JavaScript is disabled in your browser. Please enable JavaScript to view this website.
AB189351

Anti-BRAF antibody [EP152Y] - BSA and Azide free

Be the first to review this product! Submit a review

|

(5 Publications)

Rabbit Recombinant Monoclonal BRAF antibody. Carrier free. Suitable for IP, WB, IHC-P and reacts with Human, Mouse, Rat samples. Cited in 5 publications.

View Alternative Names

BRAF1, RAFB1, BRAF, Serine/threonine-protein kinase B-raf, Proto-oncogene B-Raf, p94, v-Raf murine sarcoma viral oncogene homolog B1

6 Images
Immunohistochemistry (Formalin/PFA-fixed paraffin-embedded sections) - Anti-BRAF antibody [EP152Y] - BSA and Azide free (AB189351)
  • IHC-P

Unknown

Immunohistochemistry (Formalin/PFA-fixed paraffin-embedded sections) - Anti-BRAF antibody [EP152Y] - BSA and Azide free (AB189351)

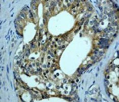
This IHC data was generated using the same anti-B Raf antibody clone, EP152Y, in a different buffer formulation (cat# ab33899).

This image shows paraffin embedded human prostate cancer tissue sample stained with ab33899 (unpurified) at 1/250 dilution.

Immunohistochemistry (Formalin/PFA-fixed paraffin-embedded sections) - Anti-BRAF antibody [EP152Y] - BSA and Azide free (AB189351)
  • IHC-P

Unknown

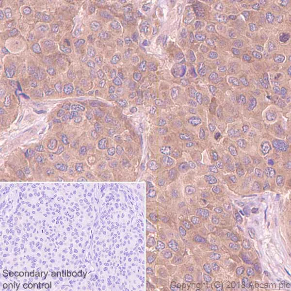
Immunohistochemistry (Formalin/PFA-fixed paraffin-embedded sections) - Anti-BRAF antibody [EP152Y] - BSA and Azide free (AB189351)

Immunohistochemistry (Formalin/PFA-fixed paraffin-embedded sections) analysis of Human breast cancer tissue sections labeling BRAF with purified ab33899 at 1/100 dilution (4.77 μg/ml). Heat mediated antigen retrieval was performed using ab93684 (Tris/EDTA buffer, pH 9.0). ImmunoHistoProbe one step HRP Polymer (ready to use) was used as the secondary antibody. Negative control : PBS instead of the primary antibody. Hematoxylin was used as a counterstain.

This data was developed using the same antibody clone in a different buffer formulation containing PBS, BSA, glycerol, and sodium azide (ab33899).

Immunoprecipitation - Anti-BRAF antibody [EP152Y] - BSA and Azide free (AB189351)
  • IP

Unknown

Immunoprecipitation - Anti-BRAF antibody [EP152Y] - BSA and Azide free (AB189351)

ab33899 (Purified) at 1 : 500 dilution (0.954 μg/ml) immunoprecipitating BRAF in HeLa whole cell lysate .
Lane 1 (input) : HeLa (human cervix adenocarcinoma epithelial cell) whole cell lysate 10 μg
Lane 2 (+) : ab33899 & HeLa whole cell lysate
Lane 3 (-) : Rabbit monoclonal IgG (ab172730) instead of ab33899 in HeLa whole cell lysate
For western blotting, VeriBlot for IP Detection Reagent (HRP) (ab131366) was used for detection at 1 : 1000 dilution.
Blocking and diluting buffer : 5% NFDM /TBST .This data was developed using the same antibody clone in a different buffer formulation containing PBS, BSA, glycerol, and sodium azide (ab189351)

All lanes:

Immunoprecipitation - Anti-BRAF antibody [EP152Y] (<a href='/en-us/products/primary-antibodies/braf-antibody-ep152y-ab33899'>ab33899</a>)

Predicted band size: 84 kDa

false

Immunohistochemistry (Formalin/PFA-fixed paraffin-embedded sections) - Anti-BRAF antibody [EP152Y] - BSA and Azide free (AB189351)
  • IHC-P

Unknown

Immunohistochemistry (Formalin/PFA-fixed paraffin-embedded sections) - Anti-BRAF antibody [EP152Y] - BSA and Azide free (AB189351)

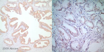
This IHC data was generated using the same anti-B Raf antibody clone, EP152Y, in a different buffer formulation (cat# ab33899).

ab33899 (unpurified) staining B Raf cells from human prostate tissue by immunohistochemistry (formalin/PFA-fixed paraffin-embedded sections). Cells were formaldehyde fixed and permeabilized in PBS-Tween 20 prior to blocking in 70% serum for 10 minutes at 25°C. The primary antibody was diluted 1/250 and incubated with the sample for 1 hour at 25°C. A biotin conjugated goat polyclonal to mouse Ig was used as the secondary.

Western blot - Anti-BRAF antibody [EP152Y] - BSA and Azide free (AB189351)
  • WB

Lab

Western blot - Anti-BRAF antibody [EP152Y] - BSA and Azide free (AB189351)

This data was developed using the same antibody clone in a different buffer formulation (ab33899).

Lanes 1- 2 : Merged signal (red and green). Green - ab33899 observed at 90 kDa. Red - Anti-GAPDH antibody [6C5] - Loading Control (ab8245) observed at 37 kDa.

ab33899 was shown to react with BRAF in wild-type HeLa cells in western blot. Loss of signal was observed when knockout cell line ab265373 (knockout cell lysate ab257078) was used. Wild-type HeLa and BRAF knockout HeLa cell lysates were subjected to SDS-PAGE. Membrane was blocked for 1 hour at room temperature in 0.1% TBST with 3% non-fat dried milk. ab33899 and Anti-GAPDH antibody [6C5] - Loading Control (ab8245) overnight at 4°C at a 1 in 1000 dilution and a 1 in 20000 dilution respectively. Blots were developed with Goat anti-Rabbit IgG H&L (IRDye®800CW) preadsorbed (ab216773) and Goat anti-Mouse IgG H&L (IRDye®680RD) preadsorbed (ab216776) secondary antibodies at 1 in 20000 dilution for 1 hour at room temperature before imaging.

All lanes:

Western blot - Anti-BRAF antibody [EP152Y] (<a href='/en-us/products/primary-antibodies/braf-antibody-ep152y-ab33899'>ab33899</a>) at 1/1000 dilution

Lane 1:

Wild-type HeLa cell lysate at 20 µg

Lane 2:

BRAF knockout HeLa cell lysate at 20 µg

Predicted band size: 84 kDa

Observed band size: 90 kDa

false

Western blot - Anti-BRAF antibody [EP152Y] - BSA and Azide free (AB189351)
  • WB

Lab

Western blot - Anti-BRAF antibody [EP152Y] - BSA and Azide free (AB189351)

Lanes 1 - 3 : Merged signal (red and green). Green - ab33899 (unpurified) observed at 90 kDa. Red - loading control, ab8245, observed at 37 kDa.

ab33899 was shown to recognize BRAF in wild-type HAP1 cells as signal was lost at the expected MW in BRAF knockout cells. Additional cross-reactive bands were observed in the wild-type and knockout cells. Wild-type and BRAF knockout samples were subjected to SDS-PAGE. ab33899 and ab8245 (Mouse anti-GAPDH loading control) were incubated overnight at 4°C at 1/1000 dilution and 1/20000 dilution respectively. Blots were developed with Goat anti-Rabbit IgG H&L (IRDye® 800CW) preabsorbed ab216773 and Goat anti-Mouse IgG H&L (IRDye® 680RD) preabsorbed ab216776 secondary antibodies at 1/20000 dilution for 1 hour at room temperature before imaging.

This data was developed using the same antibody clone in a different buffer formulation containing PBS, BSA, glycerol, and sodium azide (ab33899).

All lanes:

Western blot - Anti-BRAF antibody [EP152Y] (<a href='/en-us/products/primary-antibodies/braf-antibody-ep152y-ab33899'>ab33899</a>) at 1/1000 dilution

Lane 1:

Wild-type HAP1 whole cell lysate at 40 µg

Lane 2:

BRAF knockout HAP1 whole cell lysate at 40 µg

Lane 3:

HeLa whole cell lysate at 40 µg

Predicted band size: 84 kDa

false

Key facts

Host species

Rabbit

Clonality

Monoclonal

Clone number

EP152Y

Isotype

IgG

Carrier free

Yes

Reacts with

Mouse, Rat, Human

Applications

IP, IHC-P, WB

applications

Immunogen

The exact immunogen used to generate this antibody is proprietary information.

Specificity

The mouse and rat recommendation is based on the WB results. We do not guarantee IHC-P for mouse and rat.

Reactivity data

{ "title": "Reactivity Data", "filters": { "stats": ["", "Species", "Dilution Info", "Notes"], "tabs": { "all-applications": {"fullname" : "All Applications", "shortname": "All Applications"}, "IP" : {"fullname" : "Immunoprecipitation", "shortname":"IP"}, "WB" : {"fullname" : "Western blot", "shortname":"WB"}, "IHCP" : {"fullname" : "Immunohistochemistry (Formalin/PFA-fixed paraffin-embedded sections)", "shortname":"IHC-P"} }, "product-promise": { "all": "all", "testedAndGuaranteed": "tested", "guaranteed": "expected", "predicted": "predicted", "notRecommended": "not-recommended" } }, "values": { "Human": { "IP-species-checked": "testedAndGuaranteed", "IP-species-dilution-info": "", "IP-species-notes": "<p></p>", "WB-species-checked": "testedAndGuaranteed", "WB-species-dilution-info": "", "WB-species-notes": "<p></p>", "IHCP-species-checked": "testedAndGuaranteed", "IHCP-species-dilution-info": "", "IHCP-species-notes": "<p>The mouse and rat recommendation is based on the WB results. We do not guarantee IHC-P for mouse and rat.</p>" }, "Mouse": { "IP-species-checked": "predicted", "IP-species-dilution-info": "", "IP-species-notes": "", "WB-species-checked": "guaranteed", "WB-species-dilution-info": "", "WB-species-notes": "<p></p>", "IHCP-species-checked": "predicted", "IHCP-species-dilution-info": "", "IHCP-species-notes": "" }, "Rat": { "IP-species-checked": "predicted", "IP-species-dilution-info": "", "IP-species-notes": "", "WB-species-checked": "guaranteed", "WB-species-dilution-info": "", "WB-species-notes": "<p></p>", "IHCP-species-checked": "predicted", "IHCP-species-dilution-info": "", "IHCP-species-notes": "" } } }

Product details

ab189351 is the carrier-free version of ab33899.

Patented technology
Our RabMAb® technology is a patented hybridoma-based technology for making rabbit monoclonal antibodies. For details on our patents, please refer to RabMAb® patents.

What are the advantages of a recombinant monoclonal antibody?
This product is a recombinant monoclonal antibody, which offers several advantages including:

  • - High batch-to-batch consistency and reproducibility
  • - Improved sensitivity and specificity
  • - Long-term security of supply
  • - Animal-free batch production

For more information, read more on recombinant antibodies.

Conjugation ready
Our carrier-free antibodies are typically supplied in a PBS-only formulation, purified and free of BSA, sodium azide and glycerol. This conjugation-ready format is designed for use with fluorochromes, metal isotopes, oligonucleotides, and enzymes, which makes them ideal for antibody labelling, functional and cell-based assays, flow-based assays (e.g. mass cytometry) and Multiplex Imaging applications.

Use our conjugation kits for antibody conjugates that are ready-to-use in as little as 20 minutes with 1 minute hands-on-time and 100% antibody recovery: available for fluorescent dyes, HRP, biotin and gold.

Compatibility
This product is compatible with the Maxpar® Antibody Labeling Kit from Fluidigm, without the need for antibody preparation. Maxpar® is a trademark of Fluidigm Canada Inc.

Properties and storage information

Form
Liquid
Purification technique
Affinity purification Protein A
Storage buffer
pH: 7.2 - 7.4 Constituents: PBS
Shipped at conditions
Blue Ice
Appropriate short-term storage conditions
+4°C
Appropriate long-term storage conditions
+4°C
Storage information
Do Not Freeze

Product protocols

For this product, it's our understanding that no specific protocols are required. You can visit:

Target data

Protein kinase involved in the transduction of mitogenic signals from the cell membrane to the nucleus (Probable). Phosphorylates MAP2K1, and thereby activates the MAP kinase signal transduction pathway (PubMed : 21441910, PubMed : 29433126). Phosphorylates PFKFB2 (PubMed : 36402789). May play a role in the postsynaptic responses of hippocampal neurons (PubMed : 1508179).
See full target information BRAF

Publications (5)

Recent publications for all applications. Explore the full list and refine your search

International journal of cancer 133:590-6 PubMed23354951

2013

Alternative splicing of BRAF transcripts and characterization of C-terminally truncated B-Raf isoforms in colorectal cancer.

Applications

WB

Species

Human

Benjamin Hirschi,Frank T Kolligs

Clinical cancer research : an official journal of 18:5329-40 PubMed22850568

2012

Oncogenic BRAF(V600E) promotes stromal cell-mediated immunosuppression via induction of interleukin-1 in melanoma.

Applications

Flow Cyt

Species

Human

Jahan S Khalili,Shujuan Liu,Tania G Rodríguez-Cruz,Mayra Whittington,Seth Wardell,Chengwen Liu,Minying Zhang,Zachary A Cooper,Dennie T Frederick,Yufeng Li,Min Zhang,Richard W Joseph,Chantale Bernatchez,Suhendan Ekmekcioglu,Elizabeth Grimm,Laszlo G Radvanyi,Richard E Davis,Michael A Davies,Jennifer A Wargo,Patrick Hwu,Gregory Lizée

Cancer cell 19:652-63 PubMed21514245

2011

c-Raf, but not B-Raf, is essential for development of K-Ras oncogene-driven non-small cell lung carcinoma.

Applications

IHC-P

Species

Mouse

Rafael B Blasco,Sarah Francoz,David Santamaría,Marta Cañamero,Pierre Dubus,Jean Charron,Manuela Baccarini,Mariano Barbacid

Neurology 73:1526-31 PubMed19794125

2009

Alterations of BRAF and HIPK2 loci predominate in sporadic pilocytic astrocytoma.

Applications

Unspecified application

Species

Unspecified reactive species

J Yu,H Deshmukh,R J Gutmann,R J Emnett,F J Rodriguez,M A Watson,R Nagarajan,D H Gutmann

The Journal of clinical investigation 118:1739-49 PubMed18398503

2008

BRAF gene duplication constitutes a mechanism of MAPK pathway activation in low-grade astrocytomas.

Applications

WB

Species

Human

Stefan Pfister,Wibke G Janzarik,Marc Remke,Aurélie Ernst,Wiebke Werft,Natalia Becker,Grischa Toedt,Andrea Wittmann,Christian Kratz,Heike Olbrich,Rezvan Ahmadi,Barbara Thieme,Stefan Joos,Bernhard Radlwimmer,Andreas Kulozik,Torsten Pietsch,Christel Herold-Mende,Astrid Gnekow,Guido Reifenberger,Andrey Korshunov,Wolfram Scheurlen,Heymut Omran,Peter Lichter
View all publications

Product promise

We are committed to supporting your work with high-quality reagents, and we're here for you every step of the way. In the unlikely event that one of our products does not perform as expected, you're protected by our Product Promise.
For full details, please see our Terms & Conditions

Please note: All products are 'FOR RESEARCH USE ONLY. NOT FOR USE IN DIAGNOSTIC OR THERAPEUTIC PROCEDURES'.

For licensing inquiries, please contact partnerships@abcam.com