JavaScript is disabled in your browser. Please enable JavaScript to view this website.
AB288442

Anti-BRDT antibody [EPR25427-24] - BSA and Azide free

Be the first to review this product! Submit a review

|

(0 Publication)

Rabbit Recombinant Monoclonal BRDT antibody. Carrier free. Suitable for WB, IHC-P and reacts with Recombinant full length protein, Mouse, Rat samples.

View Alternative Names

Bromodomain testis-specific protein, Cancer/testis antigen 9, RING3-like protein, CT9, BRDT

6 Images
Immunohistochemistry (Formalin/PFA-fixed paraffin-embedded sections) - Anti-BRDT antibody [EPR25427-24] - BSA and Azide free (AB288442)
  • IHC-P

Supplier Data

Immunohistochemistry (Formalin/PFA-fixed paraffin-embedded sections) - Anti-BRDT antibody [EPR25427-24] - BSA and Azide free (AB288442)

This data was developed using ab288435, the same antibody clone in a different buffer formulation.

Immunohistochemical analysis of paraffin-embedded Rat skeletal muscle tissue labelling BRDT with ab288435 at 1/2000 (0.268 ug/ml) followed by a ready to use Leica DS9800 (Bond™, Polymer Refine Detection) was used. Negative control : no staining on rat skeletal muscle. The section was incubated with ab288435 for 30 mins at room temperature. The immunostaining was performed on a Leica Biosystems BOND® RX instrument Counterstained with Hematoxylin.

Secondary antibody only control : Secondary antibody is a ready to use Leica DS9800 (BOND™, Polymer Refine Detection) was used.

Heat mediated antigen retrieval with Tris-EDTA buffer (pH 9.0, epitope retrieval solution2) for 20 mins

Immunohistochemistry (Formalin/PFA-fixed paraffin-embedded sections) - Anti-BRDT antibody [EPR25427-24] - BSA and Azide free (AB288442)
  • IHC-P

Supplier Data

Immunohistochemistry (Formalin/PFA-fixed paraffin-embedded sections) - Anti-BRDT antibody [EPR25427-24] - BSA and Azide free (AB288442)

This data was developed using ab288435, the same antibody clone in a different buffer formulation.

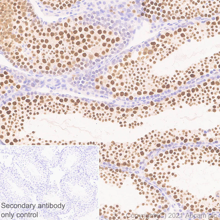
Immunohistochemical analysis of paraffin-embedded Mouse testis tissue labelling BRDT with ab288435 at 1/2000 (0.268 ug/ml) followed by a ready to use Leica DS9800 (BOND™, Polymer Refine Detection) was used. Nuclear staining on germ cells in mouse testis. The section was incubated with ab288435 for 30 mins at room temperature. The immunostaining was performed on a Leica Biosystems BOND® RX instrument Counterstained with Hematoxylin.

Secondary antibody only control : Secondary antibody is a ready to use LeicaDS9800 (BOND™, Polymer Refine Detection) was used.

Heat mediated antigen retrieval with Tris-EDTA buffer (pH 9.0, epitope retrieval solution2) for 20 mins

Immunohistochemistry (Formalin/PFA-fixed paraffin-embedded sections) - Anti-BRDT antibody [EPR25427-24] - BSA and Azide free (AB288442)
  • IHC-P

Supplier Data

Immunohistochemistry (Formalin/PFA-fixed paraffin-embedded sections) - Anti-BRDT antibody [EPR25427-24] - BSA and Azide free (AB288442)

This data was developed using ab288435, the same antibody clone in a different buffer formulation.

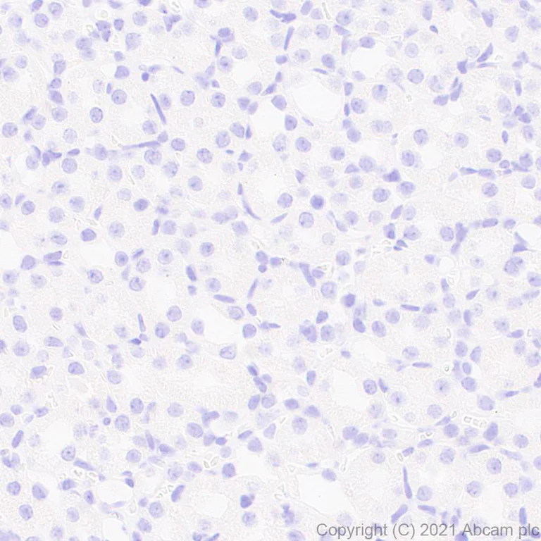
Immunohistochemical analysis of paraffin-embedded Mouse kidney tissue labelling BRDT with ab288435 at 1/2000 (0.268 ug/ml) followed by a ready to use Leica DS9800 (BOND™, Polymer Refine Detection) was used. Negative control : no staining on mouse kidney. The section was incubated with ab288435 for 30 mins at room temperature.The immunostaining was performed on a Leica Biosystems BOND® RX instrument Counterstained with Hematoxylin.

Secondary antibody only control : Secondary antibody is a ready to use Leica DS9800 (BOND™, Polymer Refine Detection) was used.

Heat mediated antigen retrieval with Tris-EDTA buffer (pH 9.0, epitope retrieval solution2) for 20 mins

Immunohistochemistry (Formalin/PFA-fixed paraffin-embedded sections) - Anti-BRDT antibody [EPR25427-24] - BSA and Azide free (AB288442)
  • IHC-P

Supplier Data

Immunohistochemistry (Formalin/PFA-fixed paraffin-embedded sections) - Anti-BRDT antibody [EPR25427-24] - BSA and Azide free (AB288442)

This data was developed using ab288435, the same antibody clone in a different buffer formulation.

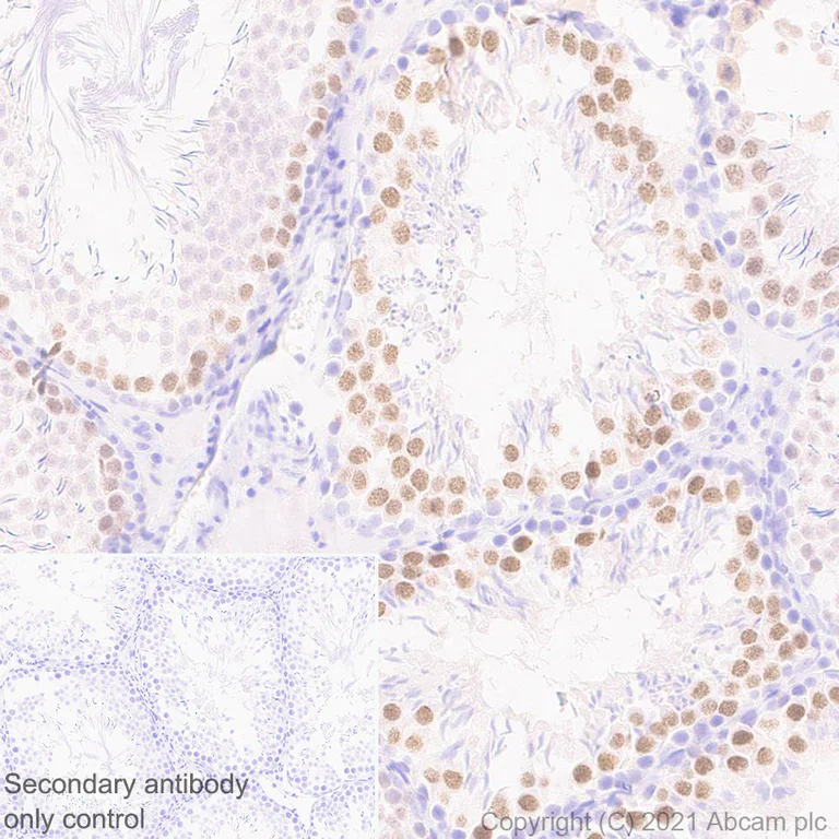
Immunohistochemical analysis of paraffin-embedded Rat testis tissue labelling BRDT with ab288435 at 1/2000 (0.268 ug/ml) followed by a ready to use Leica DS9800 (Bond™, Polymer Refine Detection) was used. Nuclear staining on germ cells in rat testis. The section was incubated with ab288435 for 30 mins at room temperature. The immunostaining was performed on a Leica Biosystems BOND® RX instrument Counterstained with Hematoxylin.

Secondary antibody only control : Secondary antibody is a ready to use Leica DS9800 (BOND™, Polymer Refine Detection) was used.

Heat mediated antigen retrieval with Tris-EDTA buffer (pH 9.0, epitope retrieval solution2) for 20 mins

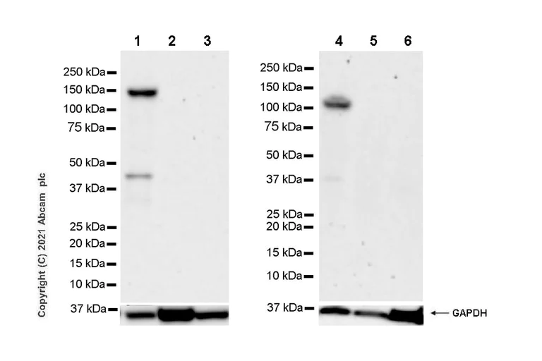
Western blot - Anti-BRDT antibody [EPR25427-24] - BSA and Azide free (AB288442)
  • WB

Lab

Western blot - Anti-BRDT antibody [EPR25427-24] - BSA and Azide free (AB288442)

This data was developed using ab288435, the same antibody clone in a different buffer formulation.

Blocking and diluting buffer and concentration : 5% NFDM/TBST

Exposure time : 125 seconds

Low expression : Kidney, Skeletal muscle
The observed MW/expression profile is consistent with what has been described in the literature (PMID : 33257688 & Uniprot)

All lanes:

Western blot - Anti-BRDT antibody [EPR25427-24] (<a href='/en-us/products/primary-antibodies/brdt-antibody-epr25427-24-ab288435'>ab288435</a>) at 1/1000 dilution

Lane 1:

Mouse testis tissue lysate at 20 µg

Lane 2:

Mouse kidney tissue lysate at 20 µg

Lane 3:

Mouse skeletal muscle tissue lysate at 20 µg

Lane 4:

Rat testis tissue lysate at 20 µg

Lane 5:

Rat kidney tissue lysate at 40 µg

Lane 6:

Rat skeletal muscle tissue lysate at 20 µg

Secondary

Lanes 1 - 6:

Goat Anti-Rabbit IgG, (H+L), Peroxidase conjugated at 1/100000 dilution

Lanes 1 - 6:

Western blot - Goat Anti-Rabbit IgG H&L (HRP) (<a href='/en-us/products/secondary-antibodies/goat-rabbit-igg-h-l-hrp-ab97051'>ab97051</a>) at 1/100000 dilution

Predicted band size: 108 kDa

Observed band size: 130 kDa

false

Western blot - Anti-BRDT antibody [EPR25427-24] - BSA and Azide free (AB288442)
  • WB

Supplier Data

Western blot - Anti-BRDT antibody [EPR25427-24] - BSA and Azide free (AB288442)

This data was developed using ab288435, the same antibody clone in a different buffer formulation.

Blocking and diluting buffer and concentration : 5% NFDM/TBST

Exposure time : 59 seconds

This antibody has no cross-reaction with BRD3 and BRD4.
All the recombinant proteins are expressed from an E.coli expression system.

All lanes:

Western blot - Anti-BRDT antibody [EPR25427-24] (<a href='/en-us/products/primary-antibodies/brdt-antibody-epr25427-24-ab288435'>ab288435</a>) at 1/1000 dilution

Lane 1:

Human BRDT recombinant protein (aa 1-947) 20ng

Lane 2:

Human BRD3 recombinant protein (aa 1-726) 20ng

Lane 3:

Human BRD4 recombinant protein (aa 49-240) 20ng

Secondary

All lanes:

Western blot - Goat Anti-Rabbit IgG H&L (HRP) (<a href='/en-us/products/secondary-antibodies/goat-rabbit-igg-h-l-hrp-ab97051'>ab97051</a>) at 1/100000 dilution

Predicted band size: 108 kDa

Observed band size: 130 kDa

false

Key facts

Host species

Rabbit

Clonality

Monoclonal

Clone number

EPR25427-24

Isotype

IgG

Carrier free

Yes

Reacts with

Rat, Mouse

Applications

WB, IHC-P

applications

Immunogen

The exact immunogen used to generate this antibody is proprietary information.

Reactivity data

{ "title": "Reactivity Data", "filters": { "stats": ["", "Species", "Dilution Info", "Notes"], "tabs": { "all-applications": {"fullname" : "All Applications", "shortname": "All Applications"}, "ICCIF" : {"fullname" : "Immunocytochemistry/ Immunofluorescence", "shortname":"ICC/IF"}, "IP" : {"fullname" : "Immunoprecipitation", "shortname":"IP"}, "WB" : {"fullname" : "Western blot", "shortname":"WB"}, "IHCP" : {"fullname" : "Immunohistochemistry (Formalin/PFA-fixed paraffin-embedded sections)", "shortname":"IHC-P"}, "FlowCytIntra" : {"fullname" : "Flow Cytometry (Intracellular)", "shortname":"Flow Cyt (Intra)"} }, "product-promise": { "all": "all", "testedAndGuaranteed": "tested", "guaranteed": "expected", "predicted": "predicted", "notRecommended": "not-recommended" } }, "values": { "Human": { "ICCIF-species-checked": "notRecommended", "ICCIF-species-dilution-info": "", "ICCIF-species-notes": "<p></p>", "IP-species-checked": "notRecommended", "IP-species-dilution-info": "", "IP-species-notes": "", "WB-species-checked": "notRecommended", "WB-species-dilution-info": "", "WB-species-notes": "<p></p>", "IHCP-species-checked": "notRecommended", "IHCP-species-dilution-info": "", "IHCP-species-notes": "<p></p>", "FlowCytIntra-species-checked": "notRecommended", "FlowCytIntra-species-dilution-info": "", "FlowCytIntra-species-notes": "<p></p>" }, "Mouse": { "ICCIF-species-checked": "notRecommended", "ICCIF-species-dilution-info": "", "ICCIF-species-notes": "<p></p>", "IP-species-checked": "notRecommended", "IP-species-dilution-info": "", "IP-species-notes": "<p></p>", "WB-species-checked": "testedAndGuaranteed", "WB-species-dilution-info": "", "WB-species-notes": "<p></p>", "IHCP-species-checked": "testedAndGuaranteed", "IHCP-species-dilution-info": "", "IHCP-species-notes": "<p></p>", "FlowCytIntra-species-checked": "notRecommended", "FlowCytIntra-species-dilution-info": "", "FlowCytIntra-species-notes": "<p></p>" }, "Rat": { "ICCIF-species-checked": "notRecommended", "ICCIF-species-dilution-info": "", "ICCIF-species-notes": "<p></p>", "IP-species-checked": "notRecommended", "IP-species-dilution-info": "", "IP-species-notes": "<p></p>", "WB-species-checked": "testedAndGuaranteed", "WB-species-dilution-info": "", "WB-species-notes": "<p></p>", "IHCP-species-checked": "testedAndGuaranteed", "IHCP-species-dilution-info": "", "IHCP-species-notes": "<p></p>", "FlowCytIntra-species-checked": "notRecommended", "FlowCytIntra-species-dilution-info": "", "FlowCytIntra-species-notes": "<p></p>" }, "Recombinant full length protein": { "ICCIF-species-checked": "notRecommended", "ICCIF-species-dilution-info": "", "ICCIF-species-notes": "", "IP-species-checked": "notRecommended", "IP-species-dilution-info": "", "IP-species-notes": "", "WB-species-checked": "testedAndGuaranteed", "WB-species-dilution-info": "", "WB-species-notes": "<p></p>", "IHCP-species-checked": "notRecommended", "IHCP-species-dilution-info": "", "IHCP-species-notes": "", "FlowCytIntra-species-checked": "notRecommended", "FlowCytIntra-species-dilution-info": "", "FlowCytIntra-species-notes": "" } } }

Product details

Patented technology
Our RabMAb® technology is a patented hybridoma-based technology for making rabbit monoclonal antibodies. For details on our patents, please refer to RabMAb® patents.

What are the advantages of a recombinant monoclonal antibody?
This product is a recombinant monoclonal antibody, which offers several advantages including:

  • - High batch-to-batch consistency and reproducibility
  • - Improved sensitivity and specificity
  • - Long-term security of supply
  • - Animal-free batch production

For more information, read more on recombinant antibodies.

Conjugation ready
Our carrier-free antibodies are typically supplied in a PBS-only formulation, purified and free of BSA, sodium azide and glycerol. This conjugation-ready format is designed for use with fluorochromes, metal isotopes, oligonucleotides, and enzymes, which makes them ideal for antibody labelling, functional and cell-based assays, flow-based assays (e.g. mass cytometry) and Multiplex Imaging applications.

Use our conjugation kits for antibody conjugates that are ready-to-use in as little as 20 minutes with 1 minute hands-on-time and 100% antibody recovery: available for fluorescent dyes, HRP, biotin and gold.

Compatibility
This product is compatible with the Maxpar® Antibody Labeling Kit from Fluidigm, without the need for antibody preparation. Maxpar® is a trademark of Fluidigm Canada Inc.

Properties and storage information

Form
Liquid
Purification technique
Affinity purification Protein A
Storage buffer
pH: 7.2 - 7.4 Constituents: PBS
Shipped at conditions
Blue Ice
Appropriate short-term storage conditions
+4°C
Appropriate long-term storage conditions
+4°C
Storage information
Do Not Freeze

Product protocols

For this product, it's our understanding that no specific protocols are required. You can visit:

Target data

Testis-specific chromatin protein that specifically binds histone H4 acetylated at 'Lys-5' and 'Lys-8' (H4K5ac and H4K8ac, respectively) and plays a key role in spermatogenesis (PubMed : 22464331, PubMed : 22901802). Required in late pachytene spermatocytes : plays a role in meiotic and post-meiotic cells by binding to acetylated histones at the promoter of specific meiotic and post-meiotic genes, facilitating their activation at the appropriate time (PubMed : 22901802). In the post-meiotic phase of spermatogenesis, binds to hyperacetylated histones and participates in their general removal from DNA (PubMed : 22901802). Also recognizes and binds a subset of butyrylated histones : able to bind histone H4 butyrylated at 'Lys-8' (H4K8ac), while it is not able to bind H4 butyrylated at 'Lys-5' (H4K5ac) (By similarity). Also acts as a component of the splicing machinery in pachytene spermatocytes and round spermatids and participates in 3'-UTR truncation of specific mRNAs in post-meiotic spermatids (By similarity). Required for chromocenter organization, a structure comprised of peri-centromeric heterochromatin.
See full target information BRDT

Product promise

We are committed to supporting your work with high-quality reagents, and we're here for you every step of the way. In the unlikely event that one of our products does not perform as expected, you're protected by our Product Promise.
For full details, please see our Terms & Conditions

Please note: All products are 'FOR RESEARCH USE ONLY. NOT FOR USE IN DIAGNOSTIC OR THERAPEUTIC PROCEDURES'.

For licensing inquiries, please contact partnerships@abcam.com