JavaScript is disabled in your browser. Please enable JavaScript to view this website.
AB215998

Anti-BRG1 antibody [EPNCIR111A] - BSA and Azide free

  • Recombinant
  • KO Validated
  • Advanced Validation
  • RabMAb
  • What is this?

4

(3 Reviews)

|

(5 Publications)

Rabbit Recombinant Monoclonal BRG1 antibody. Carrier free. Suitable for ChIC/CUT&RUN-seq, IHC-P, ICC/IF, IP, WB, Flow Cyt (Intra) and reacts with Human, Mouse, Rat samples. Cited in 5 publications.

View Alternative Names

BAF190A, BRG1, SNF2B, SNF2L4, SMARCA4, Transcription activator BRG1, ATP-dependent helicase SMARCA4, BRG1-associated factor 190A, Mitotic growth and transcription activator, Protein BRG-1, Protein brahma homolog 1, SNF2-beta, SWI/SNF-related matrix-associated actin-dependent regulator of chromatin subfamily A member 4

13 Images
Flow Cytometry (Intracellular) - Anti-BRG1 antibody [EPNCIR111A] - BSA and Azide free (AB215998)
  • Flow Cyt (Intra)

Lab

Flow Cytometry (Intracellular) - Anti-BRG1 antibody [EPNCIR111A] - BSA and Azide free (AB215998)

This data was developed using the same antibody clone in a different buffer formulation containing PBS, BSA, glycerol, and sodium azide (ab110641).

Flow cytometry overlay histogram showing left wild-type Hap1 positive cells and right negative SMARCA4 knockout Hap1 stained with ab95363 (red line). The cells were fixed with 80% methanol (5 min) and then permeabilised with 0.1% PBS-Triton X-100 for 15 min. The cells were then incubated in 1x PBS containing 10% normal goat serum to block non-specific protein-protein interaction followed by the antibody (ab110641) (1x 106 in 100μl at 0.008 μg/ml (1/266250)) for 30min at 22°C.

The secondary antibody Goat Anti-Rabbit IgG H&L (Alexa Fluor® 488) preadsorbed was incubated at 1/4000 for 30min at 22°C

Isotype control antibody Recombinant Rabbit IgG, monoclonal [EPR25A] - Isotype Control (black line) was used at the same concentration and conditions as the primary antibody. Unlabelled sample was also used as a control (blue line).

Acquisition of >5000 events were collected using a 50 mW Blue laser (488nm) and 525/40 bandpass filter.

Immunocytochemistry/ Immunofluorescence - Anti-BRG1 antibody [EPNCIR111A] - BSA and Azide free (AB215998)
  • ICC/IF

Lab

Immunocytochemistry/ Immunofluorescence - Anti-BRG1 antibody [EPNCIR111A] - BSA and Azide free (AB215998)

ab110641 staining BRG1 in HeLa cells. The cells were fixed with 4% formaldehyde (10min) permeabilized with 0.1% Triton X-100 for 5 minutes and then blocked with 1% BSA/10% normal goat serum/0.3M glycine in 0.1% PBS-Tween for 1h. The cells were then incubated with ab110641 at 1/500 dilution and ab195889 (Mouse monoclonal [DM1A] to alpha Tubulin - Microtubule Marker (Alexa Fluor® 594)) at 1/250 dilution overnight at +4°C followed by a further incubation at room temperature for 1h with ab150081 (Goat polyclonal Secondary Antibody to Rabbit IgG - H&L (Alexa Fluor® 488)) at 2 μg/ml (shown in green). Nuclear DNA was labelled in blue with DAPI.

Image was taken with a confocal microscope (Leica-Microsystems TCS SP8).

This data was developed using the same antibody clone in a different buffer formulation containing PBS, BSA, glycerol, and sodium azide (ab110641).

Immunohistochemistry (Formalin/PFA-fixed paraffin-embedded sections) - Anti-BRG1 antibody [EPNCIR111A] - BSA and Azide free (AB215998)
  • IHC-P

Unknown

Immunohistochemistry (Formalin/PFA-fixed paraffin-embedded sections) - Anti-BRG1 antibody [EPNCIR111A] - BSA and Azide free (AB215998)

This IHC data was generated using the same anti-BRG1 antibody clone, EPNCIR111A, in a different buffer formulation (ab110641).
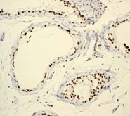
Immunohistochemical analysis of paraffin-embedded human testis tissue staining BRG1 with ab110641 at 1/100 dilution. Heat mediated antigen retrieval was perfomed with citrate buffer (pH 6).

Immunocytochemistry/ Immunofluorescence - Anti-BRG1 antibody [EPNCIR111A] - BSA and Azide free (AB215998)
  • ICC/IF

Lab

Immunocytochemistry/ Immunofluorescence - Anti-BRG1 antibody [EPNCIR111A] - BSA and Azide free (AB215998)

Clone EPNCIR111A (ab215998) has been successfully conjugated by Abcam. This image was generated using Anti-BRG1 antibody [EPNCIR111A] (Alexa Fluor® 647). Please refer to ab196535 for protocol details.

ab196535 staining BRG1 in SW480 cells. The cells were fixed with 100% methanol (5 min), permeabilized with 0.1% Triton X-100 for 5 minutes and then blocked with 1% BSA/10% normal goat serum/0.3M glycine in 0.1% PBS-Tween for 1h. The cells were then incubated overnight at +4°C with ab196535 at a 1/100 dilution (shown in red) and ab195887, Mouse monoclonal to alpha Tubulin (Alexa Fluor® 488), at a 1/250 dilution (shown in green). Nuclear DNA was labelled with DAPI (shown in blue).

Image was taken with a confocal microscope (Leica-Microsystems, TCS SP8).

Immunohistochemistry (Formalin/PFA-fixed paraffin-embedded sections) - Anti-BRG1 antibody [EPNCIR111A] - BSA and Azide free (AB215998)
  • IHC-P

Unknown

Immunohistochemistry (Formalin/PFA-fixed paraffin-embedded sections) - Anti-BRG1 antibody [EPNCIR111A] - BSA and Azide free (AB215998)

ab110641 at 1/100 dilution staining BRG1 in Human kidney tissue by Immunohistochemistry, Paraffin-embedded tissue.

This data was developed using the same antibody clone in a different buffer formulation containing PBS, BSA, glycerol, and sodium azide (ab110641).

Perform heat mediated antigen retrieval before commencing with IHC staining protocol.

Immunocytochemistry/ Immunofluorescence - Anti-BRG1 antibody [EPNCIR111A] - BSA and Azide free (AB215998)
  • ICC/IF

Lab

Immunocytochemistry/ Immunofluorescence - Anti-BRG1 antibody [EPNCIR111A] - BSA and Azide free (AB215998)

Clone EPNCIR111A (ab215998) has been successfully conjugated by Abcam. This image was generated using Anti-BRG1 antibody [EPNCIR111A] (Alexa Fluor® 488). Please refer to ab196314 for protocol details.

ab196314 staining BRG1 in wild-type HAP1 cells (top panel) and BRG1 knockout HAP1 cells (bottom panel). The cells were fixed with 4% formaldehyde (10min), permeabilized with 0.1% Triton X-100 for 5 minutes and then blocked with 1% BSA/10% normal goat serum/0.3M glycine in 0.1% PBS-Tween for 1h. The cells were then incubated overnight at +4°C with ab196314 at a 1/500 dilution (shown in green) and ab195889, Mouse monoclonal to alpha Tubulin (Alexa Fluor® 594), at a 1/250 dilution (shown in red). Nuclear DNA was labelled with DAPI (shown in blue).

Image was taken with a confocal microscope (Leica-Microsystems, TCS SP8).

Flow Cytometry (Intracellular) - Anti-BRG1 antibody [EPNCIR111A] - BSA and Azide free (AB215998)
  • Flow Cyt (Intra)

Unknown

Flow Cytometry (Intracellular) - Anti-BRG1 antibody [EPNCIR111A] - BSA and Azide free (AB215998)

Clone EPNCIR111A (ab215998) has been successfully conjugated by Abcam. This image was generated using Anti-BRG1 antibody [EPNCIR111A] (PE). Please refer to ab225124 for protocol details.

Overlay histogram showing HeLa cells stained with ab225124 (red line). The cells were fixed with 4% formaldehyde (10 min) and then permeabilized with 0.1% PBS-Triton X-100 for 15 min. The cells were then incubated in 1x PBS / 10% normal goat serum to block non-specific protein-protein interactions followed by the antibody (ab225124, 1/500 dilution) for 30 min at 22°C.

Isotype control antibody (black line) was Rabbit IgG (monoclonal) Phycoerythrin (ab209478) used at the same concentration and conditions as the primary antibody. Unlabelled sample (blue line) was also used as a control.

Acquisition of >5,000 events were collected using a 50 mW Yellow/Green laser (561nm) and 586/15 bandpass filter.

Flow Cytometry (Intracellular) - Anti-BRG1 antibody [EPNCIR111A] - BSA and Azide free (AB215998)
  • Flow Cyt (Intra)

Lab

Flow Cytometry (Intracellular) - Anti-BRG1 antibody [EPNCIR111A] - BSA and Azide free (AB215998)

Intracellular Flow Cytometry analysis of HeLa (human cervix adenocarcinoma) cells labeling BRG1 with purified ab110641 at 1/200 dilution (10μg/ml) (red). Cells were fixed with 4% paraformaldehyde and permeabilised with 90% methanol. A Goat anti rabbit IgG (Alexa Fluorr® 488) (1/2000 dilution) was used as the secondary antibody. Rabbit monoclonal IgG (Black) was used as the isotype control cells without incubation with primary antibody and secondary antibody (Blue) were used as the unlabeled control.

This data was developed using the same antibody clone in a different buffer formulation containing PBS, BSA, glycerol, and sodium azide (ab110641).

Immunocytochemistry/ Immunofluorescence - Anti-BRG1 antibody [EPNCIR111A] - BSA and Azide free (AB215998)
  • ICC/IF

Lab

Immunocytochemistry/ Immunofluorescence - Anti-BRG1 antibody [EPNCIR111A] - BSA and Azide free (AB215998)

This ICC/IF data was generated using the same anti-BRG1 antibody clone, EPNCIR111A, in a different buffer formulation (cat# ab110641).

ab110641 staining BRG1 in wild-type HAP1 cells (top panel) and BRG1 knockout HAP1 cells (bottom panel). The cells were fixed with 4% formaldehyde (10min), permeabilized with 0.1% Triton X-100 for 5 minutes and then blocked with 1% BSA/10% normal goat serum/0.3M glycine in 0.1% PBS-Tween for 1h. The cells were then incubated with ab110641 at 1/500 dilution and ab195889 at 1/250 dilution (shown in pseudocolour red) overnight at +4°C, followed by a further incubation at room temperature for 1h with a goat secondary antibody to Rabbit IgG (Alexa Fluor® 488) (ab150081) at 2 μg/ml (shown in green). Nuclear DNA was labelled in blue with DAPI.

Image was taken with a confocal microscope (Leica-Microsystems, TCS SP8).

Western blot - Anti-BRG1 antibody [EPNCIR111A] - BSA and Azide free (AB215998)
  • WB

Lab

Western blot - Anti-BRG1 antibody [EPNCIR111A] - BSA and Azide free (AB215998)

This data was developed using the same antibody clone in a different buffer formulation (ab110641).

Lanes 1- 2 : Merged signal (red and green). Green - ab110641 observed at 185 kDa. Red - Anti-alpha Tubulin antibody [DM1A] - Loading Control (ab7291) observed at 50 kDa.

ab110641 was shown to react with SMARCA4 in wild-type HEK-293T cells in western blot. Loss of signal was observed when knockout cell line ab255432 (knockout cell lysate ab263853) was used. Wild-type HEK-293T and SMARCA4 knockout HEK-293T cell lysates were subjected to SDS-PAGE. Membrane was blocked for 1 hour at room temperature in 0.1% TBST with 3% non-fat dried milk. ab110641 and Anti-alpha Tubulin antibody [DM1A] - Loading Control (ab7291) overnight at 4°C at a 1 in 10000 dilution and a 1 in 20000 dilution respectively. Blots were developed with Goat anti-Rabbit IgG H&L (IRDye®800CW) preadsorbed (ab216773) and Goat anti-Mouse IgG H&L (IRDye®680RD) preadsorbed (ab216776) secondary antibodies at 1 in 20000 dilution for 1 hour at room temperature before imaging.

All lanes:

Western blot - Anti-BRG1 antibody [EPNCIR111A] (<a href='/en-us/products/primary-antibodies/brg1-antibody-epncir111a-ab110641'>ab110641</a>) at 1/10000 dilution

Lane 1:

Wild-type HEK-293T cell lysate at 20 µg

Lane 2:

SMARCA4 knockout HEK-293T cell lysate at 20 µg

Lane 2:

Western blot - Human SMARCA4 (BRG1) knockout HEK-293T cell line (<a href='/en-us/products/cell-lines/human-smarca4-brg1-knockout-hek-293t-cell-line-ab255432'>ab255432</a>)

Predicted band size: 185 kDa

Observed band size: 185 kDa

false

Western blot - Anti-BRG1 antibody [EPNCIR111A] - BSA and Azide free (AB215998)
  • WB

Lab

Western blot - Anti-BRG1 antibody [EPNCIR111A] - BSA and Azide free (AB215998)

This data was developed using ab110641, the same antibody clone in a different buffer formulation. Different batches of ab110641 were tested on HeLa (Human cervix adenocarcinoma epithelial cell) lysate at 0.5 µg/ml. 15 µg of lysate was loaded in each lane. Bands observed at 185 kDa.

All lanes:

Western blot - Anti-BRG1 antibody [EPNCIR111A] (<a href='/en-us/products/primary-antibodies/brg1-antibody-epncir111a-ab110641'>ab110641</a>)

Predicted band size: 185 kDa

false

Western blot - Anti-BRG1 antibody [EPNCIR111A] - BSA and Azide free (AB215998)
  • WB

Lab

Western blot - Anti-BRG1 antibody [EPNCIR111A] - BSA and Azide free (AB215998)

False colour image of Western blot : Anti-BRG1 antibody [EPNCIR111A] staining at 1/1000 dilution, shown in green; Mouse anti-Alpha Tubulin [DM1A] (ab7291) loading control staining at 1/20000 dilution, shown in red. In Western blot, ab110641 was shown to bind specifically to BRG1. A band was observed at 185 kDa in wild-type HEK-293T cell lysates with no signal observed at this size in SMARCA4 knockout cell line ab255432 (knockout cell lysate ab263853). To generate this image, wild-type and SMARCA4 knockout HEK-293T cell lysates were analysed. First, samples were run on an SDS-PAGE gel then transferred onto a nitrocellulose membrane. Membranes were blocked in 3 % milk in TBS-0.1 % Tween® 20 (TBS-T) before incubation with primary antibodies overnight at 4 °C. Blots were washed four times in TBS-T, incubated with secondary antibodies for 1 h at room temperature, washed again four times then imaged. Secondary antibodies used were Goat anti-Rabbit IgG H&L (IRDye® 800CW) preabsorbed (ab216773) and Goat anti-Mouse IgG H&L (IRDye® 680RD) preabsorbed (ab216776) at 1/20000 dilution.

Lane 1:

Wild-type HEK-293T cell lysate at 20 µg

Lane 2:

SMARCA4 knockout HEK-293T cell lysate at 20 µg

Predicted band size: 185 kDa

Observed band size: 185 kDa

false

ChIC/CUT&RUN sequencing - Anti-BRG1 antibody [EPNCIR111A] - BSA and Azide free (AB215998)
  • ChIC/CUT&RUN-seq

Supplier Data

ChIC/CUT&RUN sequencing - Anti-BRG1 antibody [EPNCIR111A] - BSA and Azide free (AB215998)

ChIC/CUT&RUN was performed using a pAG-MNAse at a final concentration of 700 ng/mL, 2.5 x 10^5 HeLa (Human cervix adenocarcinoma epithelial cell line) cells and 5µg of ab110641 [EPNCIR111A]. The resulting DNA was sequenced on the Illumina NovaSeq 6000 to a depth of 10 million reads. The negative IgG control ab172730 is also shown. Additional screenshots of mapped reads can be found in the Protocol booklet in the Product Protocol section. The University of Geneva owns patents relevant to ChIC (Chromatin Immuno-Cleavage) methods. This data was developed using the same antibody clone in a different buffer formulation containing PBS, BSA, glycerol, and sodium azide (ab110641).

  • Unconjugated

    Anti-BRG1 antibody [EPNCIR111A]

  • 519 Alexa Fluor® 488

    Alexa Fluor® 488 Anti-BRG1 antibody [EPNCIR111A]

  • HRP

    HRP Anti-BRG1 antibody [EPNCIR111A]

  • 617 Alexa Fluor® 594

    Alexa Fluor® 594 Anti-BRG1 antibody [EPNCIR111A]

  • 665 Alexa Fluor® 647

    Alexa Fluor® 647 Anti-BRG1 antibody [EPNCIR111A]

  • 578 PE

    PE Anti-BRG1 antibody [EPNCIR111A]

  • 660 APC

    APC Anti-BRG1 antibody [EPNCIR111A]

Key facts

Host species

Rabbit

Clonality

Monoclonal

Clone number

EPNCIR111A

Isotype

IgG

Carrier free

Yes

Reacts with

Mouse, Rat, Human

Applications

ChIC/CUT&RUN-seq, Flow Cyt (Intra), IHC-P, WB, ICC/IF, IP

applications

Immunogen

The exact immunogen used to generate this antibody is proprietary information.

Reactivity data

{ "title": "Reactivity Data", "filters": { "stats": ["", "Species", "Dilution Info", "Notes"], "tabs": { "all-applications": {"fullname" : "All Applications", "shortname": "All Applications"}, "ChICCUTRUNseq" : {"fullname" : "ChIC/CUT&RUN sequencing", "shortname":"ChIC/CUT&RUN-seq"}, "IHCP" : {"fullname" : "Immunohistochemistry (Formalin/PFA-fixed paraffin-embedded sections)", "shortname":"IHC-P"}, "ICCIF" : {"fullname" : "Immunocytochemistry/ Immunofluorescence", "shortname":"ICC/IF"}, "IP" : {"fullname" : "Immunoprecipitation", "shortname":"IP"}, "WB" : {"fullname" : "Western blot", "shortname":"WB"}, "FlowCytIntra" : {"fullname" : "Flow Cytometry (Intracellular)", "shortname":"Flow Cyt (Intra)"} }, "product-promise": { "all": "all", "testedAndGuaranteed": "tested", "guaranteed": "expected", "predicted": "predicted", "notRecommended": "not-recommended" } }, "values": { "Human": { "ChICCUTRUNseq-species-checked": "testedAndGuaranteed", "ChICCUTRUNseq-species-dilution-info": "", "ChICCUTRUNseq-species-notes": "<p></p>", "IHCP-species-checked": "testedAndGuaranteed", "IHCP-species-dilution-info": "", "IHCP-species-notes": "<p>Heat up to 98°C, below boiling, and then let cool for 10-20 min.</p>", "ICCIF-species-checked": "testedAndGuaranteed", "ICCIF-species-dilution-info": "", "ICCIF-species-notes": "<p></p>", "IP-species-checked": "testedAndGuaranteed", "IP-species-dilution-info": "", "IP-species-notes": "<p></p>", "WB-species-checked": "testedAndGuaranteed", "WB-species-dilution-info": "", "WB-species-notes": "<p></p>", "FlowCytIntra-species-checked": "testedAndGuaranteed", "FlowCytIntra-species-dilution-info": "", "FlowCytIntra-species-notes": "<p></p>" }, "Mouse": { "ChICCUTRUNseq-species-checked": "guaranteed", "ChICCUTRUNseq-species-dilution-info": "", "ChICCUTRUNseq-species-notes": "", "IHCP-species-checked": "testedAndGuaranteed", "IHCP-species-dilution-info": "", "IHCP-species-notes": "<p>Heat up to 98°C, below boiling, and then let cool for 10-20 min.</p>", "ICCIF-species-checked": "guaranteed", "ICCIF-species-dilution-info": "", "ICCIF-species-notes": "", "IP-species-checked": "guaranteed", "IP-species-dilution-info": "", "IP-species-notes": "", "WB-species-checked": "testedAndGuaranteed", "WB-species-dilution-info": "", "WB-species-notes": "<p></p>", "FlowCytIntra-species-checked": "guaranteed", "FlowCytIntra-species-dilution-info": "", "FlowCytIntra-species-notes": "" }, "Rat": { "ChICCUTRUNseq-species-checked": "guaranteed", "ChICCUTRUNseq-species-dilution-info": "", "ChICCUTRUNseq-species-notes": "", "IHCP-species-checked": "testedAndGuaranteed", "IHCP-species-dilution-info": "", "IHCP-species-notes": "<p>Heat up to 98°C, below boiling, and then let cool for 10-20 min.</p>", "ICCIF-species-checked": "guaranteed", "ICCIF-species-dilution-info": "", "ICCIF-species-notes": "", "IP-species-checked": "guaranteed", "IP-species-dilution-info": "", "IP-species-notes": "", "WB-species-checked": "testedAndGuaranteed", "WB-species-dilution-info": "", "WB-species-notes": "<p></p>", "FlowCytIntra-species-checked": "guaranteed", "FlowCytIntra-species-dilution-info": "", "FlowCytIntra-species-notes": "" } } }

Product details

ab215998 is the carrier-free version of ab110641.

Patented technology
Our RabMAb® technology is a patented hybridoma-based technology for making rabbit monoclonal antibodies. For details on our patents, please refer to RabMAb® patents.

Collaborations
This antibody was developed as part of a collaboration between Epitomics, the National Cancer Institute's Center for Cancer Research and the lab of Gordon Hager.

What are the advantages of a recombinant monoclonal antibody?
This product is a recombinant monoclonal antibody, which offers several advantages including:

  • - High batch-to-batch consistency and reproducibility
  • - Improved sensitivity and specificity
  • - Long-term security of supply
  • - Animal-free batch production

For more information, read more on recombinant antibodies.

Conjugation ready
Our carrier-free antibodies are typically supplied in a PBS-only formulation, purified and free of BSA, sodium azide and glycerol. This conjugation-ready format is designed for use with fluorochromes, metal isotopes, oligonucleotides, and enzymes, which makes them ideal for antibody labelling, functional and cell-based assays, flow-based assays (e.g. mass cytometry) and Multiplex Imaging applications.

Use our conjugation kits for antibody conjugates that are ready-to-use in as little as 20 minutes with 1 minute hands-on-time and 100% antibody recovery: available for fluorescent dyes, HRP, biotin and gold.

Compatibility
This product is compatible with the Maxpar® Antibody Labeling Kit from Fluidigm, without the need for antibody preparation. Maxpar® is a trademark of Fluidigm Canada Inc.

Properties and storage information

Form
Liquid
Purification technique
Affinity purification Protein A
Storage buffer
pH: 7.2 - 7.4 Constituents: PBS
Shipped at conditions
Blue Ice
Appropriate short-term storage conditions
+4°C
Appropriate long-term storage conditions
+4°C
Storage information
Do Not Freeze

Product protocols

For this product, it's our understanding that no specific protocols are required. You can visit:

Target data

Involved in transcriptional activation and repression of select genes by chromatin remodeling (alteration of DNA-nucleosome topology). Component of SWI/SNF chromatin remodeling complexes that carry out key enzymatic activities, changing chromatin structure by altering DNA-histone contacts within a nucleosome in an ATP-dependent manner. Component of the CREST-BRG1 complex, a multiprotein complex that regulates promoter activation by orchestrating the calcium-dependent release of a repressor complex and the recruitment of an activator complex. In resting neurons, transcription of the c-FOS promoter is inhibited by SMARCA4-dependent recruitment of a phospho-RB1-HDAC repressor complex. Upon calcium influx, RB1 is dephosphorylated by calcineurin, which leads to release of the repressor complex. At the same time, there is increased recruitment of CREBBP to the promoter by a CREST-dependent mechanism, which leads to transcriptional activation. The CREST-BRG1 complex also binds to the NR2B promoter, and activity-dependent induction of NR2B expression involves the release of HDAC1 and recruitment of CREBBP. Belongs to the neural progenitors-specific chromatin remodeling complex (npBAF complex) and the neuron-specific chromatin remodeling complex (nBAF complex). During neural development, a switch from a stem/progenitor to a postmitotic chromatin remodeling mechanism occurs as neurons exit the cell cycle and become committed to their adult state. The transition from proliferating neural stem/progenitor cells to postmitotic neurons requires a switch in subunit composition of the npBAF and nBAF complexes. As neural progenitors exit mitosis and differentiate into neurons, npBAF complexes which contain ACTL6A/BAF53A and PHF10/BAF45A, are exchanged for homologous alternative ACTL6B/BAF53B and DPF1/BAF45B or DPF3/BAF45C subunits in neuron-specific complexes (nBAF). The npBAF complex is essential for the self-renewal/proliferative capacity of the multipotent neural stem cells. The nBAF complex along with CREST plays a role regulating the activity of genes essential for dendrite growth. SMARCA4/BAF190A may promote neural stem cell self-renewal/proliferation by enhancing Notch-dependent proliferative signals, while concurrently making the neural stem cell insensitive to SHH-dependent differentiating cues (By similarity). Acts as a corepressor of ZEB1 to regulate E-cadherin transcription and is required for induction of epithelial-mesenchymal transition (EMT) by ZEB1. Binds via DLX1 to enhancers located in the intergenic region between DLX5 and DLX6 and this binding is stabilized by the long non-coding RNA (lncRNA) Evf2 (By similarity). Binds to RNA in a promiscuous manner (By similarity). Binding to RNAs including lncRNA Evf2 leads to inhibition of SMARCA4 ATPase and chromatin remodeling activities (By similarity). In brown adipose tissue, involved in the regulation of thermogenic genes expression (By similarity).
See full target information SMARCA4

Publications (5)

Recent publications for all applications. Explore the full list and refine your search

Mucosal immunology 14:38-52 PubMed32612160

2020

Brg1 restrains the pro-inflammatory properties of ILC3s and modulates intestinal immunity.

Applications

Unspecified application

Species

Unspecified reactive species

Xinyi Qi,Jinxin Qiu,Jiali Chang,Yan Ji,Qi Yang,Guoliang Cui,Liming Sun,Qian Chai,Jun Qin,Ju Qiu

Orphanet journal of rare diseases 9:126 PubMed25103190

2014

In vitro and in vivo therapeutic approach for a small cell carcinoma of the ovary hypercalcaemic type using a SCCOHT-1 cellular model.

Applications

WB

Species

Human

Anna Otte,Finn Rauprich,Peter Hillemanns,Tjoung-Won Park-Simon,Juliane von der Ohe,Ralf Hass

Development (Cambridge, England) 141:3378-87 PubMed25078649

2014

myomiR-dependent switching of BAF60 variant incorporation into Brg1 chromatin remodeling complexes during embryo myogenesis.

Applications

WB

Species

Mouse

Katarzyna Goljanek-Whysall,Gi Fay Mok,Abdulmajeed Fahad Alrefaei,Niki Kennerley,Grant N Wheeler,Andrea Münsterberg

Nature genetics 46:427-9 PubMed24658001

2014

Small cell carcinoma of the ovary, hypercalcemic type, displays frequent inactivating germline and somatic mutations in SMARCA4.

Applications

Unspecified application

Species

Human

Pilar Ramos,Anthony N Karnezis,David W Craig,Aleksandar Sekulic,Megan L Russell,William P D Hendricks,Jason J Corneveaux,Michael T Barrett,Karey Shumansky,Yidong Yang,Sohrab P Shah,Leah M Prentice,Marco A Marra,Jeffrey Kiefer,Victoria L Zismann,Troy A McEachron,Bodour Salhia,Jaime Prat,Emanuela D'Angelo,Blaise A Clarke,Joseph G Pressey,John H Farley,Stephen P Anthony,Richard B S Roden,Heather E Cunliffe,David G Huntsman,Jeffrey M Trent

Molecular and cellular biology 34:939-54 PubMed24379442

2014

Peroxisome proliferator-activated receptor γ and C/EBPα synergistically activate key metabolic adipocyte genes by assisted loading.

Applications

ChIP

Species

Unspecified reactive species

Maria Stahl Madsen,Rasmus Siersbæk,Michael Boergesen,Ronni Nielsen,Susanne Mandrup
View all publications
chicCutRunSequencingBooklet
en

Product promise

We are committed to supporting your work with high-quality reagents, and we're here for you every step of the way. In the unlikely event that one of our products does not perform as expected, you're protected by our Product Promise.
For full details, please see our Terms & Conditions

Please note: All products are 'FOR RESEARCH USE ONLY. NOT FOR USE IN DIAGNOSTIC OR THERAPEUTIC PROCEDURES'.

For licensing inquiries, please contact partnerships@abcam.com