JavaScript is disabled in your browser. Please enable JavaScript to view this website.
AB234102

Anti-Brk/PTK6 antibody [EPR21051-96] - BSA and Azide free

Be the first to review this product! Submit a review

|

(1 Publication)

Rabbit Recombinant Monoclonal Brk/PTK6 antibody. Carrier free. Suitable for IP, WB, Flow Cyt (Intra), IHC-P and reacts with Human samples. Cited in 1 publication.

View Alternative Names

BRK, PTK6, Protein-tyrosine kinase 6, Breast tumor kinase, Tyrosine-protein kinase BRK

4 Images
Immunohistochemistry (Formalin/PFA-fixed paraffin-embedded sections) - Anti-Brk/PTK6 antibody [EPR21051-96] - BSA and Azide free (AB234102)
  • IHC-P

Supplier Data

Immunohistochemistry (Formalin/PFA-fixed paraffin-embedded sections) - Anti-Brk/PTK6 antibody [EPR21051-96] - BSA and Azide free (AB234102)

Immunohistochemical analysis of paraffin-embedded human breast cancer tissue labeling Brk/PTK6 with ab233392 at 1/500 dilution, followed by a ready to use Goat Anti-Rabbit IgG H&L (HRP). Cytoplasmic and nuclear staining in and membranous staining on human breast cancer cells is observed. Counter stained with hematoxylin.

Secondary antibody only control : Used PBS instead of primary antibody, secondary antibody is a ready to use Goat Anti-Rabbit IgG H&L (HRP).

Perform heat mediated antigen retrieval using ab93684 (Tris/EDTA buffer, pH 9.0).

This data was developed using the same antibody clone in a different buffer formulation containing PBS, BSA, glycerol, and sodium azide (ab233392).

Flow Cytometry (Intracellular) - Anti-Brk/PTK6 antibody [EPR21051-96] - BSA and Azide free (AB234102)
  • Flow Cyt (Intra)

Supplier Data

Flow Cytometry (Intracellular) - Anti-Brk/PTK6 antibody [EPR21051-96] - BSA and Azide free (AB234102)

Intracellular flow cytometric analysis of 4% paraformaldehyde-fixed, 90% methanol-permeabilized T-47D (human ductal breast epithelial tumor cell line) cell line labeling Brk/PTK6 with ab233392 at 1/600 dilution (red) compared with a Rabbit IgG, monoclonal [EPR25A] - Isotype Control (ab172730) (black) and an unlabeled control (cells without incubation with primary antibody and secondary antibody) (blue). Goat Anti-Rabbit IgG H&L (Alexa Fluor® 488) (ab150077) at 1/2000 dilution was used as the secondary antibody.

This data was developed using the same antibody clone in a different buffer formulation containing PBS, BSA, glycerol, and sodium azide (ab233392).

Immunohistochemistry (Formalin/PFA-fixed paraffin-embedded sections) - Anti-Brk/PTK6 antibody [EPR21051-96] - BSA and Azide free (AB234102)
  • IHC-P

Supplier Data

Immunohistochemistry (Formalin/PFA-fixed paraffin-embedded sections) - Anti-Brk/PTK6 antibody [EPR21051-96] - BSA and Azide free (AB234102)

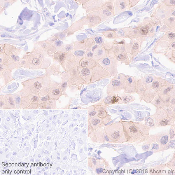
Immunohistochemical analysis of paraffin-embedded human colon tissue labeling Brk/PTK6 with ab233392 at 1/500 dilution, followed by a ready to use Goat Anti-Rabbit IgG H&L (HRP). Cytoplasmic and nuclear staining in surface epithelium of human colon (PMID : 10430081) is observed. Counter stained with hematoxylin.

Secondary antibody only control : Used PBS instead of primary antibody, secondary antibody is a ready to use Goat Anti-Rabbit IgG H&L (HRP).

Perform heat mediated antigen retrieval using ab93684 (Tris/EDTA buffer, pH 9.0).

This data was developed using the same antibody clone in a different buffer formulation containing PBS, BSA, glycerol, and sodium azide (ab233392).

Immunoprecipitation - Anti-Brk/PTK6 antibody [EPR21051-96] - BSA and Azide free (AB234102)
  • IP

Supplier Data

Immunoprecipitation - Anti-Brk/PTK6 antibody [EPR21051-96] - BSA and Azide free (AB234102)

Brk/PTK6 was immunoprecipitated from 0.35 mg of T-47D (human ductal breast epithelial tumor cell line) whole cell lysate with ab233392 at 1/30 dilution. Western blot was performed from the immunoprecipitate using ab233392 at 1/1000 dilution. VeriBlot for IP Detection Reagent (HRP) (ab131366), was used for detection at 1/5000 dilution.

Lane 1 : T-47D whole cell lysate 10 μg (Input).

Lane 2 : ab233392 IP in T-47D whole cell lysate.

Lane 3 : Rabbit monoclonal IgG (ab172730) instead of ab233392 in T-47D whole cell lysate.

Blocking and dilution buffer and concentration : 5% NFDM/TBST.

Exposure time : 3 minutes.

IgG heavy chain : PMID : 18781181

This data was developed using the same antibody clone in a different buffer formulation containing PBS, BSA, glycerol, and sodium azide (ab233392).

All lanes:

Immunoprecipitation - Anti-Brk/PTK6 antibody [EPR21051-96] (<a href='/en-us/products/primary-antibodies/brk-ptk6-antibody-epr21051-96-ab233392'>ab233392</a>)

Predicted band size: 52 kDa

false

Key facts

Host species

Rabbit

Clonality

Monoclonal

Clone number

EPR21051-96

Isotype

IgG

Carrier free

Yes

Reacts with

Human

Applications

IHC-P, Flow Cyt (Intra), WB, IP

applications

Immunogen

The exact immunogen used to generate this antibody is proprietary information.

Reactivity data

{ "title": "Reactivity Data", "filters": { "stats": ["", "Species", "Dilution Info", "Notes"], "tabs": { "all-applications": {"fullname" : "All Applications", "shortname": "All Applications"}, "IP" : {"fullname" : "Immunoprecipitation", "shortname":"IP"}, "WB" : {"fullname" : "Western blot", "shortname":"WB"}, "FlowCytIntra" : {"fullname" : "Flow Cytometry (Intracellular)", "shortname":"Flow Cyt (Intra)"}, "IHCP" : {"fullname" : "Immunohistochemistry (Formalin/PFA-fixed paraffin-embedded sections)", "shortname":"IHC-P"} }, "product-promise": { "all": "all", "testedAndGuaranteed": "tested", "guaranteed": "expected", "predicted": "predicted", "notRecommended": "not-recommended" } }, "values": { "Human": { "IP-species-checked": "testedAndGuaranteed", "IP-species-dilution-info": "", "IP-species-notes": "<p></p>", "WB-species-checked": "guaranteed", "WB-species-dilution-info": "", "WB-species-notes": "<p></p>", "FlowCytIntra-species-checked": "testedAndGuaranteed", "FlowCytIntra-species-dilution-info": "", "FlowCytIntra-species-notes": "<p></p>", "IHCP-species-checked": "testedAndGuaranteed", "IHCP-species-dilution-info": "", "IHCP-species-notes": "<p></p>" } } }

Product details

ab234102 is the carrier-free version of ab233392.

Patented technology
Our RabMAb® technology is a patented hybridoma-based technology for making rabbit monoclonal antibodies. For details on our patents, please refer to RabMAb® patents.

What are the advantages of a recombinant monoclonal antibody?
This product is a recombinant monoclonal antibody, which offers several advantages including:

  • - High batch-to-batch consistency and reproducibility
  • - Improved sensitivity and specificity
  • - Long-term security of supply
  • - Animal-free batch production

For more information, read more on recombinant antibodies.

Conjugation ready
Our carrier-free antibodies are typically supplied in a PBS-only formulation, purified and free of BSA, sodium azide and glycerol. This conjugation-ready format is designed for use with fluorochromes, metal isotopes, oligonucleotides, and enzymes, which makes them ideal for antibody labelling, functional and cell-based assays, flow-based assays (e.g. mass cytometry) and Multiplex Imaging applications.

Use our conjugation kits for antibody conjugates that are ready-to-use in as little as 20 minutes with 1 minute hands-on-time and 100% antibody recovery: available for fluorescent dyes, HRP, biotin and gold.

Compatibility
This product is compatible with the Maxpar® Antibody Labeling Kit from Fluidigm, without the need for antibody preparation. Maxpar® is a trademark of Fluidigm Canada Inc.

Properties and storage information

Form
Liquid
Purification technique
Affinity purification Protein A
Storage buffer
pH: 7.2 - 7.4 Constituents: PBS
Shipped at conditions
Blue Ice
Appropriate short-term storage conditions
+4°C
Appropriate long-term storage conditions
+4°C
Storage information
Do Not Freeze

Supplementary information

This supplementary information is collated from multiple sources and compiled automatically.

Brk known also as PTK6 is a non-receptor tyrosine kinase. Its molecular mass is approximately 52 kDa. PTK6 is expressed in various tissues with higher levels found in epithelial tissues such as breast skin and gastrointestinal tissues. Mechanically PTK6 phosphorylates different substrates affecting their function and participating in signal transduction. It acts intracellularly influencing cellular processes like proliferation differentiation and migration.
Biological function summary

PTK6 plays a role in cellular signaling systems influencing growth and survival. It does not belong to a large protein complex but often interacts with several downstream proteins to exert its effects. PTK6 modulates pathways in normal epithelial tissue development and homeostasis. In addition it regulates functions like apoptosis and motility significant for tissue maintenance and repair.

Pathways

PTK6 relates to key signaling cascades such as the MAPK and PI3K-Akt pathways. Within these pathways PTK6 is often associated with proteins like ERK1/2 and Akt which are important for cell survival and growth regulation. PTK6 can activate or inhibit these pathways influencing the cellular response to various stimuli and sometimes altering processes like cell cycle progression.

PTK6 has been implicated in the development and progression of certain cancers such as breast and prostate cancer. Elevated PTK6 expression levels have been linked to poor prognosis in these cancers where it appears to enhance tumor cell proliferation and invasion. The kinase interacts with proteins like HER2 and EGFR which are also involved in these cancers potentially affecting therapeutic responses and resistance to treatments.

Product protocols

For this product, it's our understanding that no specific protocols are required. You can visit:

Target data

Non-receptor tyrosine-protein kinase implicated in the regulation of a variety of signaling pathways that control the differentiation and maintenance of normal epithelia, as well as tumor growth. Function seems to be context dependent and differ depending on cell type, as well as its intracellular localization. A number of potential nuclear and cytoplasmic substrates have been identified. These include the RNA-binding proteins : KHDRBS1/SAM68, KHDRBS2/SLM1, KHDRBS3/SLM2 and SFPQ/PSF; transcription factors : STAT3 and STAT5A/B and a variety of signaling molecules : ARHGAP35/p190RhoGAP, PXN/paxillin, BTK/ATK, STAP2/BKS. Associates also with a variety of proteins that are likely upstream of PTK6 in various signaling pathways, or for which PTK6 may play an adapter-like role. These proteins include ADAM15, EGFR, ERBB2, ERBB3 and IRS4. In normal or non-tumorigenic tissues, PTK6 promotes cellular differentiation and apoptosis. In tumors PTK6 contributes to cancer progression by sensitizing cells to mitogenic signals and enhancing proliferation, anchorage-independent survival and migration/invasion. Association with EGFR, ERBB2, ERBB3 may contribute to mammary tumor development and growth through enhancement of EGF-induced signaling via BTK/AKT and PI3 kinase. Contributes to migration and proliferation by contributing to EGF-mediated phosphorylation of ARHGAP35/p190RhoGAP, which promotes association with RASA1/p120RasGAP, inactivating RhoA while activating RAS. EGF stimulation resulted in phosphorylation of PNX/Paxillin by PTK6 and activation of RAC1 via CRK/CrKII, thereby promoting migration and invasion. PTK6 activates STAT3 and STAT5B to promote proliferation. Nuclear PTK6 may be important for regulating growth in normal epithelia, while cytoplasmic PTK6 might activate oncogenic signaling pathways.. Isoform 2 inhibits PTK6 phosphorylation and PTK6 association with other tyrosine-phosphorylated proteins.
See full target information PTK6

Publications (1)

Recent publications for all applications. Explore the full list and refine your search

Bioengineered 13:13300-13311 PubMed35635079

2022

Dexmedetomidine protects H9C2 rat cardiomyocytes against hypoxia/reoxygenation injury by regulating the long non-coding RNA colon cancer-associated transcript 1/microRNA-8063/Wnt/β-catenin axis.

Applications

Unspecified application

Species

Unspecified reactive species

Chundong Liu,Rui Xu
View all publications

Product promise

We are committed to supporting your work with high-quality reagents, and we're here for you every step of the way. In the unlikely event that one of our products does not perform as expected, you're protected by our Product Promise.
For full details, please see our Terms & Conditions

Please note: All products are 'FOR RESEARCH USE ONLY. NOT FOR USE IN DIAGNOSTIC OR THERAPEUTIC PROCEDURES'.

For licensing inquiries, please contact partnerships@abcam.com