis rate than the NURF-5 ISWI chromatin remodeling complex (PubMed : 28801535). Within the NURF-1 ISWI chromatin-remodeling complex, binds to the promoters of En1 and En2 to positively regulate their expression and promote brain development (PubMed : 14609955). Histone-binding protein which binds to H3 tails trimethylated on 'Lys-4' (H3K4me3), which mark transcription start sites of active genes (PubMed : 16728976, PubMed : 16728978). Binds to histone H3 tails dimethylated on 'Lys-4' (H3K4Me2) to a lesser extent (PubMed : 16728976, PubMed : 16728978, PubMed : 18042461). May also regulate transcription through direct binding to DNA or transcription factors (PubMed : 10575013).
See full target information BPTF

Publications (10)

Recent publications for all applications. Explore the full list and refine your search

Biomolecules 14: PubMed39062456

2024

Lumbrokinase Extracted from Synergizes with Bevacizumab and Chemotherapeutics in Treating Non-Small Cell Lung Cancer by Targeted Inactivation of BPTF/VEGF and NF-κB/COX-2 Signaling.

Applications

Unspecified application

Species

Unspecified reactive species

Chunyu Hua,Ziyue Guo,Meng Dai,Jie Zhou,Hanxiao Ge,Guoqing Xue,Fahui Xu,Liyuan Ru,Kuan Lv,Guohui Zhang,Lina Zheng,Meiyi Wang,Yun Teng,Wendan Yu,Wei Guo

Advanced science (Weinheim, Baden-Wurttemberg, Germany) 10:e2303091 PubMed37863665

2023

BPTF Drives Gastric Cancer Resistance to EGFR Inhibitor by Epigenetically Regulating the C-MYC/PLCG1/Perk Axis.

Applications

Unspecified application

Species

Unspecified reactive species

Fangyuan Li,Junxian Yu,Tao Pan,Haoran Feng,Jianfang Li,Beiqin Yu,Zhiyuan Fan,Qingqing Sang,Mengdi Chen,Mingde Zang,Junyi Hou,Xiongyan Wu,Yingyan Yu,Yuan-Yuan Li,Chao Yan,Zhenggang Zhu,Liping Su,Bingya Liu

Biological procedures online 25:11 PubMed37170211

2023

BPTF in bone marrow provides a potential progression biomarker regulated by TFAP4 through the PI3K/AKT pathway in neuroblastoma.

Applications

Unspecified application

Species

Unspecified reactive species

Chiyi Jiang,Yeran Yang,Sidou He,Zhixia Yue,Tianyu Xing,Ping Chu,Wenfa Yang,Hui Chen,Xiaoxi Zhao,Yongbo Yu,Xuan Zhang,Yan Su,Yongli Guo,Xiaoli Ma

Oncology letters 24:223 PubMed35720479

2022

BPTF activates the MAPK pathway through coexpression with Raf1 to promote proliferation of T-cell lymphoma.

Applications

Unspecified application

Species

Unspecified reactive species

Dongyu Bai,Yong Zhou,Fayan Shen,Dehong Gao,Wenhao Suo,Haiping Zhang,Heng Li

Frontiers in oncology 12:894786 PubMed35646694

2022

Genetic Alterations in Papillary Thyroid Carcinoma With Hashimotos Thyroiditis: , an Indolent Maintainer of Papillary Thyroid Carcinoma.

Applications

Unspecified application

Species

Unspecified reactive species

Chao Zeng,Jiali Long,Chunmiao Deng,Linying Xie,Hongmei Ma,Yimin Guo,Shuguang Liu,Min Deng

microPublication biology 2021: PubMed33537560

2021

The ISWI chromatin remodelling factor NURF is not required for mitotic male X chromosome organisation.

Applications

Unspecified application

Species

Unspecified reactive species

So Yeon Kwon,Boyun Jang,Paul Badenhorst

Oncology reports 41:246-256 PubMed30542695

2018

Bromodomain PHD‑finger transcription factor promotes glioma progression and indicates poor prognosis.

Applications

Unspecified application

Species

Unspecified reactive species

Yanling Pan,Feng Yuan,Yijie Li,Guoping Wang,Zhiren Lin,Longhua Chen

Redox biology 20:427-441 PubMed30419422

2018

BPTF promotes hepatocellular carcinoma growth by modulating hTERT signaling and cancer stem cell traits.

Applications

Unspecified application

Species

Unspecified reactive species

Xinrui Zhao,Fufu Zheng,Yizhuo Li,Jiaojiao Hao,Zhipeng Tang,Chunfang Tian,Qian Yang,Tianhua Zhu,Chaoliang Diao,Changlin Zhang,Manyu Chen,Sheng Hu,Ping Guo,Lizhi Zhang,Yina Liao,Wendan Yu,Miao Chen,Lijuan Zou,Wei Guo,Wuguo Deng

Nature communications 7:10153 PubMed26729287

2016

BPTF is required for c-MYC transcriptional activity and in vivo tumorigenesis.

Applications

WB

Species

Human

Laia Richart,Enrique Carrillo-de Santa Pau,Ana Río-Machín,Mónica P de Andrés,Juan C Cigudosa,Víctor J Sánchez-Arévalo Lobo,Francisco X Real

Nature cell biology 14:753-63 PubMed22729083

2012

Diverse epigenetic strategies interact to control epidermal differentiation.

Applications

ChIP

Species

Unspecified reactive species

Klaas W Mulder,Xin Wang,Carles Escriu,Yoko Ito,Roland F Schwarz,Jesse Gillis,Gábor Sirokmány,Giacomo Donati,Santiago Uribe-Lewis,Paul Pavlidis,Adele Murrell,Florian Markowetz,Fiona M Watt
View all publications

Product promise

We are committed to supporting your work with high-quality reagents, and we're here for you every step of the way. In the unlikely event that one of our products does not perform as expected, you're protected by our Product Promise.
For full details, please see our Terms & Conditions

Please note: All products are 'FOR RESEARCH USE ONLY. NOT FOR USE IN DIAGNOSTIC OR THERAPEUTIC PROCEDURES'.

For licensing inquiries, please contact partnerships@abcam.com