JavaScript is disabled in your browser. Please enable JavaScript to view this website.
AB245230

Anti-BRN3A antibody [EPR23257-285]

  • BOND RX™ Validated
  • 20ul selling size
  • RabMAb
  • Recombinant
  • What is this?

5

(2 Reviews)

|

(49 Publications)

Anti-BRN3A antibody [EPR23257-285] (ab245230) is a rabbit monoclonal antibody detecting BRN3A in Western Blot, Flow Cytometry (Intra), Flow Cytometry, IP, IHC-P, IHC-Fr. Suitable for Human, Mouse, Rat,.

- Biophysical QC for unrivalled batch-batch consistency
- Over 10 publications

View Alternative Names

BRN3A, RDC1, POU4F1, Brain-specific homeobox/POU domain protein 3A, Homeobox/POU domain protein RDC-1, Oct-T1, Brain-3A, Brn-3A

9 Images
Flow Cytometry (Intracellular) - Anti-BRN3A antibody [EPR23257-285] (AB245230)
  • Flow Cyt (Intra)

Unknown

Flow Cytometry (Intracellular) - Anti-BRN3A antibody [EPR23257-285] (AB245230)

Intracellular flow cytometric analysis of 4% paraformaldehyde fixed, 90% methanol-permeabilized Daudi (Human Burkitt's lymphoma lymphoblast (Left) / MOLT-4 (Human lymphoblastic leukemia T lymphoblast (Right) cells labelling BRN3A with ab245230 at 1/400 dilution (Red) compared with a Rabbit monoclonal IgG (ab172730) isotype control (Black) and an unlabelled control (cells without incubation with primary antibody and secondary antibody) (Blue). A Goat anti rabbit IgG (Alexa Fluor®488, ab150077) at 1/2000 dilution was used as the secondary antibody.

Negative control : Daudi (PMID : 20460523).

Immunohistochemistry (Frozen sections) - Anti-BRN3A antibody [EPR23257-285] (AB245230)
  • IHC-Fr

Unknown

Immunohistochemistry (Frozen sections) - Anti-BRN3A antibody [EPR23257-285] (AB245230)

Immunohistochemical analysis of 4% PFA-fixed, 0.2% Triton X-100 permeabilized frozen mouse E14.5 embryo tissue labeling BRN3A with ab245230 at 1/100 dilution followed by ab150077 Goat Anti-Rabbit IgG H&L (Alexa Fluor® 488) at 1/1000 dilution (Green). Nuclear staining on mouse E14.5 embryonic brain is observed. The nuclear counterstain was DAPI (Blue).

Secondary antibody control : Secondary antibody is ab150077 Goat Anti-Rabbit IgG H&L (Alexa Fluor® 488) at 1/1000 dilution.

Heat mediated antigen retrieval using sodium citrate buffer (10mM citrate pH 6.0 + 0.05% Tween-20).

Immunohistochemistry (Frozen sections) - Anti-BRN3A antibody [EPR23257-285] (AB245230)
  • IHC-Fr

Unknown

Immunohistochemistry (Frozen sections) - Anti-BRN3A antibody [EPR23257-285] (AB245230)

Immunohistochemical analysis of 4% PFA-fixed, 0.2% Triton X-100 permeabilized frozen mouse retina tissue labeling BRN3A with ab245230 at 1/100 dilution followed by ab150077 Goat Anti-Rabbit IgG H&L (Alexa Fluor® 488) at 1/1000 dilution (Green). Nuclear staining on ganglion cell layer of mouse retina is observed. The nuclear counterstain was DAPI (Blue).

Secondary antibody control : Secondary antibody is ab150077 Goat Anti-Rabbit IgG H&L (Alexa Fluor® 488) at 1/1000 dilution.

Heat mediated antigen retrieval using sodium citrate buffer (10mM citrate pH 6.0 + 0.05% Tween-20).

Immunohistochemistry (Formalin/PFA-fixed paraffin-embedded sections) - Anti-BRN3A antibody [EPR23257-285] (AB245230)
  • IHC-P

Unknown

Immunohistochemistry (Formalin/PFA-fixed paraffin-embedded sections) - Anti-BRN3A antibody [EPR23257-285] (AB245230)

Immunohistochemical analysis of paraffin-embedded rat E14.5 tissue labeling BRN3A with ab245230 at 1/2000 dilution followed by ready to use Rabbit specific IHC polymer detection kit HRP/DAB (ab209101). Nuclear staining on dorsal root ganglia of rat E14.5 (PMID : 8341591). The section was incubated with ab245230 for 30 mins at room temperature. The immunostaining was performed on a Leica Biosystems BOND® RX instrument. Counterstained with Hematoxylin.

Secondary antibody only control : Secondary antibody is ready to use Rabbit specific IHC polymer detection kit HRP/DAB (ab209101).

Heat mediated antigen retrieval with Tris-EDTA buffer (pH 9.0, epitope retrieval solution2) for 20 mins.

Immunohistochemistry (Formalin/PFA-fixed paraffin-embedded sections) - Anti-BRN3A antibody [EPR23257-285] (AB245230)
  • IHC-P

Unknown

Immunohistochemistry (Formalin/PFA-fixed paraffin-embedded sections) - Anti-BRN3A antibody [EPR23257-285] (AB245230)

Immunohistochemical analysis of paraffin-embedded mouse E14.5 tissue labeling BRN3A with ab245230 at 1/2000 dilution followed by ready to use Rabbit specific IHC polymer detection kit HRP/DAB (ab209101). Nuclear staining on cochleovestibular ganglion and colliculus of mouse E14.5 (PMID : 24709358). The section was incubated with ab245230 for 30 mins at room temperature. The immunostaining was performed on a Leica Biosystems BOND® RX instrument. Counterstained with Hematoxylin.

Secondary antibody only control : Secondary antibody is ready to use Rabbit specific IHC polymer detection kit HRP/DAB (ab209101).

Heat mediated antigen retrieval with Tris-EDTA buffer (pH 9.0, epitope retrieval solution2) for 20 mins.

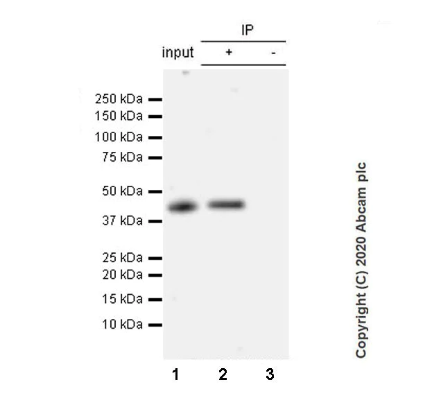
Immunoprecipitation - Anti-BRN3A antibody [EPR23257-285] (AB245230)
  • IP

Unknown

Immunoprecipitation - Anti-BRN3A antibody [EPR23257-285] (AB245230)

BRN3A was immunoprecipitated from 0.35 mg mouse E14.5 brain tissue lysate with ab245230 at 1/30 dilution (2μg in 0.35mg lysates). Western blot was performed on the immunoprecipitate using ab245230 at 1/1000 dilution. VeriBlot for IP Detection Reagent (HRP)(ab131366) was used at 1/5000 dilution.

Lane 1 : Mouse E14.5 brain tissue lysate 10μg.

Lane 2 : ab245230 IP in Mouse E14.5 brain tissue lysate.

Lane 3 : Rabbit monoclonal IgG (ab172730) instead of ab245230 in mouse E14.5 brain tissue lysate.

Blocking and dilution buffer and concentration : 5% NFDM/TBST.

Exposure time : 3 minutes.

This blot was developed using a higher sensitivity ECL substrate.

All lanes:

Immunoprecipitation - Anti-BRN3A antibody [EPR23257-285] (ab245230)

Predicted band size: 43 kDa

Observed band size: 42 kDa

false

Western blot - Anti-BRN3A antibody [EPR23257-285] (AB245230)
  • WB

Lab

Western blot - Anti-BRN3A antibody [EPR23257-285] (AB245230)

Blocking and diluting buffer and concentration : 5% NFDM/TBST.

This blot was developed using a higher sensitivity ECL substrate.

Negative control : Daudi (PMID : 20460523).

Exposure time : 3 minutes.

All lanes:

Western blot - Anti-BRN3A antibody [EPR23257-285] (ab245230) at 1/1000 dilution

Lane 1:

MOLT-4 (human lymphoblastic leukemia T lymphoblast), whole cell lysate at 20 µg

Lane 2:

Daudi (human Burkitts lymphoma lymphoblast), whole cell lysate at 20 µg

Secondary

All lanes:

Western blot - Goat Anti-Rabbit IgG H&L (HRP) (<a href='/en-us/products/secondary-antibodies/goat-rabbit-igg-h-l-hrp-ab97051'>ab97051</a>) at 1/100000 dilution

Predicted band size: 43 kDa

Observed band size: 42 kDa

false

Western blot - Anti-BRN3A antibody [EPR23257-285] (AB245230)
  • WB

Lab

Western blot - Anti-BRN3A antibody [EPR23257-285] (AB245230)

Blocking and diluting buffer and concentration : 5% NFDM/TBST.

This blot was developed using a higher sensitivity ECL substrate.

Exposure time : 3 minutes.

All lanes:

Western blot - Anti-BRN3A antibody [EPR23257-285] (ab245230) at 1/1000 dilution

Lane 1:

Mouse E14.5 brain tissue lysate at 20 µg

Lane 2:

Mouse E18 brain tissue lysate at 20 µg

Lane 3:

Rat E18 brain tissue lysate at 20 µg

Secondary

All lanes:

Western blot - Goat Anti-Rabbit IgG H&L (HRP) (<a href='/en-us/products/secondary-antibodies/goat-rabbit-igg-h-l-hrp-ab97051'>ab97051</a>) at 1/100000 dilution

Predicted band size: 43 kDa

Observed band size: 42 kDa

false

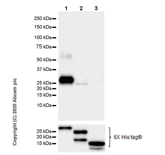
Western blot - Anti-BRN3A antibody [EPR23257-285] (AB245230)
  • WB

Lab

Western blot - Anti-BRN3A antibody [EPR23257-285] (AB245230)

Blocking and diluting buffer and concentration : 5% NFDM/TBST.

ab245230 has a low affinity with mouse POU4F2 recombinant protein.

Exposure time : 15 seconds.

All lanes:

Western blot - Anti-BRN3A antibody [EPR23257-285] (ab245230) at 1/1000 dilution

Lane 1:

His-tagged Mouse POU4F1 recombinant protein (aa2-100-GGGS linked aa2-100), 10ng

Lane 2:

His-tagged Mouse POU4F2 recombinant protein (aa91-261), 20ng

Lane 3:

His-tagged Mouse POU4F3 recombinant protein (aa2-100), 20ng

Secondary

All lanes:

Western blot - Goat Anti-Rabbit IgG H&L (HRP) (<a href='/en-us/products/secondary-antibodies/goat-rabbit-igg-h-l-hrp-ab97051'>ab97051</a>) at 1/100000 dilution

Predicted band size: 43 kDa

Observed band size: 26 kDa

false

  • Carrier free

    Anti-BRN3A antibody [EPR23257-285] - BSA and Azide free

  • 665 Alexa Fluor® 647

    Alexa Fluor® 647 Anti-BRN3A antibody [EPR23257-285]

Key facts

Host species

Rabbit

Clonality

Monoclonal

Clone number

EPR23257-285

Isotype

IgG

Carrier free

No

Reacts with

Mouse, Rat, Human

Applications

IHC-Fr, Flow Cyt (Intra), WB, IHC-P, IP

applications

Immunogen

The exact immunogen used to generate this antibody is proprietary information.

Reactivity data

{ "title": "Reactivity Data", "filters": { "stats": ["", "Species", "Dilution Info", "Notes"], "tabs": { "all-applications": {"fullname" : "All Applications", "shortname": "All Applications"}, "WB" : {"fullname" : "Western blot", "shortname":"WB"}, "IHCP" : {"fullname" : "Immunohistochemistry (Formalin/PFA-fixed paraffin-embedded sections)", "shortname":"IHC-P"}, "IHCFr" : {"fullname" : "Immunohistochemistry (Frozen sections)", "shortname":"IHC-Fr"}, "IP" : {"fullname" : "Immunoprecipitation", "shortname":"IP"}, "FlowCytIntra" : {"fullname" : "Flow Cytometry (Intracellular)", "shortname":"Flow Cyt (Intra)"}, "ICCIF" : {"fullname" : "Immunocytochemistry/ Immunofluorescence", "shortname":"ICC/IF"} }, "product-promise": { "all": "all", "testedAndGuaranteed": "tested", "guaranteed": "expected", "predicted": "predicted", "notRecommended": "not-recommended" } }, "values": { "Human": { "WB-species-checked": "testedAndGuaranteed", "WB-species-dilution-info": "1/1000", "WB-species-notes": "<p></p>", "IHCP-species-checked": "guaranteed", "IHCP-species-dilution-info": "", "IHCP-species-notes": "", "IHCFr-species-checked": "guaranteed", "IHCFr-species-dilution-info": "", "IHCFr-species-notes": "", "IP-species-checked": "guaranteed", "IP-species-dilution-info": "", "IP-species-notes": "", "FlowCytIntra-species-checked": "testedAndGuaranteed", "FlowCytIntra-species-dilution-info": "1/400", "FlowCytIntra-species-notes": "<p></p>", "ICCIF-species-checked": "notRecommended", "ICCIF-species-dilution-info": "", "ICCIF-species-notes": "<p></p>" }, "Mouse": { "WB-species-checked": "testedAndGuaranteed", "WB-species-dilution-info": "1/1000", "WB-species-notes": "<p></p>", "IHCP-species-checked": "testedAndGuaranteed", "IHCP-species-dilution-info": "1/2000", "IHCP-species-notes": "<p></p> Perform heat-mediated antigen retrieval with Tris/EDTA buffer pH 9.0 before commencing with IHC staining protocol.", "IHCFr-species-checked": "testedAndGuaranteed", "IHCFr-species-dilution-info": "1/100", "IHCFr-species-notes": "<p>Heat mediated antigen retrieval using sodium citrate buffer (10mM citrate pH 6.0 + 0.05% Tween-20).</p>", "IP-species-checked": "testedAndGuaranteed", "IP-species-dilution-info": "1/30", "IP-species-notes": "<p></p>", "FlowCytIntra-species-checked": "guaranteed", "FlowCytIntra-species-dilution-info": "", "FlowCytIntra-species-notes": "", "ICCIF-species-checked": "notRecommended", "ICCIF-species-dilution-info": "", "ICCIF-species-notes": "" }, "Rat": { "WB-species-checked": "testedAndGuaranteed", "WB-species-dilution-info": "1/1000", "WB-species-notes": "<p></p>", "IHCP-species-checked": "testedAndGuaranteed", "IHCP-species-dilution-info": "1/2000", "IHCP-species-notes": "<p></p> Perform heat-mediated antigen retrieval with Tris/EDTA buffer pH 9.0 before commencing with IHC staining protocol.", "IHCFr-species-checked": "notRecommended", "IHCFr-species-dilution-info": "1/100", "IHCFr-species-notes": "<p>Heat mediated antigen retrieval using sodium citrate buffer (10mM citrate pH 6.0 + 0.05% Tween-20).</p>", "IP-species-checked": "guaranteed", "IP-species-dilution-info": "", "IP-species-notes": "", "FlowCytIntra-species-checked": "guaranteed", "FlowCytIntra-species-dilution-info": "", "FlowCytIntra-species-notes": "", "ICCIF-species-checked": "notRecommended", "ICCIF-species-dilution-info": "", "ICCIF-species-notes": "" }, "Recombinant fragment": { "WB-species-checked": "testedAndGuaranteed", "WB-species-dilution-info": "1/1000", "WB-species-notes": "<p></p>", "IHCP-species-checked": "testedAndGuaranteed", "IHCP-species-dilution-info": "1/2000", "IHCP-species-notes": "<p></p>", "IHCFr-species-checked": "testedAndGuaranteed", "IHCFr-species-dilution-info": "1/100", "IHCFr-species-notes": "<p>Heat mediated antigen retrieval using sodium citrate buffer (10mM citrate pH 6.0 + 0.05% Tween-20).</p>", "IP-species-checked": "testedAndGuaranteed", "IP-species-dilution-info": "1/30", "IP-species-notes": "<p></p>", "FlowCytIntra-species-checked": "testedAndGuaranteed", "FlowCytIntra-species-dilution-info": "1/400", "FlowCytIntra-species-notes": "<p></p>", "ICCIF-species-checked": "notRecommended", "ICCIF-species-dilution-info": "", "ICCIF-species-notes": "" } } }

Product details

What is this antibody validated in?
Anti-BRN3A antibody [EPR23257-285] (ab245230) is a rabbit recombinant monoclonal antibody and is validated for use in Western Blot (WB), Flow Cytometry (Intra), Flow Cytometry (Flow Cyt), Immunoprecipitation (IP), Immunohistochemistry (IHC-P), Immunohistochemistry (IHC-Fr) in Human, Mouse, Rat, samples.

What is the molecular weight of BRN3A?
Anti-BRN3A [EPR23257-285] (ab245230) specifically detects a band for BRN3A (UniProt: P17208) at a molecular weight of 43kDa.

Trusted by the scientific community
Anti-BRN3A [EPR23257-285] (ab245230) was first used in a scientific publication in 2020 and has been cited over 10 times in peer-reviewed journals.

Trial sizes available!
Test your antibody or perform pre-screening before committing to a larger quantity. Sold in 10µl. Discover our selection of trial-size antibodies.

Other related products
We have a range of other formats of antibody clone [EPR23257-285] also available for your convenience: ab245230, Carrier free - ab273099, Alexa Fluor® 647 - ab300744

Patented technology
Our RabMAb® technology is a patented hybridoma-based technology for making rabbit monoclonal antibodies. For details on our patents, please refer to RabMAb® patents.

What are the advantages of a recombinant monoclonal antibody?
This product is a recombinant monoclonal antibody, which offers several advantages including:

  • - High batch-to-batch consistency and reproducibility
  • - Improved sensitivity and specificity
  • - Long-term security of supply
  • - Animal-free batch production

For more information, read more on recombinant antibodies.

Properties and storage information

Form
Liquid
Purification technique
Affinity purification Protein A
Storage buffer
pH: 7.2 - 7.4 Preservative: 0.01% Sodium azide Constituents: PBS, 40% Glycerol (glycerin, glycerine), 0.05% BSA
Shipped at conditions
Blue Ice
Appropriate short-term storage duration
1-2 weeks
Appropriate short-term storage conditions
+4°C
Appropriate long-term storage conditions
-20°C
Aliquoting information
Upon delivery aliquot
Storage information
Avoid freeze / thaw cycle

Product protocols

For this product, it's our understanding that no specific protocols are required. You can visit:

Target data

Multifunctional transcription factor with different regions mediating its different effects. Acts by binding (via its C-terminal domain) to sequences related to the consensus octamer motif 5'-ATGCAAAT-3' in the regulatory regions of its target genes. Regulates the expression of specific genes involved in differentiation and survival within a subset of neuronal lineages. It has been shown that activation of some of these genes requires its N-terminal domain, maybe through a neuronal-specific cofactor. Activates BCL2 expression and protects neuronal cells from apoptosis (via the N-terminal domain). Induces neuronal process outgrowth and the coordinate expression of genes encoding synaptic proteins. Exerts its major developmental effects in somatosensory neurons and in brainstem nuclei involved in motor control. Stimulates the binding affinity of the nuclear estrogene receptor ESR1 to DNA estrogen response element (ERE), and hence modulates ESR1-induced transcriptional activity. May positively regulate POU4F2 and POU4F3. Regulates dorsal root ganglion sensory neuron specification and axonal projection into the spinal cord. Plays a role in TNFSF11-mediated terminal osteoclast differentiation. Negatively regulates its own expression interacting directly with a highly conserved autoregulatory domain surrounding the transcription initiation site.. Isoform 2. Able to act as transcription factor, cannot regulate the expression of the same subset of genes than isoform 1. Does not have antiapoptotic effect on neuronal cells.
See full target information POU4F1

Publications (49)

Recent publications for all applications. Explore the full list and refine your search

Journal of nanobiotechnology 23:646 PubMed41074006

2025

Neuroprotective effects of Berberine-loaded BMSCs-apoptotic extracellular vesicles on retinal ganglion cells: therapeutic potential for glaucomatous injury.

Applications

Unspecified application

Species

Unspecified reactive species

Mengling You,Xuan Zhang,Zhou Zeng,Shiqi Xiang,Jiachang Chen,Sijian Xie,Xiaoya Ma,Si Chen,Xiaobo Xia

Signal transduction and targeted therapy 10:338 PubMed41068080

2025

Single-cell RNA-seq reveals cell type-specific molecular and genetic associations with primary open-angle glaucoma.

Applications

Unspecified application

Species

Unspecified reactive species

Huaping Tian,Yuhong Chen,Tujing Zhao,Lin Ye,Hongjing Li,Zheng Li,Wenqiao Qiu,Wentao Wang,Runze Li,Fulin Liu,Haojue Xue,Ruilin Liao,Chao Qu,Jie Li,Liang Zou,Yi Shi,Zhenglin Yang,Lulin Huang

Materials today. Bio 35:102304 PubMed41050099

2025

Bilirubin-polymer nanocarriers enable targeted farrerol delivery for glaucoma neuroprotection via Nrf2-mediated ferroptosis/apoptosis inhibition.

Applications

Unspecified application

Species

Unspecified reactive species

Jing Wang,Yixian Liu,Rong Rong,Xiaobo Xia

Antioxidants (Basel, Switzerland) 14: PubMed41009037

2025

Retinoprotective Effects of Abscisic Acid in Ischemic Retinopathy Mouse Model.

Applications

Unspecified application

Species

Unspecified reactive species

Inez Bosnyak,Agnes Nagy,Dorottya Molitor,Balazs Meresz,Edina Szabo,Dora Reglodi,Tamas Atlasz,Alexandra Vaczy

Scientific reports 15:29674 PubMed40804287

2025

Novel insights into pathomechanisms of retinal neuronal degeneration and reactive gliosis in a murine model of G-gangliosidosis.

Applications

Unspecified application

Species

Unspecified reactive species

Lorna Jubran,Rouven Wannemacher,Anastasiia Ulianytska,Ingo Gerhauser,Wolfgang Baumgärtner,Eva Leitzen

Scientific reports 15:23822 PubMed40610544

2025

Neuroprotective and intraocular pressure lowering effects of dual-functional memantine nitrate MN-08 on the experimental models of glaucoma.

Applications

Unspecified application

Species

Unspecified reactive species

Huihui Hu,Liangmiao Wu,Xiaodie Hu,Minghua Wang,Yewei Sun,Gaoxiao Zhang,Yuqiang Wang,Peng Yi,Zaijun Zhang

Cell death & disease 16:490 PubMed40610400

2025

Erythropoietin decreases apoptosis and promotes Schwann cell repair and phagocytosis following nerve crush injury in mice.

Applications

Unspecified application

Species

Unspecified reactive species

Prem Kumar Govindappa,Govindaraj Ellur,John P Hegarty,Akash Gupta,Rahul V G,John C Elfar

Communications biology 8:911 PubMed40500296

2025

Differential regulation of mTOR activity in retinal ganglion cells underlies their distinct susceptibility to ischemia/reperfusion.

Applications

Unspecified application

Species

Unspecified reactive species

Meizhen Zhu,Yuqing Wu,Hang Gao,Fujian Qi,Xiaoyu Zhang,Yanli Ran

Investigative ophthalmology & visual science 66:8 PubMed40459496

2025

PRMT5 Regulates Senescence in Retinal Ganglion Cells by Targeting the Wnt/β-Catenin Signaling Cascade.

Applications

Unspecified application

Species

Unspecified reactive species

Yumeng Zhang,Hanwen Huang,Huimin Zhong,Yang Zhang,Siqi He,Yanzhi Guo,Yiwei Wang,Ping Huang,Shouyue Huang,Yisheng Zhong

Frontiers in cell and developmental biology 13:1513163 PubMed40417181

2025

Characterization and neurogenic responses of primary and immortalized Müller glia.

Applications

Unspecified application

Species

Unspecified reactive species

Thi-Hang Tran,Donny Lukmanto,Mei Chen,Olaf Strauß,Toshiharu Yamashita,Osamu Ohneda,Shinichi Fukuda
View all publications

Product promise

We are committed to supporting your work with high-quality reagents, and we're here for you every step of the way. In the unlikely event that one of our products does not perform as expected, you're protected by our Product Promise.
For full details, please see our Terms & Conditions

Please note: All products are 'FOR RESEARCH USE ONLY. NOT FOR USE IN DIAGNOSTIC OR THERAPEUTIC PROCEDURES'.

For licensing inquiries, please contact partnerships@abcam.com