JavaScript is disabled in your browser. Please enable JavaScript to view this website.
AB209665

Anti-Brachyury / Bry antibody [EPR18113]

  • RabMAb
  • Advanced Validation
  • Recombinant
  • 20ul selling size
  • What is this?

5

(9 Reviews)

|

(63 Publications)

Anti-Brachyury / Bry antibody [EPR18113] (ab209665) is a rabbit monoclonal antibody detecting Brachyury / Bry in Western Blot, Flow Cytometry (Intra), Flow Cytometry, IP, IHC-P, IHC- Wmt, ICC/IF. Suitable for Human, Mouse, Rat.

- Clone EPR18113 is the most cited clone to Brachyury / Bry
- Biophysical QC for unrivalled batch-batch consistency
- Over 30 publications

View Alternative Names

T, TBXT, T-box transcription factor T, Brachyury protein, Protein T

12 Images
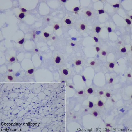
Immunohistochemistry (Formalin/PFA-fixed paraffin-embedded sections) - Anti-Brachyury / Bry antibody [EPR18113] (AB209665)
  • IHC-P

Supplier Data

Immunohistochemistry (Formalin/PFA-fixed paraffin-embedded sections) - Anti-Brachyury / Bry antibody [EPR18113] (AB209665)

Immunohistochemical analysis of paraffin-embedded Human chordoma tissue labeling Brachyury / Bry with ab209665 at 1/8000 dilution, followed by Goat Anti-Rabbit IgG H&L (HRP) (ab97051) at 1/500 dilution. Nucleus staining on Human chordoma is observed. Counter stained with Hematoxylin

Secondary antibody only control : Used PBS instead of primary antibody, secondary antibody is Goat Anti-Rabbit IgG H&L (HRP) (ab97051) at 1/500 dilution.

Perform heat mediated antigen retrieval with Tris/EDTA buffer pH 9.0 before commencing with IHC staining protocol.

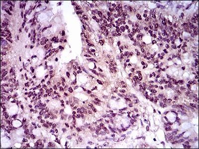
Immunohistochemistry (Formalin/PFA-fixed paraffin-embedded sections) - Anti-Brachyury / Bry antibody [EPR18113] (AB209665)
  • IHC-P

Supplier Data

Immunohistochemistry (Formalin/PFA-fixed paraffin-embedded sections) - Anti-Brachyury / Bry antibody [EPR18113] (AB209665)

Immunohistochemical analysis of paraffin-embedded Human chondrosarcoma tissue labeling Brachyury / Bry with ab209665 at 1/8000 dilution, followed by Goat Anti-Rabbit IgG H&L (HRP) (ab97051) at 1/500 dilution. Negative staining on Human chondrosarcoma. Counter stained with Hematoxylin.

Secondary antibody only control : Used PBS instead of primary antibody, secondary antibody is Goat Anti-Rabbit IgG H&L (HRP) (ab97051) at 1/500 dilution.

Perform heat mediated antigen retrieval with Tris/EDTA buffer pH 9.0 before commencing with IHC staining protocol.

Immunohistochemistry (Formalin/PFA-fixed paraffin-embedded sections) - Anti-Brachyury / Bry antibody [EPR18113] (AB209665)
  • IHC-P

Supplier Data

Immunohistochemistry (Formalin/PFA-fixed paraffin-embedded sections) - Anti-Brachyury / Bry antibody [EPR18113] (AB209665)

Immunohistochemical analysis of paraffin-embedded Human meningioma tissue labeling Brachyury / Bry with ab209665 at 1/8000 dilution, followed by Goat Anti-Rabbit IgG H&L (HRP) (ab97051) at 1/500 dilution. Negative staining on Human meningioma. Counter stained with Hematoxylin.

Secondary antibody only control : Used PBS instead of primary antibody, secondary antibody is Goat Anti-Rabbit IgG H&L (HRP) (ab97051) at 1/500 dilution.

Perform heat mediated antigen retrieval with Tris/EDTA buffer pH 9.0 before commencing with IHC staining protocol.

Immunocytochemistry/ Immunofluorescence - Anti-Brachyury / Bry antibody [EPR18113] (AB209665)
  • ICC/IF

Lab

Immunocytochemistry/ Immunofluorescence - Anti-Brachyury / Bry antibody [EPR18113] (AB209665)

Confocal image showing nucleus staining in MUG-Chor1 cell line (shown in green). The counterstain was observed in red. Nuclear DNA was labelled with DAPI (shown in blue).

ab209665 staining Brachyury/Bry in MUG-Chor1 (human sacral bone chordoma) cells by ICC/IF (Immunocytochemistry/Immunofluorescence). Cells were fixed 4% paraformaldehyde and permeabilized with 0.1% tritonX-100. Samples were incubated with primary antibody at a 1/1000 dilution.  An AlexaFluor®488 Goat anti-Rabbit (ab150077) was used as the secondary antibody at a 1/1000 dilution.  An Anti-alpha Tubulin antibody [DM1A] - Microtubule Marker (Alexa Fluor® 594) (ab195889) was used as a counterstain antibody.  DAPI was used as nuclear counterstain. Nuclear staining on MUG-Chor1 cells.

Flow Cytometry (Intracellular) - Anti-Brachyury / Bry antibody [EPR18113] (AB209665)
  • Flow Cyt (Intra)

Lab

Flow Cytometry (Intracellular) - Anti-Brachyury / Bry antibody [EPR18113] (AB209665)

ab209665 staining Brachyury/Bry in MUG-Chor1 (Human sacral bone chordoma) cell line by intracellular flow cytometry. Cells were fixed with 4% paraformaldehyde and 90% methanol. Sample was incubated with primary antibody at 1/400 dilution (red). A Goat anti-rabbit IgG (Alexa Fluor® 488, ab150077) at 1/2000 dilution. Rabbit monoclonal IgG (ab172730) (Black) was used as an isotype control. Cell without incubation with primary antibody and secondary antibody (Blue).

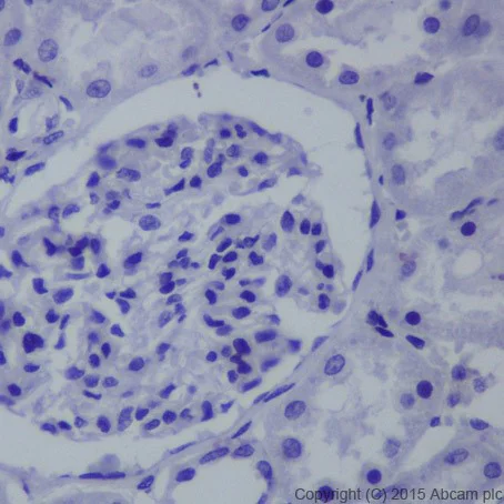
Immunohistochemistry (Formalin/PFA-fixed paraffin-embedded sections) - Anti-Brachyury / Bry antibody [EPR18113] (AB209665)
  • IHC-P

Supplier Data

Immunohistochemistry (Formalin/PFA-fixed paraffin-embedded sections) - Anti-Brachyury / Bry antibody [EPR18113] (AB209665)

Immunohistochemical analysis of paraffin-embedded Human kidney tissue labeling Brachyury / Bry with ab209665 at 1/8000 dilution, followed by Goat Anti-Rabbit IgG H&L (HRP) (ab97051) at 1/500 dilution. Negative staining on Human kidney. Counter stained with Hematoxylin.

Secondary antibody only control : Used PBS instead of primary antibody, secondary antibody is Goat Anti-Rabbit IgG H&L (HRP) (ab97051) at 1/500 dilution.

Perform heat mediated antigen retrieval with Tris/EDTA buffer pH 9.0 before commencing with IHC staining protocol.

Immunoprecipitation - Anti-Brachyury / Bry antibody [EPR18113] (AB209665)
  • IP

Lab

Immunoprecipitation - Anti-Brachyury / Bry antibody [EPR18113] (AB209665)

Lane 1 (input) : MUG-Chor1 (human sacral bone chordoma) whole cell lysate, 10 μg
Lane 2 (+) : MUG-Chor1 whole cell lysate
Lane 3 (-) : Rabbit monoclonal IgG (ab172730) instead of ab209665 in MUG-Chor1 whole cell lysate

ab209665 immunoprecipitating Brachyury/Bry in MUG-Chor1 lysates. For western blotting, primary antibody used was ab209665 at 1/1000 dilution. VeriBlot for IP Detection Reagent (HRP) (ab131366), was used for detection at 1/10,000 dilution. Blocking and diluting buffer used was 5% NFDM/TBST.

All lanes:

Immunoprecipitation - Anti-Brachyury / Bry antibody [EPR18113] (ab209665)

Predicted band size: 47 kDa

false

Immunohistochemistry (Formalin/PFA-fixed paraffin-embedded sections) - Anti-Brachyury / Bry antibody [EPR18113] (AB209665)
  • IHC-P

Lab

Immunohistochemistry (Formalin/PFA-fixed paraffin-embedded sections) - Anti-Brachyury / Bry antibody [EPR18113] (AB209665)

Immunohistochemical analysis of formalin fixed paraffin embedded mouse embryo E14 labelling Brachyury/Bry with ab209665 at a concentration of 4µg/ml. The immunostaining was performed on a Ventana DISCOVERY ULTRA (Roche Tissue Diagnostics) instrument with a ChromoMap DAB IHC Kit with anti-rabbit HQ, anti-HQ HRP detection. Heat mediated antigen retrieval was performed with DISCOVERY cell conditioning solution (CC1) 100°C, pH8.5 for 64mins.

Anti-Brachyury/Bry antibody [EPR18113] ab209665 was incubated for 16mins at 37°C. Sections were counterstained with Hematoxylin II. Image inset shows absence of staining in secondary antibody only control.

Customers are encouraged to optimise antigen retrieval conditions, antibody concentration, incubation times and temperature for best results in their own IHC assay workflow (automated and manual).

Immunohistochemistry (Formalin/PFA-fixed paraffin-embedded sections) - Anti-Brachyury / Bry antibody [EPR18113] (AB209665)
  • IHC-P

Lab

Immunohistochemistry (Formalin/PFA-fixed paraffin-embedded sections) - Anti-Brachyury / Bry antibody [EPR18113] (AB209665)

ab209665 staining Brachyury/Bry in Rat E14.5 embryo tissue sections by Immunohistochemistry (IHC-P). Tissue was fixed paraffin and antigen retrieval was performed by heat mediation using ab93684 (Tris/EDTA buffer, pH 9.0). Samples were incubated with primary antibody at a 1/4000 dilution. A ready to use Goat anti-rabbit IgG H&L (HRP) was used as the secondary antibody. Hematoxylin was used as a counter-stain. Nuclear staining on notochord of rat E14.5 embryo.

Immunohistochemistry (Formalin/PFA-fixed paraffin-embedded sections) - Anti-Brachyury / Bry antibody [EPR18113] (AB209665)
  • IHC-P

Lab

Immunohistochemistry (Formalin/PFA-fixed paraffin-embedded sections) - Anti-Brachyury / Bry antibody [EPR18113] (AB209665)

ab209665 staining Brachyury/Bry in mouse E14.5 embryo tissue sections by Immunohistochemistry (IHC-P). Tissue was fixed paraffin and antigen retrieval was performed by heat mediation using ab93684 (Tris/EDTA buffer, pH 9.0). Samples were incubated with primary antibody at a 1/4000 dilution. A ready to use Goat anti-rabbit IgG H&L (HRP) was used as the secondary antibody. Hematoxylin was used as a counter-stain. Nuclear staining on notochord of mouse E14.5 embryo.

Western blot - Anti-Brachyury / Bry antibody [EPR18113] (AB209665)
  • WB

Lab

Western blot - Anti-Brachyury / Bry antibody [EPR18113] (AB209665)

Blocking and diluting buffer : 5% NFDM/TBST

All lanes:

Western blot - Anti-Brachyury / Bry antibody [EPR18113] (ab209665) at 1/1000 dilution

All lanes:

MUG-Chor1 (human sacral bone chordoma), whole cell lysate at 10 µg

Secondary

All lanes:

Western blot - Goat Anti-Rabbit IgG H&L (HRP) (<a href='/en-us/products/secondary-antibodies/goat-rabbit-igg-h-l-hrp-ab97051'>ab97051</a>) at 1/100000 dilution

Predicted band size: 47 kDa

Observed band size: 43 kDa,49 kDa

false

Exposure time: 5s

IHC - Wholemount - Anti-Brachyury / Bry antibody [EPR18113] (AB209665)
  • IHC - Wmt

Collaborator

IHC - Wholemount - Anti-Brachyury / Bry antibody [EPR18113] (AB209665)

IHC - Wholemount of E6.5 wholemount mouse embryo labelling Brachyury / Bry with ab209665. Sample was incubated with primary antibody (1/100 in PBS/0.1% Triton-X/5% donkey serum/1% BSA) for 18 hours at 4°C. An Alexa Fluor® 488-conjugated donkey anti-rabbit IgG monoclonal was used as the secondary antibody (1/500).

This image is courtesy of an abreview by Dr Sophie Morgani

  • Carrier free

    Anti-Brachyury / Bry antibody [EPR18113] - BSA and Azide free

  • 519 Alexa Fluor® 488

    Alexa Fluor® 488 Anti-Brachyury / Bry antibody [EPR18113]

  • 565 Alexa Fluor® 555

    Alexa Fluor® 555 Anti-Brachyury / Bry antibody [EPR18113]

  • 578 PE

    PE Anti-Brachyury / Bry antibody [EPR18113]

Key facts

Host species

Rabbit

Clonality

Monoclonal

Clone number

EPR18113

Isotype

IgG

Carrier free

No

Reacts with

Mouse, Rat, Human

Applications

IHC-P, WB, IP, Flow Cyt (Intra), ICC/IF, IHC - Wmt

applications

Immunogen

The exact immunogen used to generate this antibody is proprietary information.

Reactivity data

{ "title": "Reactivity Data", "filters": { "stats": ["", "Species", "Dilution Info", "Notes"], "tabs": { "all-applications": {"fullname" : "All Applications", "shortname": "All Applications"}, "IP" : {"fullname" : "Immunoprecipitation", "shortname":"IP"}, "WB" : {"fullname" : "Western blot", "shortname":"WB"}, "ICCIF" : {"fullname" : "Immunocytochemistry/ Immunofluorescence", "shortname":"ICC/IF"}, "IHCWmt" : {"fullname" : "IHC - Wholemount", "shortname":"IHC - Wmt"}, "FlowCytIntra" : {"fullname" : "Flow Cytometry (Intracellular)", "shortname":"Flow Cyt (Intra)"}, "IHCP" : {"fullname" : "Immunohistochemistry (Formalin/PFA-fixed paraffin-embedded sections)", "shortname":"IHC-P"} }, "product-promise": { "all": "all", "testedAndGuaranteed": "tested", "guaranteed": "expected", "predicted": "predicted", "notRecommended": "not-recommended" } }, "values": { "Human": { "IP-species-checked": "testedAndGuaranteed", "IP-species-dilution-info": "1/1000", "IP-species-notes": "<p></p>", "WB-species-checked": "testedAndGuaranteed", "WB-species-dilution-info": "1/1000", "WB-species-notes": "<p></p>", "ICCIF-species-checked": "testedAndGuaranteed", "ICCIF-species-dilution-info": "1/1000", "ICCIF-species-notes": "<p></p>", "IHCWmt-species-checked": "guaranteed", "IHCWmt-species-dilution-info": "", "IHCWmt-species-notes": "", "FlowCytIntra-species-checked": "testedAndGuaranteed", "FlowCytIntra-species-dilution-info": "1/400", "FlowCytIntra-species-notes": "<p></p>", "IHCP-species-checked": "testedAndGuaranteed", "IHCP-species-dilution-info": "1/8000", "IHCP-species-notes": "<p></p> Perform heat-mediated antigen retrieval with Tris/EDTA buffer pH 9.0 before commencing with IHC staining protocol." }, "Mouse": { "IP-species-checked": "guaranteed", "IP-species-dilution-info": "", "IP-species-notes": "", "WB-species-checked": "guaranteed", "WB-species-dilution-info": "", "WB-species-notes": "", "ICCIF-species-checked": "guaranteed", "ICCIF-species-dilution-info": "", "ICCIF-species-notes": "", "IHCWmt-species-checked": "testedAndGuaranteed", "IHCWmt-species-dilution-info": "1/100", "IHCWmt-species-notes": "<p></p>", "FlowCytIntra-species-checked": "guaranteed", "FlowCytIntra-species-dilution-info": "", "FlowCytIntra-species-notes": "", "IHCP-species-checked": "testedAndGuaranteed", "IHCP-species-dilution-info": "1/8000", "IHCP-species-notes": "<p></p> Perform heat-mediated antigen retrieval with Tris/EDTA buffer pH 9.0 before commencing with IHC staining protocol." }, "Rat": { "IP-species-checked": "guaranteed", "IP-species-dilution-info": "", "IP-species-notes": "", "WB-species-checked": "guaranteed", "WB-species-dilution-info": "", "WB-species-notes": "", "ICCIF-species-checked": "guaranteed", "ICCIF-species-dilution-info": "", "ICCIF-species-notes": "", "IHCWmt-species-checked": "guaranteed", "IHCWmt-species-dilution-info": "", "IHCWmt-species-notes": "", "FlowCytIntra-species-checked": "guaranteed", "FlowCytIntra-species-dilution-info": "", "FlowCytIntra-species-notes": "", "IHCP-species-checked": "testedAndGuaranteed", "IHCP-species-dilution-info": "1/8000", "IHCP-species-notes": "<p></p> Perform heat-mediated antigen retrieval with Tris/EDTA buffer pH 9.0 before commencing with IHC staining protocol." }, "Common marmoset": { "IP-species-checked": "predicted", "IP-species-dilution-info": "", "IP-species-notes": "", "WB-species-checked": "predicted", "WB-species-dilution-info": "", "WB-species-notes": "", "ICCIF-species-checked": "predicted", "ICCIF-species-dilution-info": "", "ICCIF-species-notes": "", "IHCWmt-species-checked": "predicted", "IHCWmt-species-dilution-info": "", "IHCWmt-species-notes": "", "FlowCytIntra-species-checked": "predicted", "FlowCytIntra-species-dilution-info": "", "FlowCytIntra-species-notes": "", "IHCP-species-checked": "predicted", "IHCP-species-dilution-info": "", "IHCP-species-notes": "" }, "Primates": { "IP-species-checked": "predicted", "IP-species-dilution-info": "", "IP-species-notes": "", "WB-species-checked": "predicted", "WB-species-dilution-info": "", "WB-species-notes": "", "ICCIF-species-checked": "predicted", "ICCIF-species-dilution-info": "", "ICCIF-species-notes": "", "IHCWmt-species-checked": "predicted", "IHCWmt-species-dilution-info": "", "IHCWmt-species-notes": "", "FlowCytIntra-species-checked": "predicted", "FlowCytIntra-species-dilution-info": "", "FlowCytIntra-species-notes": "", "IHCP-species-checked": "predicted", "IHCP-species-dilution-info": "", "IHCP-species-notes": "" } } }

Product details

Anti-Brachyury / Bry antibody [EPR18113] (ab209665) was developed by Abcam using patented rabbit monoclonal antibody technology and is validated for use in Flow Cyt (Intra), ICC/IF, IHC - Wmt, IHC-P, IP, WB in human, mouse, rat samples.

Anti-Brachyury / Bry antibody [EPR18113] (ab209665) has been cited over 38 times in peer reviewed journals and is trusted by the scientific community.

Abcam's high quality manufacturing and validation processes ensure Anti-Brachyury / Bry antibody [EPR18113] (ab209665) has high sensitivity and specificity alongside high lot-to-lot consistency and reproducibility.

Anti-Brachyury / Bry antibody [EPR18113] (ab209665) has 9 independent reviews from customers.

Anti-Brachyury / Bry antibody [EPR18113] (ab209665) specifically detects Brachyury / Bry (UniProt ID: O15178; Molecular weight: 47kDa) and is sold in 100 µL and 1 mL selling sizes.

Conjugation-ready, carrier free format available for antibody clone EPR18113 - ab236023.

Antibody clone EPR18113 is also available pre-conjugated to a variety of labels for your convenience - Alexa Fluor® 488, Alexa Fluor® 555 (ab314674, ab314675).

Patented technology
Our RabMAb® technology is a patented hybridoma-based technology for making rabbit monoclonal antibodies. For details on our patents, please refer to RabMAb® patents.

What are the advantages of a recombinant monoclonal antibody?
This product is a recombinant monoclonal antibody, which offers several advantages including:

  • - High batch-to-batch consistency and reproducibility
  • - Improved sensitivity and specificity
  • - Long-term security of supply
  • - Animal-free batch production

For more information, read more on recombinant antibodies.

Properties and storage information

Form
Liquid
Purification technique
Affinity purification Protein A
Storage buffer
pH: 7.2 - 7.4 Preservative: 0.01% Sodium azide Constituents: PBS, 40% Glycerol (glycerin, glycerine), 0.05% BSA
Shipped at conditions
Blue Ice
Appropriate short-term storage duration
1-2 weeks
Appropriate short-term storage conditions
+4°C
Appropriate long-term storage conditions
-20°C
Aliquoting information
Upon delivery aliquot
Storage information
Avoid freeze / thaw cycle

Supplementary information

This supplementary information is collated from multiple sources and compiled automatically.

The Brachyury protein also known as Bry or T acts as a transcription factor and belongs to the T-box family of genes. It consists of about 435 amino acids giving it an estimated mass of around 47 kDa. Brachyury plays a critical role in the development of the posterior mesoderm and nucleus pulposus during embryogenesis. It is strongly expressed in the notochord mesoderm and some tumor tissues. The protein's presence can be detected using specific assays such as Brachyury IHC (immunohistochemistry) and Brachyury stain which help identify Brachyury marker expression in both normal and pathological states.
Biological function summary

The Brachyury protein influences the morphogenetic movement in mesoderm development. It directly interacts with specific DNA sequences to regulate the transcription of target genes. Brachyury often operates as part of a larger transcriptional complex that manages the differentiation and migration of cells during embryogenesis. The gene's expression indicates mesodermal differentiation and is important for cell fate decisions within developing embryos.

Pathways

Brachyury plays a significant role in the Wnt signaling and the TGF-beta pathways. These pathways are essential in controlling cell proliferation and differentiation. Brachyury directly impacts the regulation of these pathways influencing other proteins like beta-catenin in Wnt signaling. This interconnectedness suggests its broader role in cellular communication and development processes potentially affecting gene expression across these pathways.

Brachyury has been associated with various cancers such as chordoma and other related tumors. Chordoma specifically involves the notochord where Brachyury marks the disease's presence. Other proteins like E-cadherin interact with Brachyury in tumor progression and metastasis. Understanding Brachyury's function helps in diagnosing and potentially targeting treatment options for these ailments.

Product protocols

For this product, it's our understanding that no specific protocols are required. You can visit:

Target data

Involved in the transcriptional regulation of genes required for mesoderm formation and differentiation. Binds to a palindromic T site 5'-TTCACACCTAGGTGTGAA-3' DNA sequence and activates gene transcription when bound to such a site.
See full target information TBXT

Publications (63)

Recent publications for all applications. Explore the full list and refine your search

Stem cell research & therapy 16:510 PubMed41013592

2025

Culture of pluripotent stem cells in microscale droplets modulates differentiation and tissue patterning towards organoids on chip.

Applications

Unspecified application

Species

Unspecified reactive species

Nadia Vertti-Quintero,Clara Delahousse,Andrey Aristov,Tatiana Traboulsi,Jack-Christophe Cossec,Charles N Baroud,Sébastien Sart

iScience 28:112608 PubMed40502710

2025

The single-cell transcription reveals the aberrant differentiation trajectory of chondrocytes in the intervertebral disc for congenital scoliosis.

Applications

Unspecified application

Species

Unspecified reactive species

Junfeng Wang,Haodong Li,Dong Fu,Yiming Zheng,Chuang Qian,Lin Li,Maoxiang Qian,Dahui Wang

STAR protocols 6:103719 PubMed40156836

2025

Protocol for constructing in vivo and in vitro models integrating clinical and proteomic subtypes of chordoma.

Applications

Unspecified application

Species

Unspecified reactive species

Jianxuan Gao,Jinbo Hu,Tong Meng

PloS one 20:e0317309 PubMed40138371

2025

Stem cell culture conditions affect in vitro differentiation potential and mouse gastruloid formation.

Applications

Unspecified application

Species

Unspecified reactive species

Marloes Blotenburg,Lianne Suurenbroek,Danique Bax,Joëlle de Visser,Vivek Bhardwaj,Luca Braccioli,Elzo de Wit,Antonius van Boxtel,Hendrik Marks,Peter Zeller

CNS neuroscience & therapeutics 31:e70240 PubMed39868835

2025

Morphological Characteristics and Extracellular Matrix Abnormalities in Astrocytes Derived From iPSCs of Children With Alexander Disease.

Applications

Unspecified application

Species

Unspecified reactive species

Huan Yi,Jie Zhang,Kai Gao,Wei Yan,Hongyuan Chu,Junjiao Zhang,Fan Zhang,Yuwu Jiang,Jingmin Wang,Ye Wu

Bioactive materials 45:181-200 PubMed39651397

2024

Engineering aortic valves via transdifferentiating fibroblasts into valvular endothelial cells without using viruses or iPS cells.

Applications

Unspecified application

Species

Unspecified reactive species

Peng Tang,Fuxiang Wei,Weihua Qiao,Xing Chen,Chenyang Ji,Wanzhi Yang,Xinyu Zhang,Sihan Chen,Yanyan Wu,Mingxing Jiang,Chenyu Ma,Weiqiang Shen,Qi Dong,Hong Cao,Minghui Xie,Ziwen Cai,Li Xu,Jiawei Shi,Nianguo Dong,Junwei Chen,Ning Wang

Cell reports methods 4:100897 PubMed39515335

2024

Generation of self-renewing neuromesodermal progenitors with neuronal and skeletal muscle bipotential from human embryonic stem cells.

Applications

Unspecified application

Species

Unspecified reactive species

Pingxin Sun,Yuan Yuan,Zhuman Lv,Xinlu Yu,Haoxin Ma,Shulong Liang,Jiqianzhu Zhang,Jiangbo Zhu,Junyu Lu,Chunyan Wang,Le Huan,Caixia Jin,Chao Wang,Wenlin Li

Nature communications 15:8338 PubMed39333076

2024

Proteogenomic characterization of skull-base chordoma.

Applications

Unspecified application

Species

Unspecified reactive species

Qilin Zhang,Ziyan Xu,Rui Han,Yunzhi Wang,Zhen Ye,Jiajun Zhu,Yixin Cai,Fan Zhang,Jiangyan Zhao,Boyuan Yao,Zhaoyu Qin,Nidan Qiao,Ruofan Huang,Jinwen Feng,Yongfei Wang,Wenting Rui,Fuchu He,Yao Zhao,Chen Ding

Communications biology 7:1100 PubMed39244636

2024

PHD2 safeguards modest mesendoderm development.

Applications

Unspecified application

Species

Unspecified reactive species

Meng Li,Huaizhang Jin,Yun Zhao,Guoping Zhu,Yu Liu,Hongan Long,Xiaopeng Shen

Stem cell research & therapy 15:232 PubMed39075528

2024

Robust bioprocess design and evaluation of commercial media for the serial expansion of human induced pluripotent stem cell aggregate cultures in vertical-wheel bioreactors.

Applications

Unspecified application

Species

Unspecified reactive species

Breanna S Borys,Tiffany Dang,Hannah Worden,Leila Larijani,Jessica M Corpuz,Brett D Abraham,Emilie J Gysel,Julia Malinovska,Roman Krawetz,Tamas Revay,Bob Argiropoulos,Derrick E Rancourt,Michael S Kallos,Sunghoon Jung
View all publications

Product promise

We are committed to supporting your work with high-quality reagents, and we're here for you every step of the way. In the unlikely event that one of our products does not perform as expected, you're protected by our Product Promise.
For full details, please see our Terms & Conditions

Please note: All products are 'FOR RESEARCH USE ONLY. NOT FOR USE IN DIAGNOSTIC OR THERAPEUTIC PROCEDURES'.

For licensing inquiries, please contact partnerships@abcam.com