JavaScript is disabled in your browser. Please enable JavaScript to view this website.
AB317751

Anti-Brn-2 antibody [EPR29141-41] - BSA and Azide free

Be the first to review this product! Submit a review

|

(0 Publication)

Rabbit Recombinant Monoclonal Brn-2 antibody. Carrier free. Suitable for IHC-P, WB, IP, IHC-Fr, ICC/IF and reacts with Human, Mouse, Rat samples.

View Alternative Names

BRN2, OCT7, OTF7, POU3F2, Brain-specific homeobox/POU domain protein 2, Nervous system-specific octamer-binding transcription factor N-Oct-3, Octamer-binding protein 7, Octamer-binding transcription factor 7, Brain-2, Brn-2, Oct-7, OTF-7

14 Images
Immunohistochemistry (Formalin/PFA-fixed paraffin-embedded sections) - Anti-Brn-2 antibody [EPR29141-41] - BSA and Azide free (AB317751)
  • IHC-P

Supplier Data

Immunohistochemistry (Formalin/PFA-fixed paraffin-embedded sections) - Anti-Brn-2 antibody [EPR29141-41] - BSA and Azide free (AB317751)

This data was developed using ab317750, the same antibody clone in a different buffer formulation.

Immunohistochemical analysis of paraffin-embedded Human liver tissue labeling Brn-2 with ab317750 at 1/100 (4.91 ug/ml) dilution, followed by a ready to use LeicaDS9800 (Bond™ Polymer Refine Detection).

Negative control : No staining in human liver.
The section was incubated with ab317750 for 30 mins at room temperature.
The immunostaining was performed on a Leica Biosystems BOND® RX instrument

Counterstained with Hematoxylin.

Secondary antibody only control : Secondary antibody is a ready to use LeicaDS9800 (Bond™ Polymer Refine Detection).

Heat mediated antigen retrieval was performed with Tris-EDTA buffer (pH 9.0, Epitope Retrieval Solution2) for 20 mins

Immunohistochemistry (Formalin/PFA-fixed paraffin-embedded sections) - Anti-Brn-2 antibody [EPR29141-41] - BSA and Azide free (AB317751)
  • IHC-P

Supplier Data

Immunohistochemistry (Formalin/PFA-fixed paraffin-embedded sections) - Anti-Brn-2 antibody [EPR29141-41] - BSA and Azide free (AB317751)

This data was developed using ab317750, the same antibody clone in a different buffer formulation.

Immunohistochemical analysis of paraffin-embedded Human cerebrum tissue labeling Brn-2 with ab317750 at 1/100 (4.91 ug/ml) dilution, followed by a ready to use LeicaDS9800 (Bond™ Polymer Refine Detection).

Positive staining in human cerebrum.
The section was incubated with ab317750 for 30 mins at room temperature.
The immunostaining was performed on a Leica Biosystems BOND® RX instrument

Counterstained with Hematoxylin.

Secondary antibody only control : Secondary antibody is a ready to use LeicaDS9800 (Bond™ Polymer Refine Detection).

Heat mediated antigen retrieval was performed with Tris-EDTA buffer (pH 9.0, Epitope Retrieval Solution2) for 20 mins

Immunoprecipitation - Anti-Brn-2 antibody [EPR29141-41] - BSA and Azide free (AB317751)
  • IP

Supplier Data

Immunoprecipitation - Anti-Brn-2 antibody [EPR29141-41] - BSA and Azide free (AB317751)

This data was developed using ab317750, the same antibody clone in a different buffer formulation.

Brn-2 was immunoprecipitated from 0.35 mg A375 (human malignant melanoma epithelial cell) whole cell lysate with ab317750 at 1/30 dilution (2ug in 0.35mg lysates). Western blot was performed on the immunoprecipitate using ab317750 at 1/1000 dilution. VeriBlot for IP secondary antibody(HRP)(ab131366) was used at 1/5000 dilution.

Lane 1 : A375 (human malignant melanoma epithelial cell) whole cell lysate
Lane 2 : ab317750 IP in A375 (human malignant melanoma epithelial cell) whole cell lysate
Lane 3 : Rabbit monoclonal IgG (ab172730) instead of ab317750 in A375 whole cell lysate

All lanes:

Immunoprecipitation - Anti-Brn-2 antibody [EPR29141-41] (<a href='/en-us/products/primary-antibodies/brn-2-antibody-epr29141-41-ab317750'>ab317750</a>) at 1/30 dilution

All lanes:

A375 (human malignant melanoma epithelial cell) whole cell lysate

Secondary

All lanes:

Immunoprecipitation - VeriBlot for IP Detection Reagent (HRP) (<a href='/en-us/products/reagents/veriblot-for-ip-detection-reagent-hrp-ab131366'>ab131366</a>) at 1/5000 dilution

false

Exposure time: 67s

Immunohistochemistry (Frozen sections) - Anti-Brn-2 antibody [EPR29141-41] - BSA and Azide free (AB317751)
  • IHC-Fr

Supplier Data

Immunohistochemistry (Frozen sections) - Anti-Brn-2 antibody [EPR29141-41] - BSA and Azide free (AB317751)

This data was developed using ab317750, the same antibody clone in a different buffer formulation.

Immunohistochemical analysis of 4% PFA-fixed, 0.2% Triton X-100 permeabilized frozen Mouse liver (fresh frozen) tissue labeling Brn-2 with ab317750 at 1/50 (9.82 ug/ml) dilution followed by ab150081 Goat Anti-Rabbit IgG H&L (Alexa Fluor® 488) preadsorbed at 1/1000 2 ug/mL dilution (Green).

Negative control : confocal image showing no staining on mouse liver. The nuclear counterstain was DAPI (Blue). The section was incubated with ab317750 for 60 mins at room temperature. The section was then mounted using Fluoromount®.The immunostaining was performed on a Leica Biosystems BOND® RX instrument. Image was taken with a confocal microscope (Leica-Microsystems, TCS SP8).

Secondary antibody control : Secondary antibody is ab150081 Goat Anti-Rabbit IgG H&L (Alexa Fluor® 488) preadsorbedat 1/1000 2 ug/mL dilution.

Immunocytochemistry/ Immunofluorescence - Anti-Brn-2 antibody [EPR29141-41] - BSA and Azide free (AB317751)
  • ICC/IF

Supplier Data

Immunocytochemistry/ Immunofluorescence - Anti-Brn-2 antibody [EPR29141-41] - BSA and Azide free (AB317751)

This data was developed using ab317750, the same antibody clone in a different buffer formulation.

Immunofluorescent analysis of 4% Paraformaldehyde-fixed, 0.1% TritonX-100 permeabilized mouse splenocyte cells labelling Brn-2 with ab317750 at 1/50 (9.82 ug/ml) dilution, followed by ab150081 Goat Anti-Rabbit IgG H&L (Alexa Fluor® 488) preadsorbed antibody at 1/1000 2 ug/ml dilution (Green).

Negative control : spleen (PMID : 2739723)
Confocal image showing no staining in mouse splenocytes. The counterstain was observed in magenta. Nuclear DNA was labeled with DAPI (shown in blue). Image was taken with a confocal microscope (Leica-Microsystems, TCS SP8).

ab195889 Anti-alpha Tubulin mouse monoclonal antibody - Microtubule Marker (Alexa Fluor® 594) was used to counterstain tubulin at 1/200 2.5ug/ml dilution (Magenta). The Nuclear counterstain was DAPI (Blue).

Secondary antibody only control : Secondary antibody is ab150081 Goat Anti-Rabbit IgG H&L (Alexa Fluor® 488) preadsorbed at 1/1000 2 ug/ml dilution.

Immunohistochemistry (Formalin/PFA-fixed paraffin-embedded sections) - Anti-Brn-2 antibody [EPR29141-41] - BSA and Azide free (AB317751)
  • IHC-P

Supplier Data

Immunohistochemistry (Formalin/PFA-fixed paraffin-embedded sections) - Anti-Brn-2 antibody [EPR29141-41] - BSA and Azide free (AB317751)

This data was developed using ab317750, the same antibody clone in a different buffer formulation.

Immunohistochemical analysis of paraffin-embedded Embryonic 20.5 mouse brain tissue labeling Brn-2 with ab317750 at 1/1000 (0.491 ug/ml) dilution, followed by a ready to use LeicaDS9800 (Bond™ Polymer Refine Detection).

Positive staining in embryonic 20.5 mouse brain.
The section was incubated with ab317750 for 30 mins at room temperature.
The immunostaining was performed on a Leica Biosystems BOND® RX instrument

Counterstained with Hematoxylin.

Secondary antibody only control : Secondary antibody is a ready to use LeicaDS9800 (Bond™ Polymer Refine Detection).

Heat mediated antigen retrieval was performed with Tris-EDTA buffer (pH 9.0, Epitope Retrieval Solution2) for 20 mins

Immunohistochemistry (Formalin/PFA-fixed paraffin-embedded sections) - Anti-Brn-2 antibody [EPR29141-41] - BSA and Azide free (AB317751)
  • IHC-P

Supplier Data

Immunohistochemistry (Formalin/PFA-fixed paraffin-embedded sections) - Anti-Brn-2 antibody [EPR29141-41] - BSA and Azide free (AB317751)

This data was developed using ab317750, the same antibody clone in a different buffer formulation.

Immunohistochemical analysis of paraffin-embedded Mouse cerebrum tissue labeling Brn-2 with ab317750 at 1/1000 (0.491 ug/ml) dilution, followed by a ready to use LeicaDS9800 (Bond™ Polymer Refine Detection).

Positive staining in mouse cerebrum.
The section was incubated with ab317750 for 30 mins at room temperature.
The immunostaining was performed on a Leica Biosystems BOND® RX instrument

Counterstained with Hematoxylin.

Secondary antibody only control : Secondary antibody is a ready to use LeicaDS9800 (Bond™ Polymer Refine Detection).

Heat mediated antigen retrieval was performed with Tris-EDTA buffer (pH 9.0, Epitope Retrieval Solution2) for 20 mins

Immunohistochemistry (Frozen sections) - Anti-Brn-2 antibody [EPR29141-41] - BSA and Azide free (AB317751)
  • IHC-Fr

Supplier Data

Immunohistochemistry (Frozen sections) - Anti-Brn-2 antibody [EPR29141-41] - BSA and Azide free (AB317751)

This data was developed using ab317750, the same antibody clone in a different buffer formulation.

Immunohistochemical analysis of 4% PFA-fixed, 0.2% Triton X-100 permeabilized frozen Mouse E14.5 brain (fresh frozen) tissue labeling Brn-2 with ab317750 at 1/50 (9.82 ug/ml) dilution followed by ab150081 Goat Anti-Rabbit IgG H&L (Alexa Fluor® 488) preadsorbed at 1/1000 2 ug/mL dilution (Green).

Confocal image showing positive staining on mouse E14.5 brain. The nuclear counterstain was DAPI (Blue). The section was incubated with ab317750 for 60 mins at room temperature. The section was then mounted using Fluoromount®.The immunostaining was performed on a Leica Biosystems BOND® RX instrument. Image was taken with a confocal microscope (Leica-Microsystems, TCS SP8).

Secondary antibody control : Secondary antibody is ab150081 Goat Anti-Rabbit IgG H&L (Alexa Fluor® 488) preadsorbedat 1/1000 2 ug/mL dilution.

Immunocytochemistry/ Immunofluorescence - Anti-Brn-2 antibody [EPR29141-41] - BSA and Azide free (AB317751)
  • ICC/IF

Supplier Data

Immunocytochemistry/ Immunofluorescence - Anti-Brn-2 antibody [EPR29141-41] - BSA and Azide free (AB317751)

This data was developed using ab317750, the same antibody clone in a different buffer formulation.

Immunofluorescent analysis of 4% Paraformaldehyde-fixed, 0.1% TritonX-100 permeabilized mouse primary neuron cells labelling Brn-2 with ab317750 at 1/50 (9.82 ug/ml) dilution, followed by ab150081 Goat Anti-Rabbit IgG H&L (Alexa Fluor® 488) preadsorbed antibody at 1/1000 2 ug/ml dilution (Green).

Confocal image showing nuclear staining in mouse primary neuron (shown in green). The counterstain was observed in magenta. Nuclear DNA was labeled with DAPI (shown in blue). Confocal scanning Z step was set as 0.3 um followed by image processing with maximum Z projection. Image was taken with a confocal microscope (Leica-Microsystems, TCS SP8).

ab11267 Anti-MAP2 mouse monoclonal antibody was used to counterstain tubulin at 1/500 4ug/ml dilution (Magenta). The Nuclear counterstain was DAPI (Blue).

Secondary antibody only control : Secondary antibody is ab150081 Goat Anti-Rabbit IgG H&L (Alexa Fluor® 488) preadsorbed at 1/1000 2 ug/ml dilution.

Immunohistochemistry (Formalin/PFA-fixed paraffin-embedded sections) - Anti-Brn-2 antibody [EPR29141-41] - BSA and Azide free (AB317751)
  • IHC-P

Supplier Data

Immunohistochemistry (Formalin/PFA-fixed paraffin-embedded sections) - Anti-Brn-2 antibody [EPR29141-41] - BSA and Azide free (AB317751)

This data was developed using ab317750, the same antibody clone in a different buffer formulation.

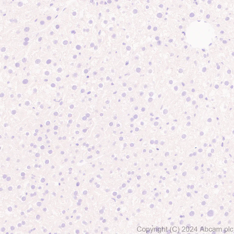
Immunohistochemical analysis of paraffin-embedded Rat liver tissue labeling Brn-2 with ab317750 at 1/1000 (0.491 ug/ml) dilution, followed by a ready to use LeicaDS9800 (Bond™ Polymer Refine Detection).

Negative control : No staining in rat liver.
The section was incubated with ab317750 for 30 mins at room temperature.
The immunostaining was performed on a Leica Biosystems BOND® RX instrument

Counterstained with Hematoxylin.

Secondary antibody only control : Secondary antibody is a ready to use LeicaDS9800 (Bond™ Polymer Refine Detection).

Heat mediated antigen retrieval was performed with Tris-EDTA buffer (pH 9.0, Epitope Retrieval Solution2) for 20 mins

Immunohistochemistry (Formalin/PFA-fixed paraffin-embedded sections) - Anti-Brn-2 antibody [EPR29141-41] - BSA and Azide free (AB317751)
  • IHC-P

Supplier Data

Immunohistochemistry (Formalin/PFA-fixed paraffin-embedded sections) - Anti-Brn-2 antibody [EPR29141-41] - BSA and Azide free (AB317751)

This data was developed using ab317750, the same antibody clone in a different buffer formulation.

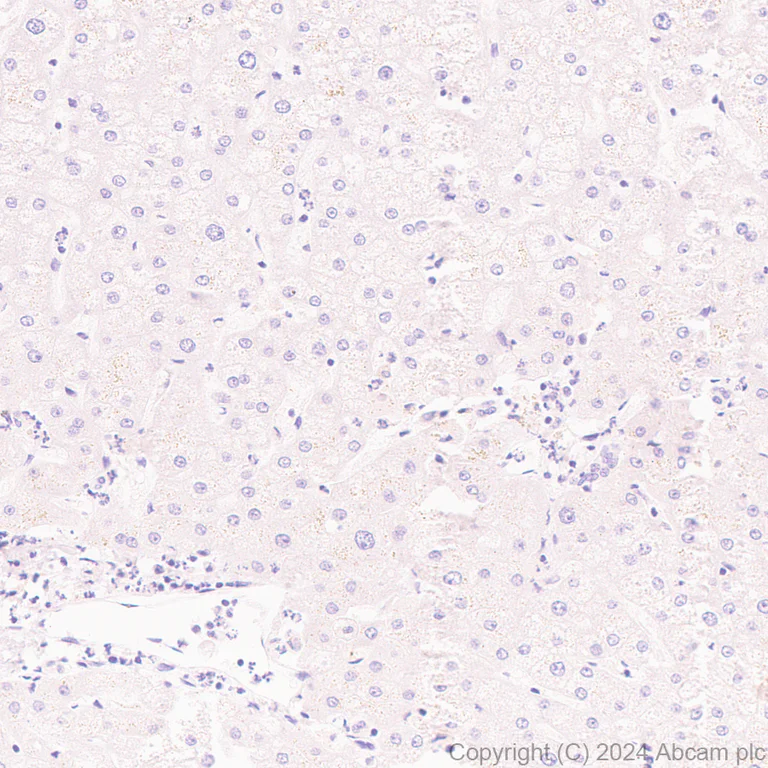
Immunohistochemical analysis of paraffin-embedded Mouse liver tissue labeling Brn-2 with ab317750 at 1/1000 (0.491 ug/ml) dilution, followed by a ready to use LeicaDS9800 (Bond™ Polymer Refine Detection).

Negative control : No staining in mouse liver.
The section was incubated with ab317750 for 30 mins at room temperature.
The immunostaining was performed on a Leica Biosystems BOND® RX instrument

Counterstained with Hematoxylin.

Secondary antibody only control : Secondary antibody is a ready to use LeicaDS9800 (Bond™ Polymer Refine Detection).

Heat mediated antigen retrieval was performed with Tris-EDTA buffer (pH 9.0, Epitope Retrieval Solution2) for 20 mins

Immunohistochemistry (Formalin/PFA-fixed paraffin-embedded sections) - Anti-Brn-2 antibody [EPR29141-41] - BSA and Azide free (AB317751)
  • IHC-P

Supplier Data

Immunohistochemistry (Formalin/PFA-fixed paraffin-embedded sections) - Anti-Brn-2 antibody [EPR29141-41] - BSA and Azide free (AB317751)

This data was developed using ab317750, the same antibody clone in a different buffer formulation.

Immunohistochemical analysis of paraffin-embedded Rat cerebrum tissue labeling Brn-2 with ab317750 at 1/1000 (0.491 ug/ml) dilution, followed by a ready to use LeicaDS9800 (Bond™ Polymer Refine Detection).

Positive staining in rat cerebrum.
The section was incubated with ab317750 for 30 mins at room temperature.
The immunostaining was performed on a Leica Biosystems BOND® RX instrument

Counterstained with Hematoxylin.

Secondary antibody only control : Secondary antibody is a ready to use LeicaDS9800 (Bond™ Polymer Refine Detection).

Heat mediated antigen retrieval was performed with Tris-EDTA buffer (pH 9.0, Epitope Retrieval Solution2) for 20 mins

Western blot - Anti-Brn-2 antibody [EPR29141-41] - BSA and Azide free (AB317751)
  • WB

Supplier Data

Western blot - Anti-Brn-2 antibody [EPR29141-41] - BSA and Azide free (AB317751)

This data was developed using ab317750, the same antibody clone in a different buffer formulation.

Negative control : HeLa, JEG-3 (PMID : 2739723).

The expression profile/ molecular weight observed is consistent with what has been described in the literature (PMID : 2739723).

In Western blot, Anti-GAPDH antibody [EPR16891] - Loading Control (ab181602) staining at 1/200000 dilution.

All lanes:

Western blot - Anti-Brn-2 antibody [EPR29141-41] (<a href='/en-us/products/primary-antibodies/brn-2-antibody-epr29141-41-ab317750'>ab317750</a>) at 1/1000 dilution

Lane 1:

A375 (human malignant melanoma epithelial cell) whole cell lysate at 20 µg

Lane 2:

HeLa (human cervical adenocarcinoma epithelial cell) whole cell lysate at 20 µg

Lane 3:

JEG-3 (human placenta epithelial cell) whole cell lysate at 20 µg

Secondary

All lanes:

Western blot - Goat Anti-Rabbit IgG H&L (HRP) (<a href='/en-us/products/secondary-antibodies/goat-rabbit-igg-h-l-hrp-ab97051'>ab97051</a>) at 1/100000 dilution

Observed band size: 54 kDa,36 kDa

true

Exposure time: 114s

Western blot - Anti-Brn-2 antibody [EPR29141-41] - BSA and Azide free (AB317751)
  • WB

Supplier Data

Western blot - Anti-Brn-2 antibody [EPR29141-41] - BSA and Azide free (AB317751)

This data was developed using ab317750, the same antibody clone in a different buffer formulation.

Negative control : heart, liver (PMID : 2739723).

The expression profile/ molecular weight observed is consistent with what has been described in the literature (PMID : 2739723).

The identity of the higher MW band at approximately 75 kDa (in lane 2) and the lower MW band at approximately 40 kDa (in lane 3) are unknown.

In Western blot, Anti-GAPDH antibody [EPR16891] - Loading Control (ab181602) staining at 1/200000 dilution.

All lanes:

Western blot - Anti-Brn-2 antibody [EPR29141-41] (<a href='/en-us/products/primary-antibodies/brn-2-antibody-epr29141-41-ab317750'>ab317750</a>) at 1/1000 dilution

Lane 1:

Mouse E17 brain tissue lysate at 50 µg

Lane 2:

Mouse heart tissue lysate at 50 µg

Lane 3:

Mouse liver brain tissue lysate at 50 µg

Lane 4:

Rat P5 brain tissue lysate at 50 µg

Lane 5:

Rat liver tissue lysate at 50 µg

Secondary

All lanes:

Western blot - Goat Anti-Rabbit IgG H&L (HRP) (<a href='/en-us/products/secondary-antibodies/goat-rabbit-igg-h-l-hrp-ab97051'>ab97051</a>) at 1/20000 dilution

Observed band size: 54 kDa,36 kDa

true

Exposure time: 8s

Key facts

Host species

Rabbit

Clonality

Monoclonal

Clone number

EPR29141-41

Isotype

IgG

Carrier free

Yes

Reacts with

Human, Mouse, Rat

Applications

IHC-Fr, IHC-P, WB, IP, ICC/IF

applications

Immunogen

The exact immunogen used to generate this antibody is proprietary information.

Reactivity data

{ "title": "Reactivity Data", "filters": { "stats": ["", "Species", "Dilution Info", "Notes"], "tabs": { "all-applications": {"fullname" : "All Applications", "shortname": "All Applications"}, "IHCP" : {"fullname" : "Immunohistochemistry (Formalin/PFA-fixed paraffin-embedded sections)", "shortname":"IHC-P"}, "WB" : {"fullname" : "Western blot", "shortname":"WB"}, "IP" : {"fullname" : "Immunoprecipitation", "shortname":"IP"}, "IHCFr" : {"fullname" : "Immunohistochemistry (Frozen sections)", "shortname":"IHC-Fr"}, "ICCIF" : {"fullname" : "Immunocytochemistry/ Immunofluorescence", "shortname":"ICC/IF"}, "FlowCytIntra" : {"fullname" : "Flow Cytometry (Intracellular)", "shortname":"Flow Cyt (Intra)"} }, "product-promise": { "all": "all", "testedAndGuaranteed": "tested", "guaranteed": "expected", "predicted": "predicted", "notRecommended": "not-recommended" } }, "values": { "Human": { "IHCP-species-checked": "testedAndGuaranteed", "IHCP-species-dilution-info": "", "IHCP-species-notes": "<p></p>", "WB-species-checked": "testedAndGuaranteed", "WB-species-dilution-info": "", "WB-species-notes": "<p></p>", "IP-species-checked": "testedAndGuaranteed", "IP-species-dilution-info": "", "IP-species-notes": "<p></p>", "IHCFr-species-checked": "guaranteed", "IHCFr-species-dilution-info": "", "IHCFr-species-notes": "", "ICCIF-species-checked": "guaranteed", "ICCIF-species-dilution-info": "", "ICCIF-species-notes": "", "FlowCytIntra-species-checked": "notRecommended", "FlowCytIntra-species-dilution-info": "", "FlowCytIntra-species-notes": "<p></p>" }, "Mouse": { "IHCP-species-checked": "testedAndGuaranteed", "IHCP-species-dilution-info": "", "IHCP-species-notes": "<p></p>", "WB-species-checked": "testedAndGuaranteed", "WB-species-dilution-info": "", "WB-species-notes": "<p></p>", "IP-species-checked": "guaranteed", "IP-species-dilution-info": "", "IP-species-notes": "", "IHCFr-species-checked": "testedAndGuaranteed", "IHCFr-species-dilution-info": "", "IHCFr-species-notes": "<p></p>", "ICCIF-species-checked": "testedAndGuaranteed", "ICCIF-species-dilution-info": "", "ICCIF-species-notes": "<p></p>", "FlowCytIntra-species-checked": "notRecommended", "FlowCytIntra-species-dilution-info": "", "FlowCytIntra-species-notes": "" }, "Rat": { "IHCP-species-checked": "testedAndGuaranteed", "IHCP-species-dilution-info": "", "IHCP-species-notes": "<p></p>", "WB-species-checked": "testedAndGuaranteed", "WB-species-dilution-info": "", "WB-species-notes": "<p></p>", "IP-species-checked": "guaranteed", "IP-species-dilution-info": "", "IP-species-notes": "", "IHCFr-species-checked": "guaranteed", "IHCFr-species-dilution-info": "", "IHCFr-species-notes": "", "ICCIF-species-checked": "guaranteed", "ICCIF-species-dilution-info": "", "ICCIF-species-notes": "", "FlowCytIntra-species-checked": "notRecommended", "FlowCytIntra-species-dilution-info": "", "FlowCytIntra-species-notes": "" } } }

Product details

ab317751 is the carrier-free version of ab317750.

Patented technology
Our RabMAb® technology is a patented hybridoma-based technology for making rabbit monoclonal antibodies. For details on our patents, please refer to RabMAb® patents.

What are the advantages of a recombinant monoclonal antibody?
This product is a recombinant monoclonal antibody, which offers several advantages including:

  • - High batch-to-batch consistency and reproducibility
  • - Improved sensitivity and specificity
  • - Long-term security of supply
  • - Animal-free batch production

For more information, read more on recombinant antibodies.

Conjugation ready
Our carrier-free antibodies are typically supplied in a PBS-only formulation, purified and free of BSA, sodium azide and glycerol. This conjugation-ready format is designed for use with fluorochromes, metal isotopes, oligonucleotides, and enzymes, which makes them ideal for antibody labelling, functional and cell-based assays, flow-based assays (e.g. mass cytometry) and Multiplex Imaging applications.

Use our conjugation kits for antibody conjugates that are ready-to-use in as little as 20 minutes with 1 minute hands-on-time and 100% antibody recovery: available for fluorescent dyes, HRP, biotin and gold.

Compatibility
This product is compatible with the Maxpar® Antibody Labeling Kit from Fluidigm, without the need for antibody preparation. Maxpar® is a trademark of Fluidigm Canada Inc.

Properties and storage information

Form
Liquid
Purification technique
Affinity purification Protein A
Storage buffer
pH: 7.2 - 7.4 Constituents: PBS
Shipped at conditions
Blue Ice
Appropriate short-term storage conditions
+4°C
Appropriate long-term storage conditions
+4°C

Supplementary information

This supplementary information is collated from multiple sources and compiled automatically.

Brn-2 also known as POU domain class 3 transcription factor 2 (POU3F2) is a transcription factor with a molecular weight of approximately 48 kDa. This protein plays a significant role in the development and function of the central nervous system. It is abundantly expressed in neuronal tissues and specific types of melanocytes. Brn-2 belongs to the POU domain family of proteins which are pivotal in regulating gene expression during development.
Biological function summary

Brn-2 regulates the expression of genes critical for neural differentiation and development. It acts as a transcriptional activator that binds to specific DNA sequences. Brn-2 does not act alone; it often participates in regulatory complexes with other transcription factors. Through these interactions Brn-2 influences the fate of neural progenitor cells and is involved in the regulation of neural stem cell maintenance.

Pathways

Brn-2 plays a role in the Wnt signaling pathway and the Notch signaling pathway. Both of these pathways are integral to cell fate determination during development. In the Wnt pathway Brn-2 may interact with proteins such as β-catenin which modulates the expression of genes involved in cell proliferation and differentiation. Additionally Brn-2's role in the Notch pathway can influence the activity of proteins like RBPJ impacting cell communication and developmental processes.

Brn-2 has been linked to melanoma and gliomas. In melanoma Brn-2 can interact with other proteins such as MITF influencing melanocyte development and contributing to cancer progression. In glioma Brn-2's aberrant expression might affect cellular pathways that lead to uncontrolled proliferation and tumor formation. Understanding these connections provides insights into potential therapeutic targets for these conditions.

Product protocols

For this product, it's our understanding that no specific protocols are required. You can visit:

Target data

Transcription factor that plays a key role in neuronal differentiation (By similarity). Binds preferentially to the recognition sequence which consists of two distinct half-sites, ('GCAT') and ('TAAT'), separated by a non-conserved spacer region of 0, 2, or 3 nucleotides (By similarity). Acts as a transcriptional activator when binding cooperatively with SOX4, SOX11, or SOX12 to gene promoters (By similarity). The combination of three transcription factors, ASCL1, POU3F2/BRN2 and MYT1L, is sufficient to reprogram fibroblasts and other somatic cells into induced neuronal (iN) cells in vitro (By similarity). Acts downstream of ASCL1, accessing chromatin that has been opened by ASCL1, and promotes transcription of neuronal genes (By similarity).
See full target information POU3F2

Product promise

We are committed to supporting your work with high-quality reagents, and we're here for you every step of the way. In the unlikely event that one of our products does not perform as expected, you're protected by our Product Promise.
For full details, please see our Terms & Conditions

Please note: All products are 'FOR RESEARCH USE ONLY. NOT FOR USE IN DIAGNOSTIC OR THERAPEUTIC PROCEDURES'.

For licensing inquiries, please contact partnerships@abcam.com