JavaScript is disabled in your browser. Please enable JavaScript to view this website.
AB50818

Anti-BRD3 antibody [2088C3a]

4

(1 Review)

|

(26 Publications)

Mouse Monoclonal BRD3 antibody. Suitable for IP, Flow Cyt, WB, ICC/IF and reacts with Human, Mouse, Rat samples. Cited in 26 publications. Immunogen corresponding to Recombinant Fragment Protein within Human BRD3.

View Alternative Names

KIAA0043, RING3L, BRD3, Bromodomain-containing protein 3, RING3-like protein

8 Images
Immunocytochemistry/ Immunofluorescence - Anti-BRD3 antibody [2088C3a] (AB50818)
  • ICC/IF

Unknown

Immunocytochemistry/ Immunofluorescence - Anti-BRD3 antibody [2088C3a] (AB50818)

Immunoflourescent staining of Hela cells using ab50818 Anti-BRD3 Antibody (1/10 dilution) as primary and AlexaFluor®488 Goat Anti-mouse IgG( 1/200 dilution )

Flow Cytometry - Anti-BRD3 antibody [2088C3a] (AB50818)
  • Flow Cyt

Unknown

Flow Cytometry - Anti-BRD3 antibody [2088C3a] (AB50818)

Flow Cytometric analysis using ab50818 (0.5ug). Secondary antibody used : AlexaFluor®488 Goat Anti-mouse IgG (0.25 µg)

Immunoprecipitation - Anti-BRD3 antibody [2088C3a] (AB50818)
  • IP

Unknown

Immunoprecipitation - Anti-BRD3 antibody [2088C3a] (AB50818)

Immunoprecipitation of BRD3 from RIPA lysate of HeLa cells (500µg) using 5µg ab50818. Visualized by western blot using 1/50 ab50518 as primary and anti-mouse IgG secondary (1 : 2500). Predicted band size 80 KDa.

All lanes:

Immunoprecipitation - Anti-BRD3 antibody [2088C3a] (ab50818)

Predicted band size: 80 kDa

false

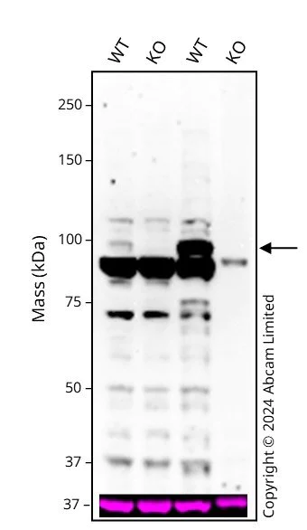
Western blot - Anti-BRD3 antibody [2088C3a] (AB50818)
  • WB

Lab

Western blot - Anti-BRD3 antibody [2088C3a] (AB50818)

Western blot : Anti-BRD3 antibody [2088C3a] (ab50818) staining at 1/200 dilution, shown in green; Rabbit Anti-GAPDH antibody [EPR16891] (ab181602) loading control staining at 1/20000 dilution, shown in magenta. In Western blot, ab50818 was shown to bind specifically to BRD3. A band was observed at 90-100 kDa in wild-type HCT 116 cell lysates with no signal observed at this size in BRD3 knockout cell line. To generate this image, wild-type and BRD3 knockout HCT 116 cell lysates were analysed. First, samples were run on an SDS-PAGE gel then transferred onto a nitrocellulose membrane. Membranes were blocked in 3 % milk in TBS-0.1 % Tween® 20 (TBS-T) before incubation with primary antibodies overnight at 4 °C. Blots were washed four times in TBS-T, incubated with secondary antibodies for 1 h at room temperature, washed again four times then imaged. Secondary antibodies used were HRP conjugated Goat anti-Mouse (H+L) and Goat anti-Rabbit IgG H&L 680RD at 1/20000 dilution.

All lanes:

Western blot - Anti-BRD3 antibody [2088C3a] (ab50818) at 1/200 dilution

Lane 1:

Wild-type HCT 116 cell lysate at 20 µg

Lane 2:

BRD3 knockout HCT 116 cell lysate at 20 µg

Lane 3:

Wild-type HEK-293T ab255553 cell lysate at 20 µg

Lane 4:

BRD3 knockout HEK-293T ab260529 cell lysate at 20 µg

Secondary

Lanes 1 - 4:

HRP conjugated Goat anti-Mouse (H+L) at 1/20000 dilution

Lanes 1 - 4:

Goat anti-Rabbit IgG H&L 680RD at 1/20000 dilution

Observed band size: 90-100 kDa

false

Western blot - Anti-BRD3 antibody [2088C3a] (AB50818)
  • WB

Lab

Western blot - Anti-BRD3 antibody [2088C3a] (AB50818)

Lanes 1-4 : Merged signal (red and green). Green - ab50818 observed at 100 kDa. Red - loading control ab181602 observed at 36 kDa.

ab50818 Anti-BRD3 antibody [2088C3a] was shown to specifically react with BRD3 in wild-type HEK293T cells. Loss of signal was observed when knockout cell line ab266793 (knockout cell lysate ab258335) was used. Wild-type and BRD3 knockout samples were subjected to SDS-PAGE. ab50818 and Anti-GAPDH antibody[EPR16891] - Loading Control (ab181602) were incubated overnight at 4°C at 1 in 500 dilution and 1 in 20000 dilution respectively. Blots were developed with Goat anti-Rabbit IgG H&L (IRDye® 680RD) preadsorbed (ab216777) and Goat anti-Mouse IgG H&L (IRDye® 800CW) preadsorbed (ab216772) secondary antibodies at 1 in 20000 dilution for 1 hour at room temperature before imaging.

All lanes:

Western blot - Anti-BRD3 antibody [2088C3a] (ab50818) at 1/500 dilution

Lane 1:

Wild-type HEK293T cell lysate at 20 µg

Lane 2:

BRD3 knockout HEK293T cell lysate at 20 µg

Lane 2:

Western blot - Human BRD3 knockout HEK-293T cell line (<a href='/en-us/products/cell-lines/human-brd3-knockout-hek-293t-cell-line-ab266793'>ab266793</a>)

Lane 3:

Jurkat cell lysate at 20 µg

Lane 4:

HeLa cell lysate at 20 µg

Secondary

All lanes:

Western blot - Goat Anti-Rabbit IgG H&L (IRDye® 680RD) preadsorbed (<a href='/en-us/products/secondary-antibodies/goat-rabbit-igg-h-l-irdye-680rd-preadsorbed-ab216777'>ab216777</a>) at 1/10000 dilution

Predicted band size: 80 kDa

Observed band size: 100 kDa

false

Western blot - Anti-BRD3 antibody [2088C3a] (AB50818)
  • WB

Unknown

Western blot - Anti-BRD3 antibody [2088C3a] (AB50818)

All lanes:

Western blot - Anti-BRD3 antibody [2088C3a] (ab50818) at 1/50 dilution

All lanes:

HeLa whole cell lysate at 50 µg

Secondary

All lanes:

Anti-Mouse IgG antibody at 1/2500 dilution

Predicted band size: 80 kDa

Observed band size: 90 kDa

true

Western blot - Anti-BRD3 antibody [2088C3a] (AB50818)
  • WB

Unknown

Western blot - Anti-BRD3 antibody [2088C3a] (AB50818)

All lanes:

Western blot - Anti-BRD3 antibody [2088C3a] (ab50818) at 1/50 dilution

All lanes:

NIH3T3 whole cell lysate at 50 µg

Secondary

All lanes:

Anti-Mouse IgG antibody at 1/2500 dilution

Predicted band size: 80 kDa

Observed band size: 90 kDa

true

Western blot - Anti-BRD3 antibody [2088C3a] (AB50818)
  • WB

Unknown

Western blot - Anti-BRD3 antibody [2088C3a] (AB50818)

All lanes:

Western blot - Anti-BRD3 antibody [2088C3a] (ab50818) at 1/200 dilution

All lanes:

F2408 whole cell lysate at 50 µg

Secondary

All lanes:

Anti Mouse IgG antibody at 1/2500 dilution

Predicted band size: 80 kDa

Observed band size: 100 kDa

false

Key facts

Host species

Mouse

Clonality

Monoclonal

Clone number

2088C3a

Isotype

IgG1

Carrier free

No

Reacts with

Mouse, Rat, Human

Applications

IP, ICC/IF, WB, Flow Cyt

applications

Immunogen

Recombinant Fragment Protein within Human BRD3. The exact immunogen used to generate this antibody is proprietary information.

Q15059

Reactivity data

{ "title": "Reactivity Data", "filters": { "stats": ["", "Species", "Dilution Info", "Notes"], "tabs": { "all-applications": {"fullname" : "All Applications", "shortname": "All Applications"}, "IP" : {"fullname" : "Immunoprecipitation", "shortname":"IP"}, "FlowCyt" : {"fullname" : "Flow Cytometry", "shortname":"Flow Cyt"}, "WB" : {"fullname" : "Western blot", "shortname":"WB"}, "ICCIF" : {"fullname" : "Immunocytochemistry/ Immunofluorescence", "shortname":"ICC/IF"} }, "product-promise": { "all": "all", "testedAndGuaranteed": "tested", "guaranteed": "expected", "predicted": "predicted", "notRecommended": "not-recommended" } }, "values": { "Human": { "IP-species-checked": "testedAndGuaranteed", "IP-species-dilution-info": "1-5 µg/mg of lysate", "IP-species-notes": "<p></p>", "FlowCyt-species-checked": "testedAndGuaranteed", "FlowCyt-species-dilution-info": "0.5 µg/mL", "FlowCyt-species-notes": "<p><a href='/en-us/products/primary-antibodies/mouse-igg1-kappa-monoclonal-15-6e10a7-isotype-control-ab170190'>ab170190</a> - Mouse monoclonal IgG1, is suitable for use as an isotype control with this antibody.</p>", "WB-species-checked": "testedAndGuaranteed", "WB-species-dilution-info": "1/50", "WB-species-notes": "<p></p>", "ICCIF-species-checked": "testedAndGuaranteed", "ICCIF-species-dilution-info": "1/10", "ICCIF-species-notes": "<p></p>" }, "Mouse": { "IP-species-checked": "guaranteed", "IP-species-dilution-info": "", "IP-species-notes": "", "FlowCyt-species-checked": "guaranteed", "FlowCyt-species-dilution-info": "", "FlowCyt-species-notes": "", "WB-species-checked": "testedAndGuaranteed", "WB-species-dilution-info": "1/50", "WB-species-notes": "<p></p>", "ICCIF-species-checked": "guaranteed", "ICCIF-species-dilution-info": "", "ICCIF-species-notes": "" }, "Rat": { "IP-species-checked": "guaranteed", "IP-species-dilution-info": "", "IP-species-notes": "", "FlowCyt-species-checked": "guaranteed", "FlowCyt-species-dilution-info": "", "FlowCyt-species-notes": "", "WB-species-checked": "testedAndGuaranteed", "WB-species-dilution-info": "1/50", "WB-species-notes": "<p></p>", "ICCIF-species-checked": "guaranteed", "ICCIF-species-dilution-info": "", "ICCIF-species-notes": "" } } }

Product details

This product was changed from ascites to tissue culture supernatant on 9th August 2018. Please note that the dilutions may need to be adjusted accordingly. If you have any questions, please do not hesitate to contact our scientific support team.

Properties and storage information

Form
Liquid
Purification technique
Affinity purification Protein G
Purification notes
Purified from TCS
Storage buffer
pH: 7.4 Preservative: 0.05% Sodium azide Constituents: PBS, 1% BSA
Shipped at conditions
Blue Ice
Appropriate short-term storage duration
Up to 12 months
Appropriate short-term storage conditions
+4°C
Appropriate long-term storage conditions
-20°C

Product protocols

For this product, it's our understanding that no specific protocols are required. You can visit:

Target data

Chromatin reader that recognizes and binds acetylated histones, thereby controlling gene expression and remodeling chromatin structures (PubMed : 18406326, PubMed : 22464331, PubMed : 27105114, PubMed : 32895492). Recruits transcription factors and coactivators to target gene sites, and activates RNA polymerase II machinery for transcriptional elongation (PubMed : 29567837, PubMed : 32895492). In vitro, binds acetylated lysine residues on the N-terminus of histone H2A, H2B, H3 and H4 (PubMed : 18406326). Involved in endoderm differentiation via its association with long non-coding RNA (lncRNA) DIGIT : BRD3 undergoes liquid-liquid phase separation upon binding to lncRNA DIGIT, promoting binding to histone H3 acetylated at 'Lys-18' (H3K18ac) to induce endoderm gene expression (PubMed : 32895492). Also binds non-histones acetylated proteins, such as GATA1 and GATA2 : regulates transcription by promoting the binding of the transcription factor GATA1 to its targets (By similarity).
See full target information BRD3

Publications (26)

Recent publications for all applications. Explore the full list and refine your search

Cell reports. Medicine 5:101758 PubMed39368479

2024

CDK12 loss drives prostate cancer progression, transcription-replication conflicts, and synthetic lethality with paralog CDK13.

Applications

Unspecified application

Species

Unspecified reactive species

Jean Ching-Yi Tien,Jie Luo,Yu Chang,Yuping Zhang,Yunhui Cheng,Xiaoju Wang,Jianzhang Yang,Rahul Mannan,Somnath Mahapatra,Palak Shah,Xiao-Ming Wang,Abigail J Todd,Sanjana Eyunni,Caleb Cheng,Ryan J Rebernick,Lanbo Xiao,Yi Bao,James Neiswender,Rachel Brough,Stephen J Pettitt,Xuhong Cao,Stephanie J Miner,Licheng Zhou,Yi-Mi Wu,Estefania Labanca,Yuzhuo Wang,Abhijit Parolia,Marcin Cieslik,Dan R Robinson,Zhen Wang,Felix Y Feng,Jonathan Chou,Christopher J Lord,Ke Ding,Arul M Chinnaiyan

Nature 627:204-211 PubMed38383787

2024

Targeted protein degradation via intramolecular bivalent glues.

Applications

Unspecified application

Species

Unspecified reactive species

Oliver Hsia,Matthias Hinterndorfer,Angus D Cowan,Kentaro Iso,Tasuku Ishida,Ramasubramanian Sundaramoorthy,Mark A Nakasone,Hana Imrichova,Caroline Schätz,Andrea Rukavina,Koraljka Husnjak,Martin Wegner,Alejandro Correa-Sáez,Conner Craigon,Ryan Casement,Chiara Maniaci,Andrea Testa,Manuel Kaulich,Ivan Dikic,Georg E Winter,Alessio Ciulli

Nature structural & molecular biology 31:323-335 PubMed38177676

2024

CAND1 inhibits Cullin-2-RING ubiquitin ligases for enhanced substrate specificity.

Applications

Unspecified application

Species

Unspecified reactive species

Kankan Wang,Stephanie Diaz,Lihong Li,Jeremy R Lohman,Xing Liu

Nature communications 14:7908 PubMed38036533

2023

Discovery of a Drug-like, Natural Product-Inspired DCAF11 Ligand Chemotype.

Applications

Unspecified application

Species

Unspecified reactive species

Gang Xue,Jianing Xie,Matthias Hinterndorfer,Marko Cigler,Lara Dötsch,Hana Imrichova,Philipp Lampe,Xiufen Cheng,Soheila Rezaei Adariani,Georg E Winter,Herbert Waldmann

ACS chemical biology 18:897-904 PubMed36940189

2023

Targeted Protein Degradation through E2 Recruitment.

Applications

Unspecified application

Species

Unspecified reactive species

Nafsika Forte,Dustin Dovala,Matthew J Hesse,Jeffrey M McKenna,John A Tallarico,Markus Schirle,Daniel K Nomura

Experimental & molecular medicine 55:364-376 PubMed36720918

2023

BET inhibitors synergize with sunitinib in melanoma through GDF15 suppression.

Applications

Unspecified application

Species

Unspecified reactive species

Furong Zeng,Yayun Li,Yu Meng,Huiyan Sun,Yi He,Mingzhu Yin,Xiang Chen,Guangtong Deng

Cell reports 40:111088 PubMed35839775

2022

Viral E protein neutralizes BET protein-mediated post-entry antagonism of SARS-CoV-2.

Applications

Unspecified application

Species

Unspecified reactive species

Irene P Chen,James E Longbotham,Sarah McMahon,Rahul K Suryawanshi,Mir M Khalid,Taha Y Taha,Takako Tabata,Jennifer M Hayashi,Frank W Soveg,Jared Carlson-Stevermer,Meghna Gupta,Meng Yao Zhang,Victor L Lam,Yang Li,Zanlin Yu,Erron W Titus,Amy Diallo,Jennifer Oki,Kevin Holden,Nevan Krogan,Danica Galonić Fujimori,Melanie Ott

Frontiers in pharmacology 13:858901 PubMed35600879

2022

ARV-771 Acts as an Inducer of Cell Cycle Arrest and Apoptosis to Suppress Hepatocellular Carcinoma Progression.

Applications

Unspecified application

Species

Unspecified reactive species

Yuanfei Deng,Cuifu Yu,Lushi Chen,Xin Zhang,Qiucheng Lei,Qing Liu,Gengxi Cai,Fang Liu

Journal of medicinal chemistry 65:2342-2360 PubMed35007061

2022

A Structure-based Design Approach for Generating High Affinity BRD4 D1-Selective Chemical Probes.

Applications

Unspecified application

Species

Unspecified reactive species

Huarui Cui,Anand Divakaran,Zachariah J Hoell,Mikael O Ellingson,Cole R Scholtz,Huda Zahid,Jorden A Johnson,Elizabeth C Griffith,Clifford T Gee,Amani L Lee,Shalil Khanal,Ke Shi,Hideki Aihara,Vijay H Shah,Richard E Lee,Daniel A Harki,William C K Pomerantz

Journal of medicinal chemistry 64:18082-18101 PubMed34881891

2021

Amide-to-Ester Substitution as a Strategy for Optimizing PROTAC Permeability and Cellular Activity.

Applications

Unspecified application

Species

Unspecified reactive species

Victoria G Klein,Adam G Bond,Conner Craigon,R Scott Lokey,Alessio Ciulli
View all publications

Product promise

We are committed to supporting your work with high-quality reagents, and we're here for you every step of the way. In the unlikely event that one of our products does not perform as expected, you're protected by our Product Promise.
For full details, please see our Terms & Conditions

Please note: All products are 'FOR RESEARCH USE ONLY. NOT FOR USE IN DIAGNOSTIC OR THERAPEUTIC PROCEDURES'.

For licensing inquiries, please contact partnerships@abcam.com