JavaScript is disabled in your browser. Please enable JavaScript to view this website.
AB264079

Anti-BrdU antibody [BU1/75 (ICR1)] - BSA and Azide free

Be the first to review this product! Submit a review

|

(1 Publication)

Rat Monoclonal BrdU antibody. Carrier free. Suitable for Flow Cyt (Intra), IHC-P, ICC/IF and reacts with Chemical samples. Cited in 1 publication.

View Alternative Names

BUdr, Bromodeoxyuridine

4 Images
Immunocytochemistry/ Immunofluorescence - Anti-BrdU antibody [BU1/75 (ICR1)] - BSA and Azide free (AB264079)
  • ICC/IF

Supplier Data

Immunocytochemistry/ Immunofluorescence - Anti-BrdU antibody [BU1/75 (ICR1)] - BSA and Azide free (AB264079)

ICC/IF image of ab6326 stained HeLa cells both BrdU treated (left image) and normal cells (right image). The cells were 100% methanol fixed (5 min) and then subjected to acid hydrolysis using 2M HCL in 0.1% PBS-Tween for 30 minutes at room temperature to denature the DNA. They were then incubated in 1%BSA / 10% normal goat serum / 0.3M glycine in 0.1% PBS-Tween for 1h to permeabilise the cells and block non-specific protein-protein interactions. The cells were then incubated with the antibody (ab6326 10μg/ml) overnight at +4°C. The secondary antibody (green) was Goat Anti-Rat IgG H&L (DyLight® 488) preadsorbed (ab98420) used at a 1/250 dilution for 1h. Alexa Fluor® 594 WGA was used to label plasma membranes (red) at a 1/200 dilution for 1h. DAPI was used to stain the cell nuclei (blue) at a concentration of 1.43μM. Positive staining can be seen in the BrdU treated cells but not in the normal cells demonstrating specificity for BrdU.

This data was developed using the same antibody clone in a different buffer formulation containing PBS and Sodium Azide (ab6326).

Immunocytochemistry/ Immunofluorescence - Anti-BrdU antibody [BU1/75 (ICR1)] - BSA and Azide free (AB264079)
  • ICC/IF

Unknown

Immunocytochemistry/ Immunofluorescence - Anti-BrdU antibody [BU1/75 (ICR1)] - BSA and Azide free (AB264079)

ab6326 staining BrdU in Hela cells. Untreated and BrdU treated (10uM for 24 hours) cells. The cells were fixed with 100% methanol (5 min) and then subjected to acid hydrolysis using 2M HCL in 0.1% PBS-Tween for 30 minutes at room temperature to denature the DNA. They were then permeabilized with 0.1% PBS-Tween for 5 minutes and then blocked with 1% BSA/10% normal goat serum/0.3M glycine in 0.1%PBS-Tween for 1hr. The cells were then incubated overnight at 4°C with ab6326 at 1μg/ml and ab7291 Mouse monoclonal [DM1A] to alpha Tubulin - Loading Control. Cells were then incubated with ab150165 Goat polyclonal Secondary Antibody to Rat IgG - H&L (Alexa Fluor® 488) pre-adsorbed at 1/1000 dilution (shown in green) and ab150120 Goat polyclonal Secondary Antibody to Mouse IgG - H&L (Alexa Fluor® 594) pre-adsorbed at 1/1000 dilution (shown in pseudocolour red). Nuclear DNA was labelled with DAPI (shown in blue). Image was acquired with a confocal microscope (Leica-Microsystems TCS SP8) and a single confocal section is shown.

This data was developed using the same antibody clone in a different buffer formulation containing PBS and Sodium Azide (ab6326).

Flow Cytometry (Intracellular) - Anti-BrdU antibody [BU1/75 (ICR1)] - BSA and Azide free (AB264079)
  • Flow Cyt (Intra)

Unknown

Flow Cytometry (Intracellular) - Anti-BrdU antibody [BU1/75 (ICR1)] - BSA and Azide free (AB264079)

Dot plot showing BrdU-treated HeLa cells stained with ab6326. Cells were incubated with 10 μM BrdU for 30 minutes prior to being harvested washed twice in 1x PBS and fixed in 70% ethanol (4°C added drop-wise) for at least 30 minutes on ice. Once fixed pellets were acid denatured with 2M HCl for 30 minutes at 22°C and then neutralised with borate buffer (0.1M pH8.5).

Samples were washed and incubated in 1x PBS / 10% normal goat serum to block non-specific protein-protein interactions followed by the antibody (ab6326 1μg/1x106 cells) for 30 min at 22°C. The secondary antibody used wasGoat Anti-Rat IgG H&L (Alexa Fluor® 488) preadsorbed (ab150165) at 1/2000 dilution for 30 min at 22°C.

7-AAD was added to cells 20 min prior to data acquisition.

Acquisition of >5000 events were collected using a 50 mW Blue laser (488nm) with 530/30 and 685/35 bandpass filters.

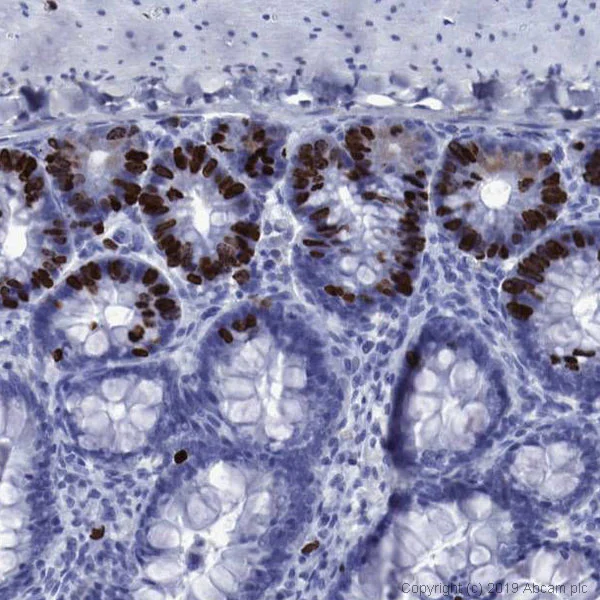
Immunohistochemistry (Formalin/PFA-fixed paraffin-embedded sections) - Anti-BrdU antibody [BU1/75 (ICR1)] - BSA and Azide free (AB264079)
  • IHC-P

Supplier Data

Immunohistochemistry (Formalin/PFA-fixed paraffin-embedded sections) - Anti-BrdU antibody [BU1/75 (ICR1)] - BSA and Azide free (AB264079)

IHC image of ab6326 staining in a formalin-fixed paraffin-embedded rat small intestine BrdU tissue section. The section was pre-treated using pressure cooker heat mediated antigen retrieval with sodium citrate buffer (pH6) for 30mins and incubated overnight at +4°C with ab6326 at 3 ug/ml. A goat anti-rat biotinylated secondary antibody was used to detect the primary and visualized using an HRP conjugated ABC system. The section was counterstained with haematoxylin and mounted with DPX.

For other IHC staining systems (automated and non-automated) users should optimize variable parameters such as antigen retrieval conditions primary antibody concentration and antibody incubation times.

This data was developed using the same antibody clone in a different buffer formulation containing PBS and Sodium Azide (ab6326).

Key facts

Host species

Rat

Clonality

Monoclonal

Clone number

BU1/75 (ICR1)

Isotype

IgG2a

Light chain type

kappa

Carrier free

Yes

Applications

ICC/IF, IHC-P, Flow Cyt (Intra)

applications

Specificity

This antibody reacts with BrdU in single stranded DNA, BrdU attached to a protein carrier or free BrdU. It detects nucleated cells in S-Phase which have had BrdU incorporated into their DNA. Also reacts with chlorodeoxyuridine but with reduced staining. The antibody does not react with thymidine. It has been reported in the literature that this antibody clone cross-reacts with Edu (PMID: 23272138) and some customers reported that it cross reacts with IdU.

Reactivity data

{ "title": "Reactivity Data", "filters": { "stats": ["", "Species", "Dilution Info", "Notes"], "tabs": { "all-applications": {"fullname" : "All Applications", "shortname": "All Applications"}, "FlowCytIntra" : {"fullname" : "Flow Cytometry (Intracellular)", "shortname":"Flow Cyt (Intra)"}, "IHCP" : {"fullname" : "Immunohistochemistry (Formalin/PFA-fixed paraffin-embedded sections)", "shortname":"IHC-P"}, "ICCIF" : {"fullname" : "Immunocytochemistry/ Immunofluorescence", "shortname":"ICC/IF"} }, "product-promise": { "all": "all", "testedAndGuaranteed": "tested", "guaranteed": "expected", "predicted": "predicted", "notRecommended": "not-recommended" } }, "values": { "Chemical": { "FlowCytIntra-species-checked": "testedAndGuaranteed", "FlowCytIntra-species-dilution-info": "", "FlowCytIntra-species-notes": "<p>Rat IgG2a, kappa monoclonal [RTK2758] (Low endotoxin, Azide Free) (<a href='/en-us/products/primary-antibodies/rat-igg2a-kappa-monoclonal-rtk2758-isotype-control-ab18450'>ab18450</a>), is suitable for use as an isotype control with this antibody.</p>", "IHCP-species-checked": "testedAndGuaranteed", "IHCP-species-dilution-info": "", "IHCP-species-notes": "<p></p>", "ICCIF-species-checked": "testedAndGuaranteed", "ICCIF-species-dilution-info": "", "ICCIF-species-notes": "<p></p>" } } }

Product details

ab264079 is the carrier-free version of ab6326.

Protocol advice:

This antibody recognizes single stranded DNA so the DNA needs to be unraveled first. This can be done with DNAse, although it doesn't give the best results. Depending on the assay, acid denaturation with 2M HCL or heat denaturation are the most successful. Please note this step is critical in any assay with this antibody and is the area that should be modified to optimize results. A detailed BrdU staining protocol is available in the Protocols tab or by clicking on this link.

Unstained positive control slides from mice treated with BrdU (formalin-fixed, paraffin-embedded intestine sections) are available as BrdU control slides ab129956.

AF488 conjugate available as ab220074
AF647 conjugate available as ab220075
Please see the Associated Products tab for other available conjugates.

Want a custom formulation?
This antibody clone is manufactured by Abcam. If you require a custom buffer formulation or conjugation for your experiments, please contact orders@abcam.com

Conjugation ready
Our carrier-free antibodies are typically supplied in a PBS-only formulation, purified and free of BSA, sodium azide and glycerol. This conjugation-ready format is designed for use with fluorochromes, metal isotopes, oligonucleotides, and enzymes, which makes them ideal for antibody labelling, functional and cell-based assays, flow-based assays (e.g. mass cytometry) and Multiplex Imaging applications.

Use our conjugation kits for antibody conjugates that are ready-to-use in as little as 20 minutes with 1 minute hands-on-time and 100% antibody recovery: available for fluorescent dyes, HRP, biotin and gold.

Compatibility
This product is compatible with the Maxpar® Antibody Labeling Kit from Fluidigm, without the need for antibody preparation. Maxpar® is a trademark of Fluidigm Canada Inc.

Properties and storage information

Form
Liquid
Purity
IgG fraction
Storage buffer
pH: 7.4 Constituents: PBS
Shipped at conditions
Blue Ice
Appropriate short-term storage duration
1-2 weeks
Appropriate short-term storage conditions
+4°C
Appropriate long-term storage conditions
-20°C
Aliquoting information
Upon delivery aliquot
Storage information
Do Not Freeze

Product protocols

For this product, it's our understanding that no specific protocols are required. You can visit:

Publications (1)

Recent publications for all applications. Explore the full list and refine your search

Journal of nanobiotechnology 22:540 PubMed39237942

2024

Enhanced osteogenic differentiation in 3D hydrogel scaffold via macrophage mitochondrial transfer.

Applications

Unspecified application

Species

Unspecified reactive species

Shui Qiu,Lili Cao,Dingding Xiang,Shu Wang,Di Wang,Yiyi Qian,Xiaohua Li,Xiaoshu Zhou
View all publications

Product promise

We are committed to supporting your work with high-quality reagents, and we're here for you every step of the way. In the unlikely event that one of our products does not perform as expected, you're protected by our Product Promise.
For full details, please see our Terms & Conditions

Please note: All products are 'FOR RESEARCH USE ONLY. NOT FOR USE IN DIAGNOSTIC OR THERAPEUTIC PROCEDURES'.

For licensing inquiries, please contact partnerships@abcam.com