JavaScript is disabled in your browser. Please enable JavaScript to view this website.
AB245436

Anti-BRD2 antibody

Be the first to review this product! Submit a review

|

(1 Publication)

Rabbit Polyclonal BRD2 antibody. Suitable for IHC-P, IP, WB and reacts with Human, Mouse samples. Immunogen corresponding to Synthetic Peptide within Human BRD2 aa 650-750.

View Alternative Names

KIAA9001, RING3, BRD2, Bromodomain-containing protein 2, O27.1.1

4 Images
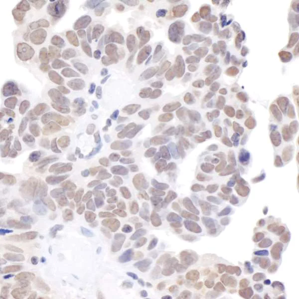
Immunohistochemistry (Formalin/PFA-fixed paraffin-embedded sections) - Anti-BRD2 antibody (AB245436)
  • IHC-P

Supplier Data

Immunohistochemistry (Formalin/PFA-fixed paraffin-embedded sections) - Anti-BRD2 antibody (AB245436)

Formalin-fixed, paraffin-embedded human ovarian carcinoma tissue stained for BRD2 with ab245436 at a 1/200 dilution in immunohistochemical analysis. Detected : DAB.

Immunoprecipitation - Anti-BRD2 antibody (AB245436)
  • IP

Supplier Data

Immunoprecipitation - Anti-BRD2 antibody (AB245436)

BRD2 was immunoprecipitated from HEK-293T (human epithelial cell line from embryonic kidney transformed with large T antigen) whole cell lysate (1 mg for IP, 20% of IP loaded) with ab245436 at 6 μg per reaction. Western blot was performed from the immunoprecipitate using a different anti-BRD2 antibody at 1/1000 dilution.

Lane 1 : ab245436 IP in HEK-293T whole cell lysate.
Lane 2 : Control IgG IP in HEK-293T whole cell lysate.

Detection : Chemiluminescence with exposure time of 3 minutes.

Lysates prepared in NETN buffer.

All lanes:

Immunoprecipitation - Anti-BRD2 antibody (ab245436)

Predicted band size: 88 kDa

false

Western blot - Anti-BRD2 antibody (AB245436)
  • WB

Supplier Data

Western blot - Anti-BRD2 antibody (AB245436)

Lysates prepared using NETN lysis buffer.

ab245436 used for western blot at 0.04 μg/ml.

Detection : Chemiluminescence

All lanes:

Western blot - Anti-BRD2 antibody (ab245436)

Lane 1:

HEK-293T (Human epithelial cell line from embryonic kidney transformed with large T antigen) whole cell lysate at 50 µg

Lane 2:

HeLa (Human epithelial cell line from cervix adenocarcinoma) whole cell lysate at 50 µg

Lane 3:

Jurkat (Human T cell leukemia cell line from peripheral blood) whole cell lysate at 50 µg

Predicted band size: 88 kDa

false

Exposure time: 75s

Western blot - Anti-BRD2 antibody (AB245436)
  • WB

Supplier Data

Western blot - Anti-BRD2 antibody (AB245436)

Lysates prepared using NETN lysis buffer.

ab245436 used for WB at 0.1 μg/ml.

Detection : Chemiluminescence

All lanes:

Western blot - Anti-BRD2 antibody (ab245436)

Lane 1:

NIH/3T3 (Mouse embryonic fibroblast cell line) whole cell lysate at 50 µg

Lane 2:

TCMK-1 (Mouse kidney epithelial cell line) whole cell lysate at 50 µg

Predicted band size: 88 kDa

false

Exposure time: 30s

Key facts

Host species

Rabbit

Clonality

Polyclonal

Isotype

IgG

Carrier free

No

Reacts with

Mouse, Human

Applications

IP, WB, IHC-P

applications

Immunogen

Synthetic Peptide within Human BRD2 aa 650-750. The exact immunogen used to generate this antibody is proprietary information.

P25440

Reactivity data

{ "title": "Reactivity Data", "filters": { "stats": ["", "Species", "Dilution Info", "Notes"], "tabs": { "all-applications": {"fullname" : "All Applications", "shortname": "All Applications"}, "IHCP" : {"fullname" : "Immunohistochemistry (Formalin/PFA-fixed paraffin-embedded sections)", "shortname":"IHC-P"}, "IP" : {"fullname" : "Immunoprecipitation", "shortname":"IP"}, "WB" : {"fullname" : "Western blot", "shortname":"WB"} }, "product-promise": { "all": "all", "testedAndGuaranteed": "tested", "guaranteed": "expected", "predicted": "predicted", "notRecommended": "not-recommended" } }, "values": { "Human": { "IHCP-species-checked": "testedAndGuaranteed", "IHCP-species-dilution-info": "1/100 - 1/500", "IHCP-species-notes": "<p></p> Perform heat-mediated antigen retrieval with citrate buffer pH 6 before commencing with IHC staining protocol.", "IP-species-checked": "testedAndGuaranteed", "IP-species-dilution-info": "2-10 µg/mg of lysate", "IP-species-notes": "<p></p>", "WB-species-checked": "testedAndGuaranteed", "WB-species-dilution-info": "1/2000 - 1/10000", "WB-species-notes": "<p></p>" }, "Mouse": { "IHCP-species-checked": "guaranteed", "IHCP-species-dilution-info": "", "IHCP-species-notes": "", "IP-species-checked": "guaranteed", "IP-species-dilution-info": "", "IP-species-notes": "", "WB-species-checked": "testedAndGuaranteed", "WB-species-dilution-info": "1/2000 - 1/10000", "WB-species-notes": "<p></p>" }, "Cow": { "IHCP-species-checked": "predicted", "IHCP-species-dilution-info": "", "IHCP-species-notes": "", "IP-species-checked": "predicted", "IP-species-dilution-info": "", "IP-species-notes": "", "WB-species-checked": "predicted", "WB-species-dilution-info": "", "WB-species-notes": "" }, "Dog": { "IHCP-species-checked": "predicted", "IHCP-species-dilution-info": "", "IHCP-species-notes": "", "IP-species-checked": "predicted", "IP-species-dilution-info": "", "IP-species-notes": "", "WB-species-checked": "predicted", "WB-species-dilution-info": "", "WB-species-notes": "" } } }

Properties and storage information

Form
Liquid
Purification technique
Affinity purification Immunogen
Purification notes
ab245436 was affinity purified using an epitope specific to BRD2 immobilized on solid support.
Storage buffer
pH: 6.8 - 7.4 Preservative: 0.09% Sodium azide Constituents: Tris buffered saline, 0.1% BSA
Shipped at conditions
Blue Ice
Appropriate short-term storage duration
1-2 weeks
Appropriate short-term storage conditions
+4°C
Appropriate long-term storage conditions
+4°C
Aliquoting information
Upon delivery aliquot
Storage information
Avoid freeze / thaw cycle|Do Not Freeze

Product protocols

For this product, it's our understanding that no specific protocols are required. You can visit:

Target data

Chromatin reader protein that specifically recognizes and binds histone H4 acetylated at 'Lys-5' and 'Lys-12' (H4K5ac and H4K12ac, respectively), thereby controlling gene expression and remodeling chromatin structures (PubMed : 17148447, PubMed : 17848202, PubMed : 18406326, PubMed : 20048151, PubMed : 20709061, PubMed : 20871596). Recruits transcription factors and coactivators to target gene sites, and activates RNA polymerase II machinery for transcriptional elongation (PubMed : 28262505). Plays a key role in genome compartmentalization via its association with CTCF and cohesin : recruited to chromatin by CTCF and promotes formation of topologically associating domains (TADs) via its ability to bind acetylated histones, contributing to CTCF boundary formation and enhancer insulation (PubMed : 35410381). Also recognizes and binds acetylated non-histone proteins, such as STAT3 (PubMed : 28262505). Involved in inflammatory response by regulating differentiation of naive CD4(+) T-cells into T-helper Th17 : recognizes and binds STAT3 acetylated at 'Lys-87', promoting STAT3 recruitment to chromatin (PubMed : 28262505). In addition to acetylated lysines, also recognizes and binds lysine residues on histones that are both methylated and acetylated on the same side chain to form N6-acetyl-N6-methyllysine (Kacme), an epigenetic mark of active chromatin associated with increased transcriptional initiation (PubMed : 37731000). Specifically binds histone H4 acetyl-methylated at 'Lys-5' and 'Lys-12' (H4K5acme and H4K12acme, respectively) (PubMed : 37731000).
See full target information BRD2

Publications (1)

Recent publications for all applications. Explore the full list and refine your search

Cancer management and research 13:2057-2069 PubMed33664593

2021

Sevoflurane Limits Glioma Progression by Regulating Cell Proliferation, Apoptosis, Migration, and Invasion via miR-218-5p/DEK/β-Catenin Axis in Glioma.

Applications

Unspecified application

Species

Unspecified reactive species

Yingying Qi,Lina Guo,Yanchao Liu,Tonghang Zhao,Xianwen Liu,Yang Zhang
View all publications

Product promise

We are committed to supporting your work with high-quality reagents, and we're here for you every step of the way. In the unlikely event that one of our products does not perform as expected, you're protected by our Product Promise.
For full details, please see our Terms & Conditions

Please note: All products are 'FOR RESEARCH USE ONLY. NOT FOR USE IN DIAGNOSTIC OR THERAPEUTIC PROCEDURES'.

For licensing inquiries, please contact partnerships@abcam.com