JavaScript is disabled in your browser. Please enable JavaScript to view this website.
AB252820

Anti-BRD7 antibody [2D3]

Be the first to review this product! Submit a review

|

(0 Publication)

Rat Recombinant Monoclonal BRD7 antibody. Suitable for IHC-P, WB and reacts with Mouse, Rat, Human samples.

View Alternative Names

BP75, CELTIX1, BRD7, Bromodomain-containing protein 7, 75 kDa bromodomain protein, Protein CELTIX-1

5 Images
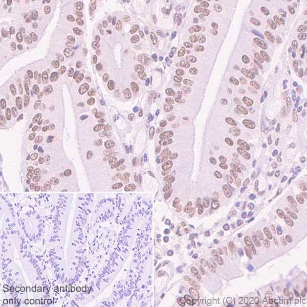
Immunohistochemistry (Formalin/PFA-fixed paraffin-embedded sections) - Anti-BRD7 antibody [2D3] (AB252820)
  • IHC-P

Supplier Data

Immunohistochemistry (Formalin/PFA-fixed paraffin-embedded sections) - Anti-BRD7 antibody [2D3] (AB252820)

Immunohistochemical analysis of paraffin-embedded human colon carcinoma tissue labeling BRD7 with ab252820 at 5.67μg/ml, followed by ready to use Goat Anti-Rat IgG H&L (HRP polymer) (ab214882). Nuclear staining on human colon carcinoma tissue is observed. Counterstained with hematoxylin.
Secondary antibody only control : Used PBS instead of primary antibody, followed by ready to use Goat Anti-Rat IgG H&L (HRP polymer) (ab214882). Heat mediated antigen retrieval using citrate buffer (pH 6.0, epitope retrieval solution 1).

Immunohistochemistry (Formalin/PFA-fixed paraffin-embedded sections) - Anti-BRD7 antibody [2D3] (AB252820)
  • IHC-P

Supplier Data

Immunohistochemistry (Formalin/PFA-fixed paraffin-embedded sections) - Anti-BRD7 antibody [2D3] (AB252820)

Immunohistochemical analysis of paraffin-embedded rat testis tissue labeling BRD7 with ab252820 at 5.67μg/ml, followed by ready to use Goat Anti-Rat IgG H&L (HRP polymer) (ab214882). Nuclear staining on rat testis tissue is observed. Counterstained with hematoxylin.
Secondary antibody only control : Used PBS instead of primary antibody, followed by ready to use Goat Anti-Rat IgG H&L (HRP polymer) (ab214882). Heat mediated antigen retrieval using citrate buffer (pH 6.0, epitope retrieval solution 1).

Immunohistochemistry (Formalin/PFA-fixed paraffin-embedded sections) - Anti-BRD7 antibody [2D3] (AB252820)
  • IHC-P

Supplier Data

Immunohistochemistry (Formalin/PFA-fixed paraffin-embedded sections) - Anti-BRD7 antibody [2D3] (AB252820)

Immunohistochemical analysis of paraffin-embedded mouse testis tissue labeling BRD7 with ab252820 at 5.67μg/ml, followed by ready to use Goat Anti-Rat IgG H&L (HRP polymer) (ab214882). Nuclear staining on mouse testis tissue is observed. Counterstained with hematoxylin.
Secondary antibody only control : Used PBS instead of primary antibody, followed by ready to use Goat Anti-Rat IgG H&L (HRP polymer) (ab214882). Heat mediated antigen retrieval using citrate buffer (pH 6.0, epitope retrieval solution 1).

Western blot - Anti-BRD7 antibody [2D3] (AB252820)
  • WB

Supplier Data

Western blot - Anti-BRD7 antibody [2D3] (AB252820)

Blocking/Dilution buffer : 5% NFDM/TBST.

Exposure time : 15 secs.

All lanes:

Western blot - Anti-BRD7 antibody [2D3] (ab252820) at 0.567 µg/mL

Lane 1:

C6 (rat glial tumor glial cell), whole cell lysate at 10 µg

Lane 2:

RAW264.7 (mouse Abelson murine leukemia virus-induced tumor macrophage), whole cell lysate at 10 µg

Lane 3:

PC-12 (rat adrenal gland pheochromocytoma), whole cell lysate at 10 µg

Lane 4:

MCF7 (human breast adenocarcinoma epithelial cell), whole cell lysate at 10 µg

Secondary

All lanes:

Western blot - Goat Anti-Rat IgG H&L (HRP) (<a href='/en-us/products/secondary-antibodies/goat-rat-igg-h-l-hrp-ab205720'>ab205720</a>) at 1/5000 dilution

Predicted band size: 74 kDa

false

Western blot - Anti-BRD7 antibody [2D3] (AB252820)
  • WB

Supplier Data

Western blot - Anti-BRD7 antibody [2D3] (AB252820)

Blocking/Dilution buffer : 5% NFDM/TBST.

Exposure times : Lanes 1-2 : 15 secs; Lane 3 : 3 mins.

All lanes:

Western blot - Anti-BRD7 antibody [2D3] (ab252820) at 0.567 µg/mL

Lane 1:

HeLa (human cervix adenocarcinoma epithelial cell), whole cell lysate at 20 µg

Lane 2:

PC-3 (human prostate adenocarcinoma epithelial cell), whole cell lysate at 20 µg

Lane 3:

Mouse brain tissue lysate at 20 µg

Secondary

All lanes:

Western blot - Goat Anti-Rat IgG H&L (HRP) (<a href='/en-us/products/secondary-antibodies/goat-rat-igg-h-l-hrp-ab205720'>ab205720</a>) at 1/5000 dilution

Predicted band size: 74 kDa

false

Key facts

Host species

Rat

Clonality

Monoclonal

Clone number

2D3

Isotype

IgG2a

Carrier free

No

Reacts with

Mouse, Rat, Human

Applications

WB, IHC-P

applications

Immunogen

The exact immunogen used to generate this antibody is proprietary information.

Reactivity data

{ "title": "Reactivity Data", "filters": { "stats": ["", "Species", "Dilution Info", "Notes"], "tabs": { "all-applications": {"fullname" : "All Applications", "shortname": "All Applications"}, "IHCP" : {"fullname" : "Immunohistochemistry (Formalin/PFA-fixed paraffin-embedded sections)", "shortname":"IHC-P"}, "IP" : {"fullname" : "Immunoprecipitation", "shortname":"IP"}, "WB" : {"fullname" : "Western blot", "shortname":"WB"} }, "product-promise": { "all": "all", "testedAndGuaranteed": "tested", "guaranteed": "expected", "predicted": "predicted", "notRecommended": "not-recommended" } }, "values": { "Human": { "IHCP-species-checked": "testedAndGuaranteed", "IHCP-species-dilution-info": "5.67 µg/mL", "IHCP-species-notes": "<p></p>", "IP-species-checked": "notRecommended", "IP-species-dilution-info": "", "IP-species-notes": "<p></p>", "WB-species-checked": "testedAndGuaranteed", "WB-species-dilution-info": "0.567 µg/mL", "WB-species-notes": "<p></p>" }, "Mouse": { "IHCP-species-checked": "testedAndGuaranteed", "IHCP-species-dilution-info": "5.67 µg/mL", "IHCP-species-notes": "<p></p>", "IP-species-checked": "notRecommended", "IP-species-dilution-info": "", "IP-species-notes": "<p></p>", "WB-species-checked": "testedAndGuaranteed", "WB-species-dilution-info": "0.567 µg/mL", "WB-species-notes": "<p></p>" }, "Rat": { "IHCP-species-checked": "testedAndGuaranteed", "IHCP-species-dilution-info": "5.67 µg/mL", "IHCP-species-notes": "<p></p>", "IP-species-checked": "notRecommended", "IP-species-dilution-info": "", "IP-species-notes": "<p></p>", "WB-species-checked": "testedAndGuaranteed", "WB-species-dilution-info": "0.567 µg/mL", "WB-species-notes": "<p></p>" } } }

Product details

What are the advantages of a recombinant monoclonal antibody?
This product is a recombinant monoclonal antibody, which offers several advantages including:

  • - High batch-to-batch consistency and reproducibility
  • - Improved sensitivity and specificity
  • - Long-term security of supply
  • - Animal-free batch production

For more information, read more on recombinant antibodies.

Want a custom formulation?
This antibody clone is manufactured by Abcam. If you require a custom buffer formulation or conjugation for your experiments, please contact orders@abcam.com

Properties and storage information

Form
Liquid
Purification technique
Ion exchange chromatography
Storage buffer
pH: 7.2 - 7.4 Preservative: 0.01% Sodium azide Constituents: PBS, 40% Glycerol (glycerin, glycerine), 0.05% BSA
Shipped at conditions
Blue Ice
Appropriate short-term storage duration
1-2 weeks
Appropriate short-term storage conditions
+4°C
Appropriate long-term storage conditions
-20°C
Aliquoting information
Upon delivery aliquot
Storage information
Avoid freeze / thaw cycle

Product protocols

For this product, it's our understanding that no specific protocols are required. You can visit:

Target data

Acts both as coactivator and as corepressor. May play a role in chromatin remodeling. Activator of the Wnt signaling pathway in a DVL1-dependent manner by negatively regulating the GSK3B phosphotransferase activity. Induces dephosphorylation of GSK3B at 'Tyr-216'. Down-regulates TRIM24-mediated activation of transcriptional activation by AR (By similarity). Transcriptional corepressor that down-regulates the expression of target genes. Binds to target promoters, leading to increased histone H3 acetylation at 'Lys-9' (H3K9ac). Binds to the ESR1 promoter. Recruits BRCA1 and POU2F1 to the ESR1 promoter. Coactivator for TP53-mediated activation of transcription of a set of target genes. Required for TP53-mediated cell-cycle arrest in response to oncogene activation. Promotes acetylation of TP53 at 'Lys-382', and thereby promotes efficient recruitment of TP53 to target promoters. Inhibits cell cycle progression from G1 to S phase.
See full target information BRD7

Product promise

We are committed to supporting your work with high-quality reagents, and we're here for you every step of the way. In the unlikely event that one of our products does not perform as expected, you're protected by our Product Promise.
For full details, please see our Terms & Conditions

Please note: All products are 'FOR RESEARCH USE ONLY. NOT FOR USE IN DIAGNOSTIC OR THERAPEUTIC PROCEDURES'.

For licensing inquiries, please contact partnerships@abcam.com