JavaScript is disabled in your browser. Please enable JavaScript to view this website.
AB236023

Anti-Brachyury / Bry antibody [EPR18113] - BSA and Azide free

Be the first to review this product! Submit a review

|

(1 Publication)

Rabbit Recombinant Monoclonal Brachyury / Bry antibody. Carrier free. Suitable for IP, WB, ICC/IF, IHC - Wmt, Flow Cyt (Intra), IHC-P and reacts with Human, Mouse, Rat samples. Cited in 1 publication.

View Alternative Names

T, TBXT, T-box transcription factor T, Brachyury protein, Protein T

11 Images
Immunohistochemistry (Formalin/PFA-fixed paraffin-embedded sections) - Anti-Brachyury / Bry antibody [EPR18113] - BSA and Azide free (AB236023)
  • IHC-P

Supplier Data

Immunohistochemistry (Formalin/PFA-fixed paraffin-embedded sections) - Anti-Brachyury / Bry antibody [EPR18113] - BSA and Azide free (AB236023)

Immunohistochemical analysis of paraffin-embedded Human meningioma tissue labeling Brachyury / Bry with ab209665 at 1/8000 dilution, followed by Goat Anti-Rabbit IgG H&L (HRP) (ab97051) at 1/500 dilution. Negative staining on Human meningioma. Counter stained with Hematoxylin.

Secondary antibody only control : Used PBS instead of primary antibody, secondary antibody is Goat Anti-Rabbit IgG H&L (HRP) (ab97051) at 1/500 dilution.

This data was developed using the same antibody clone in a different buffer formulation containing PBS, BSA, glycerol, and sodium azide (ab209665).

Perform heat mediated antigen retrieval with Tris/EDTA buffer pH 9.0 before commencing with IHC staining protocol.

Immunohistochemistry (Formalin/PFA-fixed paraffin-embedded sections) - Anti-Brachyury / Bry antibody [EPR18113] - BSA and Azide free (AB236023)
  • IHC-P

Supplier Data

Immunohistochemistry (Formalin/PFA-fixed paraffin-embedded sections) - Anti-Brachyury / Bry antibody [EPR18113] - BSA and Azide free (AB236023)

Immunohistochemical analysis of paraffin-embedded Human chondrosarcoma tissue labeling Brachyury / Bry with ab209665 at 1/8000 dilution, followed by Goat Anti-Rabbit IgG H&L (HRP) (ab97051) at 1/500 dilution. Negative staining on Human chondrosarcoma. Counter stained with Hematoxylin.

Secondary antibody only control : Used PBS instead of primary antibody, secondary antibody is Goat Anti-Rabbit IgG H&L (HRP) (ab97051) at 1/500 dilution.

This data was developed using the same antibody clone in a different buffer formulation containing PBS, BSA, glycerol, and sodium azide (ab209665).

Perform heat mediated antigen retrieval with Tris/EDTA buffer pH 9.0 before commencing with IHC staining protocol.

Immunocytochemistry/ Immunofluorescence - Anti-Brachyury / Bry antibody [EPR18113] - BSA and Azide free (AB236023)
  • ICC/IF

Lab

Immunocytochemistry/ Immunofluorescence - Anti-Brachyury / Bry antibody [EPR18113] - BSA and Azide free (AB236023)

This data was developed using ab209665, the same antibody clone in a different buffer formulation.

Confocal image showing nucleus staining in MUG-Chor1 cell line (shown in green). The counterstain was observed in red. Nuclear DNA was labelled with DAPI (shown in blue).

ab209665 staining Brachyury/Bry in MUG-Chor1 (human sacral bone chordoma) cells by ICC/IF (Immunocytochemistry/Immunofluorescence). Cells were fixed 4% paraformaldehyde and permeabilized with 0.1% tritonX-100. Samples were incubated with primary antibody at a 1/1000 dilution.  An AlexaFluor®488 Goat anti-Rabbit (ab150077) was used as the secondary antibody at a 1/1000 dilution.  An Anti-alpha Tubulin antibody [DM1A] - Microtubule Marker (Alexa Fluor® 594) (ab195889) was used as a counterstain antibody.  DAPI was used as nuclear counterstain. Nuclear staining on MUG-Chor1 cells.

Immunohistochemistry (Formalin/PFA-fixed paraffin-embedded sections) - Anti-Brachyury / Bry antibody [EPR18113] - BSA and Azide free (AB236023)
  • IHC-P

Supplier Data

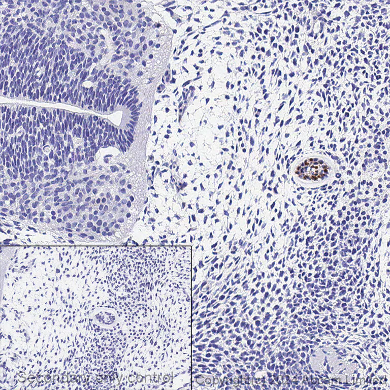
Immunohistochemistry (Formalin/PFA-fixed paraffin-embedded sections) - Anti-Brachyury / Bry antibody [EPR18113] - BSA and Azide free (AB236023)

Immunohistochemical analysis of paraffin-embedded Human chordoma tissue labeling Brachyury / Bry with ab209665 at 1/8000 dilution, followed by Goat Anti-Rabbit IgG H&L (HRP) (ab97051) at 1/500 dilution. Nucleus staining on Human chordoma is observed. Counter stained with Hematoxylin

Secondary antibody only control : Used PBS instead of primary antibody, secondary antibody is Goat Anti-Rabbit IgG H&L (HRP) (ab97051) at 1/500 dilution.

This data was developed using the same antibody clone in a different buffer formulation containing PBS, BSA, glycerol, and sodium azide (ab209665).

Perform heat mediated antigen retrieval with Tris/EDTA buffer pH 9.0 before commencing with IHC staining protocol.

Immunohistochemistry (Formalin/PFA-fixed paraffin-embedded sections) - Anti-Brachyury / Bry antibody [EPR18113] - BSA and Azide free (AB236023)
  • IHC-P

Supplier Data

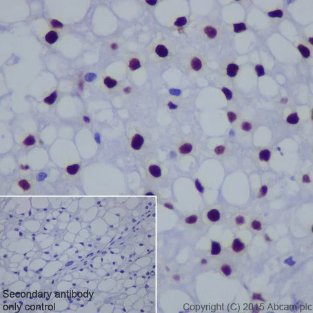
Immunohistochemistry (Formalin/PFA-fixed paraffin-embedded sections) - Anti-Brachyury / Bry antibody [EPR18113] - BSA and Azide free (AB236023)

Immunohistochemical analysis of paraffin-embedded Human kidney tissue labeling Brachyury / Bry with ab209665 at 1/8000 dilution, followed by Goat Anti-Rabbit IgG H&L (HRP) (ab97051) at 1/500 dilution. Negative staining on Human kidney. Counter stained with Hematoxylin.

Secondary antibody only control : Used PBS instead of primary antibody, secondary antibody is Goat Anti-Rabbit IgG H&L (HRP) (ab97051) at 1/500 dilution.

This data was developed using the same antibody clone in a different buffer formulation containing PBS, BSA, glycerol, and sodium azide (ab209665).

Perform heat mediated antigen retrieval with Tris/EDTA buffer pH 9.0 before commencing with IHC staining protocol.

Flow Cytometry (Intracellular) - Anti-Brachyury / Bry antibody [EPR18113] - BSA and Azide free (AB236023)
  • Flow Cyt (Intra)

Lab

Flow Cytometry (Intracellular) - Anti-Brachyury / Bry antibody [EPR18113] - BSA and Azide free (AB236023)

ab209665 staining Brachyury/Bry in MUG-Chor1 (Human sacral bone chordoma) cell line by intracellular flow cytometry. Cells were fixed with 4% paraformaldehyde and 90% methanol. Sample was incubated with primary antibody at 1/400 dilution (red). A Goat anti-rabbit IgG (Alexa Fluor® 488, ab150077) at 1/2000 dilution. Rabbit monoclonal IgG (ab172730) (Black) was used as an isotype control. Cell without incubation with primary antibody and secondary antibody (Blue).

This data was developed using the same antibody clone in a different buffer formulation containing PBS, BSA, glycerol, and sodium azide (ab209665).

Immunohistochemistry (Formalin/PFA-fixed paraffin-embedded sections) - Anti-Brachyury / Bry antibody [EPR18113] - BSA and Azide free (AB236023)
  • IHC-P

Lab

Immunohistochemistry (Formalin/PFA-fixed paraffin-embedded sections) - Anti-Brachyury / Bry antibody [EPR18113] - BSA and Azide free (AB236023)

This data was developed using ab209665, the same antibody clone in a different buffer formulation.

Immunohistochemical analysis of formalin fixed paraffin embedded mouse embryo E14 labelling Brachyury/Bry with ab209665 at a concentration of 4µg/ml. The immunostaining was performed on a Ventana DISCOVERY ULTRA (Roche Tissue Diagnostics) instrument with a ChromoMap DAB IHC Kit with anti-rabbit HQ, anti-HQ HRP detection. Heat mediated antigen retrieval was performed with DISCOVERY cell conditioning solution (CC1) 100°C, pH8.5 for 64mins.

Anti-Brachyury/Bry antibody [EPR18113] ab209665 was incubated for 16mins at 37°C. Sections were counterstained with Hematoxylin II. Image inset shows absence of staining in secondary antibody only control.

Customers are encouraged to optimise antigen retrieval conditions, antibody concentration, incubation times and temperature for best results in their own IHC assay workflow (automated and manual).

Immunohistochemistry (Formalin/PFA-fixed paraffin-embedded sections) - Anti-Brachyury / Bry antibody [EPR18113] - BSA and Azide free (AB236023)
  • IHC-P

Lab

Immunohistochemistry (Formalin/PFA-fixed paraffin-embedded sections) - Anti-Brachyury / Bry antibody [EPR18113] - BSA and Azide free (AB236023)

ab209665 staining Brachyury/Bry in Rat E14.5 embryo tissue sections by Immunohistochemistry (IHC-P). Tissue was fixed paraffin and antigen retrieval was performed by heat mediation using ab93684 (Tris/EDTA buffer, pH 9.0). Samples were incubated with primary antibody at a 1/4000 dilution. A ready to use Goat anti-rabbit IgG H&L (HRP) was used as the secondary antibody. Hematoxylin was used as a counter-stain. Nuclear staining on notochord of rat E14.5 embryo.

This data was developed using the same antibody clone in a different buffer formulation containing PBS, BSA, glycerol, and sodium azide (ab209665).

Immunohistochemistry (Formalin/PFA-fixed paraffin-embedded sections) - Anti-Brachyury / Bry antibody [EPR18113] - BSA and Azide free (AB236023)
  • IHC-P

Lab

Immunohistochemistry (Formalin/PFA-fixed paraffin-embedded sections) - Anti-Brachyury / Bry antibody [EPR18113] - BSA and Azide free (AB236023)

ab209665 staining Brachyury/Bry in mouse E14.5 embryo tissue sections by Immunohistochemistry (IHC-P). Tissue was fixed paraffin and antigen retrieval was performed by heat mediation using ab93684 (Tris/EDTA buffer, pH 9.0). Samples were incubated with primary antibody at a 1/4000 dilution. A ready to use Goat anti-rabbit IgG H&L (HRP) was used as the secondary antibody. Hematoxylin was used as a counter-stain. Nuclear staining on notochord of mouse E14.5 embryo.

This data was developed using the same antibody clone in a different buffer formulation containing PBS, BSA, glycerol, and sodium azide (ab209665).

IHC - Wholemount - Anti-Brachyury / Bry antibody [EPR18113] - BSA and Azide free (AB236023)
  • IHC - Wmt

Collaborator

IHC - Wholemount - Anti-Brachyury / Bry antibody [EPR18113] - BSA and Azide free (AB236023)

IHC - Wholemount of E6.5 wholemount mouse embryo labelling Brachyury / Bry with ab209665. Sample was incubated with primary antibody (1/100 in PBS/0.1% Triton-X/5% donkey serum/1% BSA) for 18 hours at 4°C. An Alexa Fluor® 488-conjugated donkey anti-rabbit IgG monoclonal was used as the secondary antibody (1/500).

This data was developed using the same antibody clone in a different buffer formulation containing PBS, BSA, glycerol, and sodium azide (ab209665).

This image is courtesy of an abreview by Dr Sophie Morgani

Immunoprecipitation - Anti-Brachyury / Bry antibody [EPR18113] - BSA and Azide free (AB236023)
  • IP

Lab

Immunoprecipitation - Anti-Brachyury / Bry antibody [EPR18113] - BSA and Azide free (AB236023)

Lane 1 (input) : MUG-Chor1 (human sacral bone chordoma) whole cell lysate, 10 μg
Lane 2 (+) : MUG-Chor1 whole cell lysate
Lane 3 (-) : Rabbit monoclonal IgG (ab172730) instead of ab209665 in MUG-Chor1 whole cell lysate

ab209665 immunoprecipitating Brachyury/Bry in MUG-Chor1 lysates. For western blotting, primary antibody used was ab209665 at 1/1000 dilution. VeriBlot for IP Detection Reagent (HRP) (ab131366), was used for detection at 1/10,000 dilution. Blocking and diluting buffer used was 5% NFDM/TBST.

This data was developed using the same antibody clone in a different buffer formulation containing PBS, BSA, glycerol, and sodium azide (ab209665).

All lanes:

Immunoprecipitation - Anti-Brachyury / Bry antibody [EPR18113] (<a href='/en-us/products/primary-antibodies/brachyury-bry-antibody-epr18113-ab209665'>ab209665</a>)

Predicted band size: 47 kDa

false

  • Unconjugated

    Anti-Brachyury / Bry antibody [EPR18113]

  • 578 PE

    PE Anti-Brachyury / Bry antibody [EPR18113]

  • 519 Alexa Fluor® 488

    Alexa Fluor® 488 Anti-Brachyury / Bry antibody [EPR18113]

  • 565 Alexa Fluor® 555

    Alexa Fluor® 555 Anti-Brachyury / Bry antibody [EPR18113]

Key facts

Host species

Rabbit

Clonality

Monoclonal

Clone number

EPR18113

Isotype

IgG

Carrier free

Yes

Reacts with

Mouse, Rat, Human

Applications

ICC/IF, WB, IHC-P, IP, Flow Cyt (Intra), IHC - Wmt

applications

Immunogen

The exact immunogen used to generate this antibody is proprietary information.

Reactivity data

{ "title": "Reactivity Data", "filters": { "stats": ["", "Species", "Dilution Info", "Notes"], "tabs": { "all-applications": {"fullname" : "All Applications", "shortname": "All Applications"}, "IP" : {"fullname" : "Immunoprecipitation", "shortname":"IP"}, "WB" : {"fullname" : "Western blot", "shortname":"WB"}, "ICCIF" : {"fullname" : "Immunocytochemistry/ Immunofluorescence", "shortname":"ICC/IF"}, "IHCWmt" : {"fullname" : "IHC - Wholemount", "shortname":"IHC - Wmt"}, "FlowCytIntra" : {"fullname" : "Flow Cytometry (Intracellular)", "shortname":"Flow Cyt (Intra)"}, "IHCP" : {"fullname" : "Immunohistochemistry (Formalin/PFA-fixed paraffin-embedded sections)", "shortname":"IHC-P"} }, "product-promise": { "all": "all", "testedAndGuaranteed": "tested", "guaranteed": "expected", "predicted": "predicted", "notRecommended": "not-recommended" } }, "values": { "Human": { "IP-species-checked": "testedAndGuaranteed", "IP-species-dilution-info": "", "IP-species-notes": "<p></p> Perform heat-mediated antigen retrieval with Tris/EDTA buffer pH 9.0 before commencing with IHC staining protocol.", "WB-species-checked": "guaranteed", "WB-species-dilution-info": "", "WB-species-notes": "<p></p>", "ICCIF-species-checked": "testedAndGuaranteed", "ICCIF-species-dilution-info": "", "ICCIF-species-notes": "<p></p>", "IHCWmt-species-checked": "guaranteed", "IHCWmt-species-dilution-info": "", "IHCWmt-species-notes": "", "FlowCytIntra-species-checked": "testedAndGuaranteed", "FlowCytIntra-species-dilution-info": "", "FlowCytIntra-species-notes": "<p></p>", "IHCP-species-checked": "testedAndGuaranteed", "IHCP-species-dilution-info": "", "IHCP-species-notes": "<p></p> Perform heat-mediated antigen retrieval with Tris/EDTA buffer pH 9.0 before commencing with IHC staining protocol." }, "Mouse": { "IP-species-checked": "guaranteed", "IP-species-dilution-info": "", "IP-species-notes": "", "WB-species-checked": "guaranteed", "WB-species-dilution-info": "", "WB-species-notes": "<p></p>", "ICCIF-species-checked": "guaranteed", "ICCIF-species-dilution-info": "", "ICCIF-species-notes": "", "IHCWmt-species-checked": "testedAndGuaranteed", "IHCWmt-species-dilution-info": "", "IHCWmt-species-notes": "<p></p>", "FlowCytIntra-species-checked": "guaranteed", "FlowCytIntra-species-dilution-info": "", "FlowCytIntra-species-notes": "", "IHCP-species-checked": "testedAndGuaranteed", "IHCP-species-dilution-info": "", "IHCP-species-notes": "<p></p>" }, "Rat": { "IP-species-checked": "predicted", "IP-species-dilution-info": "", "IP-species-notes": "", "WB-species-checked": "guaranteed", "WB-species-dilution-info": "", "WB-species-notes": "<p></p>", "ICCIF-species-checked": "predicted", "ICCIF-species-dilution-info": "", "ICCIF-species-notes": "", "IHCWmt-species-checked": "predicted", "IHCWmt-species-dilution-info": "", "IHCWmt-species-notes": "", "FlowCytIntra-species-checked": "predicted", "FlowCytIntra-species-dilution-info": "", "FlowCytIntra-species-notes": "", "IHCP-species-checked": "predicted", "IHCP-species-dilution-info": "", "IHCP-species-notes": "" } } }

Product details

ab236023 is the carrier-free version of ab209665.

Patented technology
Our RabMAb® technology is a patented hybridoma-based technology for making rabbit monoclonal antibodies. For details on our patents, please refer to RabMAb® patents.

What are the advantages of a recombinant monoclonal antibody?
This product is a recombinant monoclonal antibody, which offers several advantages including:

  • - High batch-to-batch consistency and reproducibility
  • - Improved sensitivity and specificity
  • - Long-term security of supply
  • - Animal-free batch production

For more information, read more on recombinant antibodies.

Conjugation ready
Our carrier-free antibodies are typically supplied in a PBS-only formulation, purified and free of BSA, sodium azide and glycerol. This conjugation-ready format is designed for use with fluorochromes, metal isotopes, oligonucleotides, and enzymes, which makes them ideal for antibody labelling, functional and cell-based assays, flow-based assays (e.g. mass cytometry) and Multiplex Imaging applications.

Use our conjugation kits for antibody conjugates that are ready-to-use in as little as 20 minutes with 1 minute hands-on-time and 100% antibody recovery: available for fluorescent dyes, HRP, biotin and gold.

Compatibility
This product is compatible with the Maxpar® Antibody Labeling Kit from Fluidigm, without the need for antibody preparation. Maxpar® is a trademark of Fluidigm Canada Inc.

Properties and storage information

Form
Liquid
Purification technique
Affinity purification Protein A
Storage buffer
pH: 7.2 - 7.4 Constituents: PBS
Shipped at conditions
Blue Ice
Appropriate short-term storage conditions
+4°C
Appropriate long-term storage conditions
+4°C
Storage information
Do Not Freeze

Supplementary information

This supplementary information is collated from multiple sources and compiled automatically.

The Brachyury protein also known as Bry or T acts as a transcription factor and belongs to the T-box family of genes. It consists of about 435 amino acids giving it an estimated mass of around 47 kDa. Brachyury plays a critical role in the development of the posterior mesoderm and nucleus pulposus during embryogenesis. It is strongly expressed in the notochord mesoderm and some tumor tissues. The protein's presence can be detected using specific assays such as Brachyury IHC (immunohistochemistry) and Brachyury stain which help identify Brachyury marker expression in both normal and pathological states.
Biological function summary

The Brachyury protein influences the morphogenetic movement in mesoderm development. It directly interacts with specific DNA sequences to regulate the transcription of target genes. Brachyury often operates as part of a larger transcriptional complex that manages the differentiation and migration of cells during embryogenesis. The gene's expression indicates mesodermal differentiation and is important for cell fate decisions within developing embryos.

Pathways

Brachyury plays a significant role in the Wnt signaling and the TGF-beta pathways. These pathways are essential in controlling cell proliferation and differentiation. Brachyury directly impacts the regulation of these pathways influencing other proteins like beta-catenin in Wnt signaling. This interconnectedness suggests its broader role in cellular communication and development processes potentially affecting gene expression across these pathways.

Brachyury has been associated with various cancers such as chordoma and other related tumors. Chordoma specifically involves the notochord where Brachyury marks the disease's presence. Other proteins like E-cadherin interact with Brachyury in tumor progression and metastasis. Understanding Brachyury's function helps in diagnosing and potentially targeting treatment options for these ailments.

Product protocols

For this product, it's our understanding that no specific protocols are required. You can visit:

Target data

Involved in the transcriptional regulation of genes required for mesoderm formation and differentiation. Binds to a palindromic T site 5'-TTCACACCTAGGTGTGAA-3' DNA sequence and activates gene transcription when bound to such a site.
See full target information TBXT

Publications (1)

Recent publications for all applications. Explore the full list and refine your search

Open medicine (Warsaw, Poland) 20:20251206 PubMed40918165

2025

Peptide CCAT1-70aa promotes hepatocellular carcinoma proliferation and invasion via the MAPK/ERK pathway.

Applications

Unspecified application

Species

Unspecified reactive species

Xianjian Wu,Ruifeng Liang,Guoman Liu,Quan Fang,Zuoming Xu,Wenchuan Li,Chuan Tan,Jian Pu
View all publications

Product promise

We are committed to supporting your work with high-quality reagents, and we're here for you every step of the way. In the unlikely event that one of our products does not perform as expected, you're protected by our Product Promise.
For full details, please see our Terms & Conditions

Please note: All products are 'FOR RESEARCH USE ONLY. NOT FOR USE IN DIAGNOSTIC OR THERAPEUTIC PROCEDURES'.

For licensing inquiries, please contact partnerships@abcam.com