JavaScript is disabled in your browser. Please enable JavaScript to view this website.
AB222393

Anti-BRD2 antibody [EPR7642] - BSA and Azide free

Be the first to review this product! Submit a review

|

(1 Publication)

Rabbit Recombinant Monoclonal BRD2 antibody. Carrier free. Suitable for IHC-P, IP, ChIP, WB, ICC/IF, Flow Cyt (Intra) and reacts with Human samples. Cited in 1 publication.

View Alternative Names

KIAA9001, RING3, BRD2, Bromodomain-containing protein 2, O27.1.1

7 Images
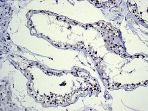
Immunohistochemistry (Formalin/PFA-fixed paraffin-embedded sections) - Anti-BRD2 antibody [EPR7642] - BSA and Azide free (AB222393)
  • IHC-P

Unknown

Immunohistochemistry (Formalin/PFA-fixed paraffin-embedded sections) - Anti-BRD2 antibody [EPR7642] - BSA and Azide free (AB222393)

Immunohistochemical analysis of paraffin-embedded Human testis tissue labeling BRD2 with ab139690 at 1/250 dilution.

This data was developed using the same antibody clone in a different buffer formulation containing PBS, BSA, glycerol, and sodium azide (ab139690).

Heat mediated antigen retrieval was performed before commencing with IHC staining protocol.

Immunocytochemistry/ Immunofluorescence - Anti-BRD2 antibody [EPR7642] - BSA and Azide free (AB222393)
  • ICC/IF

Unknown

Immunocytochemistry/ Immunofluorescence - Anti-BRD2 antibody [EPR7642] - BSA and Azide free (AB222393)

Immunofluorescence analysis of HeLa cells labeling BRD2, with ab139690 at 1/250 dilution.This data was developed using the same antibody clone in a different buffer formulation containing PBS, BSA, glycerol, and sodium azide (ab139690).

Flow Cytometry (Intracellular) - Anti-BRD2 antibody [EPR7642] - BSA and Azide free (AB222393)
  • Flow Cyt (Intra)

Unknown

Flow Cytometry (Intracellular) - Anti-BRD2 antibody [EPR7642] - BSA and Azide free (AB222393)

Overlay histogram showing HeLa cells stained with ab139690 (red line). The cells were fixed with 80% methanol (5 min) and then permeabilized with 0.1% PBS-Tween for 20 min. The cells were then incubated in 1x PBS / 10% normal goat serum / 0.3M glycine to block non-specific protein-protein interactions followed by the antibody (ab139690, 1/1000 dilution) for 30 min at 22°C. The secondary antibody used was Alexa Fluor® 488 goat anti-rabbit IgG (H&L) (ab150077) at 1/2000 dilution for 30 min at 22°C. Isotype control antibody (black line) was rabbit IgG (monoclonal) (0.1μg/1x106 cells) used under the same conditions. Unlabelled sample (blue line) was also used as a control. Acquisition of >5,000 events were collected using a 20mW Argon ion laser (488nm) and 525/30 bandpass filter. This data was developed using the same antibody clone in a different buffer formulation containing PBS, BSA, glycerol, and sodium azide (ab139690).

Immunocytochemistry/ Immunofluorescence - Anti-BRD2 antibody [EPR7642] - BSA and Azide free (AB222393)
  • ICC/IF

Lab

Immunocytochemistry/ Immunofluorescence - Anti-BRD2 antibody [EPR7642] - BSA and Azide free (AB222393)

ab139690 staining Brd2 in wild-type HAP1 cells (top panel) and BRD2 knockout HAP1 cells (bottom panel). The cells were fixed with 4% formaldehyde (10min), permeabilized with 0.1% Triton X-100 for 5 minutes and then blocked with 1% BSA/10% normal goat serum/0.3M glycine in 0.1% PBS-Tween for 1h. The cells were then incubated with ab139690 at 0.5μg/ml and ab195889 at 1/250 dilution (shown in pseudocolour red) overnight at +4°C, followed by a further incubation at room temperature for 1h with a goat secondary antibody to Rabbit IgG (Alexa Fluor® 488) (ab150081) at 2 μg/ml (shown in green). Nuclear DNA was labelled in blue with DAPI.

Image was taken with a confocal microscope (Leica-Microsystems, TCS SP8).

This data was developed using the same antibody clone in a different buffer formulation containing PBS, BSA, glycerol, and sodium azide (ab139690).

ChIP - Anti-BRD2 antibody [EPR7642] - BSA and Azide free (AB222393)
  • ChIP

Unknown

ChIP - Anti-BRD2 antibody [EPR7642] - BSA and Azide free (AB222393)

Chromatin was prepared from HT-29 cells according to the Abcam X-ChIP protocol*. Cells were fixed with formaldehyde for 10 minutes.
The ChIP was performed with 25 µg of chromatin, 5 µg of ab139690 (red), and 20 µl of Protein A/G sepharose beads. 5 µg of rabbit normal IgG was added to the beads control (gray). The immunoprecipitated DNA was quantified by real time PCR (Sybr green approach).
Primers and probes are located in the first kb of the transcribed region.
*http : //www.abcam.com/resources?keywords=X%20ChIP%20protocol
This data was developed using the same antibody clone in a different buffer formulation containing PBS, BSA, glycerol, and sodium azide (ab139690).

Immunoprecipitation - Anti-BRD2 antibody [EPR7642] - BSA and Azide free (AB222393)
  • IP

Lab

Immunoprecipitation - Anti-BRD2 antibody [EPR7642] - BSA and Azide free (AB222393)

This data was developed using ab139690, the same antibody clone in a different buffer formulation.

BRD2 was immunoprecipitated from HeLa (human cervix adenocarcinoma epithelial cell), whole cell lysate 10 μg with ab139690 1 : 1000 dilution (0.558 μg/ml). Western blot was performed on the immunoprecipitate using ab139690 at 1/1000 dilution. Capture antibody, 1 : 30 dilution (2μg in 0.35mg lysates).

Blocking and dilution buffer and concentration : 5% NFDM/TBST.

Lysate was freshly made and used for Immunoprecipitation immediately to minimize protein degradation.

All lanes:

Immunoprecipitation - Anti-BRD2 antibody [EPR7642] - ChIP Grade (<a href='/en-us/products/primary-antibodies/brd2-antibody-epr7642-chip-grade-ab139690'>ab139690</a>) at 1/1000 dilution

Lanes 1 - 2:

HeLa (human cervix adenocarcinoma epithelial cell), whole cell lysate at 10 µg

Lane 3:

Rabbit monoclonal IgG (<a href='/en-us/products/primary-antibodies/rabbit-igg-monoclonal-epr25a-isotype-control-ab172730'>ab172730</a>) instead of <a href='/en-us/products/primary-antibodies/brd2-antibody-epr7642-chip-grade-ab139690'>ab139690</a> in HeLa whole cell lysate at 10 µg

Secondary

All lanes:

Immunoprecipitation - VeriBlot for IP Detection Reagent (HRP) (<a href='/en-us/products/reagents/veriblot-for-ip-detection-reagent-hrp-ab131366'>ab131366</a>) at 1/5000 dilution

Observed band size: 110 kDa

false

Exposure time: 58s

Western blot - Anti-BRD2 antibody [EPR7642] - BSA and Azide free (AB222393)
  • WB

Lab

Western blot - Anti-BRD2 antibody [EPR7642] - BSA and Azide free (AB222393)

This data was developed using the same antibody clone in a different buffer formulation (ab139690).

Lanes 1-3 : Merged signal (red and green). Green - ab139690 observed at 110 kDa. Red - loading control ab8245 observed at 36 kDa.

ab139690 Anti-BRD2 antibody [EPR7642] was shown to specifically react with BRD2 in wild-type HEK293T cells. Loss of signal was observed when knockout cell line ab267265 (knockout cell lysate ab257191) was used. Wild-type and BRD2 knockout samples were subjected to SDS-PAGE. ab139690 and Anti-GAPDH antibody [6C5] - Loading Control (ab8245) were incubated at room temperature for 2. 5 hours at 1 in 1000 dilution and 1 in 20000 dilution respectively. Blots were developed with Goat anti-Rabbit IgG H&L (IRDye® 800CW) preadsorbed (ab216773) and Goat anti-Mouse IgG H&L (IRDye® 680RD) preadsorbed (ab216776) secondary antibodies at 1 in 20000 dilution for 1 hour at room temperature before imaging.

All lanes:

Western blot - Anti-BRD2 antibody [EPR7642] - ChIP Grade (<a href='/en-us/products/primary-antibodies/brd2-antibody-epr7642-chip-grade-ab139690'>ab139690</a>) at 1/1000 dilution

Lane 1:

Wild-type HEK293T cell lysate at 20 µg

Lane 2:

BRD2 knockout HEK293T cell lysate at 20 µg

Lane 2:

Western blot - Human BRD2 knockout HEK-293T cell line (<a href='/en-us/products/cell-lines/human-brd2-knockout-hek-293t-cell-line-ab267265'>ab267265</a>)

Lane 3:

HeLa cell lysate at 20 µg

Secondary

All lanes:

Western blot - Goat anti-Rabbit IgG H&L (IRDye® 800CW) preadsorbed (<a href='/en-us/products/secondary-antibodies/goat-rabbit-igg-h-l-irdye-800cw-preadsorbed-ab216773'>ab216773</a>) at 1/10000 dilution

Predicted band size: 126 kDa,19 kDa,20 kDa,26 kDa,32 kDa,34 kDa,44 kDa,88 kDa

Observed band size: 110 kDa,26 kDa,50 kDa

false

Key facts

Host species

Rabbit

Clonality

Monoclonal

Clone number

EPR7642

Isotype

IgG

Carrier free

Yes

Reacts with

Human

Applications

IHC-P, ChIP, WB, Flow Cyt (Intra), IP, ICC/IF

applications

Immunogen

The exact immunogen used to generate this antibody is proprietary information.

Reactivity data

{ "title": "Reactivity Data", "filters": { "stats": ["", "Species", "Dilution Info", "Notes"], "tabs": { "all-applications": {"fullname" : "All Applications", "shortname": "All Applications"}, "IHCP" : {"fullname" : "Immunohistochemistry (Formalin/PFA-fixed paraffin-embedded sections)", "shortname":"IHC-P"}, "IP" : {"fullname" : "Immunoprecipitation", "shortname":"IP"}, "ChIP" : {"fullname" : "ChIP", "shortname":"ChIP"}, "WB" : {"fullname" : "Western blot", "shortname":"WB"}, "ICCIF" : {"fullname" : "Immunocytochemistry/ Immunofluorescence", "shortname":"ICC/IF"}, "FlowCytIntra" : {"fullname" : "Flow Cytometry (Intracellular)", "shortname":"Flow Cyt (Intra)"} }, "product-promise": { "all": "all", "testedAndGuaranteed": "tested", "guaranteed": "expected", "predicted": "predicted", "notRecommended": "not-recommended" } }, "values": { "Human": { "IHCP-species-checked": "testedAndGuaranteed", "IHCP-species-dilution-info": "", "IHCP-species-notes": "<p></p> Perform heat-mediated antigen retrieval before commencing with IHC staining protocol.", "IP-species-checked": "testedAndGuaranteed", "IP-species-dilution-info": "", "IP-species-notes": "<p></p>", "ChIP-species-checked": "testedAndGuaranteed", "ChIP-species-dilution-info": "", "ChIP-species-notes": "<p></p>", "WB-species-checked": "testedAndGuaranteed", "WB-species-dilution-info": "", "WB-species-notes": "<p></p>", "ICCIF-species-checked": "testedAndGuaranteed", "ICCIF-species-dilution-info": "", "ICCIF-species-notes": "<p></p>", "FlowCytIntra-species-checked": "testedAndGuaranteed", "FlowCytIntra-species-dilution-info": "", "FlowCytIntra-species-notes": "<p><a href='/en-us/products/primary-antibodies/rabbit-igg-monoclonal-epr25a-isotype-control-low-endotoxin-azide-free-ab199376'>ab199376</a>- Rabbit monoclonal IgG, is suitable for use as an isotype control with this antibody.</p>" } } }

Product details

ab222393 is the carrier-free version of ab139690.

Patented technology
Our RabMAb® technology is a patented hybridoma-based technology for making rabbit monoclonal antibodies. For details on our patents, please refer to RabMAb® patents.

What are the advantages of a recombinant monoclonal antibody?
This product is a recombinant monoclonal antibody, which offers several advantages including:

  • - High batch-to-batch consistency and reproducibility
  • - Improved sensitivity and specificity
  • - Long-term security of supply
  • - Animal-free batch production

For more information, read more on recombinant antibodies.

Conjugation ready
Our carrier-free antibodies are typically supplied in a PBS-only formulation, purified and free of BSA, sodium azide and glycerol. This conjugation-ready format is designed for use with fluorochromes, metal isotopes, oligonucleotides, and enzymes, which makes them ideal for antibody labelling, functional and cell-based assays, flow-based assays (e.g. mass cytometry) and Multiplex Imaging applications.

Use our conjugation kits for antibody conjugates that are ready-to-use in as little as 20 minutes with 1 minute hands-on-time and 100% antibody recovery: available for fluorescent dyes, HRP, biotin and gold.

Compatibility
This product is compatible with the Maxpar® Antibody Labeling Kit from Fluidigm, without the need for antibody preparation. Maxpar® is a trademark of Fluidigm Canada Inc.

Properties and storage information

Form
Liquid
Purification technique
Affinity purification Protein A
Storage buffer
pH: 7.2 - 7.4 Constituents: PBS
Shipped at conditions
Blue Ice
Appropriate short-term storage conditions
+4°C
Appropriate long-term storage conditions
+4°C
Storage information
Do Not Freeze

Product protocols

For this product, it's our understanding that no specific protocols are required. You can visit:

Target data

Chromatin reader protein that specifically recognizes and binds histone H4 acetylated at 'Lys-5' and 'Lys-12' (H4K5ac and H4K12ac, respectively), thereby controlling gene expression and remodeling chromatin structures (PubMed : 17148447, PubMed : 17848202, PubMed : 18406326, PubMed : 20048151, PubMed : 20709061, PubMed : 20871596). Recruits transcription factors and coactivators to target gene sites, and activates RNA polymerase II machinery for transcriptional elongation (PubMed : 28262505). Plays a key role in genome compartmentalization via its association with CTCF and cohesin : recruited to chromatin by CTCF and promotes formation of topologically associating domains (TADs) via its ability to bind acetylated histones, contributing to CTCF boundary formation and enhancer insulation (PubMed : 35410381). Also recognizes and binds acetylated non-histone proteins, such as STAT3 (PubMed : 28262505). Involved in inflammatory response by regulating differentiation of naive CD4(+) T-cells into T-helper Th17 : recognizes and binds STAT3 acetylated at 'Lys-87', promoting STAT3 recruitment to chromatin (PubMed : 28262505). In addition to acetylated lysines, also recognizes and binds lysine residues on histones that are both methylated and acetylated on the same side chain to form N6-acetyl-N6-methyllysine (Kacme), an epigenetic mark of active chromatin associated with increased transcriptional initiation (PubMed : 37731000). Specifically binds histone H4 acetyl-methylated at 'Lys-5' and 'Lys-12' (H4K5acme and H4K12acme, respectively) (PubMed : 37731000).
See full target information BRD2

Publications (1)

Recent publications for all applications. Explore the full list and refine your search

Journal of cell science 129:4200-4212 PubMed27802161

2016

ELYS regulates the localization of LBR by modulating its phosphorylation state.

Applications

Unspecified application

Species

Unspecified reactive species

Yasuhiro Mimura,Masatoshi Takagi,Michaela Clever,Naoko Imamoto
View all publications

Product promise

We are committed to supporting your work with high-quality reagents, and we're here for you every step of the way. In the unlikely event that one of our products does not perform as expected, you're protected by our Product Promise.
For full details, please see our Terms & Conditions

Please note: All products are 'FOR RESEARCH USE ONLY. NOT FOR USE IN DIAGNOSTIC OR THERAPEUTIC PROCEDURES'.

For licensing inquiries, please contact partnerships@abcam.com