JavaScript is disabled in your browser. Please enable JavaScript to view this website.
AB115172

Anti-BRCC36 antibody

Be the first to review this product! Submit a review

|

(6 Publications)

Rabbit Polyclonal BRCC36 antibody. Suitable for IHC-P, WB, IP and reacts with Human, Mouse samples. Cited in 6 publications. Immunogen corresponding to Synthetic Peptide within Human BRCC3 aa 250 to C-terminus.

View Alternative Names

BRCC36, C6.1A, CXorf53, BRCC3, Lys-63-specific deubiquitinase BRCC36, BRCA1-A complex subunit BRCC36, BRCA1/BRCA2-containing complex subunit 3, BRCA1/BRCA2-containing complex subunit 36, BRISC complex subunit BRCC36

3 Images
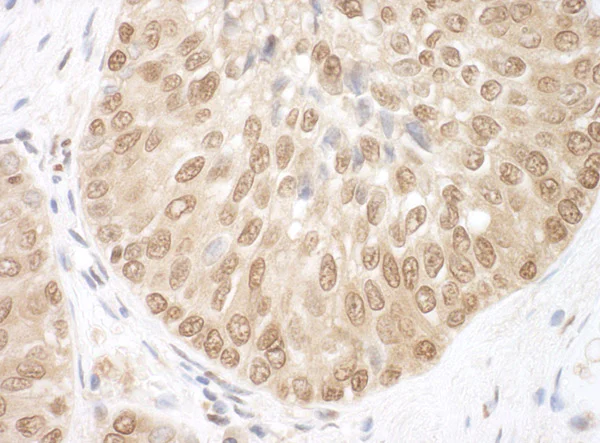
Immunohistochemistry (Formalin/PFA-fixed paraffin-embedded sections) - Anti-BRCC36 antibody (AB115172)
  • IHC-P

Unknown

Immunohistochemistry (Formalin/PFA-fixed paraffin-embedded sections) - Anti-BRCC36 antibody (AB115172)

Immunohistochemistry (Formalin/PFA-fixed paraffin-embedded sections) analysis of human prostate carcinoma tissue labelling BRCC36 with ab115172 at 1/1000 (1µg/ml). Detection : DAB.

Immunoprecipitation - Anti-BRCC36 antibody (AB115172)
  • IP

Unknown

Immunoprecipitation - Anti-BRCC36 antibody (AB115172)

Immunoprecipitation of BRCC36 (3 μg of antibody per mg of HeLa cell lysate; 20% of the IP loaded). Lane 1-Immunoprecipitation with an anti-BRCC36 antibody that recognizes an upstream epitope; Lane 2-Immunoprecipitation with anti-BRCC36 antibody (ab115172); Lane 3-Immunoprecipitation with IgG control. Anti-BRCC36 antibody (ab115172) used at 0.4 μg/ml for western blot. Detection : Chemiluminescence with exposure time of 30 sec.

All lanes:

Immunoprecipitation - Anti-BRCC36 antibody (ab115172)

Predicted band size: 36 kDa

false

Western blot - Anti-BRCC36 antibody (AB115172)
  • WB

Unknown

Western blot - Anti-BRCC36 antibody (AB115172)

All lanes:

Western blot - Anti-BRCC36 antibody (ab115172) at 0.1 µg/mL

Lane 1:

HeLa cell lysate at 50 µg

Lane 2:

HeLa cell lysate at 15 µg

Lane 3:

HeLa cell lysate at 5 µg

Lane 4:

293T cell lysate at 50 µg

Lane 5:

Mouse NIH3T3 cell lysate at 50 µg

Predicted band size: 36 kDa

false

Exposure time: 30s

Key facts

Host species

Rabbit

Clonality

Polyclonal

Isotype

IgG

Carrier free

No

Reacts with

Mouse, Human

Applications

WB, IHC-P, IP

applications

Immunogen

Synthetic Peptide within Human BRCC3 aa 250 to C-terminus. The exact immunogen used to generate this antibody is proprietary information.

P46736

Reactivity data

{ "title": "Reactivity Data", "filters": { "stats": ["", "Species", "Dilution Info", "Notes"], "tabs": { "all-applications": {"fullname" : "All Applications", "shortname": "All Applications"}, "IHCP" : {"fullname" : "Immunohistochemistry (Formalin/PFA-fixed paraffin-embedded sections)", "shortname":"IHC-P"}, "WB" : {"fullname" : "Western blot", "shortname":"WB"}, "IP" : {"fullname" : "Immunoprecipitation", "shortname":"IP"} }, "product-promise": { "all": "all", "testedAndGuaranteed": "tested", "guaranteed": "expected", "predicted": "predicted", "notRecommended": "not-recommended" } }, "values": { "Human": { "IHCP-species-checked": "testedAndGuaranteed", "IHCP-species-dilution-info": "1/500 - 1/2000", "IHCP-species-notes": "<p></p> Perform heat-mediated antigen retrieval with citrate buffer pH 6 before commencing with IHC staining protocol.", "WB-species-checked": "testedAndGuaranteed", "WB-species-dilution-info": "1/2000 - 1/10000", "WB-species-notes": "<p></p>", "IP-species-checked": "testedAndGuaranteed", "IP-species-dilution-info": "2-5 µg/mg of lysate", "IP-species-notes": "<p></p>" }, "Mouse": { "IHCP-species-checked": "guaranteed", "IHCP-species-dilution-info": "", "IHCP-species-notes": "", "WB-species-checked": "testedAndGuaranteed", "WB-species-dilution-info": "1/2000 - 1/10000", "WB-species-notes": "<p></p>", "IP-species-checked": "guaranteed", "IP-species-dilution-info": "", "IP-species-notes": "" }, "Bat": { "IHCP-species-checked": "predicted", "IHCP-species-dilution-info": "", "IHCP-species-notes": "", "WB-species-checked": "predicted", "WB-species-dilution-info": "", "WB-species-notes": "", "IP-species-checked": "predicted", "IP-species-dilution-info": "", "IP-species-notes": "" }, "Elephant": { "IHCP-species-checked": "predicted", "IHCP-species-dilution-info": "", "IHCP-species-notes": "", "WB-species-checked": "predicted", "WB-species-dilution-info": "", "WB-species-notes": "", "IP-species-checked": "predicted", "IP-species-dilution-info": "", "IP-species-notes": "" }, "Horse": { "IHCP-species-checked": "predicted", "IHCP-species-dilution-info": "", "IHCP-species-notes": "", "WB-species-checked": "predicted", "WB-species-dilution-info": "", "WB-species-notes": "", "IP-species-checked": "predicted", "IP-species-dilution-info": "", "IP-species-notes": "" }, "Orangutan": { "IHCP-species-checked": "predicted", "IHCP-species-dilution-info": "", "IHCP-species-notes": "", "WB-species-checked": "predicted", "WB-species-dilution-info": "", "WB-species-notes": "", "IP-species-checked": "predicted", "IP-species-dilution-info": "", "IP-species-notes": "" }, "Pig": { "IHCP-species-checked": "predicted", "IHCP-species-dilution-info": "", "IHCP-species-notes": "", "WB-species-checked": "predicted", "WB-species-dilution-info": "", "WB-species-notes": "", "IP-species-checked": "predicted", "IP-species-dilution-info": "", "IP-species-notes": "" }, "Rhesus monkey": { "IHCP-species-checked": "predicted", "IHCP-species-dilution-info": "", "IHCP-species-notes": "", "WB-species-checked": "predicted", "WB-species-dilution-info": "", "WB-species-notes": "", "IP-species-checked": "predicted", "IP-species-dilution-info": "", "IP-species-notes": "" } } }

Properties and storage information

Form
Liquid
Purification technique
Affinity purification Immunogen
Storage buffer
pH: 7 - 8 Preservative: 0.09% Sodium azide Constituents: 99% Tris citrate/phosphate
Shipped at conditions
Blue Ice
Appropriate short-term storage conditions
+4°C
Appropriate long-term storage conditions
+4°C
Aliquoting information
Upon delivery aliquot
Storage information
Avoid freeze / thaw cycle

Product protocols

For this product, it's our understanding that no specific protocols are required. You can visit:

Target data

Metalloprotease that specifically cleaves 'Lys-63'-linked polyubiquitin chains (PubMed : 19214193, PubMed : 20656690, PubMed : 24075985, PubMed : 26344097). Does not have activity toward 'Lys-48'-linked polyubiquitin chains (PubMed : 19214193, PubMed : 20656690, PubMed : 24075985, PubMed : 26344097). Component of the BRCA1-A complex, a complex that specifically recognizes 'Lys-63'-linked ubiquitinated histones H2A and H2AX at DNA lesions sites, leading to target the BRCA1-BARD1 heterodimer to sites of DNA damage at double-strand breaks (DSBs) (PubMed : 14636569, PubMed : 16707425, PubMed : 17525341, PubMed : 19202061, PubMed : 19261746, PubMed : 19261748, PubMed : 19261749). In the BRCA1-A complex, it specifically removes 'Lys-63'-linked ubiquitin on histones H2A and H2AX, antagonizing the RNF8-dependent ubiquitination at double-strand breaks (DSBs) (PubMed : 20656690). Catalytic subunit of the BRISC complex, a multiprotein complex that specifically cleaves 'Lys-63'-linked ubiquitin in various substrates (PubMed : 20656690, PubMed : 24075985, PubMed : 26195665, PubMed : 26344097). Mediates the specific 'Lys-63'-specific deubiquitination associated with the COP9 signalosome complex (CSN), via the interaction of the BRISC complex with the CSN complex (PubMed : 19214193). The BRISC complex is required for normal mitotic spindle assembly and microtubule attachment to kinetochores via its role in deubiquitinating NUMA1 (PubMed : 26195665). Plays a role in interferon signaling via its role in the deubiquitination of the interferon receptor IFNAR1; deubiquitination increases IFNAR1 activity by enhancing its stability and cell surface expression (PubMed : 24075985, PubMed : 26344097). Acts as a regulator of the NLRP3 inflammasome by mediating deubiquitination of NLRP3, leading to NLRP3 inflammasome assembly (By similarity). Down-regulates the response to bacterial lipopolysaccharide (LPS) via its role in IFNAR1 deubiquitination (PubMed : 24075985). Deubiquitinates HDAC1 and PWWP2B leading to their stabilization (By similarity).
See full target information BRCC3

Publications (6)

Recent publications for all applications. Explore the full list and refine your search

Aging 16:6757-6772 PubMed38656882

2024

USP15 facilitates the progression of bladder cancer by amplifying the activation of the NF-κB signaling pathway.

Applications

Unspecified application

Species

Unspecified reactive species

Yun Li,Chenghang Jiang,Quanqi Liu,Pengfei Zhou,Daxue Tian,Ying Zeng,Mingfeng Xiang

Acta biochimica et biophysica Sinica 56:564-575 PubMed38449391

2024

The deubiquitinase BRCC3 increases the stability of ZEB1 and promotes the proliferation and metastasis of triple-negative breast cancer cells.

Applications

Unspecified application

Species

Unspecified reactive species

Qidi Huang,Shurong Zheng,Huayan Gu,Zhi Yang,Yiqiao Lu,Xia Yu,Guilong Guo

EMBO reports 23:e53466 PubMed34779558

2021

High salt activates p97 to reduce host antiviral immunity by restricting Viperin induction.

Applications

Unspecified application

Species

Unspecified reactive species

Yukang Yuan,Ying Miao,Tengfei Ren,Fan Huang,Liping Qian,Xiangjie Chen,Yibo Zuo,Hong-Guang Zhang,Jiuyi He,Caixia Qiao,Qian Du,Qiuyu Wu,Wei Zhang,Chuanwu Zhu,Yang Xu,Depei Wu,Weifeng Shi,Jingting Jiang,Guoqiang Xu,Hui Zheng

Molecular immunology 135:28-35 PubMed33857816

2021

HSV-1-encoded ICP0 degrades the host deubiquitinase BRCC36 to antagonize interferon antiviral response.

Applications

Unspecified application

Species

Unspecified reactive species

Liting Zhang,Fan Huang,Jin Liu,Ying Xu,Ying Miao,Yukang Yuan,Xiangjie Chen,Hong-Guang Zhang,Jun Wang,Hui Zheng,Yibo Zuo

European journal of immunology 51:296-310 PubMed32673428

2020

BRCC36 functions noncatalytically to promote antiviral response by maintaining STAT1 protein stability.

Applications

Unspecified application

Species

Unspecified reactive species

Qiao Cheng,Qian Feng,Yang Xu,Yibo Zuo,Jin Liu,Yukang Yuan,Ying Miao,Yin Liu,Lei Lei,Tingting Guo,Liting Zhang,Depei Wu,Hui Zheng

PloS one 8:e56955 PubMed23451117

2013

Loss of GGN leads to pre-implantation embryonic lethality and compromised male meiotic DNA double strand break repair in the mouse.

Applications

WB

Species

Mouse

Duangporn Jamsai,Anne E O'Connor,Kathleen D Deboer,Brett J Clark,Stephanie J Smith,Catherine M Browne,Jonathan G Bensley,Julie A Merriman,Wai Shan Yuen,Peter Koopman,Keith T Jones,Moira K O'Bryan
View all publications

Product promise

We are committed to supporting your work with high-quality reagents, and we're here for you every step of the way. In the unlikely event that one of our products does not perform as expected, you're protected by our Product Promise.
For full details, please see our Terms & Conditions

Please note: All products are 'FOR RESEARCH USE ONLY. NOT FOR USE IN DIAGNOSTIC OR THERAPEUTIC PROCEDURES'.

For licensing inquiries, please contact partnerships@abcam.com