JavaScript is disabled in your browser. Please enable JavaScript to view this website.
AB285169

Anti-Brevican antibody [EPR25743-59] - BSA and Azide free

5

(1 Review)

|

(0 Publication)

Rabbit Recombinant Monoclonal Brevican antibody. Carrier free. Suitable for IP, WB, IHC-P, IHC-Fr and reacts with Mouse, Human, Rat samples.

View Alternative Names

BEHAB, CSPG7, UNQ2525/PRO6018, BCAN, Brevican core protein, Brain-enriched hyaluronan-binding protein, Chondroitin sulfate proteoglycan 7

13 Images
Immunohistochemistry (Formalin/PFA-fixed paraffin-embedded sections) - Anti-Brevican antibody [EPR25743-59] - BSA and Azide free (AB285169)
  • IHC-P

Supplier Data

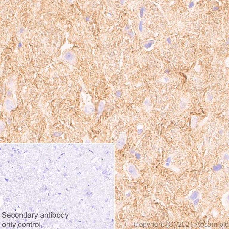
Immunohistochemistry (Formalin/PFA-fixed paraffin-embedded sections) - Anti-Brevican antibody [EPR25743-59] - BSA and Azide free (AB285169)

This data was developed using ab285162, the same antibody clone in a different buffer formulation.

Immunohistochemical analysis of paraffin-embedded Rat cerebrum tissue labelling Brevican with ab285162 at 1/2000 (0.295 ug/ml) followed by a ready to use LeicaDS9800 (Bond™ , Polymer Refine Detection) was used. Positive staining on rat cerebrum. The section was incubated with ab285162 for 30 mins at room temperature.The immunostaining was performed on a Leica Biosystems BOND® RX instrument Counterstained with Hematoxylin.

Secondary antibody only control : Secondary antibody is a ready to use LeicaDS9800 (Bond™ , Polymer Refine Detection) was used.

Heat mediated antigen retrieval with Tris-EDTA buffer (pH 9.0, epitope retrieval solution2) for 20 mins

Immunohistochemistry (Frozen sections) - Anti-Brevican antibody [EPR25743-59] - BSA and Azide free (AB285169)
  • IHC-Fr

Supplier Data

Immunohistochemistry (Frozen sections) - Anti-Brevican antibody [EPR25743-59] - BSA and Azide free (AB285169)

This data was developed using ab285162, the same antibody clone in a different buffer formulation.

Immunohistochemical analysis of 4% PFA-fixed, 0.2% Triton X-100 permeabilized frozen Mouse kidney (fresh) tissue labeling Brevican with ab285162 at 1/50 (19.72 ug/ml) dilution followed by ab150081 Goat Anti-Rabbit IgG H&L (Alexa Fluor® 488) preadsorbed at 1/1000 (2 ug/ml) dilution (Green). Negative control : No staining on mouse kidney (PMID : 32559242) is observed. The nuclear counterstain was DAPI (Blue).

Secondary antibody control : Secondary antibody is ab150081 Goat Anti-Rabbit IgG H&L (Alexa Fluor® 488) preadsorbed at 1/1000 (2 ug/ml) dilution.

Immunohistochemistry (Formalin/PFA-fixed paraffin-embedded sections) - Anti-Brevican antibody [EPR25743-59] - BSA and Azide free (AB285169)
  • IHC-P

Supplier Data

Immunohistochemistry (Formalin/PFA-fixed paraffin-embedded sections) - Anti-Brevican antibody [EPR25743-59] - BSA and Azide free (AB285169)

This data was developed using ab285162, the same antibody clone in a different buffer formulation.

Immunohistochemical analysis of paraffin-embedded Human cerebrum tissue labelling Brevican with ab285162 at 1/2000 (0.295 ug/ml) followed by a ready to use LeicaDS9800 (Bond™, Polymer Refine Detection) was used. Positive staining on human cerebrum. The section was incubated with ab285162 for 30 mins at room temperature.The immunostaining was performed on a Leica Biosystems BOND® RX instrument Counterstained with Hematoxylin.

Secondary antibody only control : Secondary antibody is a ready to use LeicaDS9800 (Bond™, Polymer Refine Detection) was used.

Heat mediated antigen retrieval with Tris-EDTA buffer (pH 9.0, epitope retrieval solution2) for 20 mins

Immunohistochemistry (Frozen sections) - Anti-Brevican antibody [EPR25743-59] - BSA and Azide free (AB285169)
  • IHC-Fr

Supplier Data

Immunohistochemistry (Frozen sections) - Anti-Brevican antibody [EPR25743-59] - BSA and Azide free (AB285169)

This data was developed using ab285162, the same antibody clone in a different buffer formulation.

Immunohistochemical analysis of 4% PFA-fixed, 0.2% Triton X-100 permeabilized frozen Rat kidney (fresh) tissue labeling Brevican with ab285162 at 1/50 (19.72 ug/ml) dilution followed by ab150081 Goat Anti-Rabbit IgG H&L (Alexa Fluor® 488) preadsorbed at 1/1000 (2 ug/ml) dilution (Green). Negative control : No staining on rat kidney(PMID : 32559242) is observed. The nuclear counterstain was DAPI (Blue).

Secondary antibody control : Secondary antibody is ab150081 Goat Anti-Rabbit IgG H&L (Alexa Fluor® 488) preadsorbed at 1/1000 (2 ug/ml) dilution.

Immunohistochemistry (Frozen sections) - Anti-Brevican antibody [EPR25743-59] - BSA and Azide free (AB285169)
  • IHC-Fr

Supplier Data

Immunohistochemistry (Frozen sections) - Anti-Brevican antibody [EPR25743-59] - BSA and Azide free (AB285169)

This data was developed using ab285162, the same antibody clone in a different buffer formulation.

Immunohistochemical analysis of 4% PFA-fixed, 0.2% Triton X-100 permeabilized frozen Rat cerebrum (fresh) tissue labeling Brevican with ab285162 at 1/50 (19.72 ug/ml) dilution followed by ab150081 Goat Anti-Rabbit IgG H&L (Alexa Fluor® 488) preadsorbed at 1/1000 (2 ug/ml) dilution (Green). Positive staining on rat cerebrum is observed. The nuclear counterstain was DAPI (Blue).

Secondary antibody control : Secondary antibody is ab150081 Goat Anti-Rabbit IgG H&L (Alexa Fluor® 488) preadsorbed at 1/1000 (2 ug/ml) dilution.

Immunohistochemistry (Formalin/PFA-fixed paraffin-embedded sections) - Anti-Brevican antibody [EPR25743-59] - BSA and Azide free (AB285169)
  • IHC-P

Supplier Data

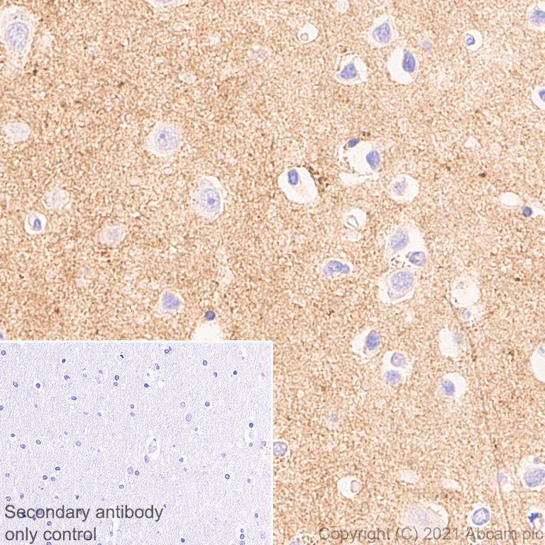
Immunohistochemistry (Formalin/PFA-fixed paraffin-embedded sections) - Anti-Brevican antibody [EPR25743-59] - BSA and Azide free (AB285169)

This data was developed using ab285162, the same antibody clone in a different buffer formulation.

Immunohistochemical analysis of paraffin-embedded Mouse cerebrum tissue labelling Brevican with ab285162 at 1/2000 (0.295 ug/ml) followed by a ready to use LeicaDS9800 (Bond™ , Polymer Refine Detection) was used. Positive staining on mouse cerebrum. The section was incubated with ab285162 for 30 mins at room temperature.The immunostaining was performed on a Leica Biosystems BOND® RX instrument Counterstained with Hematoxylin.

Secondary antibody only control : Secondary antibody is a ready to use LeicaDS9800 (Bond™ , Polymer Refine Detection) was used.

Heat mediated antigen retrieval with Tris-EDTA buffer (pH 9.0, epitope retrieval solution2) for 20 mins

Immunohistochemistry (Frozen sections) - Anti-Brevican antibody [EPR25743-59] - BSA and Azide free (AB285169)
  • IHC-Fr

Supplier Data

Immunohistochemistry (Frozen sections) - Anti-Brevican antibody [EPR25743-59] - BSA and Azide free (AB285169)

This data was developed using ab285162, the same antibody clone in a different buffer formulation.

Immunohistochemical analysis of 4% PFA-fixed, 0.2% Triton X-100 permeabilized frozen Mouse cerebrum (fresh) tissue labeling Brevican with ab285162 at 1/100 (19.72 ug/ml) dilution followed by ab150081 Goat Anti-Rabbit IgG H&L (Alexa Fluor® 488) preadsorbed at 1/1000 (2 ug/ml) dilution (Green). Positive staining on mouse cerebrum is observed. The nuclear counterstain was DAPI (Blue).

Secondary antibody control : Secondary antibody is ab150081 Goat Anti-Rabbit IgG H&L (Alexa Fluor® 488) preadsorbedat 1/1000 2 ug/ml dilution.

Immunohistochemistry (Formalin/PFA-fixed paraffin-embedded sections) - Anti-Brevican antibody [EPR25743-59] - BSA and Azide free (AB285169)
  • IHC-P

Supplier Data

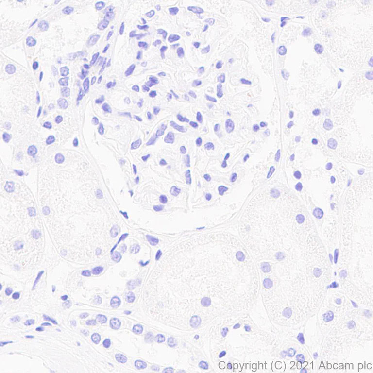
Immunohistochemistry (Formalin/PFA-fixed paraffin-embedded sections) - Anti-Brevican antibody [EPR25743-59] - BSA and Azide free (AB285169)

This data was developed using ab285162, the same antibody clone in a different buffer formulation.

Immunohistochemical analysis of paraffin-embedded Human kidney tissue labelling Brevican with ab285162 at 1/2000 (0.295 ug/ml) followed by a ready to use LeicaDS9800 (Bond™, Polymer Refine Detection) was used. Negative control : No staining on human kidney. The section was incubated with ab285162 for 30 mins at room temperature.The immunostaining was performed on a Leica Biosystems BOND® RX instrument. Counterstained with Hematoxylin.

Secondary antibody only control : Secondary antibody is a ready to use LeicaDS9800 (Bond™, Polymer Refine Detection) was used.

Heat mediated antigen retrieval with Tris-EDTA buffer (pH 9.0, epitope retrieval solution2) for 20 mins

Immunoprecipitation - Anti-Brevican antibody [EPR25743-59] - BSA and Azide free (AB285169)
  • IP

Supplier Data

Immunoprecipitation - Anti-Brevican antibody [EPR25743-59] - BSA and Azide free (AB285169)

This data was developed using ab285162, the same antibody clone in a different buffer formulation.

Brevican was immunoprecipitated from 0.35 mg Mouse brain tissue lysate 10 ug with ab285162 at 1/30 dilution (2ug in 0.35mg lysates). Western blot was performed on the immunoprecipitate using ab285162 at 1/1000 dilution. VeriBlot for IP secondary antibody(HRP)(ab131366) was used at 1/5000 dilution.

Lane 1 : Mouse brain tissue lysate 10 ug

Lane 2 : ab285162 IP in Mouse brain tissue lysate

Lane 3 : Rabbit monoclonal IgG (ab172730) instead of ab285162 in mouse brain tissue lysate

Blocking and dilution buffer and concentration : 5% NFDM/TBST.

Exposure time : 24 seconds

All lanes:

Immunoprecipitation - Anti-Brevican antibody [EPR25743-59] (<a href='/en-us/products/primary-antibodies/brevican-antibody-epr25743-59-ab285162'>ab285162</a>)

Predicted band size: 99 kDa

false

Immunoprecipitation - Anti-Brevican antibody [EPR25743-59] - BSA and Azide free (AB285169)
  • IP

Supplier Data

Immunoprecipitation - Anti-Brevican antibody [EPR25743-59] - BSA and Azide free (AB285169)

This data was developed using ab285162, the same antibody clone in a different buffer formulation.

Brevican was immunoprecipitated from 0.35 mg Human hypothalamus tissue lysate 10 ug with ab285162 at 1/30 dilution (2ug in 0.35mg lysates). Western blot was performed on the immunoprecipitate using ab285162 at 1/1000 dilution. VeriBlot for IP secondary antibody(HRP)(ab131366) was used at 1/5000 dilution.

Lane 1 : Human hypothalamus tissue lysate 10 ug

Lane 2 : ab285162 IP in Human hypothalamus tissue lysate

Lane 3 : Rabbit monoclonal IgG (ab172730) instead of ab285162 in Human hypothalamus tissue lysate

Blocking and dilution buffer and concentration : 5% NFDM/TBST.

Exposure time : 119 seconds

This blot was developed using a higher sensitivity ECL substrate.

All lanes:

Immunoprecipitation - Anti-Brevican antibody [EPR25743-59] (<a href='/en-us/products/primary-antibodies/brevican-antibody-epr25743-59-ab285162'>ab285162</a>)

Predicted band size: 99 kDa

false

Western blot - Anti-Brevican antibody [EPR25743-59] - BSA and Azide free (AB285169)
  • WB

Lab

Western blot - Anti-Brevican antibody [EPR25743-59] - BSA and Azide free (AB285169)

This data was developed using ab285162, the same antibody clone in a different buffer formulation.

Blocking and diluting buffer and concentration : 150-kDa full length and 55-kDa secreted isoform are observed. The MW observed is consistent with what has been described in the literature (PMID : 32559242, PMID : 10801887).

Bands below 55-kDa may due to degradation.

Negative control : heart, kidney, spleen (PMID : 32559242).

This blot was developed using a higher sensitivity ECL substrate.

Exposure time : 3 minutes

All lanes:

Western blot - Anti-Brevican antibody [EPR25743-59] (<a href='/en-us/products/primary-antibodies/brevican-antibody-epr25743-59-ab285162'>ab285162</a>) at 1/1000 dilution

Lane 1:

Mouse brain tissue lysate at 20 µg

Lane 2:

Mouse heart tissue lysate at 20 µg

Lane 3:

Mouse kidney tissue lysate at 20 µg

Lane 4:

Mouse spleen tissue lysate at 20 µg

Secondary

All lanes:

Goat Anti-Rabbit IgG, (H+L), Peroxidase conjugated (<a href='/en-us/products/secondary-antibodies/goat-rabbit-igg-h-l-hrp-ab97051'>ab97051</a>) at 1/20000 dilution

Predicted band size: 99 kDa

false

Western blot - Anti-Brevican antibody [EPR25743-59] - BSA and Azide free (AB285169)
  • WB

Lab

Western blot - Anti-Brevican antibody [EPR25743-59] - BSA and Azide free (AB285169)

This data was developed using ab285162, the same antibody clone in a different buffer formulation.

Blocking and diluting buffer and concentration : 150-kDa full length and 55-kDa secreted isoform are observed. The MW observed is consistent with what has been described in the literature (PMID : 32559242, PMID : 10801887).

Bands below 55-kDa may due to degradation.

Negative control : heart, spleen (PMID : 32559242).

Exposure time : 3 minutes

All lanes:

Western blot - Anti-Brevican antibody [EPR25743-59] (<a href='/en-us/products/primary-antibodies/brevican-antibody-epr25743-59-ab285162'>ab285162</a>) at 1/1000 dilution

Lane 1:

Rat brain tissue lysate at 20 µg

Lane 2:

Rat heart tissue lysate at 20 µg

Lane 3:

Rat spleen tissue lysate at 20 µg

Secondary

All lanes:

Goat Anti-Rabbit IgG, (H+L), Peroxidase conjugated (<a href='/en-us/products/secondary-antibodies/goat-rabbit-igg-h-l-hrp-ab97051'>ab97051</a>) at 1/20000 dilution

Predicted band size: 99 kDa

false

Western blot - Anti-Brevican antibody [EPR25743-59] - BSA and Azide free (AB285169)
  • WB

Lab

Western blot - Anti-Brevican antibody [EPR25743-59] - BSA and Azide free (AB285169)

This data was developed using ab285162, the same antibody clone in a different buffer formulation.

Blocking and diluting buffer and concentration : 150-kDa full length and 55-kDa secreted isoform are observed. The MW observed is consistent with what has been described in the literature (PMID : 32559242, PMID : 10801887).

Bands below 55-kDa may due to degradation.

Negative control : kidney (PMID : 32559242).

This blot was developed using a higher sensitivity ECL substrate.

Exposure time : 136 seconds

All lanes:

Western blot - Anti-Brevican antibody [EPR25743-59] (<a href='/en-us/products/primary-antibodies/brevican-antibody-epr25743-59-ab285162'>ab285162</a>) at 1/1000 dilution

Lane 1:

Human hypothalamus tissue lysate at 20 µg

Lane 2:

Human kidney tissue lysate at 20 µg

Secondary

All lanes:

Western blot - VeriBlot for IP Detection Reagent (HRP) (<a href='/en-us/products/reagents/veriblot-for-ip-detection-reagent-hrp-ab131366'>ab131366</a>) at 1/1000 dilution

Predicted band size: 99 kDa

false

Key facts

Host species

Rabbit

Clonality

Monoclonal

Clone number

EPR25743-59

Isotype

IgG

Carrier free

Yes

Reacts with

Human, Rat, Mouse

Applications

WB, IHC-Fr, IHC-P, IP

applications

Immunogen

The exact immunogen used to generate this antibody is proprietary information.

Reactivity data

{ "title": "Reactivity Data", "filters": { "stats": ["", "Species", "Dilution Info", "Notes"], "tabs": { "all-applications": {"fullname" : "All Applications", "shortname": "All Applications"}, "ICCIF" : {"fullname" : "Immunocytochemistry/ Immunofluorescence", "shortname":"ICC/IF"}, "IP" : {"fullname" : "Immunoprecipitation", "shortname":"IP"}, "WB" : {"fullname" : "Western blot", "shortname":"WB"}, "IHCP" : {"fullname" : "Immunohistochemistry (Formalin/PFA-fixed paraffin-embedded sections)", "shortname":"IHC-P"}, "IHCFr" : {"fullname" : "Immunohistochemistry (Frozen sections)", "shortname":"IHC-Fr"}, "FlowCytIntra" : {"fullname" : "Flow Cytometry (Intracellular)", "shortname":"Flow Cyt (Intra)"} }, "product-promise": { "all": "all", "testedAndGuaranteed": "tested", "guaranteed": "expected", "predicted": "predicted", "notRecommended": "not-recommended" } }, "values": { "Human": { "ICCIF-species-checked": "notRecommended", "ICCIF-species-dilution-info": "", "ICCIF-species-notes": "<p></p>", "IP-species-checked": "testedAndGuaranteed", "IP-species-dilution-info": "", "IP-species-notes": "<p></p>", "WB-species-checked": "testedAndGuaranteed", "WB-species-dilution-info": "", "WB-species-notes": "<p></p>", "IHCP-species-checked": "testedAndGuaranteed", "IHCP-species-dilution-info": "", "IHCP-species-notes": "<p></p>", "IHCFr-species-checked": "guaranteed", "IHCFr-species-dilution-info": "", "IHCFr-species-notes": "", "FlowCytIntra-species-checked": "notRecommended", "FlowCytIntra-species-dilution-info": "", "FlowCytIntra-species-notes": "<p></p>" }, "Mouse": { "ICCIF-species-checked": "notRecommended", "ICCIF-species-dilution-info": "", "ICCIF-species-notes": "<p></p>", "IP-species-checked": "testedAndGuaranteed", "IP-species-dilution-info": "", "IP-species-notes": "<p></p>", "WB-species-checked": "testedAndGuaranteed", "WB-species-dilution-info": "", "WB-species-notes": "<p></p>", "IHCP-species-checked": "testedAndGuaranteed", "IHCP-species-dilution-info": "", "IHCP-species-notes": "<p></p>", "IHCFr-species-checked": "testedAndGuaranteed", "IHCFr-species-dilution-info": "", "IHCFr-species-notes": "<p></p>", "FlowCytIntra-species-checked": "notRecommended", "FlowCytIntra-species-dilution-info": "", "FlowCytIntra-species-notes": "<p></p>" }, "Rat": { "ICCIF-species-checked": "notRecommended", "ICCIF-species-dilution-info": "", "ICCIF-species-notes": "<p></p>", "IP-species-checked": "guaranteed", "IP-species-dilution-info": "", "IP-species-notes": "", "WB-species-checked": "testedAndGuaranteed", "WB-species-dilution-info": "", "WB-species-notes": "<p></p>", "IHCP-species-checked": "testedAndGuaranteed", "IHCP-species-dilution-info": "", "IHCP-species-notes": "<p></p>", "IHCFr-species-checked": "testedAndGuaranteed", "IHCFr-species-dilution-info": "", "IHCFr-species-notes": "<p></p>", "FlowCytIntra-species-checked": "notRecommended", "FlowCytIntra-species-dilution-info": "", "FlowCytIntra-species-notes": "<p></p>" } } }

You may be interested in:

AB315039

Human Brevican ELISA Kit

0

0 Reviews

View product

We recommend this product because it’s often used in the same experiment or related research.

We advise that you always check the datasheet to ensure it fits your experiments, or contact ourtechnical teamfor help.

Product details

ab285169 is the carrier-free version of ab285162.

Patented technology
Our RabMAb® technology is a patented hybridoma-based technology for making rabbit monoclonal antibodies. For details on our patents, please refer to RabMAb® patents.

What are the advantages of a recombinant monoclonal antibody?
This product is a recombinant monoclonal antibody, which offers several advantages including:

  • - High batch-to-batch consistency and reproducibility
  • - Improved sensitivity and specificity
  • - Long-term security of supply
  • - Animal-free batch production

For more information, read more on recombinant antibodies.

Conjugation ready
Our carrier-free antibodies are typically supplied in a PBS-only formulation, purified and free of BSA, sodium azide and glycerol. This conjugation-ready format is designed for use with fluorochromes, metal isotopes, oligonucleotides, and enzymes, which makes them ideal for antibody labelling, functional and cell-based assays, flow-based assays (e.g. mass cytometry) and Multiplex Imaging applications.

Use our conjugation kits for antibody conjugates that are ready-to-use in as little as 20 minutes with 1 minute hands-on-time and 100% antibody recovery: available for fluorescent dyes, HRP, biotin and gold.

Properties and storage information

Form
Liquid
Purification technique
Affinity purification Protein A
Storage buffer
pH: 7.2 - 7.4 Constituents: 100% PBS
Shipped at conditions
Blue Ice
Appropriate short-term storage conditions
+4°C
Appropriate long-term storage conditions
+4°C

Supplementary information

This supplementary information is collated from multiple sources and compiled automatically.

Brevican also known as BEHAB is a prominent extracellular matrix proteoglycan. This molecule with a molecular weight of approximately 145 kDa mainly expresses in the central nervous system. It is found especially in the brain and contributes significantly to neural network organization. Brevican is a major component of perineuronal nets specialized structures that surround neurons and support their functions.
Biological function summary

Brevican regulates cell adhesion migration and axonal guidance. As part of a proteoglycan complex it interacts with other matrix components and cell surface receptors to influence cell signaling. Its modular structure allows it to bind with various molecules which can modulate extracellular matrix composition and neuronal connectivity. This regulation is vital for maintaining synaptic plasticity and brain tissue integrity.

Pathways

Brevican plays an important role in neural development and plasticity. It participates in the extracellular matrix pathway that modulates neuronal-circuit dynamics. This pathway involves interactions with molecules like versican and neurocan which are integral to synaptic stabilization and remodeling. Brevican's interactions within these pathways help coordinate extracellular and intracellular processes that underlie neural network adaptations.

Brevican has strong associations with brain tumors and neurodegenerative diseases. Research indicates its altered expression in gliomas where it may influence tumor growth and cell invasion. Changes in brevican levels also link to Alzheimer's disease where it might affect amyloid plaque formation. In these conditions brevican's interactions with proteins such as tenascin-R and chondroitin sulfate proteoglycans could impact disease progression and cellular responses.

Product protocols

For this product, it's our understanding that no specific protocols are required. You can visit:

Target data

May play a role in the terminally differentiating and the adult nervous system during postnatal development. Could stabilize interactions between hyaluronan (HA) and brain proteoglycans.
See full target information BCAN

Product promise

We are committed to supporting your work with high-quality reagents, and we're here for you every step of the way. In the unlikely event that one of our products does not perform as expected, you're protected by our Product Promise.
For full details, please see our Terms & Conditions

Please note: All products are 'FOR RESEARCH USE ONLY. NOT FOR USE IN DIAGNOSTIC OR THERAPEUTIC PROCEDURES'.

For licensing inquiries, please contact partnerships@abcam.com