JavaScript is disabled in your browser. Please enable JavaScript to view this website.
AB322104

Anti-BRCA2 antibody [EPR26146-81]

Be the first to review this product! Submit a review

|

(0 Publication)

Rabbit Recombinant Monoclonal BRCA2 antibody. Suitable for WB, IHC-P and reacts with Human samples.

View Alternative Names

FACD, FANCD1, BRCA2, Breast cancer type 2 susceptibility protein, Fanconi anemia group D1 protein

8 Images
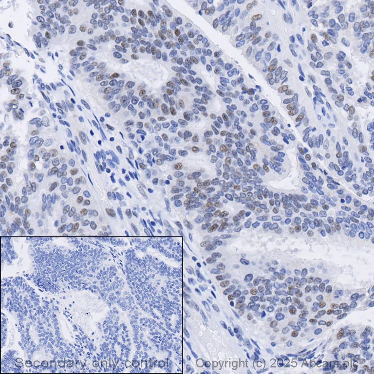
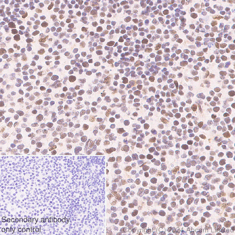
Immunohistochemistry (Formalin/PFA-fixed paraffin-embedded sections) - Anti-BRCA2 antibody [EPR26146-81] (AB322104)
  • IHC-P

Lab

Immunohistochemistry (Formalin/PFA-fixed paraffin-embedded sections) - Anti-BRCA2 antibody [EPR26146-81] (AB322104)

Immunohistochemical analysis of formalin fixed paraffin embedded human tonsil labelling BRCA2 with ab322104 at a concentration of 1µg/ml. The immunostaining was performed on a Ventana DISCOVERY ULTRA (Roche Tissue Diagnostics) instrument with a OptiView DAB IHC Detection Kit. Heat mediated antigen retrieval was performed with DISCOVERY cell conditioning solution (CC1) 100°C, pH8.5 for 32mins.

ab322104 anti-BRCA2 antibody [EPR26146-81] was incubated for 16mins at 37°C. Sections were counterstained with Hematoxylin II. Image inset shows absence of staining in secondary antibody only control.

Customers are encouraged to optimise antigen retrieval conditions, antibody concentration, incubation times and temperature for best results in their own IHC assay workflow (automated and manual)

Immunohistochemistry (Formalin/PFA-fixed paraffin-embedded sections) - Anti-BRCA2 antibody [EPR26146-81] (AB322104)
  • IHC-P

Lab

Immunohistochemistry (Formalin/PFA-fixed paraffin-embedded sections) - Anti-BRCA2 antibody [EPR26146-81] (AB322104)

Immunohistochemical analysis of formalin fixed paraffin embedded human invasive lobular breast carcinoma labelling BRCA2 with ab322104 at a concentration of 1µg/ml. The immunostaining was performed on a Ventana DISCOVERY ULTRA (Roche Tissue Diagnostics) instrument with a OptiView DAB IHC Detection Kit. Heat mediated antigen retrieval was performed with DISCOVERY cell conditioning solution (CC1) 100°C, pH8.5 for 32mins.

ab322104 anti-BRCA2 antibody [EPR26146-81] was incubated for 16mins at 37°C. Sections were counterstained with Hematoxylin II. Image inset shows absence of staining in secondary antibody only control.

Customers are encouraged to optimise antigen retrieval conditions, antibody concentration, incubation times and temperature for best results in their own IHC assay workflow (automated and manual)

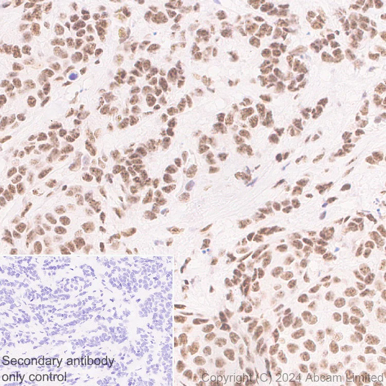
Immunohistochemistry (Formalin/PFA-fixed paraffin-embedded sections) - Anti-BRCA2 antibody [EPR26146-81] (AB322104)
  • IHC-P

Lab

Immunohistochemistry (Formalin/PFA-fixed paraffin-embedded sections) - Anti-BRCA2 antibody [EPR26146-81] (AB322104)

Immunohistochemical analysis of formalin fixed paraffin embedded human ductal breast carcinoma labelling BRCA2 with ab322104 at a concentration of 1µg/ml. The immunostaining was performed on a Ventana DISCOVERY ULTRA (Roche Tissue Diagnostics) instrument with a OptiView DAB IHC Detection Kit. Heat mediated antigen retrieval was performed with DISCOVERY cell conditioning solution (CC1) 100°C, pH8.5 for 32mins.

ab322104 anti-BRCA2 antibody [EPR26146-81] was incubated for 16mins at 37°C. Sections were counterstained with Hematoxylin II. Image inset shows absence of staining in secondary antibody only control.

Customers are encouraged to optimise antigen retrieval conditions, antibody concentration, incubation times and temperature for best results in their own IHC assay workflow (automated and manual)

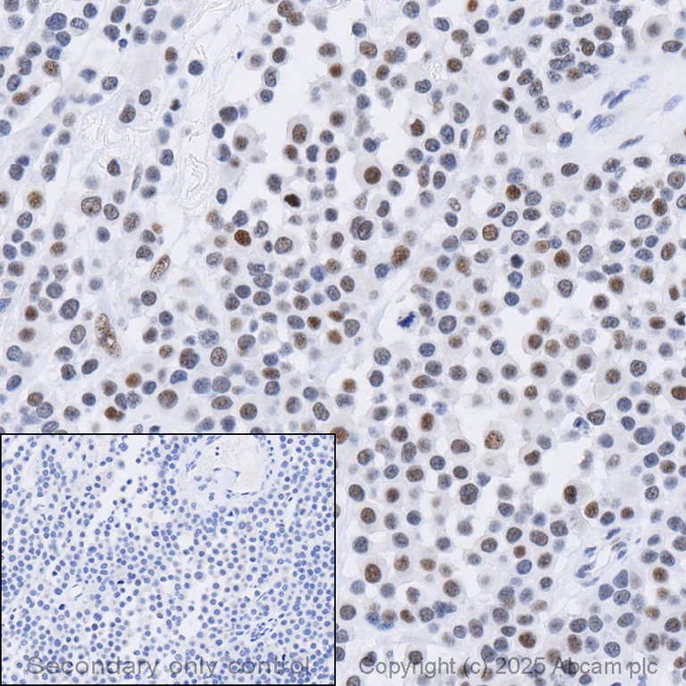
Immunohistochemistry (Formalin/PFA-fixed paraffin-embedded sections) - Anti-BRCA2 antibody [EPR26146-81] (AB322104)
  • IHC-P

Supplier Data

Immunohistochemistry (Formalin/PFA-fixed paraffin-embedded sections) - Anti-BRCA2 antibody [EPR26146-81] (AB322104)

Immunohistochemical analysis of paraffin-embedded Human lung tissue labeling BRCA2 with ab322104 at 1/500 (1.006 ug/ml) dilution, followed by a ready to use LeicaDS9800 (Bond® Polymer Refine Detection). Low expression tissue : almost no staining on human lung (PMID : 9133444). The section was incubated with ab322104 for 30 mins at room temperature. The immunostaining was performed on a Leica Biosystems BOND® RX instrument. Counterstained with Hematoxylin. Secondary antibody only control : Secondary antibody is a ready to use LeicaDS9800 (Bond® Polymer Refine Detection). Heat mediated antigen retrieval was performed with Tris-EDTA buffer (pH 9.0, Epitope Retrieval Solution2) for 20 mins.

Immunohistochemistry (Formalin/PFA-fixed paraffin-embedded sections) - Anti-BRCA2 antibody [EPR26146-81] (AB322104)
  • IHC-P

Supplier Data

Immunohistochemistry (Formalin/PFA-fixed paraffin-embedded sections) - Anti-BRCA2 antibody [EPR26146-81] (AB322104)

Immunohistochemical analysis of paraffin-embedded Human tonsil tissue labeling BRCA2 with ab322104 at 1/500 (1.006 ug/ml) dilution, followed by a ready to use LeicaDS9800 (Bond® Polymer Refine Detection). Positive staining on human tonsil. The section was incubated with ab322104 for 30 mins at room temperature. The immunostaining was performed on a Leica Biosystems BOND® RX instrument. Counterstained with Hematoxylin. Secondary antibody only control : Secondary antibody is a ready to use LeicaDS9800 (Bond® Polymer Refine Detection). Heat mediated antigen retrieval was performed with Tris-EDTA buffer (pH 9.0, Epitope Retrieval Solution2) for 20 mins.

Immunohistochemistry (Formalin/PFA-fixed paraffin-embedded sections) - Anti-BRCA2 antibody [EPR26146-81] (AB322104)
  • IHC-P

Supplier Data

Immunohistochemistry (Formalin/PFA-fixed paraffin-embedded sections) - Anti-BRCA2 antibody [EPR26146-81] (AB322104)

Immunohistochemical analysis of paraffin-embedded Human breast carcinoma tissue labeling BRCA2 with ab322104 at 1/500 (1.006 ug/ml) dilution, followed by a ready to use LeicaDS9800 (Bond® Polymer Refine Detection). Positive staining on human brest carcinoma (PMID : 15933754). The section was incubated with ab322104 for 30 mins at room temperature. The immunostaining was performed on a Leica Biosystems BOND® RX instrument. Counterstained with Hematoxylin. Secondary antibody only control : Secondary antibody is a ready to use LeicaDS9800 (Bond® Polymer Refine Detection). Heat mediated antigen retrieval was performed with Tris-EDTA buffer (pH 9.0, Epitope Retrieval Solution2) for 20 mins.

Western blot - Anti-BRCA2 antibody [EPR26146-81] (AB322104)
  • WB

Supplier Data

Western blot - Anti-BRCA2 antibody [EPR26146-81] (AB322104)

Blocking and diluting buffer and concentration : 5% NFDM/TBST.

To minimize protein degradation, cells were lysed immediately after harvest and then applied to a gel and transfer membrane for Western blotting as soon as possible.

The identity of the lower MW band at approximately 130 kDa is unknown.

The band beneath the target band (200 kDa) is expected to be degradation product.

In Western blot, Anti-Vinculin antibody [EPR8185] (ab129002) staining at 1/10000 dilution.

All lanes:

Western blot - Anti-BRCA2 antibody [EPR26146-81] (ab322104) at 1/1000 dilution

Lane 1:

HeLa (human cervical adenocarcinoma epithelial cell) transfected with scrambled siRNA control whole cell lysate at 50 µg

Lane 2:

Hela transfected with siRNA specifically targeting BRCA2 whole cell lysate at 50 µg

Secondary

All lanes:

Western blot - Goat Anti-Rabbit IgG H&L (HRP) (<a href='/en-us/products/secondary-antibodies/goat-rabbit-igg-h-l-hrp-ab97051'>ab97051</a>) at 1/20000 dilution

Observed band size: 200 kDa,384 kDa,124 kDa

false

Exposure time: 180s

Western blot - Anti-BRCA2 antibody [EPR26146-81] (AB322104)
  • WB

Supplier Data

Western blot - Anti-BRCA2 antibody [EPR26146-81] (AB322104)

Blocking and diluting buffer and concentration : 5% NFDM/TBST.

Capan-1 cells have one copy of BRCA2 gene missing and a mutation in the remaining copy resulting in a truncation of the protein (180kDa).

To minimize protein degradation, cells were lysed immediately after harvest and then applied to a gel and transfer membrane for Western blotting as soon as possible.

The band beneath the target band (250 kDa) is likely to be degradation product.

The identity of the lower MW band at approximately 130 kDa is unknown.

In Western blot, Anti-Vinculin antibody [EPR8185] (ab129002) staining at 1/10000 dilution.

All lanes:

Western blot - Anti-BRCA2 antibody [EPR26146-81] (ab322104) at 1/1000 dilution

Lane 1:

HeLa (human cervical adenocarcinoma epithelial cell) whole cell lysate at 100 µg

Lane 2:

Capan-1 (human pancreatic adenocarcinoma epithelial cell) whole cell lysate at 100 µg

Secondary

All lanes:

Western blot - Goat Anti-Rabbit IgG H&L (HRP) (<a href='/en-us/products/secondary-antibodies/goat-rabbit-igg-h-l-hrp-ab97051'>ab97051</a>) at 1/20000 dilution

Observed band size: 180 kDa,250 kDa,384 kDa,124 kDa

false

Exposure time: 180s

  • Carrier free

    Anti-BRCA2 antibody [EPR26146-81] - BSA and Azide free

Key facts

Host species

Rabbit

Clonality

Monoclonal

Clone number

EPR26146-81

Isotype

IgG

Carrier free

No

Reacts with

Human

Applications

WB, IHC-P

applications

Immunogen

The exact immunogen used to generate this antibody is proprietary information.

Reactivity data

{ "title": "Reactivity Data", "filters": { "stats": ["", "Species", "Dilution Info", "Notes"], "tabs": { "all-applications": {"fullname" : "All Applications", "shortname": "All Applications"}, "WB" : {"fullname" : "Western blot", "shortname":"WB"}, "IHCP" : {"fullname" : "Immunohistochemistry (Formalin/PFA-fixed paraffin-embedded sections)", "shortname":"IHC-P"}, "ICCIF" : {"fullname" : "Immunocytochemistry/ Immunofluorescence", "shortname":"ICC/IF"} }, "product-promise": { "all": "all", "testedAndGuaranteed": "tested", "guaranteed": "expected", "predicted": "predicted", "notRecommended": "not-recommended" } }, "values": { "Human": { "WB-species-checked": "testedAndGuaranteed", "WB-species-dilution-info": "1/1000", "WB-species-notes": "<p></p>", "IHCP-species-checked": "testedAndGuaranteed", "IHCP-species-dilution-info": "1/500", "IHCP-species-notes": "<p></p> Perform heat-mediated antigen retrieval with Tris/EDTA buffer pH 9.0 before commencing with IHC staining protocol.", "ICCIF-species-checked": "notRecommended", "ICCIF-species-dilution-info": "", "ICCIF-species-notes": "<p></p>" } } }

Product details

Patented technology
Our RabMAb® technology is a patented hybridoma-based technology for making rabbit monoclonal antibodies. For details on our patents, please refer to RabMAb® patents.

What are the advantages of a recombinant monoclonal antibody?
This product is a recombinant monoclonal antibody, which offers several advantages including:

  • - High batch-to-batch consistency and reproducibility
  • - Improved sensitivity and specificity
  • - Long-term security of supply
  • - Animal-free batch production

For more information, read more on recombinant antibodies.

Properties and storage information

Form
Liquid
Purification technique
Affinity purification Protein A
Storage buffer
pH: 7.2 - 7.4 Preservative: 0.01% Sodium azide Constituents: PBS, 40% Glycerol (glycerin, glycerine), 0.05% BSA
Shipped at conditions
Blue Ice
Appropriate short-term storage duration
1-2 weeks
Appropriate short-term storage conditions
+4°C
Appropriate long-term storage conditions
-20°C
Aliquoting information
Upon delivery aliquot
Storage information
Avoid freeze / thaw cycle

Product protocols

For this product, it's our understanding that no specific protocols are required. You can visit:

Target data

Involved in double-strand break repair and/or homologous recombination. Binds RAD51 and potentiates recombinational DNA repair by promoting assembly of RAD51 onto single-stranded DNA (ssDNA). Acts by targeting RAD51 to ssDNA over double-stranded DNA, enabling RAD51 to displace replication protein-A (RPA) from ssDNA and stabilizing RAD51-ssDNA filaments by blocking ATP hydrolysis. Part of a PALB2-scaffolded HR complex containing RAD51C and which is thought to play a role in DNA repair by HR. May participate in S phase checkpoint activation. Binds selectively to ssDNA, and to ssDNA in tailed duplexes and replication fork structures. May play a role in the extension step after strand invasion at replication-dependent DNA double-strand breaks; together with PALB2 is involved in both POLH localization at collapsed replication forks and DNA polymerization activity. In concert with NPM1, regulates centrosome duplication. Interacts with the TREX-2 complex (transcription and export complex 2) subunits PCID2 and SEM1, and is required to prevent R-loop-associated DNA damage and thus transcription-associated genomic instability. Silencing of BRCA2 promotes R-loop accumulation at actively transcribed genes in replicating and non-replicating cells, suggesting that BRCA2 mediates the control of R-loop associated genomic instability, independently of its known role in homologous recombination (PubMed : 24896180).
See full target information BRCA2

Product promise

We are committed to supporting your work with high-quality reagents, and we're here for you every step of the way. In the unlikely event that one of our products does not perform as expected, you're protected by our Product Promise.
For full details, please see our Terms & Conditions

Please note: All products are 'FOR RESEARCH USE ONLY. NOT FOR USE IN DIAGNOSTIC OR THERAPEUTIC PROCEDURES'.

For licensing inquiries, please contact partnerships@abcam.com