JavaScript is disabled in your browser. Please enable JavaScript to view this website.
AB16781

Anti-BRCA1 antibody [MS13]

4

(5 Reviews)

|

(15 Publications)

Mouse Monoclonal BRCA1 antibody. Suitable for IHC-P, Flow Cyt (Intra), ICC/IF and reacts with Human samples. Cited in 15 publications.

View Alternative Names

RNF53, BRCA1, Breast cancer type 1 susceptibility protein, RING finger protein 53, RING-type E3 ubiquitin transferase BRCA1

4 Images
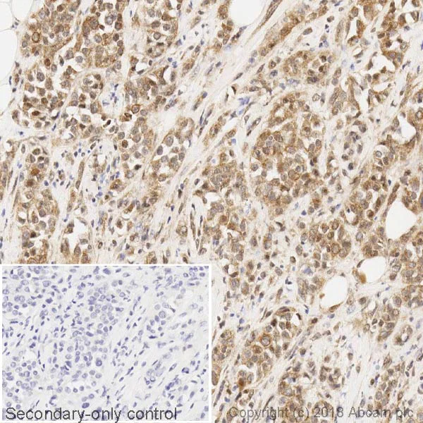
Immunohistochemistry (Formalin/PFA-fixed paraffin-embedded sections) - Anti-BRCA1 antibody [MS13] (AB16781)
  • IHC-P

Lab

Immunohistochemistry (Formalin/PFA-fixed paraffin-embedded sections) - Anti-BRCA1 antibody [MS13] (AB16781)

IHC image of BRCA1 staining in a section of formalin-fixed paraffin-embedded normal human breast* performed on a Leica BONDTM system using the standard protocol F. The section was pre-treated using heat mediated antigen retrieval with sodium citrate buffer (pH6, epitope retrieval solution 1) for 20mins. The section was then incubated with ab16781, 5ug/ml, for 15 mins at room temperature and detected using an HRP conjugated compact polymer system. DAB was used as the chromogen. The section was then counterstained with haematoxylin and mounted with DPX. The inset secondary-only control image is taken from an identical assay without primary antibody.

For other IHC staining systems (automated and non-automated) customers should optimize variable parameters such as antigen retrieval conditions, primary antibody concentration and antibody incubation times.

*Tissue obtained from the Human Research Tissue Bank, supported by the NIHR Cambridge Biomedical Research Centre

Immunocytochemistry/ Immunofluorescence - Anti-BRCA1 antibody [MS13] (AB16781)
  • ICC/IF

Lab

Immunocytochemistry/ Immunofluorescence - Anti-BRCA1 antibody [MS13] (AB16781)

ab16781 staining BRCA1 in MCF7 cells. The cells were fixed with 4% formaldehyde (10min), permeabilized with 0.1% Triton X-100 for 5 minutes and then blocked with 1% BSA/10% normal goat serum/0.3M glycine in 0.1% PBS-Tween for 1h. The cells were then incubated with ab16781 at 1μg/ml concentration and ab6046 at 1/1000 dilution overnight at +4°C, followed by a further incubation at room temperature for 1h with Goat Anti-Mouse IgG H&L (ab150117) at 1/1000 dilution (shown in green) and Goat anti-Rabbit IgG (ab150080) at 1/1000 dilution (shown in pseudocolor red). Nuclear DNA was labelled in blue with DAPI.

Immunocytochemistry/ Immunofluorescence - Anti-BRCA1 antibody [MS13] (AB16781)
  • ICC/IF

AbReview7213****

Immunocytochemistry/ Immunofluorescence - Anti-BRCA1 antibody [MS13] (AB16781)

ab16781 (1/200) detecting BRCA1 in HeLa cells in conjunction with a goat anti-mouse secondary antibody conjugated to Cy3 (red). Cells were also counterstained with DAPI in order to highlight the nucleus (blue), treated with Bleomycin and incubated with an antibody against Histone H2AX in order to create and expose DNA double strand breaks (green). Please refer to abreviews for further details.

This image is courtesy of an Abreview submitted by Dr Kirk McManus

Flow Cytometry (Intracellular) - Anti-BRCA1 antibody [MS13] (AB16781)
  • Flow Cyt (Intra)

Unknown

Flow Cytometry (Intracellular) - Anti-BRCA1 antibody [MS13] (AB16781)

Overlay histogram showing MCF7 cells stained with ab16781 (red line). The cells were fixed with 4% paraformaldehyde (10 min) and then permeabilized with 0.1% PBS-Tween for 20 min. The cells were then incubated in 1x PBS / 10% normal goat serum / 0.3M glycine to block non-specific protein-protein interactions followed by the antibody (ab16781, 1μg/1x106 cells) for 30 min at 22°C. The secondary antibody used was DyLight® 488 goat anti-mouse IgG (H+L) (ab96879) at 1/500 dilution for 30 min at 22°C. Isotype control antibody (black line) was mouse IgG1 [ICIGG1] (ab91353, 2μg/1x106 cells) used under the same conditions. Unlabelled sample (blue line). Acquisition of >5,000 events were collected using a 20mW Argon ion laser (488nm) and 525/30 bandpass filter. This antibody gave a positive signal in MCF7 cells fixed with 80% methanol (5 min)/permeabilized with 0.1% PBS-Tween for 20 min used under the same conditions.

Key facts

Host species

Mouse

Clonality

Monoclonal

Clone number

MS13

Isotype

IgG1

Light chain type

kappa

Carrier free

No

Reacts with

Human

Applications

Flow Cyt (Intra), IHC-P, ICC/IF

applications

Immunogen

The exact immunogen used to generate this antibody is proprietary information.

Epitope

Within the N-terminal 304 amino acids of BRCA1.

Reactivity data

{ "title": "Reactivity Data", "filters": { "stats": ["", "Species", "Dilution Info", "Notes"], "tabs": { "all-applications": {"fullname" : "All Applications", "shortname": "All Applications"}, "IHCP" : {"fullname" : "Immunohistochemistry (Formalin/PFA-fixed paraffin-embedded sections)", "shortname":"IHC-P"}, "FlowCytIntra" : {"fullname" : "Flow Cytometry (Intracellular)", "shortname":"Flow Cyt (Intra)"}, "ICCIF" : {"fullname" : "Immunocytochemistry/ Immunofluorescence", "shortname":"ICC/IF"} }, "product-promise": { "all": "all", "testedAndGuaranteed": "tested", "guaranteed": "expected", "predicted": "predicted", "notRecommended": "not-recommended" } }, "values": { "Human": { "IHCP-species-checked": "testedAndGuaranteed", "IHCP-species-dilution-info": "5 µg/mL", "IHCP-species-notes": "<p></p> Perform heat-mediated antigen retrieval with citrate buffer pH 6 before commencing with IHC staining protocol.", "FlowCytIntra-species-checked": "testedAndGuaranteed", "FlowCytIntra-species-dilution-info": "1 µg for 10^6 Cells", "FlowCytIntra-species-notes": "<p><a href='/en-us/products/primary-antibodies/mouse-igg1-kappa-monoclonal-15-6e10a7-isotype-control-ab170190'>ab170190</a> - Mouse monoclonal IgG1, is suitable for use as an isotype control with this antibody.</p>", "ICCIF-species-checked": "testedAndGuaranteed", "ICCIF-species-dilution-info": "1 µg/mL", "ICCIF-species-notes": "<p></p>" }, "African green monkey": { "IHCP-species-checked": "predicted", "IHCP-species-dilution-info": "", "IHCP-species-notes": "", "FlowCytIntra-species-checked": "predicted", "FlowCytIntra-species-dilution-info": "", "FlowCytIntra-species-notes": "", "ICCIF-species-checked": "predicted", "ICCIF-species-dilution-info": "", "ICCIF-species-notes": "" } } }

Product details

Want a custom formulation?
This antibody clone is manufactured by Abcam. If you require a custom buffer formulation or conjugation for your experiments, please contact orders@abcam.com

Properties and storage information

Form
Liquid
Purification technique
Affinity purification
Storage buffer
Preservative: 0.02% Sodium azide Constituents: PBS, 6.97% L-Arginine
Shipped at conditions
Blue Ice
Appropriate short-term storage duration
1-2 weeks
Appropriate short-term storage conditions
+4°C
Appropriate long-term storage conditions
-20°C
Aliquoting information
Upon delivery aliquot
Storage information
Avoid freeze / thaw cycle

Product protocols

For this product, it's our understanding that no specific protocols are required. You can visit:

Target data

E3 ubiquitin-protein ligase that specifically mediates the formation of 'Lys-6'-linked polyubiquitin chains and plays a central role in DNA repair by facilitating cellular responses to DNA damage (PubMed : 10500182, PubMed : 12887909, PubMed : 12890688, PubMed : 14976165, PubMed : 16818604, PubMed : 17525340, PubMed : 19261748). It is unclear whether it also mediates the formation of other types of polyubiquitin chains (PubMed : 12890688). The BRCA1-BARD1 heterodimer coordinates a diverse range of cellular pathways such as DNA damage repair, ubiquitination and transcriptional regulation to maintain genomic stability (PubMed : 12890688, PubMed : 14976165, PubMed : 20351172). Regulates centrosomal microtubule nucleation (PubMed : 18056443). Required for appropriate cell cycle arrests after ionizing irradiation in both the S-phase and the G2 phase of the cell cycle (PubMed : 10724175, PubMed : 11836499, PubMed : 12183412, PubMed : 19261748). Required for FANCD2 targeting to sites of DNA damage (PubMed : 12887909). Inhibits lipid synthesis by binding to inactive phosphorylated ACACA and preventing its dephosphorylation (PubMed : 16326698). Contributes to homologous recombination repair (HRR) via its direct interaction with PALB2, fine-tunes recombinational repair partly through its modulatory role in the PALB2-dependent loading of BRCA2-RAD51 repair machinery at DNA breaks (PubMed : 19369211). Component of the BRCA1-RBBP8 complex which regulates CHEK1 activation and controls cell cycle G2/M checkpoints on DNA damage via BRCA1-mediated ubiquitination of RBBP8 (PubMed : 16818604). Acts as a transcriptional activator (PubMed : 20160719).
See full target information BRCA1

Publications (15)

Recent publications for all applications. Explore the full list and refine your search

PeerJ 9:e12231 PubMed34692254

2021

Heterogeneity in conservation of multifunctional partner enzymes with meiotic importance, CDK2 kinase and BRCA1 ubiquitin ligase.

Applications

Unspecified application

Species

Unspecified reactive species

Sergey Matveevsky,Tatiana Grishaeva

PloS one 15:e0237759 PubMed33332350

2020

Site-specific targeting of a light activated dCas9-KillerRed fusion protein generates transient, localized regions of oxidative DNA damage.

Applications

Unspecified application

Species

Unspecified reactive species

Nealia C M House,Ramya Parasuram,Jacob V Layer,Brendan D Price

Immunity 52:542-556.e13 PubMed32187520

2020

Dysregulated Expression of the Nuclear Exosome Targeting Complex Component Rbm7 in Nonhematopoietic Cells Licenses the Development of Fibrosis.

Applications

Unspecified application

Species

Unspecified reactive species

Kiyoharu Fukushima,Takashi Satoh,Fuminori Sugihara,Yuki Sato,Toru Okamoto,Yuichi Mitsui,Sachiyo Yoshio,Songling Li,Satoshi Nojima,Daisuke Motooka,Shota Nakamura,Hiroshi Kida,Daron M Standley,Eiichi Morii,Tatsuya Kanto,Motoko Yanagita,Yoshiharu Matsuura,Takashi Nagasawa,Atsushi Kumanogoh,Shizuo Akira

Nature structural & molecular biology 27:179-191 PubMed32042152

2020

BRCA1 and S phase DNA repair pathways restrict LINE-1 retrotransposition in human cells.

Applications

Unspecified application

Species

Unspecified reactive species

Paolo Mita,Xiaoji Sun,David Fenyö,David J Kahler,Donghui Li,Neta Agmon,Aleksandra Wudzinska,Sarah Keegan,Joel S Bader,Chi Yun,Jef D Boeke

Journal of experimental & clinical cancer research 38:499 PubMed31856867

2019

Mortaparib, a novel dual inhibitor of mortalin and PARP1, is a potential drug candidate for ovarian and cervical cancers.

Applications

Unspecified application

Species

Unspecified reactive species

Jayarani F Putri,Priyanshu Bhargava,Jaspreet Kaur Dhanjal,Tomoko Yaguchi,Durai Sundar,Sunil C Kaul,Renu Wadhwa

Human reproduction (Oxford, England) 34:297-307 PubMed30521029

2018

Inhibition of PTEN activates bovine non-growing follicles in vitro but increases DNA damage and reduces DNA repair response.

Applications

Unspecified application

Species

Unspecified reactive species

Mila Maidarti,Yvonne L Clarkson,Marie McLaughlin,Richard A Anderson,Evelyn E Telfer

Molecular cancer research : MCR 17:42-53 PubMed30201826

2018

Repurposing of mTOR Complex Inhibitors Attenuates MCL-1 and Sensitizes to PARP Inhibition.

Applications

Unspecified application

Species

Unspecified reactive species

Abid R Mattoo,Alex Joun,J Milburn Jessup

Nature communications 8:860 PubMed29038425

2017

MRE11 and EXO1 nucleases degrade reversed forks and elicit MUS81-dependent fork rescue in BRCA2-deficient cells.

Applications

Unspecified application

Species

Unspecified reactive species

Delphine Lemaçon,Jessica Jackson,Annabel Quinet,Joshua R Brickner,Shan Li,Stephanie Yazinski,Zhongsheng You,Grzegorz Ira,Lee Zou,Nima Mosammaparast,Alessandro Vindigni

Molecular cell 65:671-684.e5 PubMed28132842

2017

DNA Double-Strand Break Resection Occurs during Non-homologous End Joining in G1 but Is Distinct from Resection during Homologous Recombination.

Applications

Unspecified application

Species

Unspecified reactive species

Ronja Biehs,Monika Steinlage,Olivia Barton,Szilvia Juhász,Julia Künzel,Julian Spies,Atsushi Shibata,Penny A Jeggo,Markus Löbrich

The American journal of pathology 186:1967-1976 PubMed27182645

2016

DNA Methylation Leads to DNA Repair Gene Down-Regulation and Trinucleotide Repeat Expansion in Patient-Derived Huntington Disease Cells.

Applications

Unspecified application

Species

Unspecified reactive species

Peter A Mollica,John A Reid,Roy C Ogle,Patrick C Sachs,Robert D Bruno
View all publications

Product promise

We are committed to supporting your work with high-quality reagents, and we're here for you every step of the way. In the unlikely event that one of our products does not perform as expected, you're protected by our Product Promise.
For full details, please see our Terms & Conditions

Please note: All products are 'FOR RESEARCH USE ONLY. NOT FOR USE IN DIAGNOSTIC OR THERAPEUTIC PROCEDURES'.

For licensing inquiries, please contact partnerships@abcam.com