JavaScript is disabled in your browser. Please enable JavaScript to view this website.
AB233392

Anti-Brk/PTK6 antibody [EPR21051-96]

Be the first to review this product! Submit a review

|

(3 Publications)

Rabbit Recombinant Monoclonal Brk/PTK6 antibody. Suitable for IP, WB, Flow Cyt (Intra), IHC-P and reacts with Human samples. Cited in 3 publications.

View Alternative Names

BRK, PTK6, Protein-tyrosine kinase 6, Breast tumor kinase, Tyrosine-protein kinase BRK

5 Images
Western blot - Anti-Brk/PTK6 antibody [EPR21051-96] (AB233392)
  • WB

Supplier Data

Western blot - Anti-Brk/PTK6 antibody [EPR21051-96] (AB233392)

Exposure time : Lane 1 : 15 seconds; Lane 2-6 : 3 minutes.

Blocking/Dilution buffer : 5% NFDM/TBST.

All lanes:

Western blot - Anti-Brk/PTK6 antibody [EPR21051-96] (ab233392) at 1/1000 dilution

Lane 1:

T-47D (human ductal breast epithelial tumor cell line) whole cell lysate at 20 µg

Lane 2:

MCF7 (human breast adenocarcinoma cell line) whole cell lysate at 20 µg

Lane 3:

HT-29 (human colorectal adenocarcinoma cell line) whole cell lysate at 20 µg

Lane 4:

PC-3 (human prostate adenocarcinoma cell line) whole cell lysate at 20 µg

Lane 5:

Human skin lysate at 20 µg

Lane 6:

Human breast cancer lysate at 20 µg

Secondary

All lanes:

Western blot - Goat Anti-Rabbit IgG H&L (HRP) (<a href='/en-us/products/secondary-antibodies/goat-rabbit-igg-h-l-hrp-ab97051'>ab97051</a>) at 1/100000 dilution

Predicted band size: 52 kDa

Observed band size: 48 kDa

true

Flow Cytometry (Intracellular) - Anti-Brk/PTK6 antibody [EPR21051-96] (AB233392)
  • Flow Cyt (Intra)

Supplier Data

Flow Cytometry (Intracellular) - Anti-Brk/PTK6 antibody [EPR21051-96] (AB233392)

Intracellular flow cytometric analysis of 4% paraformaldehyde-fixed, 90% methanol-permeabilized T-47D (human ductal breast epithelial tumor cell line) cell line labeling Brk/PTK6 with ab233392 at 1/600 dilution (red) compared with a Rabbit IgG, monoclonal [EPR25A] - Isotype Control (ab172730) (black) and an unlabeled control (cells without incubation with primary antibody and secondary antibody) (blue). Goat Anti-Rabbit IgG H&L (Alexa Fluor® 488) (ab150077) at 1/2000 dilution was used as the secondary antibody.

Immunohistochemistry (Formalin/PFA-fixed paraffin-embedded sections) - Anti-Brk/PTK6 antibody [EPR21051-96] (AB233392)
  • IHC-P

Supplier Data

Immunohistochemistry (Formalin/PFA-fixed paraffin-embedded sections) - Anti-Brk/PTK6 antibody [EPR21051-96] (AB233392)

Immunohistochemical analysis of paraffin-embedded human colon tissue labeling Brk/PTK6 with ab233392 at 1/500 dilution, followed by a ready to use Goat Anti-Rabbit IgG H&L (HRP). Cytoplasmic and nuclear staining in surface epithelium of human colon (PMID : 10430081) is observed. Counter stained with hematoxylin.

Secondary antibody only control : Used PBS instead of primary antibody, secondary antibody is a ready to use Goat Anti-Rabbit IgG H&L (HRP).

Perform heat mediated antigen retrieval using ab93684 (Tris/EDTA buffer, pH 9.0).

Immunohistochemistry (Formalin/PFA-fixed paraffin-embedded sections) - Anti-Brk/PTK6 antibody [EPR21051-96] (AB233392)
  • IHC-P

Supplier Data

Immunohistochemistry (Formalin/PFA-fixed paraffin-embedded sections) - Anti-Brk/PTK6 antibody [EPR21051-96] (AB233392)

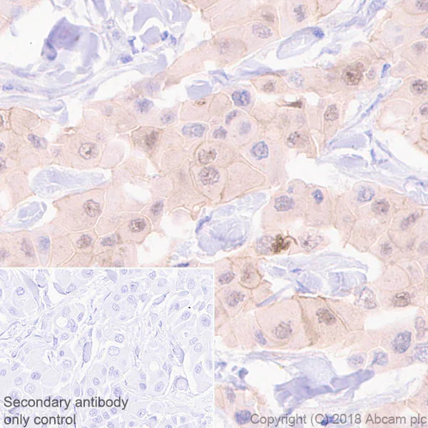
Immunohistochemical analysis of paraffin-embedded human breast cancer tissue labeling Brk/PTK6 with ab233392 at 1/500 dilution, followed by a ready to use Goat Anti-Rabbit IgG H&L (HRP). Cytoplasmic and nuclear staining in and membranous staining on human breast cancer cells is observed. Counter stained with hematoxylin.

Secondary antibody only control : Used PBS instead of primary antibody, secondary antibody is a ready to use Goat Anti-Rabbit IgG H&L (HRP).

Perform heat mediated antigen retrieval using ab93684 (Tris/EDTA buffer, pH 9.0).

Immunoprecipitation - Anti-Brk/PTK6 antibody [EPR21051-96] (AB233392)
  • IP

Supplier Data

Immunoprecipitation - Anti-Brk/PTK6 antibody [EPR21051-96] (AB233392)

Brk/PTK6 was immunoprecipitated from 0.35 mg of T-47D (human ductal breast epithelial tumor cell line) whole cell lysate with ab233392 at 1/30 dilution. Western blot was performed from the immunoprecipitate using ab233392 at 1/1000 dilution. VeriBlot for IP Detection Reagent (HRP) (ab131366), was used for detection at 1/5000 dilution.

Lane 1 : T-47D whole cell lysate 10 μg (Input).

Lane 2 : ab233392 IP in T-47D whole cell lysate.

Lane 3 : Rabbit monoclonal IgG (ab172730) instead of ab233392 in T-47D whole cell lysate.

Blocking and dilution buffer and concentration : 5% NFDM/TBST.

Exposure time : 3 minutes.

IgG heavy chain : PMID : 18781181

All lanes:

Immunoprecipitation - Anti-Brk/PTK6 antibody [EPR21051-96] (ab233392)

Predicted band size: 52 kDa

false

  • Carrier free

    Anti-Brk/PTK6 antibody [EPR21051-96] - BSA and Azide free

Key facts

Host species

Rabbit

Clonality

Monoclonal

Clone number

EPR21051-96

Isotype

IgG

Carrier free

No

Reacts with

Human

Applications

Flow Cyt (Intra), IHC-P, WB, IP

applications

Immunogen

The exact immunogen used to generate this antibody is proprietary information.

Reactivity data

{ "title": "Reactivity Data", "filters": { "stats": ["", "Species", "Dilution Info", "Notes"], "tabs": { "all-applications": {"fullname" : "All Applications", "shortname": "All Applications"}, "IP" : {"fullname" : "Immunoprecipitation", "shortname":"IP"}, "WB" : {"fullname" : "Western blot", "shortname":"WB"}, "FlowCytIntra" : {"fullname" : "Flow Cytometry (Intracellular)", "shortname":"Flow Cyt (Intra)"}, "IHCP" : {"fullname" : "Immunohistochemistry (Formalin/PFA-fixed paraffin-embedded sections)", "shortname":"IHC-P"} }, "product-promise": { "all": "all", "testedAndGuaranteed": "tested", "guaranteed": "expected", "predicted": "predicted", "notRecommended": "not-recommended" } }, "values": { "Human": { "IP-species-checked": "testedAndGuaranteed", "IP-species-dilution-info": "1/30", "IP-species-notes": "<p></p>", "WB-species-checked": "testedAndGuaranteed", "WB-species-dilution-info": "1/1000", "WB-species-notes": "<p></p>", "FlowCytIntra-species-checked": "testedAndGuaranteed", "FlowCytIntra-species-dilution-info": "1/600", "FlowCytIntra-species-notes": "<p></p>", "IHCP-species-checked": "testedAndGuaranteed", "IHCP-species-dilution-info": "1/500", "IHCP-species-notes": "<p></p> Perform heat-mediated antigen retrieval with Tris/EDTA buffer pH 9.0 before commencing with IHC staining protocol." } } }

Product details

Properties and storage information

Form
Liquid
Purification technique
Affinity purification Protein A
Storage buffer
pH: 7.2 - 7.4 Preservative: 0.01% Sodium azide Constituents: PBS, 40% Glycerol (glycerin, glycerine), 0.05% BSA
Shipped at conditions
Blue Ice
Appropriate short-term storage duration
1-2 weeks
Appropriate short-term storage conditions
+4°C
Appropriate long-term storage conditions
-20°C
Aliquoting information
Upon delivery aliquot
Storage information
Avoid freeze / thaw cycle

Supplementary information

This supplementary information is collated from multiple sources and compiled automatically.

Brk known also as PTK6 is a non-receptor tyrosine kinase. Its molecular mass is approximately 52 kDa. PTK6 is expressed in various tissues with higher levels found in epithelial tissues such as breast skin and gastrointestinal tissues. Mechanically PTK6 phosphorylates different substrates affecting their function and participating in signal transduction. It acts intracellularly influencing cellular processes like proliferation differentiation and migration.
Biological function summary

PTK6 plays a role in cellular signaling systems influencing growth and survival. It does not belong to a large protein complex but often interacts with several downstream proteins to exert its effects. PTK6 modulates pathways in normal epithelial tissue development and homeostasis. In addition it regulates functions like apoptosis and motility significant for tissue maintenance and repair.

Pathways

PTK6 relates to key signaling cascades such as the MAPK and PI3K-Akt pathways. Within these pathways PTK6 is often associated with proteins like ERK1/2 and Akt which are important for cell survival and growth regulation. PTK6 can activate or inhibit these pathways influencing the cellular response to various stimuli and sometimes altering processes like cell cycle progression.

PTK6 has been implicated in the development and progression of certain cancers such as breast and prostate cancer. Elevated PTK6 expression levels have been linked to poor prognosis in these cancers where it appears to enhance tumor cell proliferation and invasion. The kinase interacts with proteins like HER2 and EGFR which are also involved in these cancers potentially affecting therapeutic responses and resistance to treatments.

Product protocols

For this product, it's our understanding that no specific protocols are required. You can visit:

Target data

Non-receptor tyrosine-protein kinase implicated in the regulation of a variety of signaling pathways that control the differentiation and maintenance of normal epithelia, as well as tumor growth. Function seems to be context dependent and differ depending on cell type, as well as its intracellular localization. A number of potential nuclear and cytoplasmic substrates have been identified. These include the RNA-binding proteins : KHDRBS1/SAM68, KHDRBS2/SLM1, KHDRBS3/SLM2 and SFPQ/PSF; transcription factors : STAT3 and STAT5A/B and a variety of signaling molecules : ARHGAP35/p190RhoGAP, PXN/paxillin, BTK/ATK, STAP2/BKS. Associates also with a variety of proteins that are likely upstream of PTK6 in various signaling pathways, or for which PTK6 may play an adapter-like role. These proteins include ADAM15, EGFR, ERBB2, ERBB3 and IRS4. In normal or non-tumorigenic tissues, PTK6 promotes cellular differentiation and apoptosis. In tumors PTK6 contributes to cancer progression by sensitizing cells to mitogenic signals and enhancing proliferation, anchorage-independent survival and migration/invasion. Association with EGFR, ERBB2, ERBB3 may contribute to mammary tumor development and growth through enhancement of EGF-induced signaling via BTK/AKT and PI3 kinase. Contributes to migration and proliferation by contributing to EGF-mediated phosphorylation of ARHGAP35/p190RhoGAP, which promotes association with RASA1/p120RasGAP, inactivating RhoA while activating RAS. EGF stimulation resulted in phosphorylation of PNX/Paxillin by PTK6 and activation of RAC1 via CRK/CrKII, thereby promoting migration and invasion. PTK6 activates STAT3 and STAT5B to promote proliferation. Nuclear PTK6 may be important for regulating growth in normal epithelia, while cytoplasmic PTK6 might activate oncogenic signaling pathways.. Isoform 2 inhibits PTK6 phosphorylation and PTK6 association with other tyrosine-phosphorylated proteins.
See full target information PTK6

Publications (3)

Recent publications for all applications. Explore the full list and refine your search

Cell death & disease 14:55 PubMed36690663

2023

PTK6 inhibits autophagy to promote uveal melanoma tumorigenesis by binding to SOCS3 and regulating mTOR phosphorylation.

Applications

Unspecified application

Species

Unspecified reactive species

Bo Liu,Xueting Yao,Chaoyang Zhang,Yufen Liu,Li Wei,Qinying Huang,Mengting Wang,Yanchen Zhang,Danning Hu,Wencan Wu

Molecular medicine reports 26: PubMed35894144

2022

Interference of PTK6/GAB1 signaling inhibits cell proliferation, invasion, and migration of cervical cancer cells.

Applications

Unspecified application

Species

Unspecified reactive species

Juan Li,Nan Yang,Xiaolei Tian,Linglong Ouyang,Man Jiang,Shufang Zhang

JCI insight 6: PubMed34877935

2021

Increased long noncoding RNA LINK-A contributes to rheumatoid synovial inflammation and aggression.

Applications

Unspecified application

Species

Unspecified reactive species

Jingnan Wang,Chuyu Shen,Ruiru Li,Cuicui Wang,Youjun Xiao,Yu Kuang,Minxi Lao,Siqi Xu,Maohua Shi,Xiaoyan Cai,Liuqin Liang,Hanshi Xu
View all publications

Product promise

We are committed to supporting your work with high-quality reagents, and we're here for you every step of the way. In the unlikely event that one of our products does not perform as expected, you're protected by our Product Promise.
For full details, please see our Terms & Conditions

Associated Products

Select an associated product type
Alternative Product
Primary Antibodies

AB138368

Anti-Brk/PTK6 (phospho Y447) antibody

primary-antibodies

brk-ptk6-phospho-y447-antibody-ab138368

0

(0 reviews)

Alternative Product
Primary Antibodies

AB233391

Anti-Brk/PTK6 antibody [EPR21051-68]

primary-antibodies

brk-ptk6-antibody-epr21051-68-ab233391

0

(0 reviews)

Alternative Product
Primary Antibodies

AB234100

Anti-Brk/PTK6 antibody [EPR21051-68] - BSA and Azide free

primary-antibodies

brk-ptk6-antibody-epr21051-68-bsa-and-azide-free-ab234100

0

(0 reviews)

Please note: All products are 'FOR RESEARCH USE ONLY. NOT FOR USE IN DIAGNOSTIC OR THERAPEUTIC PROCEDURES'.

For licensing inquiries, please contact partnerships@abcam.com