JavaScript is disabled in your browser. Please enable JavaScript to view this website.
AB213929

Anti-BRCA1 antibody [EPR19433]

5

(2 Reviews)

|

(4 Publications)

Rabbit Recombinant Monoclonal BRCA1 antibody. Suitable for IHC-P, ICC/IF and reacts with Human samples. Cited in 4 publications.

View Alternative Names

RNF53, BRCA1, Breast cancer type 1 susceptibility protein, RING finger protein 53, RING-type E3 ubiquitin transferase BRCA1

6 Images
Immunohistochemistry (Formalin/PFA-fixed paraffin-embedded sections) - Anti-BRCA1 antibody [EPR19433] (AB213929)
  • IHC-P

Supplier Data

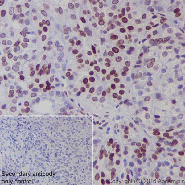
Immunohistochemistry (Formalin/PFA-fixed paraffin-embedded sections) - Anti-BRCA1 antibody [EPR19433] (AB213929)

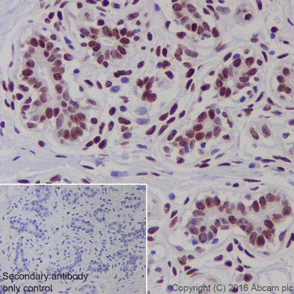
Immunohistochemical analysis of paraffin-embedded human breast cancer tissue labeling BRCA1 with ab213929 at 1/400 dilution, followed by Rabbit specific IHC polymer detection kit HRP/DAB (ab209101).

Strong nuclear staining on a region of tumor cells from human breast cancer tissue is observed.

Counter stained with Hematoxylin.

Secondary antibody only control : Used PBS instead of primary antibody, secondary antibody is rabbit specific IHC polymer detection kit HRP/DAB (ab209101).

Perform heat mediated antigen retrieval before commencing with IHC staining protocol.

Immunocytochemistry/ Immunofluorescence - Anti-BRCA1 antibody [EPR19433] (AB213929)
  • ICC/IF

Supplier Data

Immunocytochemistry/ Immunofluorescence - Anti-BRCA1 antibody [EPR19433] (AB213929)

Immunofluorescent analysis of 4% paraformaldehyde-fixed, 0.1% Triton X-100 permeabilized MCF7 (Human breast adenocarcinoma cell line) cells labeling BRCA1 with ab213929 at 1/1000 dilution, followed by Goat Anti-Rabbit IgG H&L (Alexa Fluor® 488) (ab150077) secondary antibody at 1/1000 dilution (green). Confocal image showing nuclear staining on MCF7 cell line. The nuclear counterstain is DAPI (blue).

Tubulin is detected with Anti-alpha Tubulin antibody [DM1A] - Microtubule Marker (Alexa Fluor® 594) (ab195889) (red).

Secondary antibody only control : Used PBS instead of primary antibody, secondary antibody is Goat Anti-Rabbit IgG H&L (Alexa Fluor® 488) (ab150077) secondary antibody at 1/1000 dilution.

Negative control : No staining on SUM149PT cell line, which carried the 2288delT mutation of BRCA1 [PMID : 16397213].

Immunohistochemistry (Formalin/PFA-fixed paraffin-embedded sections) - Anti-BRCA1 antibody [EPR19433] (AB213929)
  • IHC-P

Supplier Data

Immunohistochemistry (Formalin/PFA-fixed paraffin-embedded sections) - Anti-BRCA1 antibody [EPR19433] (AB213929)

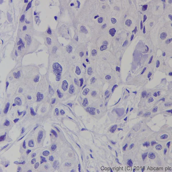
Immunohistochemical analysis of paraffin-embedded human breast cancer tissue labeling BRCA1 with ab213929 at 1/400 dilution, followed by Rabbit specific IHC polymer detection kit HRP/DAB (ab209101).

Absent staining on this case of human breast cancer is observed.

Counter stained with Hematoxylin.

Perform heat mediated antigen retrieval before commencing with IHC staining protocol.

Immunohistochemistry (Formalin/PFA-fixed paraffin-embedded sections) - Anti-BRCA1 antibody [EPR19433] (AB213929)
  • IHC-P

Supplier Data

Immunohistochemistry (Formalin/PFA-fixed paraffin-embedded sections) - Anti-BRCA1 antibody [EPR19433] (AB213929)

Immunohistochemical analysis of paraffin-embedded human breast tissue labeling BRCA1 with ab213929 at 1/400 dilution, followed by Rabbit specific IHC polymer detection kit HRP/DAB (ab209101).

Strong nuclear staining on epithelium cells of human breast is observed.

Counter stained with Hematoxylin.

Secondary antibody only control : Used PBS instead of primary antibody, secondary antibody is rabbit specific IHC polymer detection kit HRP/DAB (ab209101).

Perform heat mediated antigen retrieval before commencing with IHC staining protocol.

Immunohistochemistry (Formalin/PFA-fixed paraffin-embedded sections) - Anti-BRCA1 antibody [EPR19433] (AB213929)
  • IHC-P

Supplier Data

Immunohistochemistry (Formalin/PFA-fixed paraffin-embedded sections) - Anti-BRCA1 antibody [EPR19433] (AB213929)

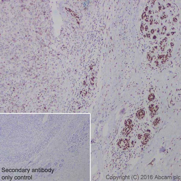
Immunohistochemical analysis of paraffin-embedded human ovary cancer tissue labeling BRCA1 with ab213929 at 1/400 dilution, followed by Rabbit specific IHC polymer detection kit HRP/DAB (ab209101).

Strong nuclear staining on a region of tumor cells from human ovary cancer tissue is observed.

Counter stained with Hematoxylin.

Secondary antibody only control : Used PBS instead of primary antibody, secondary antibody is rabbit specific IHC polymer detection kit HRP/DAB (ab209101).

Perform heat mediated antigen retrieval before commencing with IHC staining protocol.

Immunohistochemistry (Formalin/PFA-fixed paraffin-embedded sections) - Anti-BRCA1 antibody [EPR19433] (AB213929)
  • IHC-P

Supplier Data

Immunohistochemistry (Formalin/PFA-fixed paraffin-embedded sections) - Anti-BRCA1 antibody [EPR19433] (AB213929)

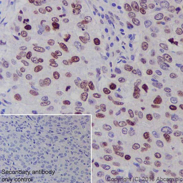
Immunohistochemical analysis of paraffin-embedded human breast cancer tissue labeling BRCA1 with ab213929 at 1/400 dilution, followed by Rabbit specific IHC polymer detection kit HRP/DAB (ab209101).

Lower nuclear staining intensity in tumor cells (left) as compared to its adjacent non-tumor tissue (right).

Counter stained with Hematoxylin.

Secondary antibody only control : Used PBS instead of primary antibody, secondary antibody is rabbit specific IHC polymer detection kit HRP/DAB (ab209101).

Perform heat mediated antigen retrieval before commencing with IHC staining protocol.

  • Carrier free

    Anti-BRCA1 antibody [EPR19433] - BSA and Azide free

Key facts

Host species

Rabbit

Clonality

Monoclonal

Clone number

EPR19433

Isotype

IgG

Carrier free

No

Reacts with

Human

Applications

IHC-P, ICC/IF

applications

Immunogen

The exact immunogen used to generate this antibody is proprietary information.

Reactivity data

{ "title": "Reactivity Data", "filters": { "stats": ["", "Species", "Dilution Info", "Notes"], "tabs": { "all-applications": {"fullname" : "All Applications", "shortname": "All Applications"}, "IHCP" : {"fullname" : "Immunohistochemistry (Formalin/PFA-fixed paraffin-embedded sections)", "shortname":"IHC-P"}, "ICCIF" : {"fullname" : "Immunocytochemistry/ Immunofluorescence", "shortname":"ICC/IF"} }, "product-promise": { "all": "all", "testedAndGuaranteed": "tested", "guaranteed": "expected", "predicted": "predicted", "notRecommended": "not-recommended" } }, "values": { "Human": { "IHCP-species-checked": "testedAndGuaranteed", "IHCP-species-dilution-info": "1/400", "IHCP-species-notes": "<p>Perform heat mediated antigen retrieval using Universal HIER antigen retrieval reagent (10X) (<a href='/en-us/products/ihc-kits/universal-hier-antigen-retrieval-reagent-10x-ab208572'>ab208572</a>).</p>", "ICCIF-species-checked": "testedAndGuaranteed", "ICCIF-species-dilution-info": "1/1000", "ICCIF-species-notes": "<p></p>" }, "Mouse": { "IHCP-species-checked": "notRecommended", "IHCP-species-dilution-info": "1/400", "IHCP-species-notes": "<p>Perform heat mediated antigen retrieval using Universal HIER antigen retrieval reagent (10X) (<a href='/en-us/products/ihc-kits/universal-hier-antigen-retrieval-reagent-10x-ab208572'>ab208572</a>).</p>", "ICCIF-species-checked": "notRecommended", "ICCIF-species-dilution-info": "1/1000", "ICCIF-species-notes": "<p></p>" }, "Common marmoset": { "IHCP-species-checked": "notRecommended", "IHCP-species-dilution-info": "", "IHCP-species-notes": "", "ICCIF-species-checked": "notRecommended", "ICCIF-species-dilution-info": "", "ICCIF-species-notes": "" } } }

Product details

Patented technology
Our RabMAb® technology is a patented hybridoma-based technology for making rabbit monoclonal antibodies. For details on our patents, please refer to RabMAb® patents.

What are the advantages of a recombinant monoclonal antibody?
This product is a recombinant monoclonal antibody, which offers several advantages including:

  • - High batch-to-batch consistency and reproducibility
  • - Improved sensitivity and specificity
  • - Long-term security of supply
  • - Animal-free batch production

For more information, read more on recombinant antibodies.

Properties and storage information

Form
Liquid
Purification technique
Affinity purification Protein A
Storage buffer
pH: 7.2 - 7.4 Preservative: 0.01% Sodium azide Constituents: PBS, 40% Glycerol (glycerin, glycerine), 0.05% BSA
Shipped at conditions
Blue Ice
Appropriate short-term storage duration
1-2 weeks
Appropriate short-term storage conditions
+4°C
Appropriate long-term storage conditions
-20°C
Aliquoting information
Upon delivery aliquot
Storage information
Avoid freeze / thaw cycle

Product protocols

For this product, it's our understanding that no specific protocols are required. You can visit:

Target data

E3 ubiquitin-protein ligase that specifically mediates the formation of 'Lys-6'-linked polyubiquitin chains and plays a central role in DNA repair by facilitating cellular responses to DNA damage (PubMed : 10500182, PubMed : 12887909, PubMed : 12890688, PubMed : 14976165, PubMed : 16818604, PubMed : 17525340, PubMed : 19261748). It is unclear whether it also mediates the formation of other types of polyubiquitin chains (PubMed : 12890688). The BRCA1-BARD1 heterodimer coordinates a diverse range of cellular pathways such as DNA damage repair, ubiquitination and transcriptional regulation to maintain genomic stability (PubMed : 12890688, PubMed : 14976165, PubMed : 20351172). Regulates centrosomal microtubule nucleation (PubMed : 18056443). Required for appropriate cell cycle arrests after ionizing irradiation in both the S-phase and the G2 phase of the cell cycle (PubMed : 10724175, PubMed : 11836499, PubMed : 12183412, PubMed : 19261748). Required for FANCD2 targeting to sites of DNA damage (PubMed : 12887909). Inhibits lipid synthesis by binding to inactive phosphorylated ACACA and preventing its dephosphorylation (PubMed : 16326698). Contributes to homologous recombination repair (HRR) via its direct interaction with PALB2, fine-tunes recombinational repair partly through its modulatory role in the PALB2-dependent loading of BRCA2-RAD51 repair machinery at DNA breaks (PubMed : 19369211). Component of the BRCA1-RBBP8 complex which regulates CHEK1 activation and controls cell cycle G2/M checkpoints on DNA damage via BRCA1-mediated ubiquitination of RBBP8 (PubMed : 16818604). Acts as a transcriptional activator (PubMed : 20160719).
See full target information BRCA1

Publications (4)

Recent publications for all applications. Explore the full list and refine your search

Nucleic acids research 52:5698-5719 PubMed38587186

2024

ARID1A regulates DNA repair through chromatin organization and its deficiency triggers DNA damage-mediated anti-tumor immune response.

Applications

Unspecified application

Species

Unspecified reactive species

Ali Bakr,Giuditta Della Corte,Olivera Veselinov,Simge Kelekçi,Mei-Ju May Chen,Yu-Yu Lin,Gianluca Sigismondo,Marika Iacovone,Alice Cross,Rabail Syed,Yunhee Jeong,Etienne Sollier,Chun-Shan Liu,Pavlo Lutsik,Jeroen Krijgsveld,Dieter Weichenhan,Christoph Plass,Odilia Popanda,Peter Schmezer

Stem cells international 2023:2826815 PubMed37964983

2023

A Novel Molecular Classification Method for Glioblastoma Based on Tumor Cell Differentiation Trajectories.

Applications

Unspecified application

Species

Unspecified reactive species

Guanghao Zhang,Xiaolong Xu,Luojiang Zhu,Sisi Li,Rundong Chen,Nan Lv,Zifu Li,Jing Wang,Qiang Li,Wang Zhou,Pengfei Yang,Jianmin Liu

Oncogene 42:572-585 PubMed36550359

2022

BAP1 loss induces mitotic defects in mesothelioma cells through BRCA1-dependent and independent mechanisms.

Applications

Unspecified application

Species

Unspecified reactive species

Anita Singh,Sara Busacca,Aarti Gaba,Michael Sheaff,Charlotte Poile,Apostolos Nakas,Joanna Dzialo,Aleksandra Bzura,Alan G Dawson,Dean A Fennell,Andrew M Fry

American journal of cancer research 10:1140-1155 PubMed32368391

2020

CDK9 inhibitor CDKI-73 is synergetic lethal with PARP inhibitor olaparib in BRCA1 wide-type ovarian cancer.

Applications

Unspecified application

Species

Unspecified reactive species

Jiajia Li,Xiuling Zhi,Shuyi Chen,Xiaoqing Shen,Chen Chen,Lei Yuan,Jieyu Guo,Dan Meng,Mo Chen,Liangqing Yao
View all publications

Product promise

We are committed to supporting your work with high-quality reagents, and we're here for you every step of the way. In the unlikely event that one of our products does not perform as expected, you're protected by our Product Promise.
For full details, please see our Terms & Conditions

Please note: All products are 'FOR RESEARCH USE ONLY. NOT FOR USE IN DIAGNOSTIC OR THERAPEUTIC PROCEDURES'.

For licensing inquiries, please contact partnerships@abcam.com