JavaScript is disabled in your browser. Please enable JavaScript to view this website.
AB264518

Anti-BRCA1 antibody [MS110] - BSA and Azide free

Be the first to review this product! Submit a review

|

(1 Publication)

Mouse Monoclonal BRCA1 antibody. Carrier free. Suitable for IHC-P, Flow Cyt (Intra), ICC/IF and reacts with Human samples. Cited in 1 publication.

View Alternative Names

RNF53, BRCA1, Breast cancer type 1 susceptibility protein, RING finger protein 53, RING-type E3 ubiquitin transferase BRCA1

4 Images
Immunohistochemistry (Formalin/PFA-fixed paraffin-embedded sections) - Anti-BRCA1 antibody [MS110] - BSA and Azide free (AB264518)
  • IHC-P

Unknown

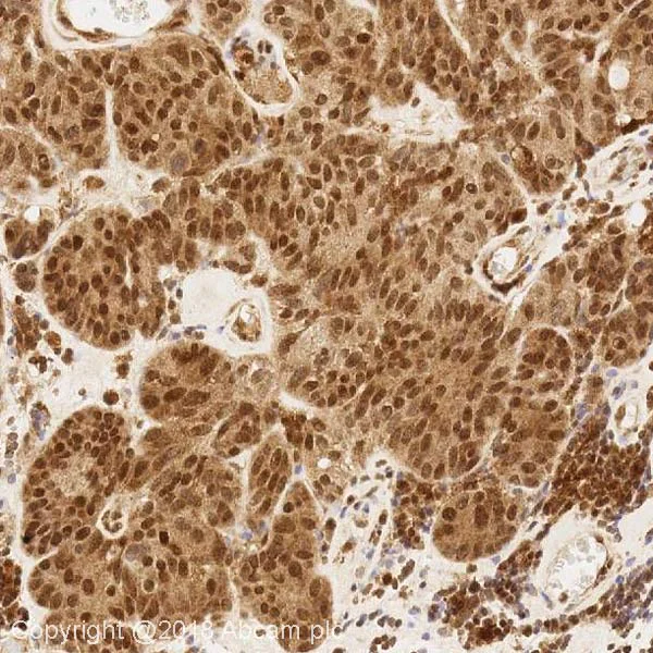
Immunohistochemistry (Formalin/PFA-fixed paraffin-embedded sections) - Anti-BRCA1 antibody [MS110] - BSA and Azide free (AB264518)

IHC image of ab16780 staining in human breast carcinoma formalin fixed paraffin embedded tissue section, performed on a Leica BondTM system using the standard protocol F. The section was pre-treated using heat mediated antigen retrieval with sodium citrate buffer (pH6, epitope retrieval solution 1) for 20 mins. The section was then incubated with ab16780, 5μg/ml, for 15 mins at room temperature and detected using an HRP conjugated compact polymer system. DAB was used as the chromogen. The section was then counterstained with haematoxylin and mounted with DPX.

For other IHC staining systems (automated and non-automated) customers should optimize variable parameters such as antigen retrieval conditions, primary antibody concentration and antibody incubation times.

This data was developed using the same antibody clone in a different buffer formulation containing PBS, L-Arginine, and sodium azide (ab16780).

Immunohistochemistry (Formalin/PFA-fixed paraffin-embedded sections) - Anti-BRCA1 antibody [MS110] - BSA and Azide free (AB264518)
  • IHC-P

Lab

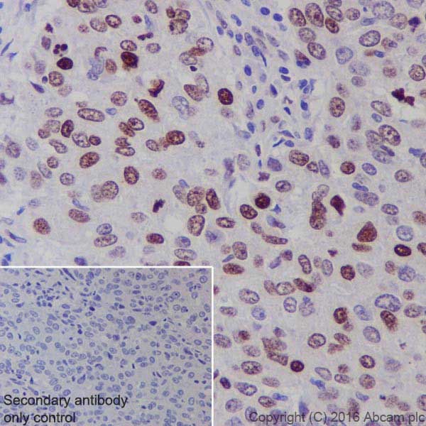
Immunohistochemistry (Formalin/PFA-fixed paraffin-embedded sections) - Anti-BRCA1 antibody [MS110] - BSA and Azide free (AB264518)

IHC image of ab16780 staining in normal human breast formalin fixed paraffin embedded tissue section, performed on a Leica BondTM system using the standard protocol F. The section was pre-treated using heat mediated antigen retrieval with sodium citrate buffer (pH6, epitope retrieval solution 1) for 20 mins. The section was then incubated with ab16780, 1μg/ml, for 15 mins at room temperature and detected using an HRP conjugated compact polymer system. DAB was used as the chromogen. The section was then counterstained with haematoxylin and mounted with DPX.

For other IHC staining systems (automated and non-automated) customers should optimize variable parameters such as antigen retrieval conditions, primary antibody concentration and antibody incubation times.

*Tissue obtained from the Human Research Tissue Bank, supported by the NIHR Cambridge Biomedical Research Centre.

This data was developed using the same antibody clone in a different buffer formulation containing PBS, L-Arginine, and sodium azide (ab16780).

Immunocytochemistry/ Immunofluorescence - Anti-BRCA1 antibody [MS110] - BSA and Azide free (AB264518)
  • ICC/IF

Lab

Immunocytochemistry/ Immunofluorescence - Anti-BRCA1 antibody [MS110] - BSA and Azide free (AB264518)

ICC/IF image of ab16780 stained MCF7 cells. The cells were 4% PFA fixed (10 minutes) and then incubated in 1%BSA / 10% normal goat serum / 0.3M glycine in 0.1% PBS-Tween for 1 hour to permeabilize the cells and block non-specific protein-protein interactions. The cells were then incubated with the antibody (ab16780, 5 μg/ml) overnight at +4°C. The secondary antibody (green) was DyLight® 488 goat anti-mouse IgG - H&L, pre-adsorbed (ab96879) used at a 1/250 dilution for 1 hour. Alexa Fluor® 594 WGA was used to label plasma membranes (red) at a 1/200 dilution for 1 hour. DAPI was used to stain the cell nuclei (blue) at a concentration of 1.43 μM.

This data was developed using the same antibody clone in a different buffer formulation containing PBS, L-Arginine, and sodium azide (ab16780).

Flow Cytometry (Intracellular) - Anti-BRCA1 antibody [MS110] - BSA and Azide free (AB264518)
  • Flow Cyt (Intra)

Unknown

Flow Cytometry (Intracellular) - Anti-BRCA1 antibody [MS110] - BSA and Azide free (AB264518)

Overlay histogram showing MCF7 cells stained with ab16780 (red line). The cells were fixed with 80% methanol (5 minutes) and then permeabilized with 0.1% PBS-Tween for 20 minutes. The cells were then incubated in 1x PBS / 10% normal goat serum / 0.3M glycine to block non-specific protein-protein interactions followed by the antibody (ab16780, 1 μg/1x106 cells) for 30 minutes at 22°C. The secondary antibody used was DyLight® 488 goat anti-mouse IgG (H+L) (ab96879) at 1/500 dilution for 30 minutes at 22°C. Isotype control antibody (black line) was mouse IgG1 [ICIGG1] (ab91353, 2 μg/1x106 cells) used under the same conditions. Acquisition of >5,000 events was performed. This antibody gave a positive signal in MCF7 cells fixed with 4% paraformaldehyde (10 minutes)/permeabilized with 0.1% PBS-Tween for 20 minutes used under the same conditions.

This data was developed using the same antibody clone in a different buffer formulation containing PBS, L-Arginine, and sodium azide (ab16780).

Key facts

Host species

Mouse

Clonality

Monoclonal

Clone number

MS110

Isotype

IgG1

Light chain type

kappa

Carrier free

Yes

Reacts with

Human

Applications

IHC-P, ICC/IF, Flow Cyt (Intra)

applications

Immunogen

The exact immunogen used to generate this antibody is proprietary information.

Epitope

Within the N-terminal 304 amino acids of BRCA1.

Reactivity data

{ "title": "Reactivity Data", "filters": { "stats": ["", "Species", "Dilution Info", "Notes"], "tabs": { "all-applications": {"fullname" : "All Applications", "shortname": "All Applications"}, "IHCP" : {"fullname" : "Immunohistochemistry (Formalin/PFA-fixed paraffin-embedded sections)", "shortname":"IHC-P"}, "FlowCytIntra" : {"fullname" : "Flow Cytometry (Intracellular)", "shortname":"Flow Cyt (Intra)"}, "WB" : {"fullname" : "Western blot", "shortname":"WB"}, "ICCIF" : {"fullname" : "Immunocytochemistry/ Immunofluorescence", "shortname":"ICC/IF"} }, "product-promise": { "all": "all", "testedAndGuaranteed": "tested", "guaranteed": "expected", "predicted": "predicted", "notRecommended": "not-recommended" } }, "values": { "Human": { "IHCP-species-checked": "testedAndGuaranteed", "IHCP-species-dilution-info": "", "IHCP-species-notes": "<p></p>", "FlowCytIntra-species-checked": "testedAndGuaranteed", "FlowCytIntra-species-dilution-info": "", "FlowCytIntra-species-notes": "<p><a href='/en-us/products/primary-antibodies/mouse-igg1-kappa-monoclonal-15-6e10a7-isotype-control-ab170190'>ab170190</a> - Mouse monoclonal IgG1, is suitable for use as an isotype control with this antibody.</p>", "WB-species-checked": "notRecommended", "WB-species-dilution-info": "", "WB-species-notes": "<p>Please note that this antibody is not suitable for WB. Despite positive publications and Abreviews we have mixed feedback on this antibody in WB and we do not guarantee <a href='/en-us/products/primary-antibodies/brca1-antibody-ms110-ab16780'>ab16780</a> for WB.</p>", "ICCIF-species-checked": "testedAndGuaranteed", "ICCIF-species-dilution-info": "", "ICCIF-species-notes": "<p></p>" } } }

Product details

ab264518 is the carrier-free version of ab16780.

Want a custom formulation?
This antibody clone is manufactured by Abcam. If you require a custom buffer formulation or conjugation for your experiments, please contact orders@abcam.com

Conjugation ready
Our carrier-free antibodies are typically supplied in a PBS-only formulation, purified and free of BSA, sodium azide and glycerol. This conjugation-ready format is designed for use with fluorochromes, metal isotopes, oligonucleotides, and enzymes, which makes them ideal for antibody labelling, functional and cell-based assays, flow-based assays (e.g. mass cytometry) and Multiplex Imaging applications.

Use our conjugation kits for antibody conjugates that are ready-to-use in as little as 20 minutes with 1 minute hands-on-time and 100% antibody recovery: available for fluorescent dyes, HRP, biotin and gold.

Compatibility
This product is compatible with the Maxpar® Antibody Labeling Kit from Fluidigm, without the need for antibody preparation. Maxpar® is a trademark of Fluidigm Canada Inc.

Properties and storage information

Form
Liquid
Purification technique
Affinity purification
Storage buffer
Constituents: PBS
Shipped at conditions
Blue Ice
Appropriate short-term storage conditions
+4°C
Appropriate long-term storage conditions
+4°C
Storage information
Do Not Freeze

Product protocols

For this product, it's our understanding that no specific protocols are required. You can visit:

Target data

E3 ubiquitin-protein ligase that specifically mediates the formation of 'Lys-6'-linked polyubiquitin chains and plays a central role in DNA repair by facilitating cellular responses to DNA damage (PubMed : 10500182, PubMed : 12887909, PubMed : 12890688, PubMed : 14976165, PubMed : 16818604, PubMed : 17525340, PubMed : 19261748). It is unclear whether it also mediates the formation of other types of polyubiquitin chains (PubMed : 12890688). The BRCA1-BARD1 heterodimer coordinates a diverse range of cellular pathways such as DNA damage repair, ubiquitination and transcriptional regulation to maintain genomic stability (PubMed : 12890688, PubMed : 14976165, PubMed : 20351172). Regulates centrosomal microtubule nucleation (PubMed : 18056443). Required for appropriate cell cycle arrests after ionizing irradiation in both the S-phase and the G2 phase of the cell cycle (PubMed : 10724175, PubMed : 11836499, PubMed : 12183412, PubMed : 19261748). Required for FANCD2 targeting to sites of DNA damage (PubMed : 12887909). Inhibits lipid synthesis by binding to inactive phosphorylated ACACA and preventing its dephosphorylation (PubMed : 16326698). Contributes to homologous recombination repair (HRR) via its direct interaction with PALB2, fine-tunes recombinational repair partly through its modulatory role in the PALB2-dependent loading of BRCA2-RAD51 repair machinery at DNA breaks (PubMed : 19369211). Component of the BRCA1-RBBP8 complex which regulates CHEK1 activation and controls cell cycle G2/M checkpoints on DNA damage via BRCA1-mediated ubiquitination of RBBP8 (PubMed : 16818604). Acts as a transcriptional activator (PubMed : 20160719).
See full target information BRCA1

Publications (1)

Recent publications for all applications. Explore the full list and refine your search

Scientific reports 15:12719 PubMed40223147

2025

Controlled delivery of PRP from decellularized extracellular matrix enhances skeletal muscle regeneration.

Applications

Unspecified application

Species

Unspecified reactive species

Saeideh Erfanian,Farhad Mostafaei,Fatemeh Ajalloueian,Hossein Baharvand,Sarah Rajabi,Mohammad Kazemi Ashtiani
View all publications

Product promise

We are committed to supporting your work with high-quality reagents, and we're here for you every step of the way. In the unlikely event that one of our products does not perform as expected, you're protected by our Product Promise.
For full details, please see our Terms & Conditions

Please note: All products are 'FOR RESEARCH USE ONLY. NOT FOR USE IN DIAGNOSTIC OR THERAPEUTIC PROCEDURES'.

For licensing inquiries, please contact partnerships@abcam.com