JavaScript is disabled in your browser. Please enable JavaScript to view this website.
AB259261

Anti-Brachyury / Bry antibody [54] - BSA and Azide free

Be the first to review this product! Submit a review

|

(0 Publication)

Rabbit Recombinant Monoclonal Brachyury / Bry antibody. Carrier free. Suitable for IHC-P, ICC/IF, IP, WB and reacts with Human samples.

View Alternative Names

T, TBXT, T-box transcription factor T, Brachyury protein, Protein T

5 Images
Immunohistochemistry (Formalin/PFA-fixed paraffin-embedded sections) - Anti-Brachyury / Bry antibody [54] - BSA and Azide free (AB259261)
  • IHC-P

Lab

Immunohistochemistry (Formalin/PFA-fixed paraffin-embedded sections) - Anti-Brachyury / Bry antibody [54] - BSA and Azide free (AB259261)

This data was developed using ab259260 the same antibody clone in a different buffer formulation.

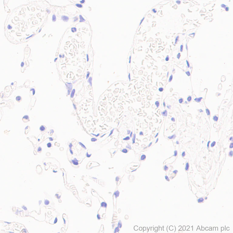
Immunohistochemical analysis of paraffin-embedded Human lung tissue labeling Brachyury / Bry with ab259260 at 1/5000 (0.203 ug/ml) dilution followed by a ready to use LeicaDS9800 (Bond® Polymer Refine Detection) . Negative control : no staining on human lung (PMID : 23456319). The section was incubated with ab259260 for 30 mins at room temperature.The immunostaining was performed on a Leica Biosystems BOND® RX instrument Counterstained with .

Secondary antibody only control : Secondary antibody is a ready to use LeicaDS9800 (Bond®Polymer Refine Detection) .

Heat mediated antigen retrieval with Citrate buffer (pH 6.0, epitope retrieval solution 1) for 20 mins

Immunohistochemistry (Formalin/PFA-fixed paraffin-embedded sections) - Anti-Brachyury / Bry antibody [54] - BSA and Azide free (AB259261)
  • IHC-P

Lab

Immunohistochemistry (Formalin/PFA-fixed paraffin-embedded sections) - Anti-Brachyury / Bry antibody [54] - BSA and Azide free (AB259261)

This data was developed using ab259260 the same antibody clone in a different buffer formulation.

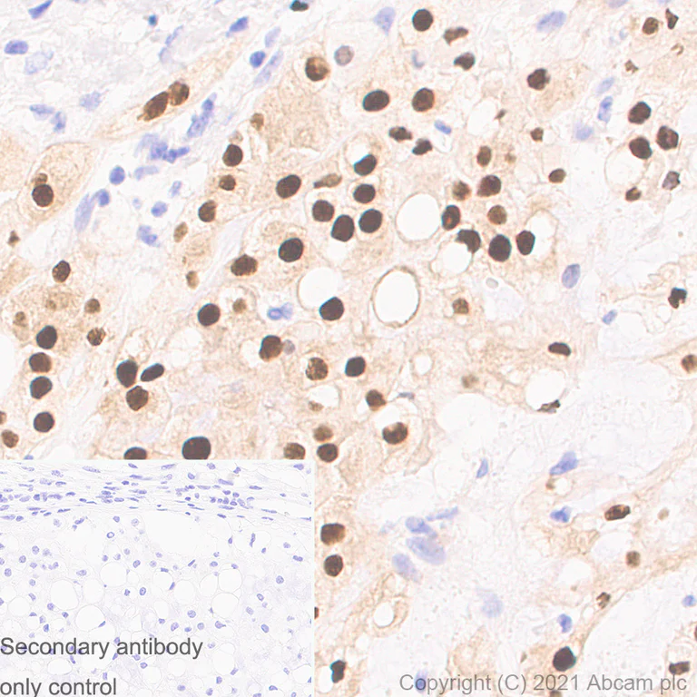
Immunohistochemical analysis of paraffin-embedded Human chordoma tissue labeling Brachyury / Bry with ab259260 at 1/5000 (0.203 ug/ml) dilution followed by a ready to use LeicaDS9800 (Bond®Polymer Refine Detection) . Mainly nuclear staining on human chordoma. The section was incubated with ab259260 for 30 mins at room temperature.The immunostaining was performed on a Leica Biosystems BOND® RX instrument Counterstained with .

Secondary antibody only control : Secondary antibody is a ready to use LeicaDS9800 (Bond® Polymer Refine Detection) .

Heat mediated antigen retrieval with Citrate buffer (pH 6.0, epitope retrieval solution 1) for 20 mins

Immunocytochemistry/ Immunofluorescence - Anti-Brachyury / Bry antibody [54] - BSA and Azide free (AB259261)
  • ICC/IF

Lab

Immunocytochemistry/ Immunofluorescence - Anti-Brachyury / Bry antibody [54] - BSA and Azide free (AB259261)

This data was developed using ab259260 the same antibody clone in a different buffer formulation.Immunofluorescent analysis of 100% methanol-fixed, 0.1% TritonX-100 permeabilized MUG-Chor1 cells labelling Brachyury / Bry with ab259260 at 1/50 (20.28 ug/ml) dilution, followed by ab150077 Goat Anti-Rabbit IgG H&L (Alexa Fluor® 488) antibody at 1/1000 dilution (Green). Confocal image showing nuclear staining in MUG-Chor1 cell line. ab195889 Anti-alpha Tubulin mouse monoclonal antibody - Microtubule Marker (Alexa Fluor® 594) was used to counterstain tubulin at 1/200 dilution (Red). The Nuclear counterstain was DAPI (Blue).

Secondary antibody only control : Secondary antibody is ab150077 Goat Anti-Rabbit IgG H&L (Alexa Fluor® 488) at 1/1000 dilution.

Immunoprecipitation - Anti-Brachyury / Bry antibody [54] - BSA and Azide free (AB259261)
  • IP

Lab

Immunoprecipitation - Anti-Brachyury / Bry antibody [54] - BSA and Azide free (AB259261)

This data was developed using ab259260 the same antibody clone in a different buffer formulation.

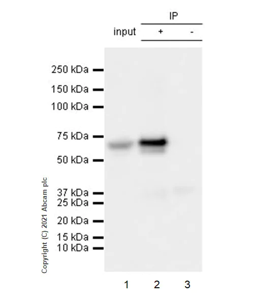
Brachyury / Bry was immunoprecipitated from 0.35 mg MUG-Chor1 (human sacral bone chordoma), whole cell lysate 10ug with ab259260 at 1/30 dilution (2ug in 0.35mg lysates). Western blot was performed on the immunoprecipitate using ab259260 at 1/2000 dilution. VeriBlot for IP secondary antibody(HRP)(ab131366) was used at 1/10000 dilution.

Lane 1 : MUG-Chor1 (human sacral bone chordoma), whole cell lysate 10ug

Lane 2 : ab259260 IP in MUG-Chor1 whole cell lysate

Lane 3 : Rabbit monoclonal IgG (ab172730) instead of ab282459 in MUG-Chor1 whole cell lysate

Blocking and dilution buffer and concentration : 5% NFDM/TBST.

Exposure time : 3 seconds

All lanes:

Immunoprecipitation - Anti-Brachyury / Bry antibody [54] (<a href='/en-us/products/primary-antibodies/brachyury-bry-antibody-54-ab259260'>ab259260</a>)

Predicted band size: 47 kDa

false

Western blot - Anti-Brachyury / Bry antibody [54] - BSA and Azide free (AB259261)
  • WB

Lab

Western blot - Anti-Brachyury / Bry antibody [54] - BSA and Azide free (AB259261)

This data was developed using 259260, the same antibody clone in a different buffer formulation.

Blocking and diluting buffer and concentration : 5% NFDM/TBST

Exposure time : 10 seconds

All lanes:

Western blot - Anti-Brachyury / Bry antibody [54] (<a href='/en-us/products/primary-antibodies/brachyury-bry-antibody-54-ab259260'>ab259260</a>) at 1/5000 dilution

All lanes:

MUG-Chor1 (human sacral bone chordoma), whole cell lysate at 20 µg

Secondary

All lanes:

Western blot - Goat Anti-Rabbit IgG H&L (HRP) (<a href='/en-us/products/secondary-antibodies/goat-rabbit-igg-h-l-hrp-ab97051'>ab97051</a>) at 1/10000 dilution

Predicted band size: 47 kDa

false

Key facts

Host species

Rabbit

Clonality

Monoclonal

Clone number

54

Isotype

IgG

Carrier free

Yes

Reacts with

Human

Applications

IHC-P, WB, ICC/IF, IP

applications

Immunogen

The exact immunogen used to generate this antibody is proprietary information.

Reactivity data

{ "title": "Reactivity Data", "filters": { "stats": ["", "Species", "Dilution Info", "Notes"], "tabs": { "all-applications": {"fullname" : "All Applications", "shortname": "All Applications"}, "IHCP" : {"fullname" : "Immunohistochemistry (Formalin/PFA-fixed paraffin-embedded sections)", "shortname":"IHC-P"}, "ICCIF" : {"fullname" : "Immunocytochemistry/ Immunofluorescence", "shortname":"ICC/IF"}, "IP" : {"fullname" : "Immunoprecipitation", "shortname":"IP"}, "WB" : {"fullname" : "Western blot", "shortname":"WB"} }, "product-promise": { "all": "all", "testedAndGuaranteed": "tested", "guaranteed": "expected", "predicted": "predicted", "notRecommended": "not-recommended" } }, "values": { "Human": { "IHCP-species-checked": "testedAndGuaranteed", "IHCP-species-dilution-info": "", "IHCP-species-notes": "<p></p>", "ICCIF-species-checked": "testedAndGuaranteed", "ICCIF-species-dilution-info": "", "ICCIF-species-notes": "<p></p>", "IP-species-checked": "testedAndGuaranteed", "IP-species-dilution-info": "", "IP-species-notes": "<p></p>", "WB-species-checked": "testedAndGuaranteed", "WB-species-dilution-info": "", "WB-species-notes": "<p></p>" }, "Mouse": { "IHCP-species-checked": "notRecommended", "IHCP-species-dilution-info": "", "IHCP-species-notes": "<p></p>", "ICCIF-species-checked": "notRecommended", "ICCIF-species-dilution-info": "", "ICCIF-species-notes": "", "IP-species-checked": "notRecommended", "IP-species-dilution-info": "", "IP-species-notes": "", "WB-species-checked": "notRecommended", "WB-species-dilution-info": "", "WB-species-notes": "" }, "Rat": { "IHCP-species-checked": "notRecommended", "IHCP-species-dilution-info": "", "IHCP-species-notes": "<p></p>", "ICCIF-species-checked": "notRecommended", "ICCIF-species-dilution-info": "", "ICCIF-species-notes": "", "IP-species-checked": "notRecommended", "IP-species-dilution-info": "", "IP-species-notes": "", "WB-species-checked": "notRecommended", "WB-species-dilution-info": "", "WB-species-notes": "" } } }

Product details

ab259261 is the carrier-free version of ab259260.

What are the advantages of a recombinant monoclonal antibody?
This product is a recombinant monoclonal antibody, which offers several advantages including:

  • - High batch-to-batch consistency and reproducibility
  • - Improved sensitivity and specificity
  • - Long-term security of supply
  • - Animal-free batch production

For more information, read more on recombinant antibodies.

Want a custom formulation?
This antibody clone is manufactured by Abcam. If you require a custom buffer formulation or conjugation for your experiments, please contact orders@abcam.com

Conjugation ready
Our carrier-free antibodies are typically supplied in a PBS-only formulation, purified and free of BSA, sodium azide and glycerol. This conjugation-ready format is designed for use with fluorochromes, metal isotopes, oligonucleotides, and enzymes, which makes them ideal for antibody labelling, functional and cell-based assays, flow-based assays (e.g. mass cytometry) and Multiplex Imaging applications.

Use our conjugation kits for antibody conjugates that are ready-to-use in as little as 20 minutes with 1 minute hands-on-time and 100% antibody recovery: available for fluorescent dyes, HRP, biotin and gold.

Compatibility
This product is compatible with the Maxpar® Antibody Labeling Kit from Fluidigm, without the need for antibody preparation. Maxpar® is a trademark of Fluidigm Canada Inc.

Properties and storage information

Form
Liquid
Purification technique
Affinity purification Protein A
Storage buffer
pH: 7.2 - 7.4 Constituents: PBS
Shipped at conditions
Blue Ice
Appropriate short-term storage conditions
+4°C
Appropriate long-term storage conditions
+4°C
Storage information
Do Not Freeze

Supplementary information

This supplementary information is collated from multiple sources and compiled automatically.

The Brachyury protein also known as Bry or T acts as a transcription factor and belongs to the T-box family of genes. It consists of about 435 amino acids giving it an estimated mass of around 47 kDa. Brachyury plays a critical role in the development of the posterior mesoderm and nucleus pulposus during embryogenesis. It is strongly expressed in the notochord mesoderm and some tumor tissues. The protein's presence can be detected using specific assays such as Brachyury IHC (immunohistochemistry) and Brachyury stain which help identify Brachyury marker expression in both normal and pathological states.
Biological function summary

The Brachyury protein influences the morphogenetic movement in mesoderm development. It directly interacts with specific DNA sequences to regulate the transcription of target genes. Brachyury often operates as part of a larger transcriptional complex that manages the differentiation and migration of cells during embryogenesis. The gene's expression indicates mesodermal differentiation and is important for cell fate decisions within developing embryos.

Pathways

Brachyury plays a significant role in the Wnt signaling and the TGF-beta pathways. These pathways are essential in controlling cell proliferation and differentiation. Brachyury directly impacts the regulation of these pathways influencing other proteins like beta-catenin in Wnt signaling. This interconnectedness suggests its broader role in cellular communication and development processes potentially affecting gene expression across these pathways.

Brachyury has been associated with various cancers such as chordoma and other related tumors. Chordoma specifically involves the notochord where Brachyury marks the disease's presence. Other proteins like E-cadherin interact with Brachyury in tumor progression and metastasis. Understanding Brachyury's function helps in diagnosing and potentially targeting treatment options for these ailments.

Product protocols

For this product, it's our understanding that no specific protocols are required. You can visit:

Target data

Involved in the transcriptional regulation of genes required for mesoderm formation and differentiation. Binds to a palindromic T site 5'-TTCACACCTAGGTGTGAA-3' DNA sequence and activates gene transcription when bound to such a site.
See full target information TBXT

Product promise

We are committed to supporting your work with high-quality reagents, and we're here for you every step of the way. In the unlikely event that one of our products does not perform as expected, you're protected by our Product Promise.
For full details, please see our Terms & Conditions

Please note: All products are 'FOR RESEARCH USE ONLY. NOT FOR USE IN DIAGNOSTIC OR THERAPEUTIC PROCEDURES'.

For licensing inquiries, please contact partnerships@abcam.com