JavaScript is disabled in your browser. Please enable JavaScript to view this website.
AB182446

Anti-Brd4 antibody [EPR5150(2)] - BSA and Azide free

Be the first to review this product! Submit a review

|

(2 Publications)

Rabbit Recombinant Monoclonal BRD4 antibody. Carrier free. Suitable for IHC-P, WB, ICC/IF, Flow Cyt (Intra) and reacts with Human, Mouse samples. Cited in 2 publications.

View Alternative Names

HUNK1, BRD4, Bromodomain-containing protein 4, Protein HUNK1

9 Images
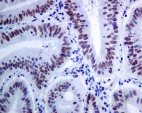
Immunohistochemistry (Formalin/PFA-fixed paraffin-embedded sections) - Anti-Brd4 antibody [EPR5150(2)] - BSA and Azide free (AB182446)
  • IHC-P

Lab

Immunohistochemistry (Formalin/PFA-fixed paraffin-embedded sections) - Anti-Brd4 antibody [EPR5150(2)] - BSA and Azide free (AB182446)

This data was developed using the same antibody clone in a different buffer formulation (ab128874).

Immunohistochemical analysis of formalin fixed paraffin embedded human colon labelling Brd4 with ab128874 at a concentration of 3 µg/ml. The immunostaining was performed on a Ventana DISCOVERY ULTRA (Roche Tissue Diagnostics) instrument with an OptiView DAB IHC Detection Kit. Heat mediated antigen retrieval was conducted for 32 mins at 100°C with ULTRA cell conditioning solution (CC1, pH 8.5). ab128874 Anti-Brd4 antibody [EPR5150(2)] was incubated at 37°C for 16 mins. Sections were counterstained with Hematoxylin II. Image inset shows absence of staining in secondary antibody only control.

Immunocytochemistry/ Immunofluorescence - Anti-Brd4 antibody [EPR5150(2)] - BSA and Azide free (AB182446)
  • ICC/IF

Supplier Data

Immunocytochemistry/ Immunofluorescence - Anti-Brd4 antibody [EPR5150(2)] - BSA and Azide free (AB182446)

Immunocytochemistry/Immunofluorescence analysis of HepG2 (Human liver cell line) cells labeling Brd4 with purified ab128874 at 1/100 dilution (Panel A). Cells were fixed with 4% paraformaldehyde and permeabilized with 0.1% Triton X-100. An Alexa Fluor® 488-conjugated goat anti-rabbit IgG (1/200 dilution) was used as the secondary antibody. DAPI (blue) was used as the nuclear counterstain(Panel B).

This data was developed using the same antibody clone in a different buffer formulation containing PBS, BSA, glycerol, and sodium azide (ab128874).

Immunohistochemistry (Formalin/PFA-fixed paraffin-embedded sections) - Anti-Brd4 antibody [EPR5150(2)] - BSA and Azide free (AB182446)
  • IHC-P

Unknown

Immunohistochemistry (Formalin/PFA-fixed paraffin-embedded sections) - Anti-Brd4 antibody [EPR5150(2)] - BSA and Azide free (AB182446)

Unpurified ab128874 at 1/100 dilution staining Brd4 in human colon carcinoma tissue by Immunohistochemistry.

Perform heat mediated antigen retrieval before commencing with IHC staining protocol.

This data was developed using the same antibody clone in a different buffer formulation containing PBS, BSA, glycerol, and sodium azide (ab128874).

Immunohistochemistry (Formalin/PFA-fixed paraffin-embedded sections) - Anti-Brd4 antibody [EPR5150(2)] - BSA and Azide free (AB182446)
  • IHC-P

Lab

Immunohistochemistry (Formalin/PFA-fixed paraffin-embedded sections) - Anti-Brd4 antibody [EPR5150(2)] - BSA and Azide free (AB182446)

This data was developed using the same antibody clone in a different buffer formulation (ab128874).

Immunohistochemical analysis of formalin fixed paraffin embedded human colon labelling Brd4 with ab128874 at a concentration of 1 µg/ml. The immunostaining was performed on a Leica Biosystems BOND® RX instrument with a Bond™ Polymer Refine Detection kit. Heat mediated antigen retrieval was performed with Tris-EDTA buffer (pH 9.0, Epitope Retrieval Solution 2) for 20 mins. ab128874 Anti-Brd4 antibody [EPR5150(2)] was incubated for 30 mins at room temperature. Sections were counterstained with Hematoxylin. Image inset shows absence of staining in secondary antibody only control.

Immunocytochemistry/ Immunofluorescence - Anti-Brd4 antibody [EPR5150(2)] - BSA and Azide free (AB182446)
  • ICC/IF

AbReview32451****

Immunocytochemistry/ Immunofluorescence - Anti-Brd4 antibody [EPR5150(2)] - BSA and Azide free (AB182446)

Unpurified ab128874 (1/500 dilution) staining Brd4 in HeLa (Human epithelial cell line from cervix adenocarcinoma) cells (green). Cells were fixed in paraformaldehyde permeabilized in 0.5% Triton X100/PBS and counterstained with DAPI in order to highlight the nucleus (red).

For further experimental details please refer to Abreview.

This data was developed using the same antibody clone in a different buffer formulation containing PBS, BSA, glycerol, and sodium azide (ab128874).

Image courtesy of an abreview submitted by Dr. Kirk McManus, Univ. of Manitoba/Cancer Care MICB, Canada

Flow Cytometry (Intracellular) - Anti-Brd4 antibody [EPR5150(2)] - BSA and Azide free (AB182446)
  • Flow Cyt (Intra)

Unknown

Flow Cytometry (Intracellular) - Anti-Brd4 antibody [EPR5150(2)] - BSA and Azide free (AB182446)

Intracellular Flow Cytometry analysis of SW480 (Human colorectal adenocarcinoma epithelial cell) cells labeling Brd4 (red) with purified ab128874 at a 1/50 dilution (10μg/mL). Cells were fixed with 80% methanol and permeabilized with 0.1% Tween-20. A goat anti rabbit IgG (Alexa Fluorr®488) (ab150077) was used as the secondary antibody at a 1/2000 dilution. Black - Rabbit monoclonal IgG (Black) (ab172730). Blue (unlabeled control) - Cell without incubation with primary antibody and secondary antibody (Blue).

This data was developed using the same antibody clone in a different buffer formulation containing PBS, BSA, glycerol, and sodium azide (ab128874).

Western blot - Anti-Brd4 antibody [EPR5150(2)] - BSA and Azide free (AB182446)
  • WB

Lab

Western blot - Anti-Brd4 antibody [EPR5150(2)] - BSA and Azide free (AB182446)

This data was developed using ab128874, the same antibody clone in a different buffer formulation. Different batches of ab128874 were tested on HeLa (Human cervix adenocarcinoma epithelial cell) lysate at 0.1 µg/ml. 15 µg of lysate was loaded in each lane. Bands observed at 152 kDa.

All lanes:

Western blot - Anti-Brd4 antibody [EPR5150(2)] (<a href='/en-us/products/primary-antibodies/brd4-antibody-epr51502-ab128874'>ab128874</a>)

Predicted band size: 152 kDa

false

Western blot - Anti-Brd4 antibody [EPR5150(2)] - BSA and Azide free (AB182446)
  • WB

Lab

Western blot - Anti-Brd4 antibody [EPR5150(2)] - BSA and Azide free (AB182446)

This data was developed using the same antibody clone in a different buffer formulation (ab128874).

Lanes 1 - 2 : Merged signal (red and green). Green - ab128874 observed at 220 kDa. Red - loading control Mouse anti Vinculin observed at 125 kDa.

ab128874 was shown to react with Brd4 in wild-type cells in Western blot with loss of signal observed in BRD4 knockout sample. Wild-type and BRD4 knockout cell lysates were subjected to SDS-PAGE. Membranes were blocked in 3 % milk in TBS-T (0.1 % Tween®) before incubation with ab128874 and Mouse anti Vinculin overnight at 4 °C at a 1 in 200 dilution and a 1 in 20000 dilution respectively. Blots were incubated with Goat anti-Rabbit IgG H&L (IRDye® 800CW) preabsorbed (ab216773) and Goat anti-Mouse IgG H&L (IRDye® 680RD) preabsorbed (ab216776) secondary antibodies at 1 in 20000 dilution for 1 h at room temperature before imaging.

All lanes:

Western blot - Anti-Brd4 antibody [EPR5150(2)] (<a href='/en-us/products/primary-antibodies/brd4-antibody-epr51502-ab128874'>ab128874</a>) at 1/200 dilution

Lane 1:

Wild-type HAP1 cell lysate at 20 µg

Lane 2:

BRD4 knockout HAP1 cell lysate at 20 µg

Predicted band size: 152 kDa

Observed band size: 220 kDa

false

OI-RD Scanning - Anti-Brd4 antibody [EPR5150(2)] - BSA and Azide free (AB182446)
  • OI-RD Scanning

Unknown

OI-RD Scanning - Anti-Brd4 antibody [EPR5150(2)] - BSA and Azide free (AB182446)

We have systematically measured KD (the equilibrium dissociation constant between the antibody and its antigen), of more than 840 recombinant antibodies to assess not only their individual KD values but also to see the average affinity of antibody. Based on the comparison with published literature values for mouse monoclonal antibodies, Recombinant antibodies appear to be on average 1-2 order of magnitude higher affinity.

Key facts

Host species

Rabbit

Clonality

Monoclonal

Clone number

EPR5150(2)

Isotype

IgG

Carrier free

Yes

Reacts with

Mouse, Human

Applications

WB, ICC/IF, Flow Cyt (Intra), IHC-P

applications

Immunogen

The exact immunogen used to generate this antibody is proprietary information.

Reactivity data

{ "title": "Reactivity Data", "filters": { "stats": ["", "Species", "Dilution Info", "Notes"], "tabs": { "all-applications": {"fullname" : "All Applications", "shortname": "All Applications"}, "IHCP" : {"fullname" : "Immunohistochemistry (Formalin/PFA-fixed paraffin-embedded sections)", "shortname":"IHC-P"}, "WB" : {"fullname" : "Western blot", "shortname":"WB"}, "ICCIF" : {"fullname" : "Immunocytochemistry/ Immunofluorescence", "shortname":"ICC/IF"}, "FlowCytIntra" : {"fullname" : "Flow Cytometry (Intracellular)", "shortname":"Flow Cyt (Intra)"} }, "product-promise": { "all": "all", "testedAndGuaranteed": "tested", "guaranteed": "expected", "predicted": "predicted", "notRecommended": "not-recommended" } }, "values": { "Human": { "IHCP-species-checked": "testedAndGuaranteed", "IHCP-species-dilution-info": "", "IHCP-species-notes": "<p></p>", "WB-species-checked": "testedAndGuaranteed", "WB-species-dilution-info": "", "WB-species-notes": "<p></p>", "ICCIF-species-checked": "testedAndGuaranteed", "ICCIF-species-dilution-info": "", "ICCIF-species-notes": "<p></p>", "FlowCytIntra-species-checked": "testedAndGuaranteed", "FlowCytIntra-species-dilution-info": "", "FlowCytIntra-species-notes": "<p></p>" }, "Mouse": { "IHCP-species-checked": "guaranteed", "IHCP-species-dilution-info": "", "IHCP-species-notes": "", "WB-species-checked": "testedAndGuaranteed", "WB-species-dilution-info": "", "WB-species-notes": "<p></p>", "ICCIF-species-checked": "guaranteed", "ICCIF-species-dilution-info": "", "ICCIF-species-notes": "", "FlowCytIntra-species-checked": "guaranteed", "FlowCytIntra-species-dilution-info": "", "FlowCytIntra-species-notes": "" }, "Rat": { "IHCP-species-checked": "predicted", "IHCP-species-dilution-info": "", "IHCP-species-notes": "", "WB-species-checked": "predicted", "WB-species-dilution-info": "", "WB-species-notes": "", "ICCIF-species-checked": "predicted", "ICCIF-species-dilution-info": "", "ICCIF-species-notes": "", "FlowCytIntra-species-checked": "predicted", "FlowCytIntra-species-dilution-info": "", "FlowCytIntra-species-notes": "" } } }

Product details

ab182446 is the carrier-free version of ab128874.

Patented technology
Our RabMAb® technology is a patented hybridoma-based technology for making rabbit monoclonal antibodies. For details on our patents, please refer to RabMAb® patents.

What are the advantages of a recombinant monoclonal antibody?
This product is a recombinant monoclonal antibody, which offers several advantages including:

  • - High batch-to-batch consistency and reproducibility
  • - Improved sensitivity and specificity
  • - Long-term security of supply
  • - Animal-free batch production

For more information, read more on recombinant antibodies.

Conjugation ready
Our carrier-free antibodies are typically supplied in a PBS-only formulation, purified and free of BSA, sodium azide and glycerol. This conjugation-ready format is designed for use with fluorochromes, metal isotopes, oligonucleotides, and enzymes, which makes them ideal for antibody labelling, functional and cell-based assays, flow-based assays (e.g. mass cytometry) and Multiplex Imaging applications.

Use our conjugation kits for antibody conjugates that are ready-to-use in as little as 20 minutes with 1 minute hands-on-time and 100% antibody recovery: available for fluorescent dyes, HRP, biotin and gold.

Compatibility
This product is compatible with the Maxpar® Antibody Labeling Kit from Fluidigm, without the need for antibody preparation. Maxpar® is a trademark of Fluidigm Canada Inc.

Properties and storage information

Form
Liquid
Purification technique
Affinity purification Protein A
Storage buffer
pH: 7.2 Constituents: PBS
Shipped at conditions
Blue Ice
Appropriate short-term storage conditions
+4°C
Appropriate long-term storage conditions
+4°C
Storage information
Do Not Freeze

Supplementary information

This supplementary information is collated from multiple sources and compiled automatically.

The Brd4 protein also known as Bromodomain containing protein 4 plays an important role as a transcriptional regulator. It recognizes acetylated lysine residues on histone tails through its bromodomains. This binding impacts chromatin structure and transcriptional activation. The Brd4 protein has a molecular weight of around 150 kDa and is often used as a marker in studies using Brd4 western blot techniques. It mainly expresses in the nucleus of most cell types and is an important focus for developing Brd4 anticuerpos useful for detecting protein size discrepancies in research.
Biological function summary

Brd4 plays a significant role in regulating gene expression during cell cycle progression. It interacts with the Mediator complex enabling communication between transcriptional activators and RNA polymerase II. This protein is integral for maintaining chromatin in an active state ensuring accessibility for transcription machinery. Moreover Brd4 size and functionality relate to the elongation of transcription by RNA polymerase II ensuring the seamless expression of genes essential for cellular functions.

Pathways

Brd4 integrates into transcriptional and epigenetic regulation pathways. It acts in the positive regulation of the MYC pathway directly linking Brd4 with proto-oncogene c-Myc. Also Brd4 engages in the JAK/STAT signaling pathway where its activity affects cell growth and immune response. These interactions establish Brd4 as a central regulator within these pathways facilitating communication and coordination among molecular players.

Brd4 link heavily to cancer and inflammatory diseases. Aberrant Brd4 activity often associates with various cancers including leukemia where its regulation impacts oncogenic drivers. Clinically targeting Brd4 presents a therapeutic avenue as its inhibition affects cyclin-dependent kinase 9 (CDK9) an important regulator of the cell cycle. Similarly Brd4 alterations implicate in inflammatory disorders impacting nuclear factor kappa-light-chain-enhancer of activated B cells (NF-kB) signaling revealing pathways for intervening in pathogenic processes.

Product protocols

For this product, it's our understanding that no specific protocols are required. You can visit:

Target data

Chromatin reader protein that recognizes and binds acetylated histones and plays a key role in transmission of epigenetic memory across cell divisions and transcription regulation (PubMed : 20871596, PubMed : 23086925, PubMed : 23317504, PubMed : 29176719, PubMed : 29379197). Remains associated with acetylated chromatin throughout the entire cell cycle and provides epigenetic memory for postmitotic G1 gene transcription by preserving acetylated chromatin status and maintaining high-order chromatin structure (PubMed : 22334664, PubMed : 23317504, PubMed : 23589332). During interphase, plays a key role in regulating the transcription of signal-inducible genes by associating with the P-TEFb complex and recruiting it to promoters (PubMed : 16109376, PubMed : 16109377, PubMed : 19596240, PubMed : 23589332, PubMed : 24360279). Also recruits P-TEFb complex to distal enhancers, so called anti-pause enhancers in collaboration with JMJD6 (PubMed : 16109376, PubMed : 16109377, PubMed : 19596240, PubMed : 23589332, PubMed : 24360279). BRD4 and JMJD6 are required to form the transcriptionally active P-TEFb complex by displacing negative regulators such as HEXIM1 and 7SKsnRNA complex from P-TEFb, thereby transforming it into an active form that can then phosphorylate the C-terminal domain (CTD) of RNA polymerase II (PubMed : 16109376, PubMed : 16109377, PubMed : 19596240, PubMed : 23589332, PubMed : 24360279). Regulates differentiation of naive CD4(+) T-cells into T-helper Th17 by promoting recruitment of P-TEFb to promoters (By similarity). Promotes phosphorylation of 'Ser-2' of the C-terminal domain (CTD) of RNA polymerase II (PubMed : 23086925). According to a report, directly acts as an atypical protein kinase and mediates phosphorylation of 'Ser-2' of the C-terminal domain (CTD) of RNA polymerase II; these data however need additional evidences in vivo (PubMed : 22509028). In addition to acetylated histones, also recognizes and binds acetylated RELA, leading to further recruitment of the P-TEFb complex and subsequent activation of NF-kappa-B (PubMed : 19103749). Also acts as a regulator of p53/TP53-mediated transcription : following phosphorylation by CK2, recruited to p53/TP53 specific target promoters (PubMed : 23317504).. Isoform B. Acts as a chromatin insulator in the DNA damage response pathway. Inhibits DNA damage response signaling by recruiting the condensin-2 complex to acetylated histones, leading to chromatin structure remodeling, insulating the region from DNA damage response by limiting spreading of histone H2AX/H2A.x phosphorylation.
See full target information BRD4

Publications (2)

Recent publications for all applications. Explore the full list and refine your search

Cell reports 44:115202 PubMed39798087

2025

Anatomical, subset, and HIV-dependent expression of viral sensors and restriction factors.

Applications

Unspecified application

Species

Unspecified reactive species

Ashley F George,Jason Neidleman,Xiaoyu Luo,Julie Frouard,Natalie Elphick,Kailin Yin,Kyrlia C Young,Tongcui Ma,Alicer K Andrew,Ifeanyi J Ezeonwumelu,Jesper G Pedersen,Antoine Chaillon,Magali Porrachia,Brendon Woodworth,Martin R Jakobsen,Reuben Thomas,Davey M Smith,Sara Gianella,Nadia R Roan

iScience 25:104754 PubMed35938049

2022

The endoplasmic reticulum membrane complex promotes proteostasis of GABA receptors.

Applications

Unspecified application

Species

Unspecified reactive species

Angela L Whittsette,Ya-Juan Wang,Ting-Wei Mu
View all publications

Product promise

We are committed to supporting your work with high-quality reagents, and we're here for you every step of the way. In the unlikely event that one of our products does not perform as expected, you're protected by our Product Promise.
For full details, please see our Terms & Conditions

Please note: All products are 'FOR RESEARCH USE ONLY. NOT FOR USE IN DIAGNOSTIC OR THERAPEUTIC PROCEDURES'.

For licensing inquiries, please contact partnerships@abcam.com