JavaScript is disabled in your browser. Please enable JavaScript to view this website.
AB264294

Anti-BRD3 antibody

Be the first to review this product! Submit a review

|

(1 Publication)

Rabbit Polyclonal BRD3 antibody. Suitable for IHC-P, IP, WB and reacts with Human samples. Cited in 1 publication. Immunogen corresponding to Synthetic Peptide within Human BRD3 aa 650 to C-terminus.

View Alternative Names

KIAA0043, RING3L, BRD3, Bromodomain-containing protein 3, RING3-like protein

3 Images
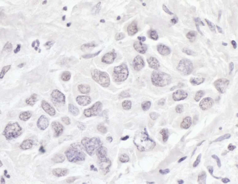
Immunohistochemistry (Formalin/PFA-fixed paraffin-embedded sections) - Anti-BRD3 antibody (AB264294)
  • IHC-P

Unknown

Immunohistochemistry (Formalin/PFA-fixed paraffin-embedded sections) - Anti-BRD3 antibody (AB264294)

Immunohistochemical analysis of formalin-fixed, paraffin-embedded human breast carcinoma tissue labeling BRD3 with ab264294 at 1/100 dilution. Detection : DAB.

Immunoprecipitation - Anti-BRD3 antibody (AB264294)
  • IP

Supplier Data

Immunoprecipitation - Anti-BRD3 antibody (AB264294)

BRD3 was immunoprecipitated from 1mg of HeLa (Human epithelial cell line from cervix adenocarcinoma) whole cell lysate with ab264294 at 6 μg per reaction. Western blot was performed from the immunoprecipitate using ab264294 at 1 μg/ml.

Lane 1 : ab264294 IP in HeLa whole cell lysate.
Lane 2 : Control IgG.

Exposure time : 3 secs.

All lanes:

Immunoprecipitation - Anti-BRD3 antibody (ab264294)

Predicted band size: 80 kDa

false

Western blot - Anti-BRD3 antibody (AB264294)
  • WB

Supplier Data

Western blot - Anti-BRD3 antibody (AB264294)

4-8% SDS-PAGE.

All lanes:

Western blot - Anti-BRD3 antibody (ab264294) at 0.1 µg/mL

Lane 1:

HeLa (Human epithelial cell line from cervix adenocarcinoma) whole cell lysate at 50 µg

Lane 2:

HEK-293T (Human epithelial cell line from embryonic kidney transformed with large T antigen) whole cell lysate at 50 µg

Lane 3:

Jurkat (Human T cell leukemia cell line from peripheral blood) whole cell lysate at 50 µg

Secondary

All lanes:

Goat anti-Rabbit Light Chain HRP Conjugate

Predicted band size: 80 kDa

false

Exposure time: 30s

Key facts

Host species

Rabbit

Clonality

Polyclonal

Isotype

IgG

Carrier free

No

Reacts with

Human

Applications

WB, IP, IHC-P

applications

Immunogen

Synthetic Peptide within Human BRD3 aa 650 to C-terminus. The exact immunogen used to generate this antibody is proprietary information.

Q15059

Reactivity data

{ "title": "Reactivity Data", "filters": { "stats": ["", "Species", "Dilution Info", "Notes"], "tabs": { "all-applications": {"fullname" : "All Applications", "shortname": "All Applications"}, "IHCP" : {"fullname" : "Immunohistochemistry (Formalin/PFA-fixed paraffin-embedded sections)", "shortname":"IHC-P"}, "IP" : {"fullname" : "Immunoprecipitation", "shortname":"IP"}, "WB" : {"fullname" : "Western blot", "shortname":"WB"} }, "product-promise": { "all": "all", "testedAndGuaranteed": "tested", "guaranteed": "expected", "predicted": "predicted", "notRecommended": "not-recommended" } }, "values": { "Human": { "IHCP-species-checked": "testedAndGuaranteed", "IHCP-species-dilution-info": "1/100 - 1/500", "IHCP-species-notes": "<p></p> Perform heat-mediated antigen retrieval with citrate buffer pH 6 before commencing with IHC staining protocol.", "IP-species-checked": "testedAndGuaranteed", "IP-species-dilution-info": "5-10 µg/mg of lysate", "IP-species-notes": "<p></p>", "WB-species-checked": "testedAndGuaranteed", "WB-species-dilution-info": "1/2000 - 1/10000", "WB-species-notes": "<p></p>" } } }

Properties and storage information

Form
Liquid
Purification technique
Affinity purification Immunogen
Storage buffer
pH: 6.8 - 7.4 Preservative: 0.09% Sodium azide Constituents: Tris buffered saline, 0.1% BSA
Shipped at conditions
Blue Ice
Appropriate short-term storage duration
1-2 weeks
Appropriate short-term storage conditions
+4°C
Appropriate long-term storage conditions
-20°C
Aliquoting information
Upon delivery aliquot
Storage information
Avoid freeze / thaw cycle

Product protocols

For this product, it's our understanding that no specific protocols are required. You can visit:

Target data

Chromatin reader that recognizes and binds acetylated histones, thereby controlling gene expression and remodeling chromatin structures (PubMed : 18406326, PubMed : 22464331, PubMed : 27105114, PubMed : 32895492). Recruits transcription factors and coactivators to target gene sites, and activates RNA polymerase II machinery for transcriptional elongation (PubMed : 29567837, PubMed : 32895492). In vitro, binds acetylated lysine residues on the N-terminus of histone H2A, H2B, H3 and H4 (PubMed : 18406326). Involved in endoderm differentiation via its association with long non-coding RNA (lncRNA) DIGIT : BRD3 undergoes liquid-liquid phase separation upon binding to lncRNA DIGIT, promoting binding to histone H3 acetylated at 'Lys-18' (H3K18ac) to induce endoderm gene expression (PubMed : 32895492). Also binds non-histones acetylated proteins, such as GATA1 and GATA2 : regulates transcription by promoting the binding of the transcription factor GATA1 to its targets (By similarity).
See full target information BRD3

Publications (1)

Recent publications for all applications. Explore the full list and refine your search

Oncogene 43:2914-2926 PubMed39164524

2024

BRD4-specific PROTAC inhibits basal-like breast cancer partially through downregulating KLF5 expression.

Applications

Unspecified application

Species

Unspecified reactive species

Yanjie Kong,Tianlong Lan,Luzhen Wang,Chen Gong,Wenxin Lv,Hailin Zhang,Chengang Zhou,Xiuyun Sun,Wenjing Liu,Haihui Huang,Xin Weng,Chang Cai,Wenfeng Peng,Meng Zhang,Dewei Jiang,Chuanyu Yang,Xia Liu,Yu Rao,Ceshi Chen
View all publications

Product promise

We are committed to supporting your work with high-quality reagents, and we're here for you every step of the way. In the unlikely event that one of our products does not perform as expected, you're protected by our Product Promise.
For full details, please see our Terms & Conditions

Please note: All products are 'FOR RESEARCH USE ONLY. NOT FOR USE IN DIAGNOSTIC OR THERAPEUTIC PROCEDURES'.

For licensing inquiries, please contact partnerships@abcam.com