JavaScript is disabled in your browser. Please enable JavaScript to view this website.
AB288166

Anti-BPTF / FALZ antibody [EPR25422-35] - BSA and Azide free

Be the first to review this product! Submit a review

|

(0 Publication)

Rabbit Recombinant Monoclonal BPTF / FALZ antibody. Carrier free. Suitable for ICC/IF, WB, IHC-P, Flow Cyt (Intra) and reacts with Human, Transfected cell lysate samples.

View Alternative Names

FAC1, FALZ, BPTF, Nucleosome-remodeling factor subunit BPTF, Bromodomain and PHD finger-containing transcription factor, Fetal Alz-50 clone 1 protein, Fetal Alzheimer antigen

7 Images
Flow Cytometry (Intracellular) - Anti-BPTF / FALZ antibody [EPR25422-35] - BSA and Azide free (AB288166)
  • Flow Cyt (Intra)

Supplier Data

Flow Cytometry (Intracellular) - Anti-BPTF / FALZ antibody [EPR25422-35] - BSA and Azide free (AB288166)

This data was developed using ab288159, the same antibody clone in a different buffer formulation.

Flow cytometric analysis of 4% paraformaldehyde fixed, 90% methanol permeabilized HeLa (human cervix adenocarcinoma epithelial cell) cells labelling BPTF / FALZ with ab288159 at 1/500 dilution (0.1ug)(Red) compared with a Rabbit monoclonal IgG (ab172730) (Black) isotype control and an unlabelled control (cells without incubation with primary antibody and secondary antibody) (Blue). A Goat Anti-Rabbit IgG (Alexa Fluor® 488, ab150081) at 1/2000 dilution was used as the secondary antibody.

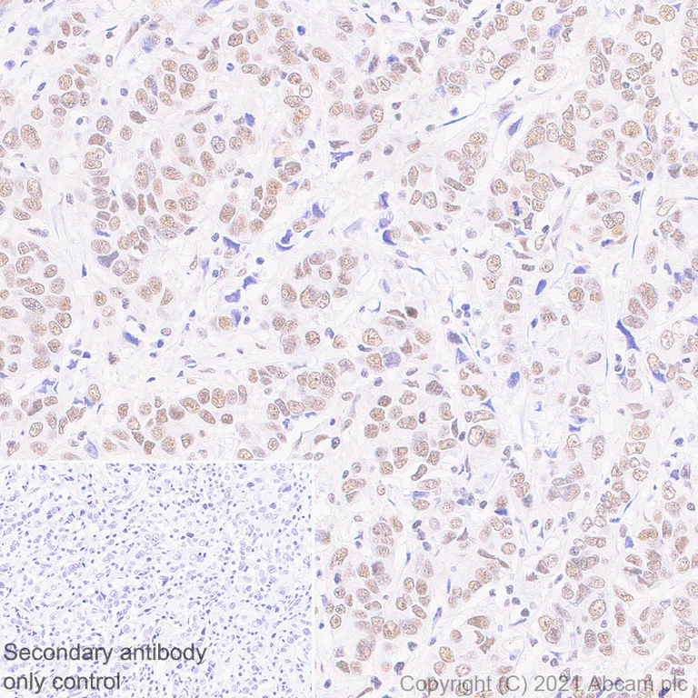
Immunohistochemistry (Formalin/PFA-fixed paraffin-embedded sections) - Anti-BPTF / FALZ antibody [EPR25422-35] - BSA and Azide free (AB288166)
  • IHC-P

Supplier Data

Immunohistochemistry (Formalin/PFA-fixed paraffin-embedded sections) - Anti-BPTF / FALZ antibody [EPR25422-35] - BSA and Azide free (AB288166)

This data was developed using ab288159, the same antibody clone in a different buffer formulation.

Immunohistochemical analysis of paraffin-embedded Human lung carcinoma tissue labelling BPTF / FALZ with ab288159 at 1/500 (1.076 ug/ml) followed by a ready to use LeicaDS9800 (Bond™ Polymer Refine Detection). Nuclear staining on human lung carcinoma (PMID : 26418899).The section was incubated with ab288159 for 30 mins at room temperature.The immunostaining was performed on a Leica Biosystems BOND® RX instrument. Counterstained with Hematoxylin.

Secondary antibody only control : Secondary antibody is a ready to use LeicaDS9800 (Bond™ Polymer Refine Detection).

Heat mediated antigen retrieval with Tris-EDTA buffer (pH 9.0, epitope retrieval solution2) for 20 mins

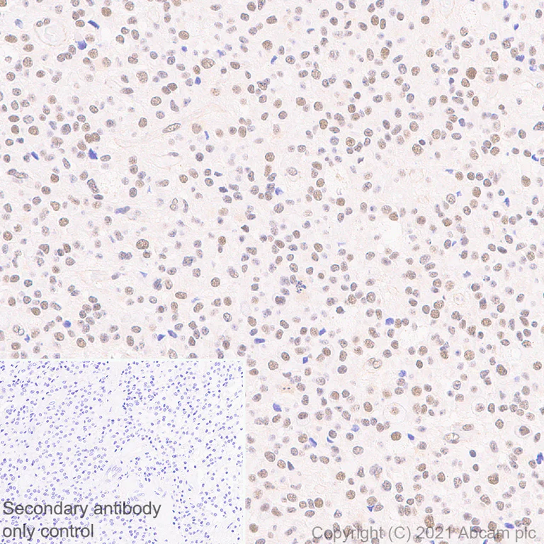
Immunohistochemistry (Formalin/PFA-fixed paraffin-embedded sections) - Anti-BPTF / FALZ antibody [EPR25422-35] - BSA and Azide free (AB288166)
  • IHC-P

Supplier Data

Immunohistochemistry (Formalin/PFA-fixed paraffin-embedded sections) - Anti-BPTF / FALZ antibody [EPR25422-35] - BSA and Azide free (AB288166)

This data was developed using ab288159, the same antibody clone in a different buffer formulation.

Immunohistochemical analysis of paraffin-embedded Human astrocytoma tissue labelling BPTF / FALZ with ab288159 at 1/500 (1.076 ug/ml) followed by a ready to use LeicaDS9800 (Bond™ Polymer Refine Detection). Nuclear staining on human astrocytoma (PMID : 30542695). The section was incubated with ab288159 for 30 mins at room temperature. The immunostaining was performed on a Leica Biosystems BOND® RX instrument. Counterstained with Hematoxylin.

Secondary antibody only control : Secondary antibody is a ready to use LeicaDS9800 (Bond™ Polymer Refine Detection).

Heat mediated antigen retrieval with Tris-EDTA buffer (pH 9.0, epitope retrieval solution2) for 20 mins

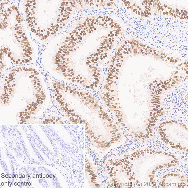
Immunohistochemistry (Formalin/PFA-fixed paraffin-embedded sections) - Anti-BPTF / FALZ antibody [EPR25422-35] - BSA and Azide free (AB288166)
  • IHC-P

Supplier Data

Immunohistochemistry (Formalin/PFA-fixed paraffin-embedded sections) - Anti-BPTF / FALZ antibody [EPR25422-35] - BSA and Azide free (AB288166)

This data was developed using ab288159, the same antibody clone in a different buffer formulation.

Immunohistochemical analysis of paraffin-embedded Human endometrial carcinoma tissue labelling BPTF / FALZ with ab288159 at 1/500 (1.076 ug/ml) followed by a ready to use LeicaDS9800 (Bond™ Polymer Refine Detection). Nuclear staining on human endometrial carcinoma. The section was incubated with ab288159 for 30 mins at room temperature. The immunostaining was performed on a Leica Biosystems BOND® RX instrument. Counterstained with Hematoxylin.

Secondary antibody only control : Secondary antibody is a ready to use LeicaDS9800 (Bond™ Polymer Refine Detection).

Heat mediated antigen retrieval with Tris-EDTA buffer (pH 9.0, epitope retrieval solution2) for 20 mins

Immunocytochemistry/ Immunofluorescence - Anti-BPTF / FALZ antibody [EPR25422-35] - BSA and Azide free (AB288166)
  • ICC/IF

Supplier Data

Immunocytochemistry/ Immunofluorescence - Anti-BPTF / FALZ antibody [EPR25422-35] - BSA and Azide free (AB288166)

This data was developed using ab288159, the same antibody clone in a different buffer formulation.

Immunofluorescent analysis of 4% Paraformaldehyde-fixed, 0.1% TritonX-100 permeabilized HeLa cells labelling BPTF / FALZ with ab288159 at 1/50 (10.76 ug/ml) dilution, followed by ab150081 Goat Anti-Rabbit IgG H&L (Alexa Fluor® 488) preadsorbed antibody at 1/1000 dilution (Green). Confocal image showing nuclear staining in HeLa cell line. ab195889 Anti-alpha Tubulin mouse monoclonal antibody - Microtubule Marker (Alexa Fluor® 594) was used to counterstain tubulin at 1/200 dilution (Red). The Nuclear counterstain was DAPI (Blue).

Secondary antibody only control : Secondary antibody is ab150081 Goat Anti-Rabbit IgG H&L (Alexa Fluor® 488) preadsorbed at 1/1000 dilution.

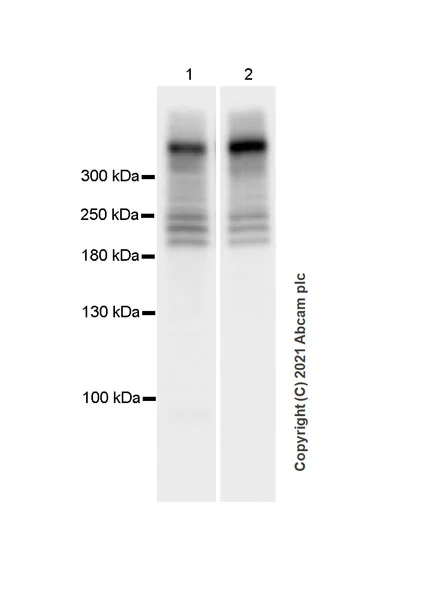
Western blot - Anti-BPTF / FALZ antibody [EPR25422-35] - BSA and Azide free (AB288166)
  • WB

Lab

Western blot - Anti-BPTF / FALZ antibody [EPR25422-35] - BSA and Azide free (AB288166)

This data was developed using ab288159, the same antibody clone in a different buffer formulation.

Blocking and diluting buffer and concentration : 5% NFDM/TBST

Lysates should be made freshly and used in WB immediately to minimize protein degradation.

The observed MW/expression profile is consistent with what has been described in the literature (PMID : 31498079).

Exposure time : Lane1 : 10 seconds; Lane2 : 5.5 seconds;

All lanes:

Western blot - Anti-BPTF / FALZ antibody [EPR25422-35] (<a href='/en-us/products/primary-antibodies/bptf-falz-antibody-epr25422-35-ab288159'>ab288159</a>) at 1/1000 dilution

Lane 1:

HeLa (human cervix adenocarcinoma epithelial cell), whole cell lysate at 20 µg

Lane 2:

293T (human embryonic kidney epithelial cell) whole cell lysate at 20 µg

Secondary

All lanes:

Western blot - Goat Anti-Rabbit IgG H&L (HRP) (<a href='/en-us/products/secondary-antibodies/goat-rabbit-igg-h-l-hrp-ab97051'>ab97051</a>) at 1/20000 dilution

Predicted band size: 338 kDa

Observed band size: 320 kDa

false

Western blot - Anti-BPTF / FALZ antibody [EPR25422-35] - BSA and Azide free (AB288166)
  • WB

Lab

Western blot - Anti-BPTF / FALZ antibody [EPR25422-35] - BSA and Azide free (AB288166)

This data was developed using ab288159, the same antibody clone in a different buffer formulation.

Blocking and diluting buffer and concentration : 5% NFDM/TBST

The observed MW/expression profile is consistent with what has been described in the literature (PMID : 31498079).

Exposure time : 37 seconds

All lanes:

Western blot - Anti-BPTF / FALZ antibody [EPR25422-35] (<a href='/en-us/products/primary-antibodies/bptf-falz-antibody-epr25422-35-ab288159'>ab288159</a>) at 1/1000 dilution

Lane 1:

HeLa (human cervix adenocarcinoma epithelial cell), whole cell lysate at 20 µg

Lane 2:

HeLa transfected with BPTF siRNA 1 whole cell lysate at 20 µg

Lane 3:

HeLa transfected with BPTF siRNA 2 whole cell lysate at 20 µg

Lane 4:

HeLa transfected with BPTF siRNA 3 whole cell lysate at 20 µg

Secondary

All lanes:

Goat Anti-Rabbit IgG, (H+L), Peroxidase conjugated (<a href='/en-us/products/secondary-antibodies/goat-rabbit-igg-h-l-hrp-ab97051'>ab97051</a>) at 1/20000 dilution

Predicted band size: 338 kDa

Observed band size: 320 kDa

false

Key facts

Host species

Rabbit

Clonality

Monoclonal

Clone number

EPR25422-35

Isotype

IgG

Carrier free

Yes

Reacts with

Human

Applications

Flow Cyt (Intra), IHC-P, WB, ICC/IF

applications

Immunogen

The exact immunogen used to generate this antibody is proprietary information.

Reactivity data

{ "title": "Reactivity Data", "filters": { "stats": ["", "Species", "Dilution Info", "Notes"], "tabs": { "all-applications": {"fullname" : "All Applications", "shortname": "All Applications"}, "ICCIF" : {"fullname" : "Immunocytochemistry/ Immunofluorescence", "shortname":"ICC/IF"}, "IP" : {"fullname" : "Immunoprecipitation", "shortname":"IP"}, "ChIP" : {"fullname" : "ChIP", "shortname":"ChIP"}, "WB" : {"fullname" : "Western blot", "shortname":"WB"}, "IHCP" : {"fullname" : "Immunohistochemistry (Formalin/PFA-fixed paraffin-embedded sections)", "shortname":"IHC-P"}, "FlowCytIntra" : {"fullname" : "Flow Cytometry (Intracellular)", "shortname":"Flow Cyt (Intra)"} }, "product-promise": { "all": "all", "testedAndGuaranteed": "tested", "guaranteed": "expected", "predicted": "predicted", "notRecommended": "not-recommended" } }, "values": { "Human": { "ICCIF-species-checked": "testedAndGuaranteed", "ICCIF-species-dilution-info": "", "ICCIF-species-notes": "<p></p>", "IP-species-checked": "notRecommended", "IP-species-dilution-info": "", "IP-species-notes": "<p></p>", "ChIP-species-checked": "notRecommended", "ChIP-species-dilution-info": "", "ChIP-species-notes": "<p></p>", "WB-species-checked": "testedAndGuaranteed", "WB-species-dilution-info": "", "WB-species-notes": "<p>This protein is easily degraded, to minimize protein degradation, cells/tissues were lysed immediately after harvest and then applied to a gel and transfer membrane for Western blotting right away.</p>", "IHCP-species-checked": "testedAndGuaranteed", "IHCP-species-dilution-info": "", "IHCP-species-notes": "<p></p>", "FlowCytIntra-species-checked": "guaranteed", "FlowCytIntra-species-dilution-info": "", "FlowCytIntra-species-notes": "<p></p>" }, "Mouse": { "ICCIF-species-checked": "notRecommended", "ICCIF-species-dilution-info": "", "ICCIF-species-notes": "", "IP-species-checked": "notRecommended", "IP-species-dilution-info": "", "IP-species-notes": "", "ChIP-species-checked": "notRecommended", "ChIP-species-dilution-info": "", "ChIP-species-notes": "", "WB-species-checked": "notRecommended", "WB-species-dilution-info": "", "WB-species-notes": "<p></p>", "IHCP-species-checked": "notRecommended", "IHCP-species-dilution-info": "", "IHCP-species-notes": "<p></p>", "FlowCytIntra-species-checked": "notRecommended", "FlowCytIntra-species-dilution-info": "", "FlowCytIntra-species-notes": "" }, "Rat": { "ICCIF-species-checked": "notRecommended", "ICCIF-species-dilution-info": "", "ICCIF-species-notes": "", "IP-species-checked": "notRecommended", "IP-species-dilution-info": "", "IP-species-notes": "", "ChIP-species-checked": "notRecommended", "ChIP-species-dilution-info": "", "ChIP-species-notes": "", "WB-species-checked": "notRecommended", "WB-species-dilution-info": "", "WB-species-notes": "<p></p>", "IHCP-species-checked": "notRecommended", "IHCP-species-dilution-info": "", "IHCP-species-notes": "<p></p>", "FlowCytIntra-species-checked": "notRecommended", "FlowCytIntra-species-dilution-info": "", "FlowCytIntra-species-notes": "" }, "Transfected cell lysate": { "ICCIF-species-checked": "notRecommended", "ICCIF-species-dilution-info": "", "ICCIF-species-notes": "", "IP-species-checked": "notRecommended", "IP-species-dilution-info": "", "IP-species-notes": "", "ChIP-species-checked": "notRecommended", "ChIP-species-dilution-info": "", "ChIP-species-notes": "", "WB-species-checked": "testedAndGuaranteed", "WB-species-dilution-info": "", "WB-species-notes": "<p>This protein is easily degraded, to minimize protein degradation, cells/tissues were lysed immediately after harvest and then applied to a gel and transfer membrane for Western blotting right away.</p>", "IHCP-species-checked": "notRecommended", "IHCP-species-dilution-info": "", "IHCP-species-notes": "", "FlowCytIntra-species-checked": "notRecommended", "FlowCytIntra-species-dilution-info": "", "FlowCytIntra-species-notes": "" } } }

Product details

ab288166 is the carrier-free version of ab288159.

.

Patented technology
Our RabMAb® technology is a patented hybridoma-based technology for making rabbit monoclonal antibodies. For details on our patents, please refer to RabMAb® patents.

What are the advantages of a recombinant monoclonal antibody?
This product is a recombinant monoclonal antibody, which offers several advantages including:

  • - High batch-to-batch consistency and reproducibility
  • - Improved sensitivity and specificity
  • - Long-term security of supply
  • - Animal-free batch production

For more information, read more on recombinant antibodies.

Conjugation ready
Our carrier-free antibodies are typically supplied in a PBS-only formulation, purified and free of BSA, sodium azide and glycerol. This conjugation-ready format is designed for use with fluorochromes, metal isotopes, oligonucleotides, and enzymes, which makes them ideal for antibody labelling, functional and cell-based assays, flow-based assays (e.g. mass cytometry) and Multiplex Imaging applications.

Use our conjugation kits for antibody conjugates that are ready-to-use in as little as 20 minutes with 1 minute hands-on-time and 100% antibody recovery: available for fluorescent dyes, HRP, biotin and gold.

Compatibility
This product is compatible with the Maxpar® Antibody Labeling Kit from Fluidigm, without the need for antibody preparation. Maxpar® is a trademark of Fluidigm Canada Inc.

Properties and storage information

Form
Liquid
Purification technique
Affinity purification Protein A
Storage buffer
pH: 7.2 - 7.4 Constituents: PBS
Shipped at conditions
Blue Ice
Appropriate short-term storage conditions
+4°C
Appropriate long-term storage conditions
+4°C

Product protocols

For this product, it's our understanding that no specific protocols are required. You can visit:

Target data

Regulatory subunit of the ATP-dependent NURF-1 and NURF-5 ISWI chromatin remodeling complexes, which form ordered nucleosome arrays on chromatin and facilitate access to DNA during DNA-templated processes such as DNA replication, transcription, and repair (PubMed : 14609955, PubMed : 28801535). The NURF-1 ISWI chromatin remodeling complex has a lower ATP hydrolysis rate than the NURF-5 ISWI chromatin remodeling complex (PubMed : 28801535). Within the NURF-1 ISWI chromatin-remodeling complex, binds to the promoters of En1 and En2 to positively regulate their expression and promote brain development (PubMed : 14609955). Histone-binding protein which binds to H3 tails trimethylated on 'Lys-4' (H3K4me3), which mark transcription start sites of active genes (PubMed : 16728976, PubMed : 16728978). Binds to histone H3 tails dimethylated on 'Lys-4' (H3K4Me2) to a lesser extent (PubMed : 16728976, PubMed : 16728978, PubMed : 18042461). May also regulate transcription through direct binding to DNA or transcription factors (PubMed : 10575013).
See full target information BPTF

Product promise

We are committed to supporting your work with high-quality reagents, and we're here for you every step of the way. In the unlikely event that one of our products does not perform as expected, you're protected by our Product Promise.
For full details, please see our Terms & Conditions

Please note: All products are 'FOR RESEARCH USE ONLY. NOT FOR USE IN DIAGNOSTIC OR THERAPEUTIC PROCEDURES'.

For licensing inquiries, please contact partnerships@abcam.com