JavaScript is disabled in your browser. Please enable JavaScript to view this website.
AB324341

Anti-BRAF (mutated V600E) antibody [VE1] - BSA and Azide free

Be the first to review this product! Submit a review

|

(0 Publication)

Mouse Recombinant Monoclonal BRAF mutated V600E antibody. Carrier free. Suitable for WB, IHC-P and reacts with Human samples.

View Alternative Names

BRAF1, RAFB1, BRAF, Serine/threonine-protein kinase B-raf, Proto-oncogene B-Raf, p94, v-Raf murine sarcoma viral oncogene homolog B1

5 Images
Immunohistochemistry (Formalin/PFA-fixed paraffin-embedded sections) - Anti-BRAF (mutated V600E) antibody [VE1] - BSA and Azide free (AB324341)
  • IHC-P

Lab

Immunohistochemistry (Formalin/PFA-fixed paraffin-embedded sections) - Anti-BRAF (mutated V600E) antibody [VE1] - BSA and Azide free (AB324341)

This data was developed using ab228461, the same antibody clone in a different buffer formulation.

IHC image of BRAF (mutated V600E) staining in a section of formalin-fixed paraffin-embedded A375 cell line (carrying mutant BRAF V600E) performed on a Leica BOND™ system using the standard protocol. The section was pre-treated using heat mediated antigen retrieval with sodium citrate buffer (pH6 epitope retrieval solution 1) for 20mins. The section was then incubated with ab228461 at 5ug/ml for 15 mins at room temperature and detected using an HRP conjugated compact polymer system. DAB was used as the chromogen. The section was then counterstained with haematoxylin and mounted with DPX. The inset secondary-only control image is taken from an identical assay without primary antibody.

This image was generated in-house using a previous batch manufactured using hybridoma production method.

Immunohistochemistry (Formalin/PFA-fixed paraffin-embedded sections) - Anti-BRAF (mutated V600E) antibody [VE1] - BSA and Azide free (AB324341)
  • IHC-P

Lab

Immunohistochemistry (Formalin/PFA-fixed paraffin-embedded sections) - Anti-BRAF (mutated V600E) antibody [VE1] - BSA and Azide free (AB324341)

This data was developed using ab228461, the same antibody clone in a different buffer formulation.

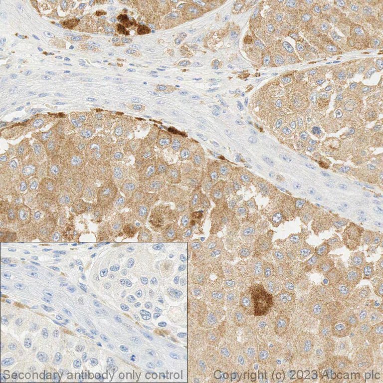
Immunohistochemical analysis of formalin-fixed paraffin-embedded human melanoma tissue (carrying mutant BRAF V600E) labelling BRAF (mutated V600E) with ab228461 at 1/100 dilution. The section was pre-treated using heat-mediated antigen retrieval method with sodium citrate buffer (pH6 epitope retrieval solution 1) for 20mins. The section was then incubated with ab228461 at 1/100 dilution at room temperature and detected using a Leica BOND Polymer refine kit.

Immunohistochemistry (Formalin/PFA-fixed paraffin-embedded sections) - Anti-BRAF (mutated V600E) antibody [VE1] - BSA and Azide free (AB324341)
  • IHC-P

Lab

Immunohistochemistry (Formalin/PFA-fixed paraffin-embedded sections) - Anti-BRAF (mutated V600E) antibody [VE1] - BSA and Azide free (AB324341)

This data was developed using ab228461, the same antibody clone in a different buffer formulation.

Immunohistochemical analysis of formalin fixed paraffin embedded human melanoma labelling BRAF (mutated V600E) with ab228461 at 1/600 dilution. The immunostaining was performed on a Ventana DISCOVERY ULTRA (Roche Tissue Diagnostics) instrument with an OptiView DAB IHC Detection Kit. Heat mediated antigen retrieval was conducted for 32 mins at 100°C with ULTRA cell conditioning solution (CC1, pH 8.5). ab228461 anti-BRAF (mutated V600E) antibody [VE1] was incubated at 37°C for 16 mins. Sections were counterstained with Hematoxylin II. Image inset shows absence of staining in secondary antibody only control.

Western blot - Anti-BRAF (mutated V600E) antibody [VE1] - BSA and Azide free (AB324341)
  • WB

Lab

Western blot - Anti-BRAF (mutated V600E) antibody [VE1] - BSA and Azide free (AB324341)

False colour image of Western blot : Anti-BRAF (mutated V600E) antibody [VE1] staining at 1/1000 dilution, shown in green; Rabbit Anti-GAPDH antibody [EPR16891] (ab181602) loading control staining at 1/20000 dilution, shown in red. In Western blot, ab228461 was shown to bind specifically to mutant BRAF V600E. First, samples were run on an SDS-PAGE gel then transferred onto a nitrocellulose membrane. Membranes were blocked in 3 % milk in TBS-0.1 % Tween® 20 (TBS-T) before incubation with primary antibodies overnight at 4°C. Blots were washed four times in TBS-T, incubated with secondary antibodies for 1 h at room temperature, washed again four times then imaged. Secondary antibodies used were Goat anti-Mouse IgG H&L (IRDye® 800CW) preabsorbed and Goat anti-Rabbit IgG H&L (IRDye® 680RD) preabsorbed at 1/20000 dilution.

This image was generated in-house using a previous batch, manufactured using hybridoma production method.

All lanes:

Western blot - Anti-BRAF (mutated V600E) antibody [VE1] (<a href='/en-us/products/primary-antibodies/braf-mutated-v600e-antibody-ve1-ab228461'>ab228461</a>) at 1/1000 dilution

Lane 1:

HCT 116 cell lysate (wildtype BRAF) at 20 µg

Lane 2:

SW480 cell lysate (wildtype BRAF) at 20 µg

Lane 3:

Caco-2 cell lysate (wildtype BRAF) at 20 µg

Lane 4:

HT-29 cell lysate (mutant BRAF V600E) at 20 µg

Lane 5:

A375 cell lysate (mutant BRAF V600E) at 20 µg

Secondary

Lanes 1 - 5:

Goat anti-Mouse IgG H&L (IRDye® 800CW) preabsorbed at 1/20000 dilution

Lanes 1 - 5:

Goat anti-Rabbit IgG H&L (IRDye® 680RD) preabsorbed at 1/20000 dilution

false

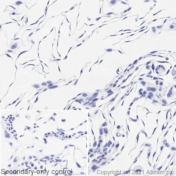
Immunohistochemistry (Formalin/PFA-fixed paraffin-embedded sections) - Anti-BRAF (mutated V600E) antibody [VE1] - BSA and Azide free (AB324341)
  • IHC-P

Lab

Immunohistochemistry (Formalin/PFA-fixed paraffin-embedded sections) - Anti-BRAF (mutated V600E) antibody [VE1] - BSA and Azide free (AB324341)

This data was developed using ab228461, the same antibody clone in a different buffer formulation.

Negative control cell line image : IHC image of BRAF (mutated V600E) staining in a section of formalin-fixed paraffin-embedded Caco-2 cell line performed on a Leica BOND™ system using the standard protocol. The section was pre-treated using heat mediated antigen retrieval with sodium citrate buffer (pH6, epitope retrieval solution 1) for 20mins. The section was then incubated with ab228461, 5ug/ml, for 15 mins at room temperature and detected using an HRP conjugated compact polymer system. DAB was used as the chromogen. The section was then counterstained with haematoxylin and mounted with DPX. The inset secondary-only control image is taken from an identical assay without primary antibody.

This image was generated in-house using a previous batch, manufactured using hybridoma production method.

Key facts

Host species

Mouse

Clonality

Monoclonal

Clone number

VE1

Isotype

IgG2b

Carrier free

Yes

Reacts with

Human

Applications

IHC-P, WB

applications

Immunogen

The exact immunogen used to generate this antibody is proprietary information.

Specificity

The VE1 monoclonal is a sensitive antibody that detects mutated, constitutively active BRAF protein where glutamic acid is present at codon 600 instead of valine (V600E) (PubMed IDs: 21638088, 23657789).

Please be aware that non-specific nuclear staining has been reported with this antibody (PubMed IDs: 23763264, 23589031, 24838325).

Reactivity data

{ "title": "Reactivity Data", "filters": { "stats": ["", "Species", "Dilution Info", "Notes"], "tabs": { "all-applications": {"fullname" : "All Applications", "shortname": "All Applications"}, "WB" : {"fullname" : "Western blot", "shortname":"WB"}, "IHCP" : {"fullname" : "Immunohistochemistry (Formalin/PFA-fixed paraffin-embedded sections)", "shortname":"IHC-P"} }, "product-promise": { "all": "all", "testedAndGuaranteed": "tested", "guaranteed": "expected", "predicted": "predicted", "notRecommended": "not-recommended" } }, "values": { "Human": { "WB-species-checked": "testedAndGuaranteed", "WB-species-dilution-info": "", "WB-species-notes": "<p></p>", "IHCP-species-checked": "testedAndGuaranteed", "IHCP-species-dilution-info": "", "IHCP-species-notes": "<p></p>" }, "Mouse": { "WB-species-checked": "predicted", "WB-species-dilution-info": "", "WB-species-notes": "", "IHCP-species-checked": "predicted", "IHCP-species-dilution-info": "", "IHCP-species-notes": "" }, "Chicken": { "WB-species-checked": "predicted", "WB-species-dilution-info": "", "WB-species-notes": "", "IHCP-species-checked": "predicted", "IHCP-species-dilution-info": "", "IHCP-species-notes": "" } } }

Product details

ab324341 is the carrier free version of ab228461.

Compatibility
This product is compatible with the Maxpar® Antibody Labeling Kit from Fluidigm, without the need for antibody preparation. Maxpar® is a trademark of Fluidigm Canada Inc.

Conjugation ready
Our carrier-free antibodies are typically supplied in a PBS-only formulation, purified and free of BSA, sodium azide and glycerol. This conjugation-ready format is designed for use with fluorochromes, metal isotopes, oligonucleotides, and enzymes, which makes them ideal for antibody labelling, functional and cell-based assays, flow-based assays (e.g. mass cytometry) and Multiplex Imaging applications.

Use our conjugation kits for antibody conjugates that are ready-to-use in as little as 20 minutes with 1 minute hands-on-time and 100% antibody recovery: available for fluorescent dyes, HRP, biotin and gold.

Want a custom formulation?
This antibody clone is manufactured by Abcam. If you require a custom buffer formulation or conjugation for your experiments, please contact orders@abcam.com

What are the advantages of a recombinant monoclonal antibody?
This product is a recombinant monoclonal antibody, which offers several advantages including:

  • - High batch-to-batch consistency and reproducibility
  • - Improved sensitivity and specificity
  • - Long-term security of supply
  • - Animal-free batch production

For more information, read more on recombinant antibodies.

Properties and storage information

Form
Liquid
Purification technique
Affinity purification Protein A
Storage buffer
pH: 7.2 - 7.4 Constituents: 100% PBS
Shipped at conditions
Blue Ice
Appropriate short-term storage conditions
+4°C
Appropriate long-term storage conditions
+4°C

Product protocols

For this product, it's our understanding that no specific protocols are required. You can visit:

Target data

Protein kinase involved in the transduction of mitogenic signals from the cell membrane to the nucleus (Probable). Phosphorylates MAP2K1, and thereby activates the MAP kinase signal transduction pathway (PubMed : 21441910, PubMed : 29433126). Phosphorylates PFKFB2 (PubMed : 36402789). May play a role in the postsynaptic responses of hippocampal neurons (PubMed : 1508179).
See full target information BRAF mutated V600E

Product promise

We are committed to supporting your work with high-quality reagents, and we're here for you every step of the way. In the unlikely event that one of our products does not perform as expected, you're protected by our Product Promise.
For full details, please see our Terms & Conditions

Please note: All products are 'FOR RESEARCH USE ONLY. NOT FOR USE IN DIAGNOSTIC OR THERAPEUTIC PROCEDURES'.

For licensing inquiries, please contact partnerships@abcam.com