JavaScript is disabled in your browser. Please enable JavaScript to view this website.
AB317493

Anti-BRN3A + BRN3B + BRN3C antibody [EPR26313-54] - BSA and Azide free

Be the first to review this product! Submit a review

|

(0 Publication)

Rabbit Recombinant Monoclonal BRN3A antibody. Carrier free. Suitable for WB, IHC-P, IP, ICC/IF and reacts with Transfected cell lysate - Human, Mouse, Rat samples.

View Alternative Names

BRN3A, RDC1, POU4F1, Brain-specific homeobox/POU domain protein 3A, Homeobox/POU domain protein RDC-1, Oct-T1, Brain-3A, Brn-3A

13 Images
Immunohistochemistry (Formalin/PFA-fixed paraffin-embedded sections) - Anti-BRN3A + BRN3B + BRN3C antibody [EPR26313-54] - BSA and Azide free (AB317493)
  • IHC-P

Supplier Data

Immunohistochemistry (Formalin/PFA-fixed paraffin-embedded sections) - Anti-BRN3A + BRN3B + BRN3C antibody [EPR26313-54] - BSA and Azide free (AB317493)

This data was developed using ab317492, the same antibody clone in a different buffer formulation.

Immunohistochemical analysis of paraffin-embedded Rat retina tissue labeling BRN3A + BRN3B + BRN3C with ab317492 at 1/1000 (0.535 ug/ml) dilution, followed by a ready to use Rabbit specific IHC polymer detection kit HRP/DAB (ab209101).

Positive staining on rat retina. The section was incubated with ab317492 for 30 mins at room temperature.
The immunostaining was performed on a Leica Biosystems BOND® RX instrument. Incubate slides with 3% Hydrogen Peroxide for 10 mins at room temperature after secondary antibody incubation to reduce the background

Counterstained with Hematoxylin.

Secondary antibody only control : Secondary antibody is a ready to use Rabbit specific IHC polymer detection kit HRP/DAB (ab209101).

Heat mediated antigen retrieval was performed with Tris-EDTA buffer (pH 9.0, Epitope Retrieval Solution2) for 20 mins

Immunocytochemistry/ Immunofluorescence - Anti-BRN3A + BRN3B + BRN3C antibody [EPR26313-54] - BSA and Azide free (AB317493)
  • ICC/IF

Supplier Data

Immunocytochemistry/ Immunofluorescence - Anti-BRN3A + BRN3B + BRN3C antibody [EPR26313-54] - BSA and Azide free (AB317493)

This data was developed using ab317492, the same antibody clone in a different buffer formulation. Immunofluorescent analysis of 4% Paraformaldehyde-fixed, 0.1% Triton X-100 permeabilized mouse primary neural/glia cells labeling BRN3A + BRN3B + BRN3C with ab317492 at 1/200 dilution (2.575 μg/ml), followed by ab150081 AlexaFluor®488 Goat anti-Rabbit secondary preadsorbed at 1/1000 dilution (2 μg/ml) (Green). Confocal image showing nuclear staining in mouse primary neurons (shown in green). Counterstained with ab11267 anti-MAP2 (mouse mAb) at 1/1000 dilution (1 μg/ml), followed by ab150120 AlexaFluor®594 Goat anti-Mouse secondary at 1/1000 dilution (2 μg/ml) (Magenta). Nuclear DNA was labelled with DAPI (shown in blue). Confocal scanning Z step was set as 0.3 μm followed by image processing with maximum Z projection. Image was taken with a confocal microscope (Leica-Microsystems, TCS SP8). -ve control 1 : ab317492 at a 1/200 dilution (2.575 μg/ml), followed by ab150120 at a 1/1000 dilution (2 μg/ml). -ve control 2 : ab11267 at a 1/500 dilution (4 μg/ml), followed by ab150081 at a 1/1000 dilution (2 μg/ml).

Immunocytochemistry/ Immunofluorescence - Anti-BRN3A + BRN3B + BRN3C antibody [EPR26313-54] - BSA and Azide free (AB317493)
  • ICC/IF

Supplier Data

Immunocytochemistry/ Immunofluorescence - Anti-BRN3A + BRN3B + BRN3C antibody [EPR26313-54] - BSA and Azide free (AB317493)

This data was developed using ab317492, the same antibody clone in a different buffer formulation. Immunofluorescent analysis of 4% Paraformaldehyde-fixed, 0.1% Triton X-100 permeabilized rat primary neural/glia cells labeling BRN3A + BRN3B + BRN3C with ab317492 at 1/200 dilution (2.575 μg/ml), followed by ab150081 AlexaFluor®488 Goat anti-Rabbit secondary preadsorbed at 1/1000 dilution (2 μg/ml) (Green). Confocal image showing nuclear staining in rat primary neurons (shown in green). Counterstained with ab11267 anti-MAP2 (mouse mAb) at 1/1000 dilution (1 μg/ml), followed by ab150120 AlexaFluor®594 Goat anti-Mouse secondary at 1/1000 dilution (2 μg/ml) (Magenta). Nuclear DNA was labelled with DAPI (shown in blue). Confocal scanning Z step was set as 0.3 μm followed by image processing with maximum Z projection. Image was taken with a confocal microscope (Leica-Microsystems, TCS SP8). -ve control 1 : ab317492 at a 1/200 dilution (2.575 μg/ml), followed by ab150120 at a 1/1000 dilution (2 μg/ml). -ve control 2 : ab11267 at a 1/500 dilution (4 μg/ml), followed by ab150081 at a 1/1000 dilution (2 μg/ml).

Immunohistochemistry (Formalin/PFA-fixed paraffin-embedded sections) - Anti-BRN3A + BRN3B + BRN3C antibody [EPR26313-54] - BSA and Azide free (AB317493)
  • IHC-P

Supplier Data

Immunohistochemistry (Formalin/PFA-fixed paraffin-embedded sections) - Anti-BRN3A + BRN3B + BRN3C antibody [EPR26313-54] - BSA and Azide free (AB317493)

This data was developed using ab317492, the same antibody clone in a different buffer formulation.

Immunohistochemical analysis of paraffin-embedded Mouse retina tissue labeling BRN3A + BRN3B + BRN3C with ab317492 at 1/1000 (0.535 ug/ml) dilution, followed by a ready to use Rabbit specific IHC polymer detection kit HRP/DAB (ab209101).

Positive staining on mouse retina. The section was incubated with ab317492 for 30 mins at room temperature.
The immunostaining was performed on a Leica Biosystems BOND® RX instrument. Incubate slides with 3% Hydrogen Peroxide for 10 mins at room temperature after secondary antibody incubation to reduce the background

Counterstained with Hematoxylin.

Secondary antibody only control : Secondary antibody is a ready to use Rabbit specific IHC polymer detection kit HRP/DAB (ab209101).

Heat mediated antigen retrieval was performed with Tris-EDTA buffer (pH 9.0, Epitope Retrieval Solution2) for 20 mins

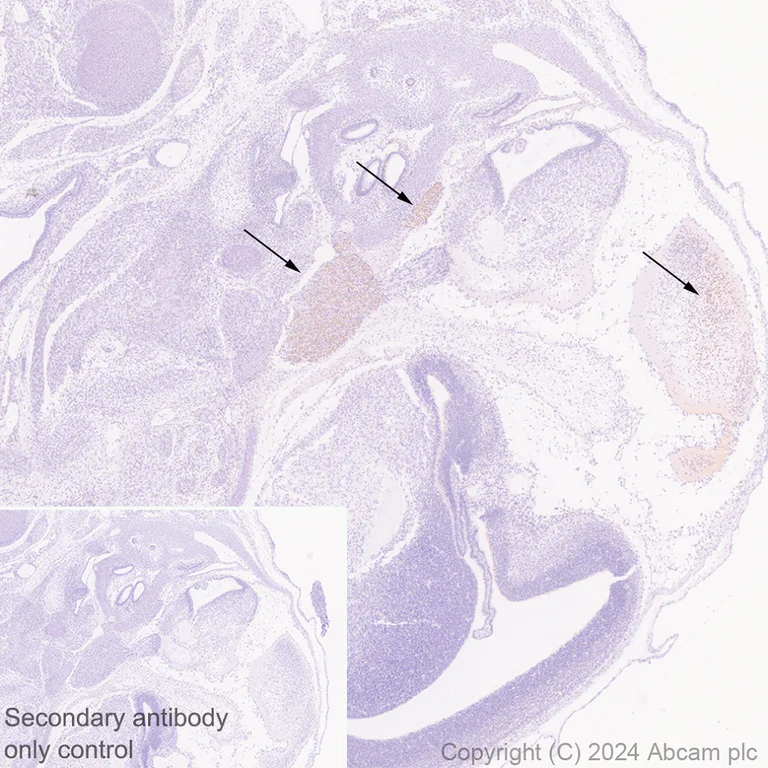
Immunohistochemistry (Formalin/PFA-fixed paraffin-embedded sections) - Anti-BRN3A + BRN3B + BRN3C antibody [EPR26313-54] - BSA and Azide free (AB317493)
  • IHC-P

Supplier Data

Immunohistochemistry (Formalin/PFA-fixed paraffin-embedded sections) - Anti-BRN3A + BRN3B + BRN3C antibody [EPR26313-54] - BSA and Azide free (AB317493)

This data was developed using ab317492, the same antibody clone in a different buffer formulation.

Immunohistochemical analysis of paraffin-embedded Mouse E14.5 tissue labeling BRN3A + BRN3B + BRN3C with ab317492 at 1/1000 (0.535 ug/ml) dilution, followed by a ready to use Rabbit specific IHC polymer detection kit HRP/DAB (ab209101).

Positive staining on mouse E14.5. The section was incubated with ab317492 for 30 mins at room temperature.
The immunostaining was performed on a Leica Biosystems BOND® RX instrument. Incubate slides with 3% Hydrogen Peroxide for 10 mins at room temperature after secondary antibody incubation to reduce the background

Counterstained with Hematoxylin.

Secondary antibody only control : Secondary antibody is a ready to use Rabbit specific IHC polymer detection kit HRP/DAB (ab209101).

Heat mediated antigen retrieval was performed with Tris-EDTA buffer (pH 9.0, Epitope Retrieval Solution2) for 20 mins

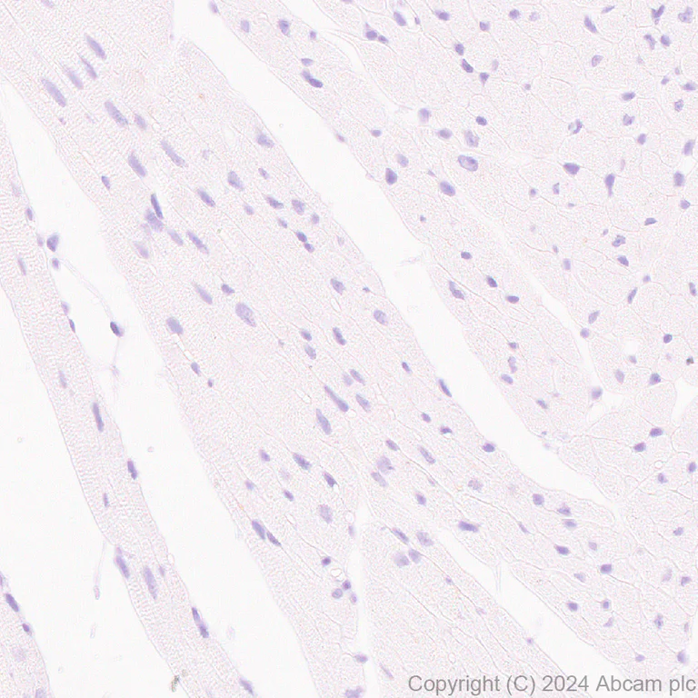
Immunohistochemistry (Formalin/PFA-fixed paraffin-embedded sections) - Anti-BRN3A + BRN3B + BRN3C antibody [EPR26313-54] - BSA and Azide free (AB317493)
  • IHC-P

Supplier Data

Immunohistochemistry (Formalin/PFA-fixed paraffin-embedded sections) - Anti-BRN3A + BRN3B + BRN3C antibody [EPR26313-54] - BSA and Azide free (AB317493)

This data was developed using ab317492, the same antibody clone in a different buffer formulation.

Immunohistochemical analysis of paraffin-embedded Mouse cardiac muscle tissue labeling BRN3A + BRN3B + BRN3C with ab317492 at 1/1000 (0.535 ug/ml) dilution, followed by a ready to use Rabbit specific IHC polymer detection kit HRP/DAB (ab209101).

Negative control : no staining on mouse cardiac muscle. The section was incubated with ab317492 for 30 mins at room temperature.
The immunostaining was performed on a Leica Biosystems BOND® RX instrument. Incubate slides with 3% Hydrogen Peroxide for 10 mins at room temperature after secondary antibody incubation to reduce the background

Counterstained with Hematoxylin.

Secondary antibody only control : Secondary antibody is a ready to use Rabbit specific IHC polymer detection kit HRP/DAB (ab209101).

Heat mediated antigen retrieval was performed with Tris-EDTA buffer (pH 9.0, Epitope Retrieval Solution2) for 20 mins

Immunohistochemistry (Formalin/PFA-fixed paraffin-embedded sections) - Anti-BRN3A + BRN3B + BRN3C antibody [EPR26313-54] - BSA and Azide free (AB317493)
  • IHC-P

Supplier Data

Immunohistochemistry (Formalin/PFA-fixed paraffin-embedded sections) - Anti-BRN3A + BRN3B + BRN3C antibody [EPR26313-54] - BSA and Azide free (AB317493)

This data was developed using ab317492, the same antibody clone in a different buffer formulation.

Immunohistochemical analysis of paraffin-embedded Rat cardiac muscle tissue labeling BRN3A + BRN3B + BRN3C with ab317492 at 1/1000 (0.535 ug/ml) dilution, followed by a ready to use Rabbit specific IHC polymer detection kit HRP/DAB (ab209101).

Negative control : no staining on rat cardiac muscle. The section was incubated with ab317492 for 30 mins at room temperature.
The immunostaining was performed on a Leica Biosystems BOND® RX instrument. Incubate slides with 3% Hydrogen Peroxide for 10 mins at room temperature after secondary antibody incubation to reduce the background

Counterstained with Hematoxylin.

Secondary antibody only control : Secondary antibody is a ready to use Rabbit specific IHC polymer detection kit HRP/DAB (ab209101).

Heat mediated antigen retrieval was performed with Tris-EDTA buffer (pH 9.0, Epitope Retrieval Solution2) for 20 mins

Immunocytochemistry/ Immunofluorescence - Anti-BRN3A + BRN3B + BRN3C antibody [EPR26313-54] - BSA and Azide free (AB317493)
  • ICC/IF

Supplier Data

Immunocytochemistry/ Immunofluorescence - Anti-BRN3A + BRN3B + BRN3C antibody [EPR26313-54] - BSA and Azide free (AB317493)

This data was developed using ab317492, the same antibody clone in a different buffer formulation. Immunofluorescent analysis of 4% Paraformaldehyde-fixed, 0.1% Triton X-100 permeabilized mouse splenocytes labeling BRN3A + BRN3B + BRN3C with ab317492 at 1/200 dilution (2.575 μg/ml), followed by ab150081 AlexaFluor®488 Goat anti-Rabbit secondary preadsorbed at 1/1000 dilution (2 μg/ml) (Green). Counterstained with ab195889 Anti-alpha Tubulin antibody [DM1A] - Microtubule Marker (Alexa Fluor® 594) at a 1/200 dilution (2.5 μg/ml) (magenta). Confocal image showing negative staining in mouse splenocytes. Nuclear DNA was labelled with DAPI (shown in blue). Image was taken with a confocal microscope (Leica-Microsystems, TCS SP8). Negative control:splenocyte (PMID : 11470235).

Immunocytochemistry/ Immunofluorescence - Anti-BRN3A + BRN3B + BRN3C antibody [EPR26313-54] - BSA and Azide free (AB317493)
  • ICC/IF

Supplier Data

Immunocytochemistry/ Immunofluorescence - Anti-BRN3A + BRN3B + BRN3C antibody [EPR26313-54] - BSA and Azide free (AB317493)

This data was developed using ab317492, the same antibody clone in a different buffer formulation. Immunofluorescent analysis of 4% Paraformaldehyde-fixed, 0.1% Triton X-100 permeabilized rat splenocytes labeling BRN3A + BRN3B + BRN3C with ab317492 at 1/200 dilution (2.575 μg/ml), followed by ab150081 AlexaFluor®488 Goat anti-Rabbit secondary preadsorbed at 1/1000 dilution (2 μg/ml) (Green). Counterstained with ab195889 Anti-alpha Tubulin antibody [DM1A] - Microtubule Marker (Alexa Fluor® 594) at a 1/200 dilution (2.5 μg/ml) (magenta). Confocal image showing negative staining in rat splenocytes. Nuclear DNA was labelled with DAPI (shown in blue). Image was taken with a confocal microscope (Leica-Microsystems, TCS SP8). Negative control:splenocyte (PMID : 11470235).

Immunoprecipitation - Anti-BRN3A + BRN3B + BRN3C antibody [EPR26313-54] - BSA and Azide free (AB317493)
  • IP

Supplier Data

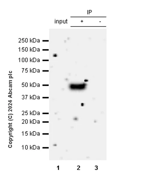
Immunoprecipitation - Anti-BRN3A + BRN3B + BRN3C antibody [EPR26313-54] - BSA and Azide free (AB317493)

This data was developed using ab317492, the same antibody clone in a different buffer formulation.

BRN3A + BRN3B + BRN3C was immunoprecipitated from 0.35 mg Rat E15 brain tissue lysate with ab317492 at 1/30 dilution (2ug in 0.35mg lysates). Western blot was performed on the immunoprecipitate using ab317492 at 1/1000 dilution. VeriBlot for IP secondary antibody(HRP)(ab131366) was used at 1/5000 dilution.

Lane 1 : Rat E15 brain tissue lysate
Lane 2 : ab317492 IP in Rat E15 brain tissue lysate
Lane 3 : Rabbit monoclonal IgG (ab172730) instead of ab317492 in rat E15 brain tissue lysate

All lanes:

Immunoprecipitation - Anti-BRN3A + BRN3B + BRN3C antibody [EPR26313-54] (<a href='/en-us/products/primary-antibodies/brn3a-brn3b-brn3c-antibody-epr26313-54-ab317492'>ab317492</a>) at 1/30 dilution

All lanes:

Rat E15 brain tissue lysate

Secondary

All lanes:

Immunoprecipitation - VeriBlot for IP Detection Reagent (HRP) (<a href='/en-us/products/reagents/veriblot-for-ip-detection-reagent-hrp-ab131366'>ab131366</a>) at 1/5000 dilution

false

Exposure time: 180s

Western blot - Anti-BRN3A + BRN3B + BRN3C antibody [EPR26313-54] - BSA and Azide free (AB317493)
  • WB

Supplier Data

Western blot - Anti-BRN3A + BRN3B + BRN3C antibody [EPR26313-54] - BSA and Azide free (AB317493)

This data was developed using ab317492, the same antibody clone in a different buffer formulation.

The lysates were freshly made and used for Western Blotting immediately to minimize protein degradation.

The identity of the bands lower than 30 kDa are unknown

All lanes:

Western blot - Anti-BRN3A + BRN3B + BRN3C antibody [EPR26313-54] (<a href='/en-us/products/primary-antibodies/brn3a-brn3b-brn3c-antibody-epr26313-54-ab317492'>ab317492</a>) at 1/1000 dilution

Lane 1:

C6 (rat glial tumor glial cell) whole cell lysate at 20 µg

Lane 2:

Neuro-2a (mouse neuroblastoma neuroblast) whole cell lysate at 20 µg

Secondary

All lanes:

Western blot - Goat Anti-Rabbit IgG H&L (HRP) (<a href='/en-us/products/secondary-antibodies/goat-rabbit-igg-h-l-hrp-ab97051'>ab97051</a>) at 1/100000 dilution

Observed band size: 45 kDa

false

Exposure time: 180s

Western blot - Anti-BRN3A + BRN3B + BRN3C antibody [EPR26313-54] - BSA and Azide free (AB317493)
  • WB

Supplier Data

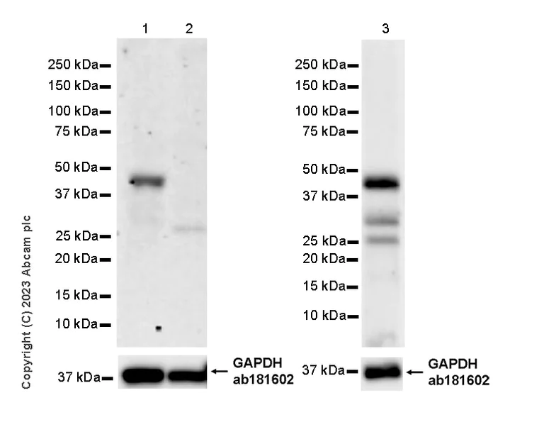
Western blot - Anti-BRN3A + BRN3B + BRN3C antibody [EPR26313-54] - BSA and Azide free (AB317493)

This data was developed using ab317492, the same antibody clone in a different buffer formulation.

Negative control : kidney (PMID : 1357630, 11470235)

The identity of the bands lower than 30 kDa in lane 2 and lane 3 are unknown.

In Western blot, Anti-GAPDH antibody [EPR16891] - Loading Control (ab181602) staining at 1/200000 dilution.

Exposure time : Lanes 1-2 : 180 seconds; Lane 3 : 92 seconds.

All lanes:

Western blot - Anti-BRN3A + BRN3B + BRN3C antibody [EPR26313-54] (<a href='/en-us/products/primary-antibodies/brn3a-brn3b-brn3c-antibody-epr26313-54-ab317492'>ab317492</a>) at 1/1000 dilution

Lane 1:

Rat E15 brain tissue lysate at 20 µg

Lane 2:

Rat kidney tissue lysate at 20 µg

Lane 3:

Mouse E14.5 brain tissue lysate at 48 µg

Secondary

All lanes:

Western blot - Goat Anti-Rabbit IgG H&L (HRP) (<a href='/en-us/products/secondary-antibodies/goat-rabbit-igg-h-l-hrp-ab97051'>ab97051</a>) at 1/100000 dilution

Observed band size: 45 kDa,36 kDa

false

Western blot - Anti-BRN3A + BRN3B + BRN3C antibody [EPR26313-54] - BSA and Azide free (AB317493)
  • WB

Supplier Data

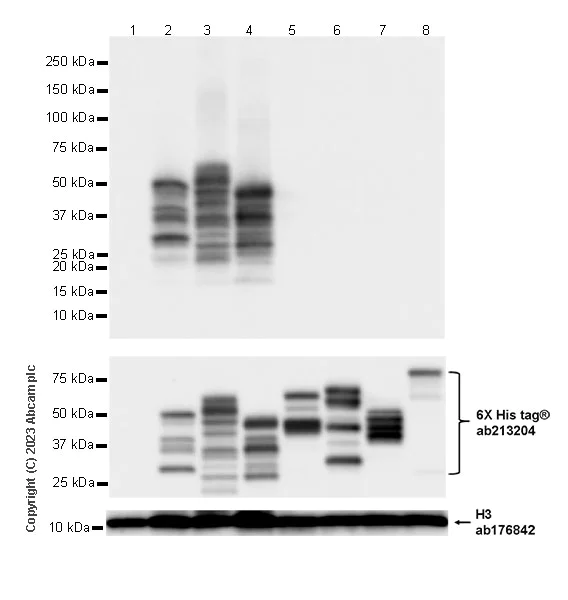
Western blot - Anti-BRN3A + BRN3B + BRN3C antibody [EPR26313-54] - BSA and Azide free (AB317493)

This data was developed using ab317492, the same antibody clone in a different buffer formulation.

This antibody recognizes BRN3A, BRN3B and BRN3C.

This antibody does not recognize POU3F2/Brn-2, POU3F3/Brain1, POU3F4/BRN4 and POU3F1/Oct6.

In Western blot, Anti-Histone H3 antibody [EPR16987] - Nuclear Marker and ChIP Grade (ab176842) staining at 1/100000 dilution.

In Western blot, Anti-6X His tag® antibody [EPR20547] - ChIP Grade (ab213204) staining at 1/5000 dilution.

All lanes:

Western blot - Anti-BRN3A + BRN3B + BRN3C antibody [EPR26313-54] (<a href='/en-us/products/primary-antibodies/brn3a-brn3b-brn3c-antibody-epr26313-54-ab317492'>ab317492</a>) at 1/1000 dilution

Lane 1:

293T (human embryonic kidney epithelial cell) transfected with an empty vector containing a myc-His-tag®, whole cell lysate at 10 µg

Lane 2:

293T transfected with a human BRN3A protein expression vector containing a myc-His-tag®, whole cell lysate at 10 µg

Lane 3:

293T transfected with a human BRN3B protein expression vector containing a myc-His-tag®, whole cell lysate at 10 µg

Lane 4:

293T transfected with a human BRN3C protein expression vector containing a myc-His-tag®, whole cell lysate at 10 µg

Lane 5:

293T transfected with a human POU3F2/Brn-2 protein expression vector containing a myc-His-tag®, whole cell lysate at 10 µg

Lane 6:

293T transfected with a human POU3F3/Brain1 protein expression vector containing a myc-His-tag®, whole cell lysate at 10 µg

Lane 7:

293T transfected with a human POU3F4/BRN4 protein expression vector containing a myc-His-tag®, whole cell lysate at 10 µg

Lane 8:

293T transfected with a human POU3F1/Oct6 protein expression vector containing a myc-His-tag®, whole cell lysate at 10 µg

Secondary

All lanes:

Western blot - Goat Anti-Rabbit IgG H&L (HRP) (<a href='/en-us/products/secondary-antibodies/goat-rabbit-igg-h-l-hrp-ab97051'>ab97051</a>) at 1/100000 dilution

Observed band size: 20-65 kDa,15 kDa

false

Exposure time: 3s

  • Unconjugated

    Anti-BRN3A + BRN3B + BRN3C antibody [EPR26313-54]

Key facts

Host species

Rabbit

Clonality

Monoclonal

Clone number

EPR26313-54

Isotype

IgG

Carrier free

Yes

Reacts with

Mouse, Rat

Applications

IP, ICC/IF, IHC-P, WB

applications

Immunogen

The exact immunogen used to generate this antibody is proprietary information.

Reactivity data

{ "title": "Reactivity Data", "filters": { "stats": ["", "Species", "Dilution Info", "Notes"], "tabs": { "all-applications": {"fullname" : "All Applications", "shortname": "All Applications"}, "WB" : {"fullname" : "Western blot", "shortname":"WB"}, "IHCP" : {"fullname" : "Immunohistochemistry (Formalin/PFA-fixed paraffin-embedded sections)", "shortname":"IHC-P"}, "IP" : {"fullname" : "Immunoprecipitation", "shortname":"IP"}, "FlowCytIntra" : {"fullname" : "Flow Cytometry (Intracellular)", "shortname":"Flow Cyt (Intra)"}, "ICCIF" : {"fullname" : "Immunocytochemistry/ Immunofluorescence", "shortname":"ICC/IF"}, "IHCFr" : {"fullname" : "Immunohistochemistry (Frozen sections)", "shortname":"IHC-Fr"} }, "product-promise": { "all": "all", "testedAndGuaranteed": "tested", "guaranteed": "expected", "predicted": "predicted", "notRecommended": "not-recommended" } }, "values": { "Human": { "WB-species-checked": "notRecommended", "WB-species-dilution-info": "", "WB-species-notes": "<p></p>", "IHCP-species-checked": "notRecommended", "IHCP-species-dilution-info": "", "IHCP-species-notes": "<p></p>", "IP-species-checked": "notRecommended", "IP-species-dilution-info": "", "IP-species-notes": "", "FlowCytIntra-species-checked": "notRecommended", "FlowCytIntra-species-dilution-info": "", "FlowCytIntra-species-notes": "<p></p>", "ICCIF-species-checked": "notRecommended", "ICCIF-species-dilution-info": "", "ICCIF-species-notes": "<p></p>", "IHCFr-species-checked": "notRecommended", "IHCFr-species-dilution-info": "", "IHCFr-species-notes": "" }, "Mouse": { "WB-species-checked": "testedAndGuaranteed", "WB-species-dilution-info": "", "WB-species-notes": "<p></p>", "IHCP-species-checked": "testedAndGuaranteed", "IHCP-species-dilution-info": "", "IHCP-species-notes": "<p></p> Perform heat-mediated antigen retrieval with Tris/EDTA buffer pH 9.0 before commencing with IHC staining protocol.", "IP-species-checked": "guaranteed", "IP-species-dilution-info": "", "IP-species-notes": "", "FlowCytIntra-species-checked": "notRecommended", "FlowCytIntra-species-dilution-info": "", "FlowCytIntra-species-notes": "<p></p>", "ICCIF-species-checked": "testedAndGuaranteed", "ICCIF-species-dilution-info": "", "ICCIF-species-notes": "<p></p>", "IHCFr-species-checked": "notRecommended", "IHCFr-species-dilution-info": "", "IHCFr-species-notes": "<p></p>" }, "Rat": { "WB-species-checked": "testedAndGuaranteed", "WB-species-dilution-info": "", "WB-species-notes": "<p></p>", "IHCP-species-checked": "testedAndGuaranteed", "IHCP-species-dilution-info": "", "IHCP-species-notes": "<p></p> Perform heat-mediated antigen retrieval with Tris/EDTA buffer pH 9.0 before commencing with IHC staining protocol.", "IP-species-checked": "testedAndGuaranteed", "IP-species-dilution-info": "", "IP-species-notes": "<p></p>", "FlowCytIntra-species-checked": "notRecommended", "FlowCytIntra-species-dilution-info": "", "FlowCytIntra-species-notes": "<p></p>", "ICCIF-species-checked": "testedAndGuaranteed", "ICCIF-species-dilution-info": "", "ICCIF-species-notes": "<p></p>", "IHCFr-species-checked": "notRecommended", "IHCFr-species-dilution-info": "", "IHCFr-species-notes": "<p></p>" }, "Transfected cell lysate - Human": { "WB-species-checked": "testedAndGuaranteed", "WB-species-dilution-info": "", "WB-species-notes": "<p></p>", "IHCP-species-checked": "notRecommended", "IHCP-species-dilution-info": "", "IHCP-species-notes": "", "IP-species-checked": "notRecommended", "IP-species-dilution-info": "", "IP-species-notes": "", "FlowCytIntra-species-checked": "notRecommended", "FlowCytIntra-species-dilution-info": "", "FlowCytIntra-species-notes": "", "ICCIF-species-checked": "notRecommended", "ICCIF-species-dilution-info": "", "ICCIF-species-notes": "", "IHCFr-species-checked": "notRecommended", "IHCFr-species-dilution-info": "", "IHCFr-species-notes": "" } } }

Product details

ab317493 is the carrirer-free version of ab317492.

Patented technology
Our RabMAb® technology is a patented hybridoma-based technology for making rabbit monoclonal antibodies. For details on our patents, please refer to RabMAb® patents.

What are the advantages of a recombinant monoclonal antibody?
This product is a recombinant monoclonal antibody, which offers several advantages including:

  • - High batch-to-batch consistency and reproducibility
  • - Improved sensitivity and specificity
  • - Long-term security of supply
  • - Animal-free batch production

For more information, read more on recombinant antibodies.

Conjugation ready
Our carrier-free antibodies are typically supplied in a PBS-only formulation, purified and free of BSA, sodium azide and glycerol. This conjugation-ready format is designed for use with fluorochromes, metal isotopes, oligonucleotides, and enzymes, which makes them ideal for antibody labelling, functional and cell-based assays, flow-based assays (e.g. mass cytometry) and Multiplex Imaging applications.

Use our conjugation kits for antibody conjugates that are ready-to-use in as little as 20 minutes with 1 minute hands-on-time and 100% antibody recovery: available for fluorescent dyes, HRP, biotin and gold.

Compatibility
This product is compatible with the Maxpar® Antibody Labeling Kit from Fluidigm, without the need for antibody preparation. Maxpar® is a trademark of Fluidigm Canada Inc.

Properties and storage information

Form
Liquid
Purification technique
Affinity purification Protein A
Storage buffer
pH: 7.2 - 7.4 Constituents: PBS
Shipped at conditions
Blue Ice
Appropriate short-term storage conditions
+4°C
Appropriate long-term storage conditions
+4°C

Product protocols

For this product, it's our understanding that no specific protocols are required. You can visit:

Target data

Multifunctional transcription factor with different regions mediating its different effects. Acts by binding (via its C-terminal domain) to sequences related to the consensus octamer motif 5'-ATGCAAAT-3' in the regulatory regions of its target genes. Regulates the expression of specific genes involved in differentiation and survival within a subset of neuronal lineages. It has been shown that activation of some of these genes requires its N-terminal domain, maybe through a neuronal-specific cofactor. Activates BCL2 expression and protects neuronal cells from apoptosis (via the N-terminal domain). Induces neuronal process outgrowth and the coordinate expression of genes encoding synaptic proteins. Exerts its major developmental effects in somatosensory neurons and in brainstem nuclei involved in motor control. Stimulates the binding affinity of the nuclear estrogene receptor ESR1 to DNA estrogen response element (ERE), and hence modulates ESR1-induced transcriptional activity. May positively regulate POU4F2 and POU4F3. Regulates dorsal root ganglion sensory neuron specification and axonal projection into the spinal cord. Plays a role in TNFSF11-mediated terminal osteoclast differentiation. Negatively regulates its own expression interacting directly with a highly conserved autoregulatory domain surrounding the transcription initiation site.. Isoform 2. Able to act as transcription factor, cannot regulate the expression of the same subset of genes than isoform 1. Does not have antiapoptotic effect on neuronal cells.
See full target information POU4F1

Additional targets

POU4F2,POU4F3

Product promise

We are committed to supporting your work with high-quality reagents, and we're here for you every step of the way. In the unlikely event that one of our products does not perform as expected, you're protected by our Product Promise.
For full details, please see our Terms & Conditions

Please note: All products are 'FOR RESEARCH USE ONLY. NOT FOR USE IN DIAGNOSTIC OR THERAPEUTIC PROCEDURES'.

For licensing inquiries, please contact partnerships@abcam.com